Nella preparazione ortodontica dei soggetti che verranno sottoposti ad un intervento di chirurgia ortognatica ci sono alcuni obiettivi che devono essere sempre considerati per il raggiungimento di un risultato soddisfacente: Posizione degli incisivi; Linee interincisive; Simmetria dei canini; Curva di Spee; Coordinazione trasversale.
Lo studio dei rapporti dentali è sicuramente una delle componenti più importanti nello studio cefalometrico. Sono da considerarsi gli unici valori che, fatto salvo alcune eccezioni, devono essere sempre riportati alla normalità. La posizione degli incisivi rappresenta un punto essenziale di tutti i trattamenti ortodontico-chirurgici, e può essere considerato uno dei punti-chiave della terapia. Studiare cefalometricamente i rapporti che intercorrono tra gli incisivi e le rispettive basi ossee, rappresenta la vera guida per la programmazione terapeutica ortodontica pre-chirurgica, praticamente il fulcro della decompensazione ortodontica.
Analizzando l’incisivo superiore, il valore da misurare è l’angolo spino-incisale (angolo che si forma tra l’asse lungo dell’incisivo superiore con il piano bi-spinale PNS-ANS) che ha come “norma” 110° ± 5°. Mentre analizzando l’incisivo inferiore , il valore da misurare è l’angolo mandibolo-incisale (angolo che si forma tra l’asse lungo dell’incisivo inferiore e il piano mandibolare Go-Me) che ha come valore “norma” 90° ± 5°.
I valori cefalometrici risultano avere un valore molto importante anche perché indicano al clinico la necessità di estrazioni dentarie ed il tipo di ancoraggio. Da queste considerazioni deriva l’importanza di una corretta gestione della posizione degli incisivi nella pianificazione ortodontica. Essa diventa una questione essenziale, dogmatica, unico reale e irrinunciabile punto di riferimento cefalometrico di tutto il trattamento.
In base al tipo di disgnazia da risolvere si parte da una situazione diversa che deve essere trattata adeguatamente ragionando sugli obiettivi del piano di trattamento, tenendo in considerazione anche l’armonia facciale finale del soggetto. Nel caso di soggetti affetti da III Classi scheletriche esiste per la maggior parte dei casi un meccanismo di compenso naturale alla discrepanza scheletrica sagittale, per cui si sviluppano durante la crescita: lingualizzazione degli incisivi inferiori e vestibolarizzazione degli incisivi superiori.
Queste modificazioni incisali avvengono per un tentativo di raggiungere, da parte delle arcate, ad un contatto occlusale. Ovviamente a seconda della gravità della dismorfosi queste inclinazioni possono raggiungere valori anche molto alterati causando quindi implicazioni di tipo parodontale. Questo dimostra che il ripristino dei valori normali degli incisivi è una condizione necessaria non solo per la correzione della classe scheletrica in sede di chirurgia ma anche per la salvaguardia della salute parodontale.
Infatti il concetto di modulabilità dell’intervento chirurgico è in funzione della posizione incisale e degli obiettivi prefissati:
- se le condizioni ossee e parodontali lo consentono si può modificare l’inclinazione e angolazione degli incisivi superiori tanto quanto sarà ottimale ai fini della osteotomia maxillare, ottenendo uno spostamento chirurgico delle basi ossee di grado maggiore con conseguente impatto estetico più rilevante;
- in presenza di problematiche di tipo parodontale (in particolar modo a livello incisale inferiore) con biotipi sottili (carenza di gengiva cheratinizzata) eridotto spessore del tessuto osseo si devono accettare dei compromessi con una minore decompensazione.
Nell’ambito delle seconde classi occorre distinguere i sottotipi di I e di II divisione:
- la I divisione può presentarsi, sul piano verticale, con diverse caratteristiche: normo, deep o open-bite;
- la II divisione si presenta generalmente ipodivergente con deep-bite.
Nelle seconde classi I divisione, la correzione degli incisivi superiori richiede solitamente un movimento palatale di questi denti di pochi gradi e nella maggior parte dei casi senza estrazioni dei premolari. Mentre con affollamenti anche di lievi entità (2-3 mm) diventa necessario ricorrere alle estrazioni, solitamente dei primi premolari. Per quanto concerne gli incisivi inferiori che spesso si trovano vestibolarizzati anche di molti gradi e in affollamento, l’estrazione dei premolari si rende necessaria anche per correggere l’eventuale curva di Spee accentuata. Come nelle terze classi anche in questo caso può risultare utile modificare al di sotto dei 90° l’inclinazione incisale quando ci si trova di fronte a casi con gravi iposviluppi mandibolari in cui siano desiderabili avanzamenti chirurgici di una certa rilevanza.
Nelle seconde classi II divisione la terapia ortodontica pre-chirurgica deve trasformare la II in I divisione: gli incisivi superiori devono essere vestibolarizzati mentre quelli inferiori devono essere leggermente intrusi e vestibolarizzati fino ad un valore del loro asse di 90° rispetto al piano mandibolare. In base all’entità di affollamento viene stabilito se il caso necessita di estrazioni, inoltre spesso in fase pre-chirurgica non si riesce ad ottenere il completo appiattimento della curva di Spee che sarà quindi completato nella fase di ortodonzia post-chirurgica.
