La stabilizzazione del coagulo adeso alla superficie radicolare, in un ambiente protetto da interferenze di natura meccanica e microbiologica, è conditio sine qua non per la rigenerazione parodontale1-4.
Nell’ambito delle procedure chirurgiche utilizzate per il trattamento ricostruttivo dei difetti parodontali infraossei, la gestione dei tessuti molli interdentali è un aspetto determinante per la stabilità e la conseguente maturazione del coagulo5. In particolar modo, il disegno di lembo e la sede in cui viene posizionata l’incisione sono elementi chiave per garantire una completa chiusura del lembo e il suo adeguato adattamento alla superfi cie radicolare, sia al momento della sutura sia nelle fasi di guarigione successive. Differenti opzioni chirurgiche in termini di disegno di lembo e tecniche di sutura sono state proposte con lo scopo di ottenere una chiusura per prima intenzione e quindi una buona stabilità della ferita6,7.
L’introduzione e l’utilizzo di disegni di lembo ad hoc per l’accesso a difetti infraossei anche profondi ha determinato un signifi cativo miglioramento degli esiti ricostruttivi dopo l’utilizzo di rigenerazione tissutale guidata (GTR, Guided Tissue Regeneration) o derivati della matrice dello smalto (EMD)8. Nonostante siano ormai noti gli effetti benefi ci aggiuntivi della GTR ed EMD, in associazione al solo curettaggio a cielo aperto9,10, i miglioramenti delle tecniche chirurgiche, In particolare l’introduzione di nuove procedure di preservazione della papilla, si sono tradotti in un progressivo incremento del guadagno di attacco clinico ottenibile con il solo curettaggio a cielo aperto8. Il Single Flap Approach (SFA) è una procedura chirurgica semplifi cata specifi camente disegnata per il trattamento di difetti ossei parodontali11-16. Il principio chiave di tale procedura consiste nell’elevazione di un unico lembo di accesso mucoperiosteo (vestibolare o orale), preservando l’integrità dei tessuti molli sopracrestali interprossimali.
Da un punto di vista clinico, il SFA si associa a molteplici vantaggi. In primo luogo, può facilitare il riposizionamento del lembo e la successiva fase di sutura: il lembo, infatti, può essere agevolmente stabilizzato sulla papilla intatta, favorendo così una guarigione della ferita per prima intenzione. In secondo luogo, limitando il trauma chirurgico al supporto vascolare dei tessuti molli sopracrestali interprossimali mediante una minima elevazione del lembo17-21, viene promosso un processo di guarigione più veloce, soprattutto in corrispondenza della linea di incisione. La stabilizzazione della ferita e la preservazione della papilla interprossimale sono, inoltre, in grado di minimizzare la contrazione post-chirurgica dei tessuti gengivali e, conseguentemente, di ridurre l’impatto dell’intervento sull’estetica preesistente13-16.
Precedenti studi11-14 hanno mostrato come il SFA sia un approccio chirurgico effi cace quando utilizzato in associazione a tecnologie rigenerative quali biomateriali sostitutivi dell’osso associati o meno a una membrana. In accordo ai risultati di un recente studio condotto su difetti infraossei profondi prevalentemente costituiti da 2-3 pareti residue, inoltre, il SFA ha dimostrato di consentire guadagni di attacco clinico (CAL) e riduzioni di profondità di sondaggio (PPD) sostanziali anche quando applicato da solo, senza l’ausilio di biomateriali o agenti biologici15. Il presente lavoro illustra il trattamento conservativo, eseguito mediante SFA, di un difetto parodontale infraosseo profondo caratterizzato prevalentemente da una sola parete residua e di un difetto prevalentemente sopraosseo.
