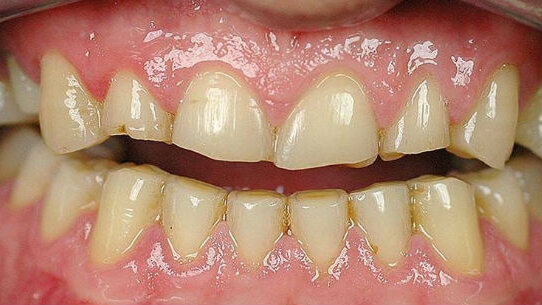
Il paziente si rivolge presso lo studio con una situazione gravemente compromessa dall’usura di tutti gli elementi dentari (Fig. 1). La richiesta espressa dal paziente era di risolvere il suo caso in modo minimamente invasivo, senza la preparazione degli elementi.
Dopo uno studio del caso con modelli in articolazione e la presa dell’arco facciale, si è optato per la riabilitazione delle due arcate con faccette e addictional krown, avvalendoci del sistema Cerec in Lab Sirona. È stato preparato un ortotico, in modo che l’estrusione dei settimi e ottavi ci consentisse di ricreare una nuova dimensione verticale e avere lo spazio necessario per una riabilitazione soddisfacente sia dal punto di vista estetico sia da quello funzionale.
Per un lavoro così complesso, e per ridare la giusta proporzione agli incisivi e i dovuti svincoli e guide canine, si è proceduto a una ceratura con i modelli montati in articolatore (Figg. 2a, 2b).
Si è proceduto, in seguito, con l’ausilio di Cerec Ineos Blu (Sirona), alla digitalizzazione dei modelli (Fig. 3) e della ceratura, così da ottenere una copia fedele del modellato (Fig. 4). In questo modo la tecnologia digitale ci permette di “copiare” provvisori, mockup, della forma concordata e accettata dal paziente.
La scelta del materiale ceramico è sempre fondamentale. In questo caso si è scelto di usare del disilicato di litio alta traslucenza (HT) Ivoclar Vivadent, per le sue proprietà meccaniche (resistenza alla flessione 360-400 MPa) e la possibilità di mantenere spessori sottili (0,3 mm). La buona colorazione degli elementi residui permette un ottimo passaggio di luce e mette in risalto la trasparenza solo nel margine incisale, pur essendo un monolito colorato (Fig. 6).
Prova delle faccette, cristalizzate, da cristallizzare e pitturate; non vi erano eccedenze nel gap, la situazione occlusale e la precisione sono risultate adeguate (Fig. 8).
La colorazione rosa è data da una pasta adesiva per protesi; l’unico scopo era di mantenere i restauri in posizione.
La finalizzazione è stata eseguita con IPS e.max shades e stains (Ivoclar Vivadent).
La ceramica è stata trattata con acido idrofluoridrico Ceramic Etching gel al 5% (Ivoclar Vivadent) per 20 secondi e successiva silanizzazione con Monobond Plus (Ivoclar Vivadent) per 60 secondi; le faccette ora sono pronte per essere cementate con Variolink Veener foto indurente (Ivoclar Vivadent).
Il clinico ha provveduto al fissaggio dei restauri, eseguendo la procedura richiesta per una corretta cementazione adesiva (Figg. 9, 10).
embedImagecenter("Imagecenter_2_892",892,"small");
Si ringrazia per la collaborazione il dott, Federico Campanella, odontoiatra in Torino, e il sig. Giorgio Benedetto di Ivoclar Vivadent per la consulenza tecnica.
L'articolo è stato pubblicato sul numero 3 di Lab Tribune 2013.
Nuovi approcci e nuove frontiere in protesi fissa, questo il titolo della conferenza che il dott. Marco Montanari e l’odt Claudio Sassatelli terranno a ...
Nel panorama in continua evoluzione dell’implantologia, la riabilitazione full-arch si è affermata come il simbolo dell’integrazione tecnologica. I ...
La paziente – 56 anni in buono stato di salute generale – si presenta con mascellare superiore completamente edentulo; riferisce che da circa due anni ...
La presente pubblicazione descrive un caso clinico di riabilitazione full-arch a carico immediato guidato mediante l’utilizzo di dime scomposte e impianti...
In questo articolo viene presentato un caso di edentulismo totale superiore trattato e gestito con una nuova sistematica implanto-protesica e con flusso ...
Paziente di sesso femminile, di anni 52 senza alcuna rilevante patologia sistemica, portatrice di protesi mobile completa arcata superiore, con marcata ...
Paziente donna di ottant’anni, presenta uno stato di salute ottimale, non assume farmaci. Dal punto di vista odontoiatrico chiede una riabilitazione delle...
Negli ultimi decenni gli impianti hanno conquistato una parte considerevole del mercato odontoiatrico e ci hanno permesso di poter offrire numerose ...
La paziente S.M. di anni 42, si presenta alla nostra osservazione per migliorare l’estetica del settore frontale (Fig. 1). All’esame obiettivo si ...
Il laser Erbium:YAG (o Er:YAG) ha un mezzo attivo di granato-ittrioalluminio drogato con ioni erbio ed emette un raggio laser di lunghezza d’onda di ...
Live webinar
mar. 17 febbraio 2026
18:00 (CET) Rome
Live webinar
mer. 18 febbraio 2026
15:00 (CET) Rome
Dr. Anna Lella, Ms. Francesca Nava
Live webinar
mer. 18 febbraio 2026
18:00 (CET) Rome
Prof. Dr. João Caramês CODE expert, Dr. Robert Gottlander DDS
Live webinar
lun. 23 febbraio 2026
9:00 (CET) Rome
Ass. Prof. Elizabeth Shick, Dr. Zehra Yonel
Live webinar
mar. 24 febbraio 2026
19:00 (CET) Rome
Prof. Dr. Markus B. Hürzeler
Live webinar
mar. 24 febbraio 2026
21:00 (CET) Rome
Prof. Dr. Marcel A. Wainwright DDS, PhD
Live webinar
mer. 25 febbraio 2026
17:00 (CET) Rome
Prof. Dr. Daniel Edelhoff
To post a reply please login or register