La trasposizione dentale è una rara anomalia dentale che consiste nell’inversione posizionale, parziale o totale, di due denti adiacenti della stessa arcata. È un evento che si verifica più frequentemente nel mascellare superiore rispetto all’inferiore e coinvolge maggiormente il sesso femminile. La trasposizione dentale ha un’eziologia multifattoriale dove un ruolo importante è ricoperto dalle cause genetiche e dalle cause ambientali. La diagnosi deve essere accurata e precisa ed è doveroso accompagnare esami radiografici all’esame clinico. Per quanto riguarda il trattamento, la scelta ricade sul mantenere ed allineare i denti in posizione trasposta, o ripristinare la posizione dei denti trasposti.
Introduzione
La trasposizione dentale è una anomalia di posizione che consiste nello scambio, parziale o totale, di due denti adiacenti della stessa arcata. Il dente più frequentemente coinvolto è il canino superiore con eruzione ectopica mesiale all’incisivo laterale o distale al primo premolare mascellare1. La trasposizione dentale è di solito accompagnata da altre anomalie dentali quali l’inclusione degli incisivi, l’agenesia degli incisivi laterali, incisivi laterali conoidi, denti ruotati o dilacerati2.
Epidemiologia
La trasposizione dentale è un fenomeno raro che si osserva maggiormente nei pazienti di sesso femminile. La trasposizione canina unilaterale è molto più comune di quella bilaterale (79%)1. Alcuni autori hanno riscontrato una propensione alla trasposizione unilaterale soprattutto per i quadranti del lato sinistro3; altri invece non hanno riscontrato differenze significative a riguardo4.
Classificazione
Secondo la classificazione di Peck e Peck del 1995, la trasposizione nel mascellare superiore può essere identificata in cinque sottotipi:
canino - primo premolare;
canino - incisivo laterale;
canino - primo molare;
incisivo centrale;
incisivo laterale.
La trasposizione canino-primo premolare è la varietà clinica più frequente (71%), seguita dalla trasposizione tra canino-incisivo laterale (20%)5. Esistono altri casi di trasposizione, estremamente rari, non inclusi nella classificazione del 1995, come ad esempio quella tra canini e secondi molari6.
La letteratura è concorde nell’affermare che la trasposizione sia un evento che si verifica più frequentemente nel mascellare superiore rispetto all’inferiore1,2,5. Gli autori suggeriscono che ciò sia da attribuire alla diversa densità ossea dei due mascellari. L’osso mascellare, essendo più poroso, è caratterizzato da una maggiore incidenza di trasposizione, con un’ampia varietà di quadri clinici4,5. In contrasto, l’elevata densità ossea della mandibola rappresenta un fattore di protezione nei confronti della trasposizione4. Infatti, la trasposizione mandibolare più frequente è quella che avviene tra canini e incisivi laterali, poiché l’osso è meno denso rispetto ai settori posteriori7.
Esistono variazioni della fisiologica sequenza di eruzione dentale che possono simulare la trasposizione, in questi casi si parla di “pseudo-trasposizione”. Ad esempio, casi di eruzioni ectopiche multiple, oppure la presenza di premolari sovrannumerari che erompono tra il primo e il secondo molare mascellare, possono essere confusi con la trasposizione8.