_Scopo della ricerca
Lo scopo del presente lavoro è valutare se la posizione del margine incisale degli incisivi superiori in linea con la spina nasale è un corretto indicatore al fine di ottenere un supporto labiale idoneo nella preparazione ortodontica pre-chirurgica.
_Materiali
Da un pool di 500 esami CBCT (Cone-Beam Computed Tomography), sono stati selezionati 2 campioni:
- Il primo campione comprende 50 esami radiografici tridimensionali divisi equamente in base al sesso in 2 gruppi da 25. Il campione è stato determinato in base ai seguenti criteri di inclusione:
- soggetti in I Classe scheletrica in base al valore angolare di Steiner ANB 2°±2°;
- soggetti che presentavano un valore della posizione mascellare sagittale (MX), in base all’analisi cefalometrica 3D multiplanare di tipo intermedio mx 3, 2-4 mm e misto 4-6 mm;
- soggetti con un valore angolare spino-incisale entro il range di norma 110°±5° eseguito tramite analisi cefalometrica 3D;
- soggetti con un valore dell’angolo naso-labiale entro il range di normalità: M 98,7°-114,1° / F 96,7°-110,3°
- soggetti con dentatura completa o solo parzialmente compromessa ma con la presenza di tutti gli elementi frontali.
Sono stati scartati tutti quegli esami in cui: il paziente era stato acquisito con il capo non in Natural Head Position e soggetti in cui la columella del naso non fosse compresa nella scansione radiografica.
- Il secondo campione comprende 200 esami Cone-Beam e i criteri di inclusione sono:
- esami che non siano già stati inclusi all’interno della prima campionatura;
- soggetti con dentatura completa o solo parzialmente compromessa ma con la presenza di tutti gli elementi frontali.
Non è stato necessario, per portare avanti il protocollo sperimentale, il consenso di alcun comitato etico, perché i dati DICOM (Digital Imaging Communication of Medicine) sono stati acquisiti da esami radiografici già prescritti per altri motivi di pertinenza odontoiatrica.
I file DICOM sono stati poi caricati nel software Materialise Simplant Ortho O&O (Materialise Co, Leuven, Belgio). Di ogni campione, grazie al software si sono ottenuti immagini assiali, coronali, sagittali ed il rendering 3D della struttura scansionata.
È stato controllato che il FOV fosse sufficientemente grande da inglobare tutto il distretto maxillo-facciale. In genere si considera l’area che va dalla glabella (punto più prominente dell’osso frontale al di sopra della sutura naso-frontale tra le due arcate sopraccigliari) al menton (punto più posteriore della sinfisi mentoniera).
_Metodi
I soggetti sono stati inclusi nel primo campione dopo essere stati sottoposti a una doppia verifica cefalometrica:
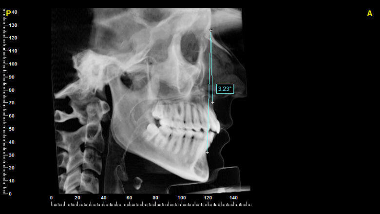
È stato calcolato il valore angolare di ANB su proiezione latero-laterali ottenute mediante sintesizzazione delle scansioni CBCT secondo la tecnica del Ray-Sum elaborata dal software. Grazie al sistema Ray-Sum sono visualizzati, per sommatoria, tutti i valori dei voxel dal punto di veduta al piano di proiezione. Questo numero alla fine viene diviso per il numero stesso dei voxel ottenendo l’immagine finale. Le immagini latero-laterali derivanti dagli esami tomografici sono costruite usando le proiezioni ortogonali settando il centro della proiezione a una distanza infinita dal piano di proiezione come per simulazione di raggi totalmente paralleli tra loro (Fig. 1).
L’identificazioni dei landmark nei cefalogrammi sintesizzati ha una variabilità molto minore rispetto a quella ottenuta dal riconoscimento dei medesimi sui cefalogrammi convenzionali. I soggetti che sono risultati classificabili come I° Classi scheletriche secondo i valori ANB sono stati analizzati secondo la metodica di analisi cefalometrica multiplanare 3D associata a un modulo creato appositamente che prevede lo studio del gruppo incisale superiore.
I soggetti sono stati inclusi nel primo campione dopo essere stati sottoposti a una doppia verifica cefalometrica. I landmark utilizzati nell’ analisi 3D sono identificati grazie al sistema MPR (MultiPlanar Recostruction), che è stato generato dal software. Strumenti per il miglioramento delle immagini e il massimo zoom sono stati utilizzati per marcare, con la massima certezza ed accuratezza, ogni singolo punto in tutti e tre i piani dello spazio. I landmark utilizzati nel nostro sistema cefalomentrico 3D sono 12, di cui:
- 7 landmark per la valutazione scheletrica (Tab. 1) (Figg. 2, 3).
