Gli obiettivi principali di ogni trattamento professionale sono l’arresto della malattia in corso e il mantenimento della salute orale e della sua funzione, l’estetica del sorriso con trattamenti minimamente invasivi e il comfort per il paziente. Il mantenimento diviene la fase della terapia di prevenzione più difficile e fondamentale, poiché il paziente deve prendere coscienza di un suo impegno a collaborare in modo continuo con procedure di igiene orale domiciliare e i follow-up previsti nel piano di cura professionale.
Uno dei punti chiave per il successo della terapia è la comunicazione con il paziente che serve per far comprendere ad esso l’importanza delle procedure di mantenimento. Monitorare i cambiamenti educativi e il comportamento è importante quanto monitorare i segni clinici di salute e malattia, per la salute sia del parodonto che dei denti.
I protocolli operativi devono essere necessariamente personalizzati in base alle caratteristiche intrinseche che il paziente presenta, prendendone in considerazione l’aspetto clinico, fisico e psicologico.
Paziente: c. n. - anno 2009
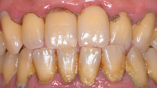
All’inizio dell’anno 2009 si presenta alla nostra attenzione un paziente di 33 anni, fumatore. Durante l’esame intraorale si osserva un’evidente infiammazione diffusa dei tessuti gengivali, manifestata da sanguinamento e edema generalizzato (Fig. 1); inoltre, osserviamo una numerosa quantità di placca e tartaro sopra e sottogengivale (Figg. 2, 3) con danno a livello parodontale in tutti i quattro quadranti. Si nota una malocclusione tra il sestante 2 e il sestante 5.
Dopo aver inquadrato il paziente durante l’esame intraorale, indagando sulle sue abitudini domiciliari, scopriamo che usa solo spazzolino manuale duro e impiega poco tempo nell’effettuare il lavaggio, senza nessun ausilio interdentale. Valutando bene il caso clinico davanti a noi si decide di usare un protocollo “One stage full-mouth disinfection protocol” (OSFMDP), che consiste nella rimozione e abbassamento della carica batterica in un’unica seduta, per riportare una guarigione il prima possibile.
Prima seduta (2 ore)
In questa seduta abbiamo eseguito, prima di tutto, uno status fotografico delle arcate del paziente per la raccolta della documentazione fotografica. Successivamente si è effettuato il sondaggio parodontale riportando tutti i dati nell’apposita cartella, dopodiché abbiamo iniziato con la seduta operativa effettuando debridment ultrasonico, scaling e root plaining di entrambe le arcate. Per abbassare la carica batterica, sia prima della seduta sia durante, abbiamo irrigato le gengive con un lavaggio a base di clorexidina allo 0,2% per 60 secondi.
Al termine della seduta operativa abbiamo effettuato le istruzioni all’igiene orale sulle tecniche domiciliari da usare successivamente, mostrando al paziente, con lo specchio, gli strumenti e le tecniche di utilizzo: spazzolino elettrico oscillante-rotante e sciacqui con clx 0,2% 3 volte al giorno per 15 giorni, con abbinato l’uso di scovolini interprossimali di misura 0,7.
Abbiamo dato appuntamento a 7 giorni per controllo tissutale e per verificare la compliance del paziente.
Rivalutazione tissutale
Il paziente si è presentato con un notevole miglioramento dei tessuti, assenza di placca batterica, tartaro, e nessun sito presentava sanguinamento al sondaggio. Si sono scattate le foto finali; per rendere più partecipe il paziente, abbiamo confrontato insieme sia le foto iniziali che quelle finali, evidenziando le differenze e mettendo in risalto il miglioramento. Abbiamo rinforzato la motivazione rivedendo con il paziente stesso gli ausili e le modalità di utilizzo; al termine della seduta viene dato appuntamento a un mese per una seduta di controllo ulteriore. Il paziente manca l’appuntamento successivo e non si presenta più in studio.
Paziente: c. n. - anno 2014
Si ripresenta alla nostra attenzione a marzo 2014 (dopo 6 anni) paziente di 39 anni, sempre fumatore, spiegandoci che ha avuto dei problemi e non è più potuto tornare ai normali richiami di igiene. All’esame obiettivo, si osserva infiammazione diffusa dei tessuti gengivali, manifestata da sanguinamento evidente ed edema generalizzato (Fig. 4), si osserva una numerosa quantità di placca e tartaro sopra e sotto gengiva con danno a livello parodontale in tutti i quattro quadranti (Fig. 5). Si nota una malocclusione tra il sestante 2 e il sestante 5.
Il paziente ci riferisce che ha smesso di usare tutti gli ausili precedentemente consigliati e usa solo lo spazzolino manuale quando capita e, paragonata alla prima visita del 2009, la carica batterica è aumentata e il suo livello di igiene è peggiorato.
In tutti i casi, il nostro obiettivo è quello di non creare, o per lo meno limitare il più possibile, le recessioni sugli elementi parodontalmente compromessi, agendo nell’assoluto rispetto dei tessuti. Pertanto, verrà attuato un protocollo OSFMDM (modificato), diverso da quello utilizzato precedentemente, e con applicazione di ozonoterapia in diverse fasi – tecnica utile a ridurre il grado di infiammazione permettendoci di asportare la minor quantità possibile di tessuto di granulazione – unico modo per raggiungere l’obbiettivo prefissato.