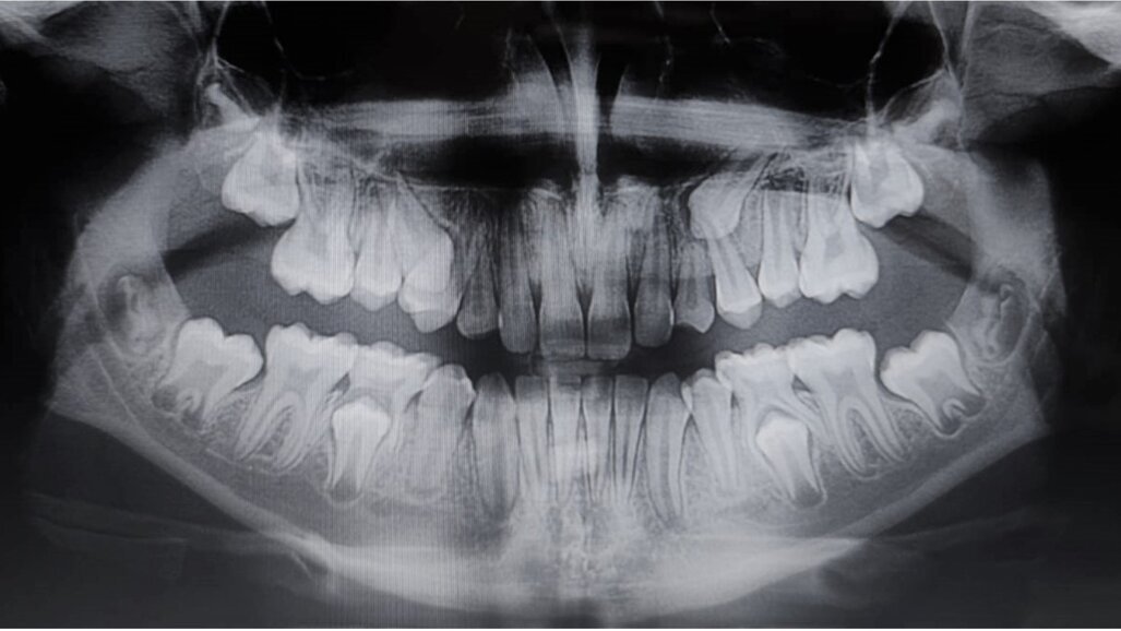
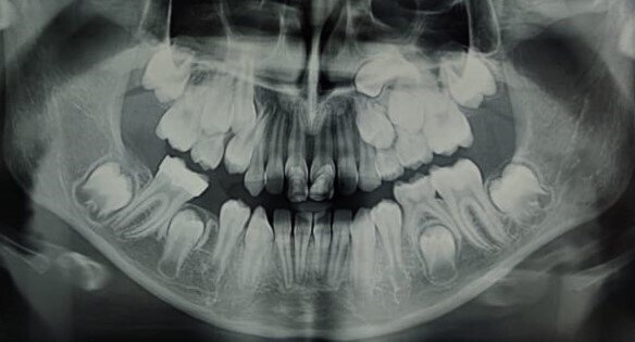
Eziologia La trasposizione dentale sembra avere una eziologia multifattoriale dove un ruolo importante è ricoperto dalle cause genetiche e dalle cause ambientali9. Alcuni Autori avvalorano maggiormente la teoria genetica10, sostenendo che un’alterazione nello sviluppo dentale produca, contestualmente alla trasposizione, varie anomalie dentali, quali ad esempio: agenesie dentali, incisivi laterali conoidi, etc. 2,7,11. Inoltre, l’interessamento bilaterale dello stesso dente, la presenza di trasposizione dentale in pazienti sindromici, come nella sindrome di Down12 o nella displasia cleidocranica13, il riscontro dell’anomalia in gemelli monozigoti14, sono altre evidenze che possono confermare l’eziologia genetica. In Figg. 1a, 1b è riportato un interessante caso di due gemelle eterozigoti che mostrano entrambe trasposizione canino-premolare mascellare e ritenzione canina.
Figg. 1a, 1b - Rx-OPT della paziente 1 (A) e della paziente 2 (B) gemelle di anni nove e mezzo entrambe in trattamento ortodontico intercettivo. Si nota la particolare e contemporanea presenza sia della trasposizione canina-premolare sia della ritenzione canina superiore.
Figg. 1a, 1b - Rx-OPT della paziente 1(A) e della paziente 2(B) gemelle di anni nove e mezzo entrambe in trattamento ortodontico intercettivo. Si nota la particolare e contemporanea presenza sia della trasposizione canina-premolare sia della ritenzione canina superiore.
I fattori ambientali che maggiormente causano alterazioni del percorso eruttivo di un dente permanente determinando anomalie di posizione, sono principalmente i traumi dento-facciali in dentizione decidua15,16. In particolare, i traumi a livello degli incisivi potrebbero causare spostamenti in senso distale degli incisivi laterali mascellari e quindi la migrazione erronea mesiale dei canini permanenti. Anche l’estrazione precoce degli incisivi centrali, oppure del primo molare, può favorire la migrazione opportunistica del canino verso il sito dell’estrazione, agevolando così l’insorgere della trasposizione.