Caso clinico
La paziente, donna di 54 anni, è giunta all’osservazione presso il Centro di Ricerca per lo Studio delle Malattie Parodontali e Peri- Implantari, Università di Ferrara, lamentando dolenzia e aumentata mobilità dell’elemento 1.4. La raccolta dell’anamnesi medica della paziente non ha evidenziato alcuna patologia pregressa o in atto. La valutazione dentale della paziente ha evidenziato la presenza di tutti gli elementi dentari, ad eccezione degli ottavi, e l’assenza di segni clinici di parafunzione. La vista parodontale, eseguita sulla base dei parametri biometrici e radiografi ci (ortopantomografi a), ha identifi cato una parodontite cronica di grado moderato generalizzato. Siti con profondità di sondaggio (PPD) ≥ 5mm erano presenti a carico delle aree molari e premolari superiori e in corrispondenza delle aree molari inferiori. L’indice di sanguinamento al sondaggio (BoP%) della paziente era al 45%. L’elemento 1.4, nello specifico, presentava valori di CAL (livello di attacco clinico) pari a 10 mm, 6 mm e 6 mm in corrispondenza, rispettivamente, degli aspetti mesio-vestibolare, vestibolare e disto-vestibolare, e 8 mm, 3 mm e 4 mm in corrispondenza, rispettivamente, degli aspetti mesio-palatino, palatino e disto-palatino.
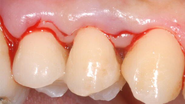
I corrispettivi valori di PPD erano 9 mm, 6 mm e 5 mm a carico degli aspetti mesio-vestibolare, vestibolare e disto-vestibolare, rispettivamente. In corrispondenza degli aspetti mesio-palatino, palatino e disto-palatino, invece, i valori di PPD erano pari a 8 mm, 3 mm e 4 mm, rispettivamente (Fig. 1). Tutti i siti erano positivi al sanguinamento al sondaggio mentre i versanti mesio-vestibolare e mesio-palatino si associavano anche a suppurazione. L’elemento presentava una mobilità di grado 2 ed è risultato positivo al test di vitalità, eseguito applicando uno stimolo freddo. L’esecuzione del sondaggio transcrevicolare e la radiografi a periapicale hanno confermato la presenza di un difetto infraosseo profondo localizzato mesialmente all’elemento 1.4, mentre a carico della superfi cie distale dell’elemento stesso era evidente la presenza di un difetto prevalentemente sopraosseo con una minima componente infraossea (Fig. 2). Tutte le procedure sono state eseguite in accordo con la dichiarazione di Helsinki (Edinburgo 2002) e con le norme per la buona pratica clinica (GCPs). La paziente ha fornito il consenso informato scritto prima di sottoporsi alla terapia.
embedImagecenter("Imagecenter_2_1055",1055,"small");
Procedura pre-chirurgica
La paziente è stata sottoposta a una seduta full-mouth di scaling-root planing, eseguita con strumenti meccanici e manuali. In corrispondenza dell’elemento 1.4 è stata eseguita anestesia infiltrativa, utilizzando mepivacaina con adrenalina 1:100.000, al fine di consentire una strumentazione sottogengivale più accurata. Al termine della seduta, la paziente ha ricevuto istruzioni di igiene orale domiciliare relativamente alla tecnica di spazzolamento e all’utilizzo dello scovolino nelle aree interprossimali. Per ridurre la mobilità dell’elemento 1.4, è stato infine eseguito uno splintaggio intra-coronale 1.4-1.5 utilizzando resina composita e filo metallico. La rivalutazione, eseguita a distanza di 3 settimane dalla seduta di strumentazione professionale, ha evidenziato una sensibile riduzione del BoP% (ridotto al 13%) nonché una completa scomparsa dei siti associati ad essudato purulento. I valori di PPD associati all’elemento 1.4 non dimostravano, invece, variazioni significative. Al fine di ripristinare una condizione di salute parodontale, è stato proposto alla paziente il trattamento chirurgico dei difetti ossei parodontali a carico di 1.4, utilizzando un approccio di tipo conservativo (ad esempio, curettaggio a cielo aperto).