| Punto |
Definizione |
| U11 |
Punto medio del margine incisale dell’incisivo centrale di destra. |
| ApU1R |
Apice dell’incisivo centrale di destra. |
| U21 |
Punto medio del margine incisale dell’incisivo centrale di sinistra. |
| ApU1L |
Apice dell’incisivo centrale di sinistra. |
| Punto A |
Punto più arretrato della concavità del mascellare superiore tra ANS e la cresta alveolare. |
| ANS (Anterior Nasal Spine) |
Punto più avanzato del profilo del mascellare superiore a livello della sutura palatina mediana. |
| PNS (Posterior Nasal Spine) |
Punto più posteriore e mediano del mascellare superiore. |
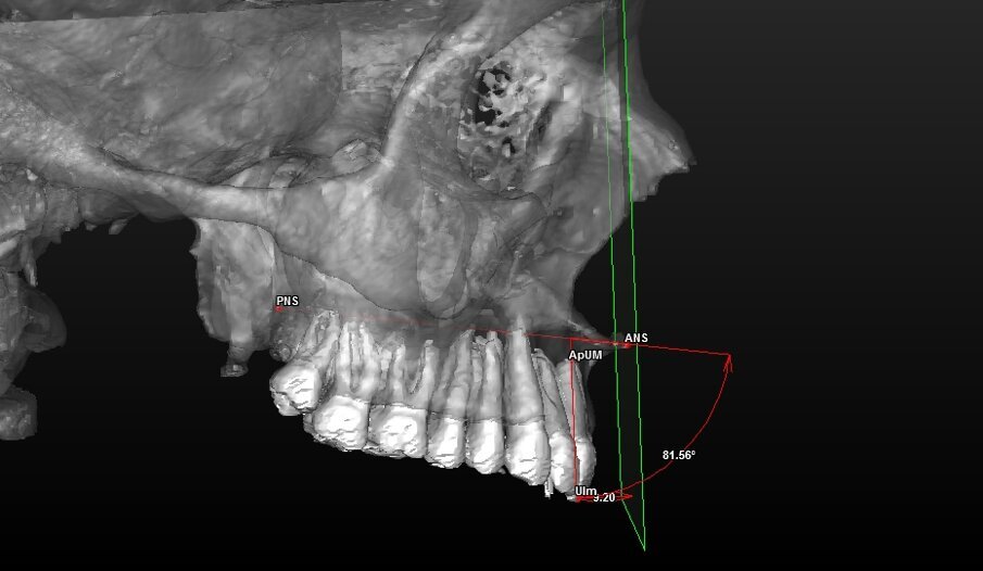
UIm: Punto mediano dei margini degli incisivi U11 e U21;Dai landmark dentali (U11, U21, ApU1R e ApU1L) sono stati ricavati due punti mediani calcolati direttamente dal software:
- ApUM: Punto mediano degli apici degli incisivi ApU1R e ApU1L.
Con questi è stato possibile tracciare una retta che passasse tra i punti UIm e ApUM e che possa essere considerato così il vero asse mediano degli incisivi centrali definendolo “Asse Incisale Superiore”.
Dai landmark ossei ANS e PNS è stata tracciata una retta passante per questi due punti definita “Asse Spinale”.
5 landmark per la valutazione estetica dei tessuti molli (Tab. 2) (Fig. 4).
| Punto |
Definizione |
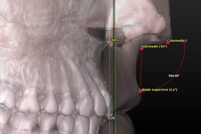
| Ls (Labiale superiore) |
Punto mediano più sporgente anteriormente del vermiglio labiale superiore. |
| Sn (Subnasale) |
Punto mediano cutaneo d’incontro tra columella e labbro superiore. |
| Columella |
Punto mediano cutaneo più alto di columella a livello d’incontro tra le narici. |
| BLs (Bordo posteriore del labbro superiore ) |
Punto postero-inferiore del labbro superiore a livello del margine incisale. |
| A* |
Punto cutaneo del corrispondente punto subspinale A. |
_Piani di riferimento
Sono stati utilizzati 3 piani di riferimento:
- Piano sagittale: individuato dai punti SAG1, SAG2, SAG3;
- Piano coronale: individuato dai punti COR1, COR2, COR3;
- Piano assiale: individuato dai punti AX1, AX2, AX3.
Questi piani sono indipendenti dalla postura della testa con cui è acquisito l’esame tomografico. Ogni punto di questi piani viene individuato sulla slice 0.00 del rispettivo piano, così che questi risultino esterni alla struttura cranica, così da evitare problematiche connesse ad esempio a locali rimodellamenti ossei (Fig. 5).
_Piani di costruzione
I piani di costruzione sono interni perché costruiti sulla base di landmark craniali e non dipendenti dalla posizione del capo. Sono stati ottenuti seguendo le regole geometriche per la costruzione di un piano:
- Anterior Facial Plane (ATP): Piano passante per ANS e parallelo al piano coronale di riferimento;
- Upperlip Plane (ULp): Piano passante per Ls e parallelo al piano coronale di riferimento;
- A* Plane (A*p): Piano passante per A* e parallelo al piano coronale di riferimento.