Diagnosi La trasposizione dentale può essere facilmente individuata tramite l’esame clinico intraorale e la palpazione dell’area delle radici dei denti corrispondenti. Tuttavia, un ulteriore esame radiologico (radiografie panoramiche o endorali) è auspicabile e solitamente raccomandato4. Con quest’ultimo tipo di indagine è possibile, inoltre, distinguere una trasposizione “completa”, quando si ha uno scambio completo di posizione dei denti coinvolti, da una forma “incompleta”, in cui lo scambio coinvolge le sole corone mentre le radici permangono nella loro normale sede12. L’uso della tomografia a fascio conico (TC cone-beam) può essere adottato per le trasposizioni complesse, per valutare i rapporti reciproci dei denti trasposti e la qualità dell’osso che li circonda17.
Terapia La trasposizione dentale rappresenta una delle sfide più ardue per l’ortodontista. Il fine principale del trattamento ortodontico è quello di correggere la posizione dei denti trasposti e raggiungere una occlusione funzionale ed esteticamente adeguata. Per ottenere tale risultato, è doveroso eseguire una meticolosa diagnosi e adottare un approccio multidisciplinare che orienti verso il piano di trattamento più individualizzato ed efficace18,19.
Infatti, nella maggior parte dei casi in cui il canino è trasposto, viene alterata sia la guida occlusale sia l’estetica del sorriso20,21. Inoltre, per prevenire qualsiasi tipo di danno ai denti e alle strutture di supporto devono essere tenuti in considerazione diversi fattori quali: l’età del paziente, l’estetica, la compliance del soggetto, il supporto parodontale e la durata del trattamento22,23. Non esiste un protocollo consolidato per la trasposizione, poiché ogni soluzione deve essere individualizzata per caso specifico. Tuttavia, il timing diagnostico è indispensabile per l’orientamento decisionale24,25.
In letteratura esistono diverse opzioni cliniche:
Trattamento intercettivo per le trasposizioni dentali diagnosticate precocemente (intorno ai 6-8 anni) e con le radici limitrofe alla sede fisiologica. Se presente il dente deciduo, se ne consiglia l’estrazione guidando così l’eruzione del dente trasposto nella posizione corretta. Inoltre, è raccomandato mantenere lo spazio di estrazione con un arco linguale o una barra transpalatale.
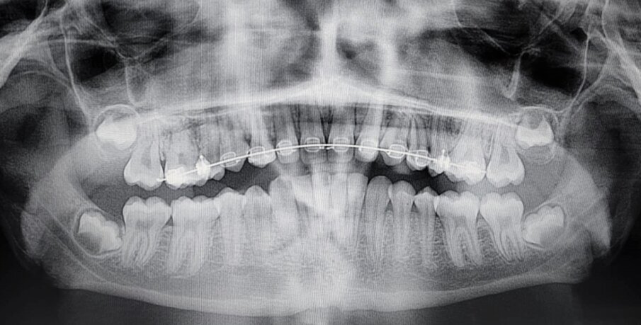
Allineamento dei denti nella loro posizione trasposta e successivo camouflage (Figg. 2a, 2b).
Estrazione di uno o entrambi i denti trasposti e successiva terapia ortodontica. Questa strategia è auspicabile quando ci sono altre problematiche come l’affollamento o le carie dentali.
Correzione ortodontica intra-arcata degli elementi dentali trasposti. Questa soluzione richiede tempi di trattamento molto lunghi, aumentando così il rischio di riassorbimento radicolare dei denti e perdita di osso17,26.
Figg. 2a, 2b: Rx-OPT iniziale di una paziente di anni dieci con trasposizione caninopremolare 1.3-1.4 e ritenzione canina dell’elemento 23(A); Rx-OPT in corso di trattamento della stessa paziente, in cui è mostrata la risoluzione ortodontica con mantenimento dei denti trasposti nel primo quadrante (B).
Figg. 2a, 2b: Rx-OPT iniziale di una paziente di anni dieci con trasposizione caninopremolare 1.3-1.4 e ritenzione canina dell’elemento 23(A); Rx-OPT in corso di trattamento della stessa paziente, in cui è mostrata la risoluzione ortodontica con mantenimento dei denti trasposti nel primo quadrante (B).
L’orientamento terapeutico è influenzato da vari fattori, come ad esempio:
La morfologia dentale. Quando si decide di mantenere la trasposizione per poter effettuare un camouflage soddisfacente, occorre valutare attentamente la morfologia e la salute degli elementi da trattare27.
L’occlusione. Se il canino viene sostituito dal primo premolare la morfologia radicolare deve essere tale da permettere di ottenere una guida “canina” simmetrica o una guida di gruppo funzionale28.