Procedura chirurgica
La procedura chirurgica è stata eseguita da un chirurgo parodontale esperto (LT) avvalendosi dell’utilizzo di sistemi ingrandenti (2.5 x). In corrispondenza dell’elemento 1.4 è stata eseguita anestesia infiltrativa utilizzando mepivacaina con adrenalina 1:100.000. Le papille interprossimali non sono state infiltrate, evitando così un’ischemia eccessiva dei tessuti interdentali. Mesialmente a 1.4, il sondaggio transcrevicolare (bone sounding) ha evidenziato un’estensione del difetto infraosseo prevalentemente in area interprossimale e vestibolare. L’accesso al difetto è stato, pertanto, eseguito in accordo ai principi del SFA vestibolare. Nella zona 1.3-1.5 è stata eseguita un’incisione vestibolare, intra-sulculare in prossimità del difetto infraosseo e paramarginale in prossimità di quello sopraosseo. In corrispondenza della papilla sovrastante il difetto infraosseo è stata eseguita un’incisione obliqua butt-joint (Fig. 3). Un lembo a busta privo di incisioni di rilascio è stato sollevato sul solo versante vestibolare utilizzando uno scollaperiostio microchirurgico (P-Trom scolla periostio, Hu-Friedy, Milano, Italia). I tessuti molli orali sono stati, invece, mantenuti intatti (Fig. 4). Il tessuto sopracrestale interdentale sovrastante il difetto infraosseo è stato interamente preservato, mentre in corrispondenza del difetto sopraosseo il lembo secondario definito dall’incisione paramarginale è stato rimosso mediante l’utilizzo di curette (Fig. 4).
I difetti sono stati degranulati con l’utilizzo combinato di strumenti ultrasonici (Piezosteril 5, Castellini S.p.A., Castel Maggiore, Bologna, Italia) e manuali (Lima di Hirschfeld #9/10 Man #6 Hu-Friedy, Milano, Italia). Al completamento del debridement è stato possibile apprezzare la morfologia del difetto infraosseo, caratterizzata da una sola parete residua e una componente infraossea pari a 5 mm e sopraossea pari a 3 mm. A conferma di quanto osservato in fase di valutazione pre-operatoria, il difetto presentava un’estensione prevalentemente interprossimale e vestibolare (Fig. 5). Il difetto è stato lasciato riempire con il solo coagulo ematico, senza alcun utilizzo aggiuntivo di dispositivi ricostruttivi quali biomateriali, membrane o agenti biologici. Per la sutura del lembo in corrispondenza del difetto infraosseo, in accordo alla descrizione della tecnica di sutura originale11-13 è stata posizionata una sutura (Vicryl 6.0, Ethicon, Sommerville, New York) a materassaio interno orizzontale tra il lembo vestibolare e la base della papilla orale intatta, favorendo il riposizionamento del lembo (Fig. 6). La chiusura per prima intenzione della ferita, poi, è stata ottenuta mediante una seconda sutura a materassaio interno orizzontale, posizionata tra la porzione più coronale del lembo e la porzione più coronale della papilla (Fig. 7). Per la sutura del lembo in corrispondenza del difetto sopraosseo, è stata utilizzata una sutura a materassaio esterno, al fine di ottenere il massimo adattamento del lembo alla cresta ossea sottostante. La guarigione della zona interdentale di quest’area è avvenuta per seconda intenzione (Fig. 7).
Procedura post-chirurgica
La paziente è stata invitata ad astenersi dalle procedure meccaniche di igiene orale in corrispondenza dell’area trattata per le 4 settimane successive l’intervento. È stato prescritto l’utilizzo di un collutorio a base di clorexidina 0,12% (Curasept 0,12%, Curaden Healthcare, Saronno, Italia, 10 ml, due volte al giorno per 5 settimane). Le suture sono state rimosse a distanza di 2 settimane dalla chirurgia. Al momento della rimozione delle suture, era apprezzabile il mantenimento dell’integrità del tessuto interdentale nell’area corrispondente al difetto infraosseo (Fig. 8). La paziente è stata, poi, inserita in un regime antimicrobico che prevedeva l’utilizzo di colluttorio e dentifricio (Meridol, Gaba International, Therwil, Svizzera) a base di Am/SnF2. Richiami mensili sono stati eseguiti per i 6 mesi successivi la chirurgia. Durante ciascuna sessione, in corrispondenza dell’area operata è stata eseguita una strumentazione ultrasonica esclusivamente sopragengivale e sono state rinforzate le istruzioni di igiene orale domiciliare. Successivamente ai 6 mesi post-chirurgia, la terapia parodontale di supporto ha previsto sessioni di strumentazione radicolare sopra e sotto-gengivale con frequenza trimestrale.