L’analisi si avvale di misurazioni angolari e lineari ottenute mediante il calcolo della distanza fra punti cefalometrici e piani. L’equazione che viene utilizzata per ricavare la distanza che separa un punto qualsiasi P=(x0,y0,z0) da un piano p è (Fig. 6):
d(π, P)= |ax0 + by0 + cz0 + d|
√a2 + b2 + c2
Da un pool di 500 casi, sono stati selezionati n. 145 casi di I° Classe scheletrica secondo la cefalometria 2D tradizionale. I 145 casi sono stati a loro volta analizzati secondo la cefalometria multiplanare 3D. Da questa analisi sono stati selezionati 50 casi, divisi equamente in base al sesso, perché corrispondevano ai criteri di selezione scelti:
- Angolo Spino-Incisale à 110°±5°;
- Valore MX:
- Valore Intermedio MX à 3,2-4 mm;
- Valore Misto à 4-6 mm.
- Angolo Naso-Labiale:
- M 98,7°-114,1°;
- F 96,7°-110,3°.
L’analisi cefalometrica 3D utilizzata nella ricerca prevede il calcolo delle seguenti misurazioni divise in:
Componente scheletrica (Tab. 3):
| Misurazione |
Unità |
Valori considerati “Norma” |
Descrizione |
| A – ATP (posizione del mascellare superiore) |
mm |
3,2-6 |
Distanza tra l’Anterior Facial Plane e il punto A |
I valori MX, ripresi dalla metodica cefalometrica multiplanare 3D considerati per il nostro studio normali sono Intermedio Mx e Misto visto che:
- nell’ Intermedio MX sono compresi valori appartenenti a soggetti sia di II che di I Classe scheletrica in base allo studio fatto dagli Autori;
- Nel Misto sono compresi valori appartenenti a tutte e tre le classi in base allo studio fatto dagli Autori ( 7).
Componente dentale (Tab. 4) (Figg. 8, 9):
| Misurazione |
Unità |
Valori considerati “Norma” |
Descrizione |
| Angolo Spino-Incisale |
gradi |
110±5 |
Angolo tra asse spinale e asse incisale |
| Posizione Incisale (UIm – ATP) |
mm |
da ricercare |
Distanza tra UIm e l’Anterior Facial Plane |
Componente tessuto molle (Tab. 5) (Figg. 10a-11):
| Misurazione |
Unità |
Valori considerati “Norma” |
Descrizione |
| Angolo Naso-Labiale |
gradi |
U 98,7- 114,1
F 96,7-110,3 |
Angolo tra i punti Columella-Subnasale-Labiale superiore |
| Altezza Labbro |
mm |
19-22 |
Distanza tra il punto Sn e Ls |
| Spessore Labbro Coronale |
mm |
U13,4-16,2
D10,8-14,4 |
Distanza tra BLs e il ULp |
| Spessore Labbro Apicale |
mm |
14-16 |
Distanza tra A e il A*p |
Il secondo campione, composto da 200 casi scelti in modo randomizzato è stato utilizzato per la valutazione della lunghezza della spina nasale anteriore.
I 200 casi, divisi in base al sesso in 2 gruppi da 100, sono stati analizzati con l’utilizzo di una singola analisi (Tab. 6):
| Misurazione |
Unità |
Valori considerati “Norma” |
Descrizione |
| A – ATP (Lunghezza Spina Nasale Anteriore) |
mm |
3,2 -6 |
Distanza tra l’Anterior Facial Plane e il punto A |
_Analisi statistica
I valori delle misurazioni sono stati ottenuti automaticamente dal software ed archiviati sotto il formato .CSV, infine esportati ed inseriti in una cartella di Excel customizzata. L’analisi statistica prevede il calcolo della media e della deviazione standard dei due campioni che sono stati analizzati presi singolarmente. Infine è stata eseguita una comparazione tra i due campioni, il primo di n. 50 e il secondo di n. 200, valutando la sovrapponibilità dei risultati per quanto concerne l’analisi morfologica della spina nasale anteriore con la posizione sagittale del mascellare superiore.
_Risultati
- Valutazione della posizione del margine incisale superiore
Il primo campione, composto da 50 casi, è stato analizzato secondo la metodica cefalometrica 3D.
Sono state rilevate misurazioni riferite a:
- Posizione sagittale Maxillare (o valore MX) e Lunghezza della Spina Nasale Anteriore;
- Angolo Spino-incisale;
- Posizione del margine incisale superiore;
- Angolo Naso-Labiale;
- Altezza del Labbro superiore;
- Spessore del Labbro coronale;
- Spessore del Labbro apicale.
