Search Dental Tribune

La gestione dell’IPR nei casi ortodontici con allineatori trasparenti

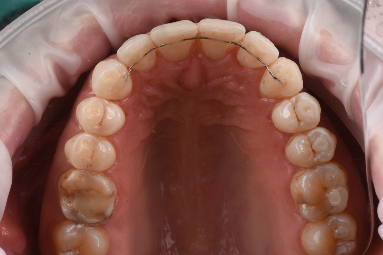
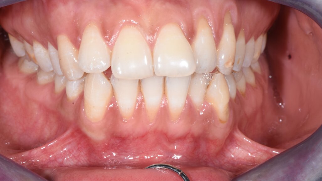
Fig. 3 - Situazione iniziale.

mar. 2 dicembre 2025

salvare

In ortodonzia la gestione degli spazi interprossimali è fondamentale per ottenere un risultato predicibile. Questo caso presentava affollamento dentale nell’arcata superiore e inferiore.

È stato deciso di risolverlo con allineatori trasparenti previa pianificazione digitale, dove è stata programmata la riduzione interprossimale necessaria.

Figg. 1-3 - Situazione iniziale arcata superiore e inferiore, foto intraorali.

Figg. 1-3 - Situazione iniziale arcata superiore e inferiore, foto intraorali.

Figg. 1-3 - Situazione iniziale arcata superiore e inferiore, foto intraorali.

Figg. 1-3 - Situazione iniziale arcata superiore e inferiore, foto intraorali.

Figg. 1-3 - Situazione iniziale arcata superiore e inferiore, foto intraorali.

Figg. 1-3 - Situazione iniziale arcata superiore e inferiore, foto intraorali.

Figg. 4–7 - Pianificazione digitale nelle due arcate prima (Figg. 4, 5) e dopo (Figg. 6, 7). I numeri nel quadrato indicano la riduzione interprossimale pianificata.

Figg. 4–7 - Pianificazione digitale nelle due arcate prima (Figg. 4, 5) e dopo (Figg. 6, 7). I numeri nel quadrato indicano la riduzione interprossimale pianificata.

Figg. 4–7 - Pianificazione digitale nelle due arcate prima (Figg. 4, 5) e dopo (Figg. 6, 7). I numeri nel quadrato indicano la riduzione interprossimale pianificata.

Figg. 4–7 - Pianificazione digitale nelle due arcate prima (Figg. 4, 5) e dopo (Figg. 6, 7). I numeri nel quadrato indicano la riduzione interprossimale pianificata.

Figg. 4–7 - Pianificazione digitale nelle due arcate prima (Figg. 4, 5) e dopo (Figg. 6, 7). I numeri nel quadrato indicano la riduzione interprossimale pianificata.

Figg. 4–7 - Pianificazione digitale nelle due arcate prima (Figg. 4, 5) e dopo (Figg. 6, 7). I numeri nel quadrato indicano la riduzione interprossimale pianificata.

Figg. 4–7 - Pianificazione digitale nelle due arcate prima (Figg. 4, 5) e dopo (Figg. 6, 7). I numeri nel quadrato indicano la riduzione interprossimale pianificata.

Figg. 4–7 - Pianificazione digitale nelle due arcate prima (Figg. 4, 5) e dopo (Figg. 6, 7). I numeri nel quadrato indicano la riduzione interprossimale pianificata.

Grazie a FitStrip è stato possibile eseguirla clinicamente con elevata predicibilità e controllo, grazie alla possibilità di utilizzare diverse granulometrie. La paziente ha inoltre riferito un ottimo comfort durante la procedura.

 

Fig 8 - Utilizzo di FitStrip per l’IPR.

Fig 8 - Utilizzo di FitStrip per l’IPR.

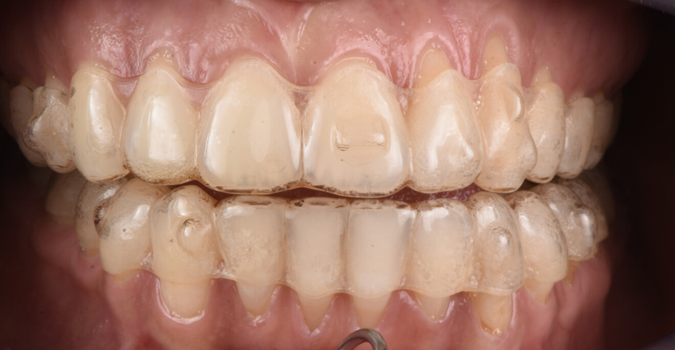
Fig 9 - Allineatori trasparenti in posizione al termine del trattamento.