Prima seduta (motivazione)
La prima seduta si è basata principalmente sulla motivazione: conoscenze sulla formazione del biofilm, struttura, localizzazione, effetti dannosi e risposte biologiche. Al paziente viene pertanto indicata una tecnica di spazzolamento nuova, di maggior efficacia, cambiando lo spazzolino da manuale a spazzolino sonico, che permette di rimuovere il biofilm batterico attraverso l’effetto cavitazione generato dal movimento delle setole senza aggredire meccanicamente le gengive. Inoltre, viene consigliato l’uso di scovolini in diverse misure per effettuare una detersione maggiore negli spazi interdentali. Si effettuano le istruzioni anche per la detersione del dorso linguale con uno specifico grattalingua.
Per completare la disinfezione e detersione di tutte le nicchie ritentive, viene consegnato un protocollo domiciliare che prevede l’utilizzo di collutorio a base di clorexidina 0,2% da usare puro 2 volte al giorno per effettuare uno sciacquo dell’intero cavo orale in abbinamento all’utilizzo del gel con clorexidina 0,1% sia sugli scovolini che sul grattalingua.
Tutte le tecniche sono state spiegate al paziente e fatte toccare con mano sulla propria bocca con l’uso della telecamera digitale e lo specchio, in modo da aumentare la compliance del paziente stesso. Dopodiché si è passato al sondaggio parodontale riportando tutti i parametri rilevati nell’apposita cartella. Al termine della seduta di motivazione, si è applicato l’ozono per 5 minuti solo sui tessuti molli con infiammazione, senza andare a coinvolgere i tessuti duri del dente.
Tutto questo serve a invogliare il paziente all’igiene domiciliare e a diminuire il dolore e sensibilità nella prossima seduta operativa, cosicché da solo riuscirà a sfiammare i tessuti e a consolidare le tecniche spiegate nella motivazione. Il paziente viene rivisto dopo 15 giorni.
Seconda seduta (2 ore)
Il paziente si ripresenta in studio con un parziale miglioramento dello stato infiammatorio, pertanto un primo obiettivo è stato raggiunto: una prima compliance e un miglioramento del campo operatorio.
In questa seduta, applicando il protocollo OSFMD modificato, abbiamo deciso di eseguire sia il debridment ultrasonico che la procedura di scaling e root planing per rimuovere tutto il tartaro sopragengivale e sottogengivale, avendo ridotto l’indice di sanguinamento in modo significativo.
Il paziente esegue uno sciacquo con clorexidina allo 0,2% per 60 secondi, prima di iniziare la terapia per ridurre la carica microbica che può diffondersi nell’aerosol, creata dall’azione degli strumenti meccanici.
La seduta si svolge secondo un protocollo ben stabilito; essendo molto lunga e intensa per il paziente, viene preventivamente applicato un anestetico locale a base di lidocaina e prilocaina:
– sciacqui a intervalli con collutorio con clx allo 0,2% non diluito;
– debridment ultrasonico, scaling e root planing;
– applicazione di ozono per 5 minuti;
– revisione delle manovre di igiene orale domiciliare per rinforzare la motivazione: al paziente è stato chiesto di portare in studio gli strumenti cha abbiamo consigliato per rivedere ogni volta le eventuali lacune riscontrate.
Rivalutazione e controllo tissutale
Il paziente si presenta in clinica (Fig. 6) con una situazione inaspettata: i tessuti sono normotrofici, l’ipertrofia è scomparsa; come si può notare, non si evidenziano recessioni sugli elementi parodontalmente compromessi, il cui sondaggio è ora fisiologico (Fig. 7). Il paziente si dimostra molto soddisfatto e ci racconta di un miglioramento del suo stato di benessere generale; inoltre, avendo avuto un miglioramento straordinario dal punto di vista personale, estetico e motivazionale, ci ha chiesto di migliorare ancor di più il suo sorriso con uno sbiancamento professionale.
Gli sono state mostrate alcune indicazioni da eseguire fino al prossimo controllo: continuare il trattamento con il protocollo di disinfezione con clorexidina per una settimana e poi interromperlo, per evitare la colorazione degli elementi; continuare con lo spazzolino sonico e gli scovolini. Gli è stato dato un appuntamento per lo sbiancamento professionale.
Sbiancamento (1,5 ora)
Per la rilevazione del colore si è utilizzata la scala colore VITA, in modo da confrontare il colore degli elementi dentali con il campione di riferimento corrispondente. Il colore di riferimento A3,5 è stato scelto insieme al paziente stesso con l’ausilio di uno specchio per responsabilizzarlo sulle giuste tecniche di mantenimento della salute dei tessuti orali e del colore ottenuto in seguito al trattamento.
Sono state inoltre scattate le fotografie iniziali per documentare il caso e utilizzarle in seguito, nel caso in cui fosse necessario un rinforzo motivazionale all’utilizzo degli strumenti consigliati.