Di ogni singola misurazione è stata calcolata media e deviazione standard con i seguenti risultati divisi in base al sesso (Tab. 7):
| Misurazione |
Valori ottenuti |
Valori norma |
| Posizione Maxillare |
M 4,69 ± 0,55 mm
F 4,73 ± 0,82 mm |
Int. MX 3,2 – 4 mm
Misto 4 - 6 mm |
| Angolo Spino-incisale |
M 109,9° ± 3,55°
F 109,26 ± 3,37 mm |
110° ± 5° |
| Posizione del Margine Incisale superiore |
M 0,16 ± 0,65 mm
F 0,1 ± 0,5 mm |
- |
| Angolo Naso-Labiale |
M 104,94° ± 3,64° mm
F 105,32° ± 3,6° mm |
M 98,7°-114,1°
F 96,7°-110,3° |
| Altezza del Labbro superiore |
M 14,98 ± 2,53 mm
F 14,71 ± 2,67 mm |
19 – 22 mm |
| Spessore labbro coronale |
M 10,99 ± 2,24 mm
F 9,34 ± 2,07 mm |
M 13,4 – 16,2 mm
F 10,8 – 14,4 mm |
| Spessore labbro apicale |
M 14,53 ± 1,75 mm
F 13,21 ± 2,02 mm |
14-16 mm |
Sono risultati solo 2 casi (uomini) che presentano una distanza dal piano passante per la spina nasale anteriore (Anterior Facial Plane) superiore a 1 mm, che costituiscono l’8% dei 25 casi del gruppo maschile e il 4% del campione totale (50 casi). I valori della posizione sagittale maxillare (MX) sia degli uomini che delle donne risultano essere all’interno del valore Misto dell’analisi cefalometrica multiplanare 3D sia fra gli uomini che fra le donne. 1 caso negli uomini e 2 casi nelle donne ricadono nel valore Intermedio Mx.
I valori dell’angolo naso-labiale e angolo spino-incisale sia per gli uomini che per le donne si trovano all’interno del range di norma (compresa la deviazione standard). I valori ottenuti per l’altezza del labbro superiore sono dissimili ai valori norma mediamente considerati in letteratura.
- Valutazione morfologica della spina nasale anteriore
Il secondo studio prevede l’analisi di 200 casi, suddivisi equamente in base al sesso in due gruppi da 100. È stata eseguita la misurazione della Posizione sagittale Maxillare (MX) che è stata equiparata alla lunghezza stessa della Spina Nasale Anteriore considerando che i punti con i quali viene presa la misurazione sono:
- punto A à base della Spina Nasale Anteriore;
- ANS à apice della Spina Nasale Anteriore.
È stata calcolata la media e la deviazione standard per entrambi i gruppi:
- M 4,95 ± 1,86 mm;
- F 4,67 ± 1,46 mm.
Per una media cumulativa di 200 casi pari a: 4,8 ± 1,53 mm (range 3,27-6,33) che corrisponde (eccede di 0,33 mm rispetto al limite di 6 mm del valore Misto) ai valori che erano stati presi come norma nel primo campione valutato per la posizione del margine incisale superiore.
_Discussione
L’estetica facciale, in particolare il profilo, non è solo un motivo che incoraggia molti pazienti ad intraprendere un trattamento ortodontico ma è anche uno dei più importanti obiettivi del piano di trattamento. Sebbene il piano di trattamento sia basato principalmente sulla relazione occlusale, negli ultimi anni si fa molta più attenzione ad ottenere un’armonia del profilo facciale ottimale. È stato già affermato che una corretta occlusione non sempre coincide con un risultato profilometrico desiderabile e i trattamenti ortodontici che aderiscono strettamente ai valori standard forniti dalla cefalometria non necessariamente incontrano i principi estetici.
Quando si parla di estetica facciale, non solo dovrebbe essere controllata occlusione ed allineamento dentale, ma dovrebbe essere inclusa una valutazione della relazione tra scheletro e tessuto molle. Il profilo del tessuto molle, includendo la zona naso-labiale e labio-mentale hanno ricevuto molta attenzione negli ultimi anni. In questa direzione lo studio del profilo facciale sia a riposo che “in sorriso” è parte integrante per una completa diagnosi ortodontica.
I soggetti sono stati inclusi nel primo campione dopo essere stati sottoposti a una doppia verifica cefalometrica. Per migliorare la previsione sula corretta posizione degli incisivi maxillari sono state eseguite diverse analisi cefalometriche tra cui quella di Andrews in cui prende come punto di riferimento la fronte del paziente ma analizza solo la posizione antero-posteriore.
Uno studio interessante sull’effetto dell’inclinazione labio-linguale e sulla posizione antero-posteriore degli incisivi è stato eseguito da Cao, il quale dimostra che sebbene la posizione antero-posteriore degli incisivi è importante per l’armonia facciale, lievi spostamenti in avanti degli incisivi non compromettono il profilo estetico “in sorriso”. Mentre inclinazioni labio-linguali non corrette possono facilmente rovinare l’armonia estetica profilometrica. Limite dello studio è l’essere stato eseguito solo su soggetti asiatici.
L’inclinazione labio-linguale non corretta è da imputare a diversi fattori, tra cui la perdita di torque o la sua non completa espressione. Gioka ed Eliades suggeriscono una prescrizione con torque elevato per compensare la naturale non completa espressione sempre in relazione alle esigenze cliniche. Ciò non è comunque indicato quando si parte da un caso di affollamento, non estrattivo, con gli incisivi superiori che presentano una inclinazione molto vicina a quella desiderata.