Fig 9 - Allineatori trasparenti in posizione al termine del trattamento.

Figg. 10, 11 - Restauro margini incisali.

Figg. 10, 11 - Restauro margini incisali.

Figg. 10, 11 - Restauro margini incisali.

Figg. 10, 11 - Restauro margini incisali.

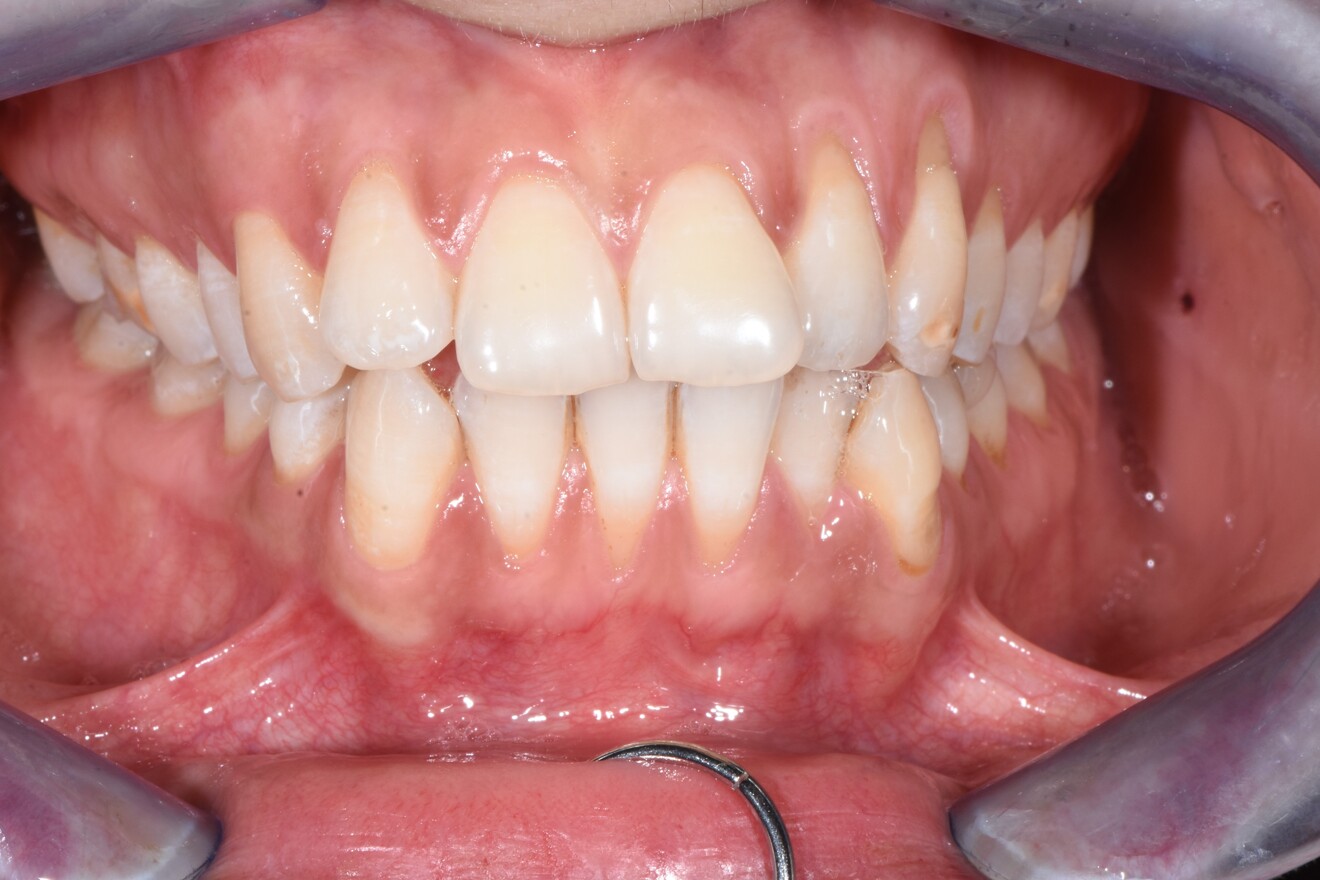
Figg. 12, 13 - Risultato finale arcata superiore e inferiore.

Figg. 12, 13 - Risultato finale arcata superiore e inferiore.

Figg. 12, 13 - Risultato finale arcata superiore e inferiore.

Figg. 12, 13 - Risultato finale arcata superiore e inferiore.

Tag:
To post a reply please login or register
advertisement
advertisement