L’estetica facciale. Quando si esegue l’allineamento ortodontico è importante considerare il prognatismo facciale sia se si è deciso di mantenere o correggere la posizione degli elementi trasposti sia in caso di estrazioni.
Lo stato di sviluppo e la posizione radicolare. La dimensione vestibolo-linguale dell’osso alveolare spesso non è adatta a supportare il movimento radicolare di due denti adiacenti specialmente se sono completamente erotti. La compressione e la frizione generati durante la correzione possono causare danni iatrogeni come il riassorbimento radicolare o problematiche parodontali29–31.
La durata del trattamento e il rapporto costo/beneficio18,26,32. Di seguito, in Fig. 3, è proposto uno schema decisionale semplificato per la scelta di trattamento più opportuna in caso di trasposizione canino-premolare.
Conclusione
La trasposizione dentale è un’anomalia dentale di posizione rara ad eziologia multifattoriale. Esistono diverse forme cliniche, la più frequente è quella tra canino e primo premolare. La diagnosi deve essere accurata e precisa ed è doveroso accompagnare esami radiografici all’esame clinico. Per quanto riguarda il trattamento, la scelta ricade sul mantenere ed allineare i denti in posizione trasposta, o ripristinare la posizione corretta. Essenziale è operare nel rispetto dei limiti biologici in modo da prevenire il riassorbimento radicolare e la perdita di supporto parodontale. Per questo motivo una scelta ragionata ed un approccio multidisciplinare è consigliato per il piano di trattamento di questo tipo di anomalia dentale.
Bibliografia
Pedalino, A.; Matias, M.; Gaziri, D.; Vieira, B.; Alves, L.; Ursi, W. Treatment of Maxillary Canine Transposition. Angle Orthod. 2020, 90, 873–880, doi:10.2319/121719-808.1.
Tanaka, O.M.; Hartmann, G.C.; Povh, B.; Strapasson, F.; Weissheimer, A. The Challenging Biomechanics in a Maxillary Lateral Incisor and Canine Transposition Malocclusion. J. Clin. Diagn. Res. 2019, doi:10.7860/JCDR/2019/41604.13109.
Papadopoulos, M.A.; Chatzoudi, M.; Kaklamanos, E.G. Prevalence of Tooth Transposition: A Meta-Analysis. Angle Orthod. 2010, 80, 275–285, doi:10.2319/052109-284.1.
Peck, S.; Peck, L. Classification of Maxillary Tooth Transpositions. Am. J. Orthod. Dentofacial Orthop. 1995, 107, 505–517, doi:10.1016/S0889-5406(95)70118-4.
Hekmatfar, S.; Jafari, K.; Zadfatah, F.; Mousavi, S. Maxillary Canine-Second Molar Transposition: A Rare Case Report. J. Dent. Res. Dent. Clin. Dent. Prospects 2017, 11, 131–134.
Farronato, G.; Cannalire, P.; Martinelli, G.; Tubertini, I.; Maspero, C. Trasposizione dentale e trattamento ortodontico: revisione della letteratura. Dent. Cadmos 2015, 83, 590–596, doi:10.1016/S0011-8524(15)30091-X.
Ely, N.J.; Sherriff, M.; Cobourne, M.T. Dental Transposition as a Disorder of Genetic Origin. Eur. J. Orthod. 2006, 28, 145–151, doi:10.1093/ejo/cji092.
Peck, S.; Peck, L.; Kataja, M. The Palatally Displaced Canine as a Dental Anomaly of Genetic Origin. Angle Orthod. 1994, 64, 249–256, doi:10.1043/0003-3219(1994)064<0249:WNID>2.0.CO;2.
Ali, Z.; Jaisinghani, A.C.; Waring, D.; Malik, O. Transposition of Maxillary Canine to Central Incisor Site: Aetiology, Treatment Options and Case Report.; 2014; Vol. 41, p. 244;.
Shapira, J.; Chaushu, S.; Becker, A. Prevalence of Tooth Transposition, Third Molar Agenesis, and Maxillary Canine Impaction in Individuals with Down Syndrome. Angle Orthod. 2000, 70, 290–296, doi:10.1043/0003-3219(2000)070<0290:POTTTM>2.0.CO;2.
