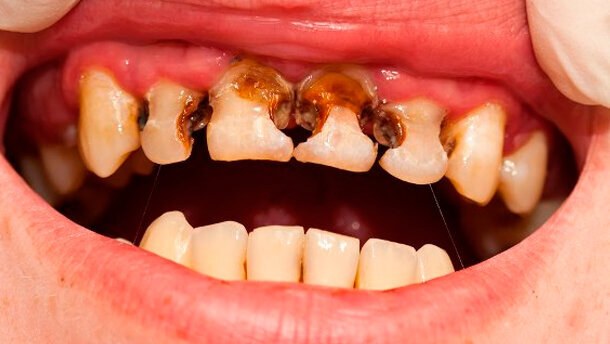
PITTSBURGH I ricercatori statunitensi hanno scoperto che alcune varianti della cheratina, proteina componente strutturale dei capelli, sono utili anche nella formazione dello smalto dei denti. In uno studio pubblicato recentemente, hanno dimostrato che i partecipanti con disturbi ai capelli avevano un maggiore numero di cavità cariose a causa di una mutazione specifica della proteina.
Per stabilire una collegamento tra i disturbi dei capelli e la predisposizione alla carie, sono stati utilizzato i dati degli esami sia genetici sia orali su 386 bambini e 706 adulti. I ricercatori si sono concentrati sulla proteina cheratina 75, perché alcuni disturbi ai capelli sembrano esser collegati alla mutazioni nei suoi geni, come ad esempio le lesioni e/o persistenti irritazioni causate dalla rasatura.
È stato infatti osservato che i soggetti con mutazioni della cheratina 75 hanno avuto un aumento del numero di lesioni cariose. Inoltre, si è riscontrata nello smalto una marcata riduzione della durezza e questo fa pensare che la cheratina dei capelli stabilizza i ciuffi e le guaine a sostegno dei coni retinici dello smalto durante la formazione, un processo simile alla funzione di supporto del fusto dei capelli.
Si è concluso pertanto che ciuffi e guaine destabilizzati dalla presenza della proteina mutante hanno una ridotta capacità di protezione dalla carie. Questa scoperta – ritengono gli scienziati – potrebbe contribuire allo sviluppo di nuove tecniche nella lotta contro questo flagello che colpisce tra il 60 e il 90 per cento degli scolari e quasi il 100 per cento degli adulti in tutto il mondo. Secondo gli ultimi dati forniti dai CDCP (Centers for Disease Control and Prevention) quasi il 16 per cento dei bambini e circa il 24 per cento degli adulti nei soli Stati Uniti soffrono di carie trascurate.
La ricerca intitolata "Hair Keratin Mutations in Tooth Enamel Increase Dental Decay Risk " e condotta presso il National Institute of Arthritis and Musculoskeletal and Skin Diseases in collaborazione con l'Università di Pittsburgh, è stata pubblicata online il 27 ottobre sul Journal of Clinical Investigation.
Russare è un problema comune. Gli studi stimano che il 45% degli uomini e il 30% delle donne russano in maniera regolare e che quasi tutti russano ...
Russare è un problema comune. Gli studi stimano che il 45% degli uomini e il 30% delle donne russano in maniera regolare e che quasi tutti russano ...
La Società Italiana di Ortodonzia, SIDO, lancia un grido d’allarme sulle conseguenze del mancato corretto sviluppo della dentizione dei bambini nella ...
Il dott. Gregorio Tortora condivide la sua esperienza clinica nella gestione delle patologie parodontali, soffermandosi in particolare sulle recessioni ...
Il Prof. Adam Nulty è un esperto di riferimento nei flussi di lavoro implantari digitali. All’IDEM 2026 di Singapore metterà in discussione un ...
Un comunicato dell’ADN Kronos riferisce che in occasione del 93esimo Meeting dell'International Association for Dental Research svoltosi a Boston ...
SHARJAH, Emirati Arabi Uniti: Oltre agli effetti collaterali negativi, gli esperti di salute sono sempre più preoccupati che l’uso prolungato o improprio...
I disturbi del comportamento alimentare (DCA) sono patologie caratterizzate da un’alterazione delle abitudini alimentari e da un’eccessiva ...
PARIGI, Francia: Durante il Congresso dell’ADF, l’incontro annuale dell’Association Dentaire Française, tenutosi a novembre, l’Association of ...
Durante la sessione mattutina di venerdì 25 settmebre all’EAO 2015 di Stoccolma, Martin Schimmel della Divisione di Geroodontologia ...
Live webinar
gio. 23 aprile 2026
17:00 (CET) Rome
Live webinar
gio. 23 aprile 2026
18:30 (CET) Rome
Live webinar
gio. 23 aprile 2026
19:00 (CET) Rome
Live webinar
gio. 30 aprile 2026
1:00 (CET) Rome
Dr. Renato Leonardo D.M.D.
Live webinar
gio. 30 aprile 2026
19:00 (CET) Rome
Live webinar
dom. 3 maggio 2026
18:00 (CET) Rome
Dr. Rickard Brånemark MSc, MD, PhD, Dr. Robert Gottlander DDS
Live webinar
lun. 4 maggio 2026
2:00 (CET) Rome
To post a reply please login or register