Introduzione
I difetti ossei dei mascellari derivanti dai processi riassorbitivi che seguono all’estrazione di un elemento dentale, all’edentulia di lunga durata, alla parodontite, o a traumi, sono un reperto comune nei pazienti parzialmente o totalmente edentuli che richiedono una riabilitazione protesica implanto-supportata1.
In presenza di atrofie orizzontali complesse e atrofie verticali, le tecniche ricostruttive maggiormente documentate per il ripristino di un volume osseo tridimensionale compatibile con l’inserimento di impianti dentali in posizione protesicamente guidata, si basano sull’uso di osso autologo in bocchi o particolato, in virtù del suo potenziale osteogenetico, osteoinduttivo e osteoconduttivo, e sull’utilizzo di dispositivi rigidi per il mantenimento dello spazio rigenerativo, quali blocchi/lamine ossee, membrane rinforzate o mesh in titanio.2, 3 Tuttavia, tali tecnologie rigenerative si sono rivelate estremamente operatore-sensibili, in seguito al riscontro di tassi di complicanze molto variabili (da 0 a 45%),4 nonché associate a una maggior morbilità post-chirurgica, soprattutto quando abbinate all’utilizzo di osso autologo prelevato in sede orale o extra-orale5.
Obiettivi
Scopo del presente case report è quello di descrivere l’utilizzo di una nuova tecnologia rigenerativa basata sull’uso di un gel viscoelastico a base di polinucleotidi associati a acido ialuronico (Regenfast, Officine Biofarmaceutiche Mastelli), applicato con una tecnica stratificata, nel trattamento ricostruttivo di un’atrofia ossea mascellare a scopo peri-
implantare.
Descrizione del Caso
Una paziente di 45 anni, fumatrice (10/die), in buono stato di salute generale, si presenta richiedendo una riabilitazione protesica fissa del primo sestante parzialmente edentulo. L’anamnesi odontoiatrica rileva un pregresso fallimento implantare in sede 1.5, secondario a perimplantite, con sviluppo di una comunicazione oro-antrale in seguito all’estrazione dell’impianto, chiusa mediante un lembo di Rehrmann sostenuto da un avanzamento coronale della bolla di Bichat. È inoltre presente un elemento 1.4 affetto da una lesione endo-parodontale di terzo grado, già trattato con terapia endodontica e, successivamente mediante endodonzia chirurgica.
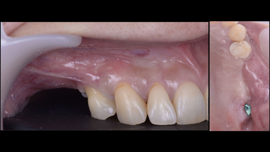
All’esame clinico e radiografico (Figg. 1, 2), si riscontra la persistenza della lesione endo-parodontale in sede 1.4, la presenza di un’atrofia ossea verticale nella cresta ossea edentula 1.5 associata a una deiscenza del pavimento sinusale sul fondo del difetto, e la presenza di una perimplantite severa a livello dell’impianto 1.7. Si riscontra inoltre una pneumatizzazione del seno mascellare destro in sede 1.6, con un’altezza ossea residua di ca. 1,5 mm.
Eseguita la ceratura digitale del caso e riscontrata la presenza di una quota ossea residua incompatibile con l’inserimento di impianti in posizione protesicamente guidata, si progetta un intervento combinato di:
- estrazione del dente 1.4 e dell’impianto 1.7;
- rialzo del seno mascellare con approccio laterale in sede 1.6;
- rigenerazione ossea con tecnica GBR in sede 1.5 ed 1.4.
Pertanto, in anestesia locale, si esegue un’incisione a busta in sede 1.8-1.4 con scarico mesiale, si scheletrizza il mascellare superiore isolando per via smussa la deiscenza del pavimento sinusale in sede 1.5 (Fig. 3), e si procede all’estrazione del dente 1.4 e dell’impianto 1.7 ed alla degranulazione dei difetti post-estrattivi. Segue pertanto una opercolizzazione ossea in sede 1.6, con scollamento della membrana di Schneider e creazione di uno spazio subsinusale esteso fino alla deiscenza in 1.5 (Fig. 4). Segue quindi un primo apporto di Regenfast sul letto osseo ricevente e il riempimento dello spazio subsinusale con Geistlich Bio-Oss (Geist-lich Pharma) granulometria small. Segue la stabilizzazione vestibolare di una membrana Geistlich Bio-Gide (Geistlich Pharma) con pins in titanio, e il posizionamento di Geistlich Bio-Oss a ricostruzione del difetto in sede 1.5 ed 1.4. La membrana viene quindi ribattuta sull’aspetto palatale della cresta, e stabilizzata con una combinazione di pin in titanio e suture a materassaio palatali.