Inchingolo, A.D.; Patano, A.; Coloccia, G.; Ceci, S.; Inchingolo, A.M.; Marinelli, G.; Malcangi, G.; Montenegro, V.; Laudadio, C.; Palmieri, G.; et al. Genetic Pattern, Orthodontic and Surgical Management of Multiple Supplementary Impacted Teeth in a Rare, Cleidocranial Dysplasia Patient: A Case Report. Med. Kaunas Lith. 2021, 57, 1350, doi:10.3390/medicina57121350.
Peck, S.; Peck, L.; Hirsh, G. Mandibular Lateral Incisor-Canine Transposition in Monozygotic Twins. ASDC J. Dent. Child. 1997, 64, 409–413.
Dayal, P.K.; Shodhan, K.H.; Dave, C.J. Transposition of Canine with Traumatic Etiology. J. Indian Dent. Assoc. 1983, 55, 283–285.
Cirulli, N.; A, B.; S, C.; D, F.; F, I.; G, D.; Mr, G.; G, A.B. Mixed Dentition Space Analysis of a Southern Italian Population: New Regression Equations for Unerupted Teeth. J. Biol. Regul. Homeost. Agents 2015, 29.
Coloccia, G.; Inchingolo, A.D.; Inchingolo, A.M.; Malcangi, G.; Montenegro, V.; Patano, A.; Marinelli, G.; Laudadio, C.; Limongelli, L.; Di Venere, D.; et al. Effectiveness of Dental and Maxillary Transverse Changes in Tooth-Borne, Bone-Borne, and Hybrid Palatal Expansion through Cone-Beam Tomography: A Systematic Review of the Literature. Medicina (Mex.) 2021, 57, 288, doi:10.3390/medicina57030288.
Matsumoto, M.A.N.; Stuani, M.B.S. Tooth Transposition: A Multidisciplinary Approach. Dent. Press J. Orthod. 2018, 23, 97–107, doi:10.1590/2177-6709.23.1.097-107.bbo.
Patano, A.; Cirulli, N.; Beretta, M.; Plantamura, P.; Inchingolo, A.D.; Inchingolo, A.M.; Bordea, I.R.; Malcangi, G.; Marinelli, G.; Scarano, A.; et al. Education Technology in Orthodontics and Paediatric Dentistry during the Covid-19 Pandemic: A Systematic Review. Int. J. Environ. Res. Public. Health 2021, 18, 6056, doi:10.3390/ijerph18116056.
Lorente, C.; Lorente, P.; Perez-Vela, M.; Esquinas, C.; Lorente, T. Orthodontic Management of a Complete and an Incomplete Maxillary Canine-First Premolar Transposition. Angle Orthod. 2020, 90, 457–466, doi:10.2319/080218-561.1.
Inchingolo, A.D.; Patano, A.; Coloccia, G.; Ceci, S.; Inchingolo, A.M.; Marinelli, G.; Malcangi, G.; Montenegro, V.; Laudadio, C.; Pede, C.D.; et al. The Efficacy of a New AMCOP® Elastodontic Protocol for Orthodontic Interceptive Treatment: A Case Series and Literature Overview. Int. J. Environ. Res. Public. Health 2022, 19, 988, doi:10.3390/ijerph19020988.
Maia, F.A. Orthodontic Correction of a Transposed Maxillary Canine and Lateral Incisor. Angle Orthod. 2000, 70, 339–348, doi:10.1043/0003-3219(2000)070<0339:OCOATM>2.0.CO;2.
Montenegro, V.; Inchingolo, A.D.; Malcangi, G.; Limongelli, L.; Marinelli, G.; Coloccia, G.; Laudadio, C.; Patano, A.; Inchingolo, F.; Bordea, I.R.; et al. Compliance of Children with Removable Functional Appliance with Microchip Integrated during Covid-19 Pandemic: A Systematic Review. J. Biol. Regul. Homeost. Agents 2021, 35, 365–377, doi:10.23812/21-2supp1-37.
DI VENERE, D.; NARDI, G.M.; LACARBONARA, V.; LAFORGIA, A.; STEFANACHI, G.; CORSALINI, M.; GRASSI, F.R.; RAPONE, B.; PETTINI, F. Early Mandibular Canine-Lateral Incisor Transposition: Case Report. Oral Implantol. 2017, 10, 181–189, doi:10.11138/orl/2017.10.2.181.
Cardarelli, F.; Patano, A.; Montenegro, V.; Malcangi, G.; Coloccia, G.; Inchingolo, A.D.; Marinelli, G.; Laudadio, C.; Dipalma, G.; Di Venere, D.; et al. Elastodontic therapy un nuovo approccio alla terapia ortodontica funzionale. Il Dent. Mod. 2021, 48–63.