Nelle riabilitazioni implanto-protesiche del settore frontale, sia il chirurgo orale che il protesista si pongono il problema di dove posizionare nello spazio gli incisivi centrali da dover sostituire. Oltre alla ricerca spasmodica della perfezione strutturale del manufatto protesico in base all’età, sesso e morfologia facciale, è stata valutata solo la posizione verticale degli incisivi maxillari. La posizione verticale viene determinata dal rispristino di una corretta funzione fonetica specialmente per i suoni di tipo labiale associata alla relazione che essi contraggono con le labbra in base ad età e sesso.
Ma anche in ambito protesico e riabilitativo non è stata mai investigata la corretta posizione sul piano sagittale degli incisivi superiori al fine di ottenere un corretto supporto labiale. Il fine di questo studio era quello di stabilire un nuovo punto di riferimento per la posizione ideale degli incisivi superiori in relazione ad un corretto angolo naso-labiale, che come conseguenza determina un buon supporto labiale superiore.
In letteratura scientifica, non esistono articoli pubblicati che studino la spina nasale anteriore né dal punto di vista anatomico né come punto di riferimento per la posizione incisale. Essa può essere considerata un punto di riferimento stabile, che non va incontro a processi di rimodellamento o riassorbimento neanche in seguito a perdita degli elementi dentari anteriori.
In base agli studi eseguiti da Enlow sulla crescita delle strutture craniche ci sono dei processi di apposizione e riassorbimento a carico della zona maxillare anteriore ma che non interessano l’apice della spina nasale anteriore (Fig. 12) (Fig. 13). Solo 2 casi su 50 totali (uomini + donne) hanno presentato una discrepanza tra la posizione reale e quella ipotizzata > 1mm (Grafici 1, 2). Nelle donne non ci sono casi che presentano una discrepanza della misura UIm-ATP > 1 mm ma 8 casi che si presentano fuori dal range di idealità < 1 mm (32%). Sul totale del campione analizzato circa il 76% si trova all’interno dell’intervallo di normalità e solo 2 casi si trovano invece fuori dal range <1 mm (Grafico 3).
Tutto questo è supportato anche dallo studio eseguito da Schlosser, che dimostra come una retroposizione, in senso antero-posteriore degli incisivi superiori sia “peggiorativa” dal punto di vista dell’attrattività del soggetto mano a mano che questa palatinizzazione aumenta (la loro sperimentazione arriva ad una massima retrusione di 4 mm). Preso atto che la spina nasale può essere presa come nuovo punto di riferimento per la posizione degli incisivi, a questo punto essa stessa diventa una variabile importante e da analizzare per prevedere come potrà cambiare il supporto labiale superiore (determinato dall’angolo naso-labiale) al modificarsi della lunghezza della spina nasale anteriore.
Il naso di un soggetto anziano occidentale è cadente a causa dell’età così come nei soggetti asiatici lo si ha per un fattore secondario: atrofia/o sotto-sviluppo della Spina Nasale Anteriore. L’aumento dell’angolo naso-labiale è richiesta molto frequentemente dai pazienti orientali per cambiare le caratteristiche del proprio naso da tipicamente piatto a più pronunciato come quello dei soggetti occidentali. In questo senso è lecito partire dai concetti di chirurgia plastica in particolar modo delle tecniche che vengono utilizzate nel sud est-asiatico. In queste regioni è di moda “l’occidentalizzazione del naso” che consiste nel modificare l’angolo naso-labiale alzando il Nasal Tip e di conseguenza il punto Columella.
In questo modo si modifica l’angolo-naso-labiale che risulta più aperto, questo perché la base del naso (cioè ANS) risulta essere modificata durante l’intervento chirurgico. L’aumento di una spina nasale anteriore sottosviluppata usando filler/innesti tra le crure mediali (cartilagini del naso) e ANS aumenta la proiezione del Tip nasale e dell’angolo naso-labiale modificando quindi l’intera morfologia del naso.
Questi concetti sono fondamentali, perché nel nostro caso possono essere sfruttati a nostro vantaggio e quindi si può dedurre che:
- ANS lunga tende ad aumentare l’angolo naso-labiale;
- ANS corta tende a ridurre l’angolo naso-labiale come succede per le ANS sottosviluppate nelle etnie del sud-est asiatico.
_In sintesi
In base agli studi pubblicati sulla percezione del limite anteriore della dentatura è sempre preferibile una leggera protrusione degli incisivi superiori piuttosto che una loro lingualizzazione/retrusione e quindi in accordo con i risultati ottenuti da questo studio.
Questo può permettere di capire, in fase di elaborazione della strategia del piano di trattamento:
- Tipo di biomeccanica da utilizzare nel trattamento; ortodontico/ortodontico-chirurgico;
- Tipo di ancoraggio;
- Scelta della prescrizione dei bracket più corretta, in funzione alla biomeccanica scelta basata sulla posizione finale programmata degli incisivi maxillari.