Fig. 1 - Visione clinica pre-operatoria.
Fig. 2 - Visione radiografica pre-operatoria.
Fig. 3 - Scheletrizzazione del lembo, visione vestibolare.
Fig. 4 - Opercolizzazione ossea e scollamento della membrana di Schneider.
La procedura termina con il rilascio del lembo vestibolare, una seconda applicazione di Regenfast sulla superficie della membrana stabilizzata, la chiusura dei lembi per prima intenzione mediante una combinazione di punti a materassaio interno e punti staccati, ed una terza applicazione di Regenfast al di sopra della linea di chiusura (Figg. 5, 6). Dimessa la paziente in stato vigile e orientato, con coagulo competente, si rimuove la sutura a distanza di 14 giorni, riscontrando un decorso post-chirurgico nella norma (Fig. 7).
A distanza di 6 mesi, previa acquisizione di una CBCT (Figg. 8-10), si procede con il rientro chirurgico nella sede ricostruita (Fig. 11). Scheletrizzato il mascellare ricostruito, si riscontra una parziale risoluzione del difetto verticale in sede 1.5 e il ripristino di volumi ossei idonei all’inserimento di impianti in posizione protesicamente guidata in sede 1.4 ed 1.6. Durante la preparazione dei letti implantari, si esegue il prelievo di due carote ossee mediante fresa trephine da 3.3 mm. Segue quindi l’inserimento di due impianti Tissue Level SP 4.1 x 8 mm (Straumann) e l’adozione di un protocollo di guarigione sommerso (Figg. 12, 13).
Fig. 5 - Applicazione stratificata di Regenfast durante la tecnica GBR.
Fig. 6 - Chiusura del lembo ed applicazione finale di Regenfast sulla linea di sutura.
Fig. 7 - Guarigione a 14 giorni.
Fig. 8 - Guarigione a 6 mesi.
Fig. 9 - CBCT al baseline e a 6 mesi - ricostruzione 3D.
; Fig. 10 - CBCT al baseline e a 6 mesi - visione assiale e para-sagittale.
Fig. 11 - Rientro chirurgico a 6 mesi.
Fig. 12 - Prelievi bioptici ed inserimento implantare.
Fig. 13 - Chiusura per prima intenzione e sommersione impianti.
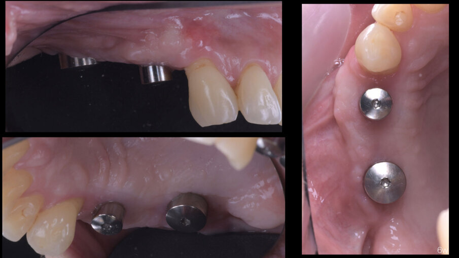
A distanza di 3 mesi, si procede alla seconda fase implantare abbinata a una vestiboloplastica, col fine di ripristinare la profondità del fornice vestibolare ed un’idonea anatomia dei tessuti molli perimplantari (Figg. 14, 15). Le biopsie del tessuto osseo prelevate in fase di inserimento implantare sono state processate con tecnica standard, non decalcificata, e colorate con blu di toluidina e pironina gialla.
Risultati
A 9 mesi dalla chirurgia ricostruttiva, si riscontra una buona stabilità dei tessuti duri e molli perimplantari (Figg. 16, 17). All’esame istologico descrittivo (Fig. 18) si riscontrano granuli residui del biomateriale utilizzato per la rigenerazione, a stretto contatto col tessuto osso neoformato. Cellule simil-osteoblastiche sembrano allineate lungo il fronte di rigenerazione ossea. Gli spazi midollari appaiono ricchi di vasi e privi di infiltrato infiammatorio.
Fig. 14 - Incisione palatale a spessore parziale finalizzata alla seconda fase implantare con vestiboloplastica.
Fig. 15 - Sutura della seconda fase implantare con vestiboloplastica.
Fig. 16 - Guarigione clinica a 6 settimane.
Fig. 17 - Radiografia periapicale a 6 settimane.