Risultati clinici
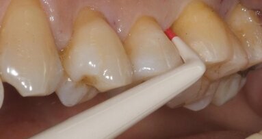
A distanza di 6 mesi dalla chirurgia, la valutazione parodontale dell’elemento 1.4 ha evidenziato valori di CAL pari a 7 mm e 5 mm a carico degli aspetti mesio-vestibolare e mesio-palatino rispettivamente. I valori residui di PPD erano pari a 5 mm in corrispondenza degli aspetti mesio-vestibolare (Fig. 9) e mesio-palatino, mentre in corrispondenza degli altri aspetti dell’elemento dentario i valori di PPD erano entro 3 mm. La consensuale valutazione radiografica ha messo in evidenza un parziale riempimento radiografico del difetto infraosseo (Fig. 10). La visita di rivalutazione eseguita a distanza di 3 anni dalla chirurgia ha evidenziato una ulteriore riduzione dei valori di PPD, che si presentavano entro 3 mm in corrispondenza di tutti gli aspetti dell’elemento 1.4 (Fig. 11). La riduzione dei valori di PPD si è accompagnata ad una recessione (REC) dei tessuti molli, rispetto ai valori pre-chirurgici, pari a 1 mm in corrispondenza degli aspetti vestibolare e mesio-vestibolare. L’indagine radiografica ha evidenziato un parziale riempimento radiografico del difetto, con ricomparsa della lamina dura crestale (Fig. 12).
Conclusioni
In conclusione, il presente caso clinico indica che:
– il SFA è una procedura chirurgica semplificata che può essere efficacemente utilizzata per il trattamento di difetti ossei parodontali;
– quando applicata senza l’aggiunta di dispositivi ricostruttivi per il trattamento conservativo di difetti sopraossei o infraossei a 1 parete residua, il SFA può consentire un sostanziale miglioramento delle condizioni cliniche parodontali in termine di riduzione di PPD e BoP;
– il SFA consente di minimizzare il traumatismo dei tessuti molli interprossimali e, pertanto, si associa ad una ridotta recessione post-operatoria nel rispetto dell’estetica pre-esistente del paziente.
Conflitto di interesse: in riferimento al caso clinico riportato in questo manoscritto, gli Autori dichiarano che non sussiste alcun conflitto di interesse.
Bibliografia
1. Linghorne WJ, O’Connell DC. Studies in the regeneration and reattachment of supporting structures of the teeth; soft tissue reattachment. J Dent Res 1950;29:419-428.
2. Hiatt WH, Stallard RE, Butler ED, Badgett B. Repair following mucoperiosteal flap surgery with full gingival retention. J Periodontol 1968;39:11-16.
3. Polson AM, Proye MP. Fibrin linkage: A precursor for new attachment. J Periodontol 1983;54:141-147.
4. Wikesjö UM, Claffey N, Egelberg J. Periodontal repair in dogs. Effect of heparin treatment of the root surface. J Clin Periodontol 1991;18:60-64.
5. Takei HH. Surgical techniques for reconstructive periodontics. Dent Clin North Am 1991;35:531-539.
6. Trombelli L. Flap designs and suturing techniques to optimize reconstructive outcomes. In: Sculean A, ed. Periodontal Regenerative Therapy. Quintessenz; 2010: 241-258.
7. Trombelli L, Farina R. Flap design for periodontal healing. In: Oral wound healing: cell biology and clinical management (Editor: Hannu Larjava; Publisher: Blackwell-Wiley). First edition (2012). pp 229-241.
8. Tu YK, Tugnait A, Clerehugh V. Is there a temporal trend in the reported treatment efficacy of periodontal regeneration? A meta-analysis of randomized-controlled trials. J Clin Periodontol 2008;35:139-146.
9. Needleman IG, Worthington HV, Giedrys-Leeper E, Tucker RJ. Guided tissue regeneration for periodontal infra-bony defects. Cochrane Database Syst Rev 2006; 19:CD001724.
10. Esposito M, Grusovin MG, Papanikolaou N, Coulthard P, Worthington HV. Enamel matrix derivative (Emdogain(R)) for periodontal tissue regeneration in intrabony defects. Cochrane Database Syst Rev 2009;7:CD003875.
11. Trombelli L, Farina R, Franceschetti G, Minenna L. Single flap approach in periodontal reconstructive surgery (in Italian). Dent Cadmos 2007;8:15-25.
12. Trombelli L, Farina R, Franceschetti G, Minenna L. Management of the soft tissues according to the principles of the single flap approach in the treatment of periodontal intraosseous defects (in Italian). Dental Clinics 2008;3:1-8.