I valori ottenuti per l’altezza del labbro superiore sono dissimili ai valori di norma mediamente considerati in letteratura, perché questi ultimi prevedono l’utilizzo del landmark subnasale e stomion mentre nell’analisi eseguita viene preso il segmento “subnasale-labiale superiore”. Quindi tale differenza tra valori può essere spiegata per questo motivo. Infine le misurazioni riguardanti gli spessori del labbro, rilevati a livello coronale e apicale sono simili tra i sessi e differiscono dai valori norma perché:
- nel 2D le misurazioni sono prese punto-punto mentre;
- nel 3D vengono prese punto-piano e quindi non esiste la possibilità che la retta faccia un tragitto diagonale ma sarà sempre perpendicolare al piano, quindi compirà un tragitto più breve.
Questa spiegazione, puramente matematica, spiega la differenza esistente con i valori norma.
_Conclusioni
Prima di intraprendere un piano di trattamento ortodontico o ortodontico-chirurgico è necessario comprendere le esigenze del paziente e le sue aspettative dal punto di vista estetico, soprattutto quando vengono trattati soggetti adulti. La posizione antero-posteriore degli incisivi superiori modifica l’aspetto estetico dei tessuti molli del paziente e può essere manipolato/gestito con la scelta della tecnica ortodontica più adeguata al nostro scopo. Questa decisione modifica il tipo di preparazione delle arcate del paziente e il susseguente intervento maxillo-facciale in caso di preparazione ortodontico-chirurgica.
La possibilità di poter prevedere il futuro angolo naso-labiale è un aspetto che in mano al clinico può modificare la tipologia del piano di trattamento non solo in ortodonzia pre-chirurgica, ma anche nell’ortodonzia clinica quotidiana e in ambito protesico ed implantologico. Questo perché l’angolo naso-labiale si correla alla percezione spaziale della posizione del mascellare superiore ed essa alla morfologia della spina nasale anteriore, della posizione del margine incisale rispetto ad essa e l’inclinazione degli incisivi superiori.
Questo studio ha posto le basi per un corretto posizionamento del margine incisale superiore dal punto di vista sagittale inserendo come punto di riferimento una nuova struttura come la spin nasale anteriore. In futuro, al fine di rendere questa previsione più precisa, verranno presi in esame altri due parametri come lo spessore del labbro e la sua lunghezza, che sono aspetti meno determinanti ma da considerarsi comunque importanti al fine di una corretta previsione del supporto labiale.
Le indicazioni che provengono dalle misurazioni ottenute in questo studio possono essere considerate un ulteriore punto di riferimento nella progettazione ortodontica, ortodontico-chirurgica e implantologica. Questo perché nel Visual Treatment Planning di un caso la posizione degli incisivi è da sempre considerata uno degli aspetti chiave da prendere in considerazione.
In ortodonzia sia in fase progettuale sia di verifica alla fine di un trattamento della correttezza dei parametri dentali, il controllo della posizione iniziale e finale degli incisivi, rispetto alla spina nasale anteriore, è sicuramente un elemento aggiuntivo per la correttezza del risultato finale. In ortodonzia-prechirurgica la posizione ideale dell’incisivo facilita la programmazione dei movimenti osteotomici del mascellare. Infine anche in implantologia la progettazione protesicamente guidata può avvalersi di questo nuovo punto di riferimento per il posizionamento del settore frontale. In questo modo non solo si posizionano correttamente gli elementi protesici ma si controlla anche il supporto labiale superiore e l’effetto estetico finale.
Fig. 1_Ricostruzione Ray-Sum della Teleradiografia latero-laterale a partire da un esame CBCT.
Fig. 2_Ricostruzione 3D del mascellare superiore ed arcata dentaria con visione frontale dei landmark utilizzati.
Fig. 3_Ricostruzione 3D del mascellare superiore ed arcata dentaria con visione di profilo dei landmark utilizzati.
ig. 4_Ricostruzione 3D dei tessuti molli del paziente con visione dei landmark utilizzati.
Figg. 5, 6_Piani di riferimento per la costruzione dell’analisi cefalometrica 3D, secondo la metodica cefalometrica Total Face Approach.
Figg. 5, 6_Piani di riferimento per la costruzione dell’analisi cefalometrica 3D, secondo la metodica cefalometrica Total Face Approach.
Fig. 7_Valutazione della componente scheletrica.
Fig. 8_Valutazione della componente dentale in visione para-frontale.
Fig. 9_Valutazione della componente dentale in visione di profilo.
Fig. 10a_Valutazione dei tessuti molli: angolo naso-labiale.
Fig. 10b_Valutazione dei tessuti molli: altezza del labbro superiore.
Fig. 11_Valutazione dei tessuti molli: spessore del labbro coronale.
Fig. 12_Rappresentazione grafica della modalità di crescita dell’osso maxillare con le varie superfici di riassorbimento e di apposizione che non toccano l’apice della spina nasale anteriore che non subisce modificazioni. Il punto A (subspinale) è considerato come punto di inversione tra apposizione-riassorbimento.
Fig. 13_Ricostruzione 3D di un soggetto che presenta il margine incisale degli incisivi superiori (punto UIm) a livello della spina nasale anteriore e contestualmente un angolo naso-labiale corretto.
Bibliografia
- Arnett G.W., Bergam R.T.. Facial Keys to Orthodontic Diagnosis and Treatment Planning. Part I, Am J Orthod Dentofacial Orthop 1993;103(4):299-312.