Fig. 18 - Immagine ad alto ingrandimento (400x) di una sezione istologica non decalcificata e colorata con blu di toluidina e pironina gialla.
Conclusioni
L’utilizzo di una strategia rigenerativa semplificata, che integri tecnologie di mantenimento di spazio riassorbibili assieme a booster biologici, potrebbe rappresentare una valida alternativa per il trattamento di atrofie ossee incompatibili con l’inserimento di impianti osteointegrati in posizione protesicamente guidata. Ulteriori studi sono necessari per stabilire l’efficacia e l’efficienza di un protocollo rigenerativo che implementi l’uso di Regenfast con una tecnica di apporto in strati.
Bibliografia
- Benic GI, Hämmerle CH. Horizontal bone augmentation by means of guided bone regeneration. Periodontol 2000. 2014 Oct;66(1):13-40.
- Sanz-Sánchez I, Carrillo de Albornoz A, Figuero E, Schwarz F, Jung R, Sanz M, Thoma D. Effects of lateral bone augmentation procedures on peri-implant health or disease: A systematic review and meta-analysis. Clin Oral Implants Res. 2018 Mar;29 Suppl 15:18-31.
- Urban IA, Montero E, Amerio E, Palombo D, Monje A. Techniques on vertical ridge augmentation: Indications and effectiveness. Periodontol 2000. 2023 Jan 31.
- Rocchietta I, Fontana F, Simion M. Clinical outcomes of vertical bone augmentation to enable dental implant placement: a systematic review. J Clin Periodontol. 2008 Sep;35(8 Suppl):203-15.
- Chiapasco M, Tommasato G, Palombo D, Scarnò D, Zaniboni M, Del Fabbro M. Dental implants placed in severely atrophic jaws reconstructed with autogenous calvarium, bovine bone mineral, and collagen membranes: A 3- to 19-year retrospective follow-up study. Clin Oral Implants Res. 2018 Jul;29(7):725-740.
L'articolo è stato pubblicato su Implant Tribune Italian Edition 2/23.
Tag:
Dental Tribune intervista il dott. Alessandro Carmignani che ha ricevuto il premio PEERS nella sezione Protesi cementata, con un caso clinico dal titolo ...
La chirurgia rigenerativa ossea si occupa da più di vent’anni della soluzione delle atrofie ossee conseguenti alla perdita degli elementi dentali. Molte ...
La stabilizzazione del coagulo adeso alla superficie radicolare, in un ambiente protetto da interferenze di natura meccanica e microbiologica, è ...
La stabilizzazione del coagulo adeso alla superficie radicolare, in un ambiente protetto da interferenze di natura meccanica e microbiologica, è ...
Una paziente di 65 anni si presentò alla nostra attenzione, riferita dal dentista curante, per risolvere il suo edentulismo posteriore bilaterale. ...
L’articolo presenta un caso clinico di una donna di 46 anni che necessitava di una riabilitazione implantare a livello dell’elemento 36. La CBCT ...
Il presente lavoro descrive una riabilitazione implanto-protesica mediante utilizzo di short implants con tecnica minimamente invasiva, in un caso di ...
CHARLOTTE, USA – CEREC su DS Core semplifica i flussi di lavoro chairside per i team che iniziano a introdurre l’odontoiatria digitale. La soluzione ...
Una delle problematiche cliniche più difficoltose da affrontare è l’atrofia della mandibola posteriore in quanto, in seguito alla ...
La rigenerazione ossea guidata (GBR) è una tecnica di incremento osseo efficace e ben documentata. L’espressione “incremento osseo ...
Tutti gli studi odontoiatrici hanno pazienti che soffrono di ipersensibilità dentinale. Molti pazienti evitano i trattamenti dentali proprio a causa ...
Live webinar
mer. 22 aprile 2026
17:00 (CET) Rome
MDT Andreas Chatzimpatzakis
Live webinar
mer. 22 aprile 2026
17:00 (CET) Rome
Live webinar
mer. 22 aprile 2026
18:00 (CET) Rome
Live webinar
gio. 23 aprile 2026
17:00 (CET) Rome
Live webinar
gio. 23 aprile 2026
18:30 (CET) Rome
Live webinar
gio. 23 aprile 2026
19:00 (CET) Rome
Live webinar
gio. 30 aprile 2026
1:00 (CET) Rome
Dr. Renato Leonardo D.M.D.
To post a reply please login or register