Ciarlantini, R.; Melsen, B. Maxillary Tooth Transposition: Correct or Accept? Am. J. Orthod. Dentofacial Orthop. 2007, 132, 385–394, doi:10.1016/j.ajodo.2007.04.011.
Inchingolo, F.; Tatullo, M.; Marrelli, M.; Inchingolo, A.M.; Tarullo, A.; Inchingolo, A.D.; Dipalma, G.; Podo Brunetti, S.; Tarullo, A.; Cagiano, R. Combined Occlusal and Pharmacological Therapy in the Treatment of Temporo-Mandibular Disorders. Eur. Rev. Med. Pharmacol. Sci. 2011, 15, 1296–1300.
Di Venere, D. Correlation between Parodontal Indexes and Orthodontic Retainers: Prospective Study in a Group of 16 Patients. Oral Implantol. 2017, 10, 78, doi:10.11138/orl/2017.10.1.078.
Rapone, B.; Ferrara, E.; Santacroce, L.; Cesarano, F.; Arazzi, M.; Liberato, L.D.; Scacco, S.; Grassi, R.; Grassi, F.R.; Gnoni, A.; et al. Periodontal Microbiological Status Influences the Occurrence of Cyclosporine-A and Tacrolimus-Induced Gingival Overgrowth. Antibiot. Basel Switz. 2019, 8, E124, doi:10.3390/antibiotics8030124.
Cantore, S.; Ballini, A.; De Vito, D.; Abbinante, A.; Altini, V.; Dipalma, G.; Inchingolo, F.; Saini, R. Clinical Results of Improvement in Periodontal Condition by Administration of Oral Probiotics. J. Biol. Regul. Homeost. Agents 2018, 32, 1329–1334.
Marinelli, G.; Inchingolo, A.D.; Inchingolo, A.M.; Malcangi, G.; Limongelli, L.; Montenegro, V.; Coloccia, G.; Laudadio, C.; Patano, A.; Inchingolo, F.; et al. White Spot Lesions in Orthodontics: Prevention and Treatment. A Descriptive Review. J. Biol. Regul. Homeost. Agents 2021, 35, 227–240, doi:10.23812/21-2supp1-24.
La sfida: creare modelli digitali 3D privi di distorsione, utilizzando un metodo efficace in termini di costi, che migliori il flusso di lavoro dello studio...
«I team odontoiatrici hanno un ruolo chiave nel fornire informazioni per aiutare i pazienti e le loro famiglie promuovendo l’importanza di controlli ...
Il 7° Forum SUSO della professione ortodontica era già sold out qualche giorno prima del 16-17-18 settembre 2021 a Torino, mentre in giro per l’Italia ...
Nella preparazione ortodontica dei soggetti che verranno sottoposti ad un intervento di chirurgia ortognatica ci sono alcuni obiettivi che devono essere ...
Atlanta (USA): L'organizzazione per la Sicurezza, la Sepsi e la Prevenzione (OSAP), sodalizio che promuove la sicurezza in odontoiatria, ha annunciato il ...
CHENNAI, India: La Indian Orthodontic Society (IOS) ha presentato una denuncia in merito alla terapia aligner direct-to-consumer (D2C) alla più alta ...
Al Policlinico A. Gemelli di Roma alcuni nomi eccellenti dell’Ortodonzia italiana si sono confrontati il 27 gennaio scorso in una Tavola Rotonda ispirata ...
SYDNEY, Australia: le ricerche dimostrano che l’attrattiva del viso può influenzare in modo significativo le decisioni sociali, comprese quelle legate ...
In ortodonzia la gestione degli spazi interprossimali è fondamentale per ottenere un risultato predicibile. Questo caso presentava affollamento dentale ...
Ginevra: i team odontoiatrici sono in prima linea nell’affrontare il consumo di tabacco; tuttavia, fornire ai pazienti indicazioni per smettere di fumare ...
Dalla prima fotografia integrata dell’Odontoiatria Corporativa in EMEA al caso italiano:
perché osservare oggi le DSO significa capire dove sta andando ...
L’odontoiatria richiede precisione clinica, spesso entro tempi ristretti e sotto la pressione di soddisfare le aspettative dei pazienti, ma una pratica ...
To post a reply please login or register