- Nolte K., Muller B., Dibbet J.. Comparison of Linear Measurements in Cephalometric Studies, J Orofac Orthop 2003;64(4):265-274
.
- Perrotti G., Massimiliano P., Weinstein R.L.. Indicazioni per un uso consapevole della CBCT in odontoiatria. Dent Mod 2015;1:44-52.
- Grunheid T., Kolbeck Schieck J.R., Pliska B.T., Ahmad M., Larson B.E.. Dosimetry of a cone-beam computed tomography machine compared with a digital x-ray machine in orthodontic imaging. Am J Orthod Dentofacial Orthop 2012;141:436-43.
- McNeil C., McIntyre G.T., Laverick S.. How much incisor decompensation is achieved prior to orthognatic surgery? J Clip Exp Dent 2014;6:e225-229.
- Andrews W.A.. AP relationship of the maxillary central incisors to the forehead in white females. Angle Orthod. 2008;78:662–669.
- Kilpelanien P., Phillips C., Tulloch JFC.. Anterior tooth position and motivation for early treatment. Angle Orthod. 1993;63: 171–174.
- Cao L., Zhang K., Bai D., Jing Y., Tien Y., Guo Y.. Effect of maxillary incisor labiolingual inclination and anteroposterior position on smiling profile estethics. Angle Orthod 2011;81:121-129.
- Cevidanes L., Oliveira AEF., Motta A., Phillips C., Burke B., Tyndall D.. Head Orientation in CBCT-generated Cephalograms. Angle Orthod 2009;79(5):971-977.
- Perrotti G., Testori T., Politi M. (2014). Imaging, 3D Odontoiatria. Quintessenza Edizioni, Milano.
- Tanaka Y., Matsuo K., Yuzuriha S.. Westernization of the Asian Nose by Augmetation of the Retroposiotioned Anterior Nasal Spine with Injectable Filler. J Plast Surg 2011;2:50-57.
- Gateno J., Xia J.J., Teichgraeber JF (2011) New 3-domensional Cephalometric Analysis for Orthognatic Surgery. J Oral Maxillofacial Surg 69:606-22 .
- Arnett G.W., Bergam R.T.. Facial Keys to Orthodontic Diagnosis and Treatment Planning. Part I, Am J Orthod Dentofacial Orthop 1993 Apr;103(4):299-312.
- Tanaka Y.. Oriental Nose Occidentalization and Perinasal Shaping by Augmentation of the Underveloped of Anterior Nasal Spine. Plast Reconstr Surg Glob Open 2014;2e-197.
- Patel J.R., Prajapati P., Sethuraman R., Naveen Y.G.. A comparative Evaluation of Effect of Upper Lip Length, Age and Sex on Amount of Exposure of Maxillary Anterior Teeth. J Contemp Dent Pract 2011;12(1):24-29.
L'articolo è stato pubblicato su Cad Cam international magazine of digital dentistry, Italian edition settembre 2018.
Tag:
“La riduzione dell’invasività nelle procedure odontoiatriche” è il titolo del 7° Congresso Istituto Stomatologico Toscano, presso il Grand Hotel ...
Come sottolineato dall’Organizzazione Mondiale della Sanità (OMS), la salute orale include una vasta gamma di malattie e condizioni, come carie, malattia...
I rapporti tra le patologie che interessano la polpa dentaria e quelle riguardanti il parodonto marginale si verificano attraverso le connessioni anatomiche...
Gli impianti dentali rappresentano una delle opzioni più efficaci per il trattamento dell’edentulia, parziale o totale, consentendo la riabilitazione ...
Alcuni tra gli argomenti più discussi e controversi in odontoiatria protesica, nel caso di restauri con corone complete, hanno spesso interessato da ...
LONDRA ‒ I più recenti dati ministeriali dicono che in Inghilterra una persona su dieci soffre di paura del dentista. Una nuova ricerca del ...
Con l'inizio del Nuovo Anno i Dentisti Italiani hanno avuto una bella sorpresa. Il giorno dell'epifania hanno ricevuto dalla Befana una calza piena di ...
Le perimplantiti e la loro gestione, come dimostrato dai più recenti lavori pubblicati in letteratura e dalle relative revisioni, si configurano come...
La piezosurgery (PES) è una tecnica chirurgica utilizzata in varie branche specialistiche della medicina, al fine di realizzare osteotomie ...
Proposta per un corso di alta formazione a Bologna, una chirurgia a stretto contatto con altre specialità: dalla chirurgia plastica alla ...
Ms. Ellen Karlin, Dr. Sara Karlin
Live webinar
gio. 7 maggio 2026
17:00 (CET) Rome
Live webinar
gio. 7 maggio 2026
18:00 (CET) Rome
Live webinar
gio. 7 maggio 2026
18:00 (CET) Rome
Dra. Maria Carolina Erhardt, Dra. Thais Tomé Feldens
Live webinar
gio. 7 maggio 2026
20:30 (CET) Rome
Live webinar
lun. 11 maggio 2026
18:00 (CET) Rome
Live webinar
lun. 11 maggio 2026
19:00 (CET) Rome