13. Trombelli L, Farina R, Franceschetti G, Calura G. Single-flap approach with buccal access in periodontal reconstructive procedures. J Periodontol 2009;80: 353-360.
14. Trombelli L, Simonelli A, Pramstraller M, Wikesjö UM, Farina R. Single flap approach with and without guided tissue regeneration and a hydroxyapatite biomaterial in the management of intraosseous periodontal defects. J Periodontol 2010;81:1256-1263.
15. Trombelli L, Simonelli A, Schincaglia GP, Cucchi A, Farina R. Single-flap approach for surgical debridement of deep intraosseous defects: a randomized controlled trial. J Periodontol 2012; 83: 27-35.
16. Farina R, Simonelli A, Rizzi A, Pramstraller M, Cucchi A, Trombelli L. Early postoperative healing following buccal single flap approach to access intraosseous periodontal defects. Clin Oral Investig 2013; 17: 1573-83.
17. Mörmann W, Ciancio SG. Blood supply of human gingiva following periodontal surgery. A fluorescein angiographic study. J Periodontol 1977;48:681-692.
18. Mörmann W, Meier C, Firestone A. Gingival blood circulation after experimental wounds in man. J Clin Periodontol 1979;6:417-424.
19. Nobuto T, Imai H, Suwa F, et al. Microvascular response in the periodontal ligament following mucoperiosteal flap surgery. J Periodontol 2003;74:521- 528.
20. Nobuto T, Suwa F, Kono T, et al. Microvascular response in the periosteum following mucoperiosteal flap surgery in dogs: Angiogenesis and bone resorption and formation. J Periodontol 2005;76:1346- 1353.
21. Retzepi M, Tonetti M, Donos N. Comparison of gingival blood flow during healing of simplified papilla preservation and modified Widman flap surgery: A clinical trial using laser Doppler flowmetry. J Clin Periodontol 2007;34:903-911.
L'articolo è stato pubblicato sul numero 1 di Dental Tribune Italy 2014
La stabilizzazione del coagulo adeso alla superficie radicolare, in un ambiente protetto da interferenze di natura meccanica e microbiologica, è ...
L’evoluzione nelle conoscenze sul microbiota e sulle problematiche orali ha cambiato radicalmente i piani di trattamento nelle varie tipologie di ...
Gli innesti ossei sono una procedura chirurgica che permette di ristabilire un volume osseo adeguato prima di una terapia implantare, utilizzando materiali ...
Le malattie parodontali possono causare gravi invalidità quali la perdita o la riduzione della funzionalità dell’apparato ...
Introduzione
È stato osservato che le parodontiti provocano difetti che coinvolgono sia l’osso alveolare che i tessuti molli determinando ...
Le tecniche di rigenerazione tissutale guidata (GTR) sono fondate sul principio dell’esclusione cellulare selettiva: mediante la copertura del difetto...
Sul tema Michele M. Figliuzzi, docente di Parodontologia all’Università Magna Graecia di Catanzaro ha tenuto una relazione all’XI ...
La perdita di tessuto osseo di sostegno rappresenta un segno caratteristico della malattia parodontale. Molti fattori legati al paziente, al dente e al sito...
Gli innesti ossei sono una procedura chirurgica che permette di ristabilire un volume osseo adeguato prima di una terapia implantare, utilizzando materiali ...
Al XXVII Congresso di Monte Carlo dello scorso novembre 2015, Dental Tribune ha incontrato il professor Danilo Alessio Di Stefano (in foto), docente di ...
Dr. Bruce McFarlane Certified Specialist in Orthodontics Fellow: Royal College of Dentists of Canada Diplomate: American Board of Orthodontics
Live webinar
mer. 15 aprile 2026
20:00 (CET) Rome
Live webinar
gio. 16 aprile 2026
2:00 (CET) Rome
Linda Hecker MS, BSDH, RDH
Live webinar
gio. 16 aprile 2026
18:00 (CET) Rome
Dr. Pär-Olov Östman, Dr. Robert Gottlander DDS
Live webinar
ven. 17 aprile 2026
18:00 (CET) Rome
Live webinar
ven. 17 aprile 2026
19:00 (CET) Rome
Dr. Stuart Yeaton BDentSc, MOrth
Live webinar
lun. 20 aprile 2026
19:00 (CET) Rome
Dr. Alberto Monje DDS, MS, PhD
To post a reply please login or register