Per proteggere le labbra durante il trattamento, si è proceduto con l’inserimento di un apribocca specifico, dopodiché è stato posizionato l’apribocca apposito con il fermalingua, in modo che il paziente potesse stare il più comodo possibile durante l’intera seduta. Dopo aver posizionato l’apribocca e la protezione per le labbra, si va a posizionare sui margini gengivali la diga liquida contenuta nel kit, in modo da proteggere i tessuti molli dal contatto con il perossido. Questa diga liquida ha la peculiarità di contenere vitamina E, ha proprietà antiossidanti, che la rende più stabile in bocca, si può bagnare con l’acqua senza il rischio che venga via, e può essere utilizzata in caso di un accidentale bruciatura delle mucose del paziente con qualche goccia di sbiancante per lenire subito il fastidio. Prima di procedere con il posizionamento del gel sbiancante, è importante verificare che la diga sia perfettamente posizionata in ogni spazio interdentale e margine, in modo da non creare disagio al paziente. Dopo aver posizionato il gel su tutti i denti, si passa alla fotoattivazione con la lampada polimerizzante per 5 secondi per dente. Questa particolarità permette di verificare l’avvenuta reazione in modo da procedere con il dente successivo, riducendo i tempi del trattamento e la durata della seduta per il paziente. In questo caso abbiamo effettuato 4 cicli completi sui denti del sorriso perché avevamo già raggiunto un ottimo risultato.
Non avendo disidratato lo smalto, si può procedere subito con la rilevazione del colore dopo il trattamento, avendo ottenuto un colore A2 ed effettuando le fotografie finali (Fig. 8). Per completare la seduta si è verificata nuovamente con il paziente la differenza di colore fra l’inizio della terapia e il termine, in modo da renderlo partecipe dell’ottimo risultato ottenuto, rinnovando le nostre raccomandazioni per il mantenimento della compliance ottenuta fino ad ora.
Il paziente, vedendo le foto iniziali della sua bocca e quelle finali sbiancate, è rimasto davvero colpito e molto contento. Viene richiamato per un controllo a una settimana per verificare il colore e a un mese per il deplaquing.
embedImagecenter("Imagecenter_1_1472",1472, "large");
Conclusioni
In questo case report abbiamo voluto evidenziare come un corretto approccio clinico e un’approfondita motivazione siano necessari per migliorare lo stato di salute del cavo orale, lavorando sia dal punto di vista clinico sia attraverso un approccio psicologico del paziente. Abbiamo portato il paziente a una salute fisiologica dei tessuti e a un’ottima compliance domiciliare, integrando così un’autostima positiva, a tal punto da ricercare l’estetica migliore per la sua bocca.
L'articolo è stato pubblicato sul numero 12 di Dental Tribune Italy 2014.
Le malattie parodontali possono causare gravi invalidità quali la perdita o la riduzione della funzionalità dell’apparato ...
Il gold standard nella rimozione del biofilm fino ad oggi è stato considerato lo scaling and root planning sopra e sottogengivale eseguito con ...
Un sorriso più attraente, un’estetica dentale migliorata e risultati duraturi sono stati legati per lungo tempo ai restauri in ceramica –...
Organizzato dall’Associazione internazionale Microscopic Dental Club si è svolto a New Delhi (10/12 novembre) nella cornice 5 stelle del Taj Vivanta ...
Lo scopo di questo articolo è illustrare i vantaggi di un flusso digitale per la registrazione dei rapporti dei tessuti molli con le protesi provvisorie e ...
Se vuole produrre salute per il paziente in prevenzione primaria, secondaria o terziaria, il professionista deve occuparsi di wellness, utilizzando quella ...
Materialise Dental ha appena lanciato una nuova, intuitiva soluzione di pianificazione degli impianti. Con SimPlant GO la chirurgia non riserva più ...
Brescia. La perimplantite è una delle patologie odontoiatriche più frequenti che dentisti e igienisti devono affrontare. Una revisione sistematica della ...
La parodontite aggressiva è una patologia che colpisce i tessuti parodontali superficiali e profondi portando alla progressiva perdita di attacco e ...
La parodontite aggressiva è una patologia che colpisce i tessuti parodontali superficiali e profondi portando alla progressiva perdita di attacco e ...
Dr. Bruce McFarlane Certified Specialist in Orthodontics Fellow: Royal College of Dentists of Canada Diplomate: American Board of Orthodontics
Live webinar
mer. 15 aprile 2026
20:00 (CET) Rome
Live webinar
gio. 16 aprile 2026
2:00 (CET) Rome
Linda Hecker MS, BSDH, RDH
Live webinar
gio. 16 aprile 2026
18:00 (CET) Rome
Dr. Pär-Olov Östman, Dr. Robert Gottlander DDS
Live webinar
ven. 17 aprile 2026
18:00 (CET) Rome
Live webinar
ven. 17 aprile 2026
19:00 (CET) Rome
Dr. Stuart Yeaton BDentSc, MOrth
Live webinar
lun. 20 aprile 2026
19:00 (CET) Rome
Dr. Alberto Monje DDS, MS, PhD
To post a reply please login or register