In questo articolo viene presentato un caso di edentulismo totale superiore trattato e gestito con una nuova sistematica implanto-protesica e con flusso digitale.
Materiali e metodi
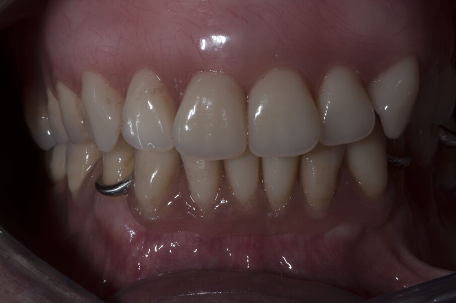
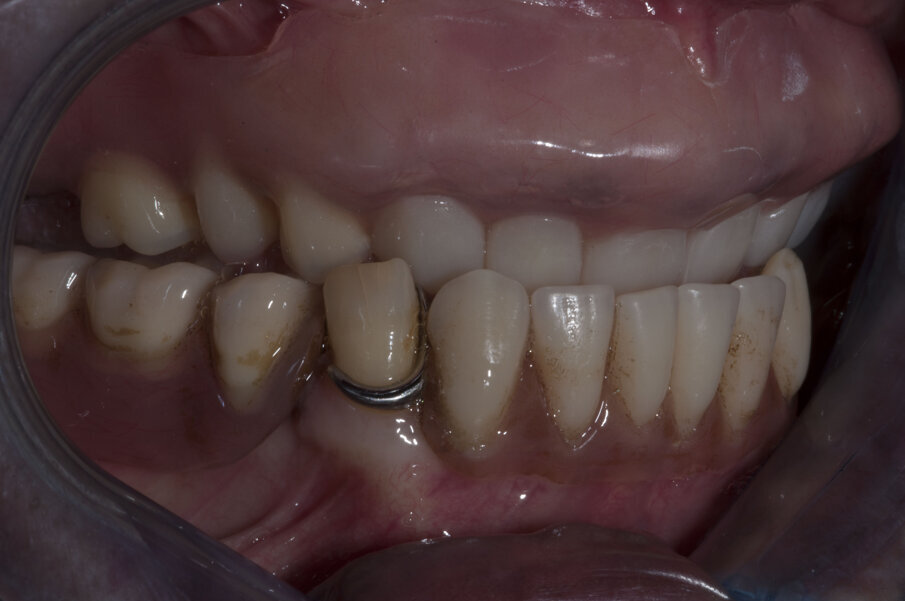
La paziente A. S. di anni 67 si presentata in visita richiedendo la sostituzione della protesi totale superiore con una nuova protesi, possibilmente fissa (Figg. 1-3). Essendo l’anamnesi negativa si è proceduto allo studio e alla pianificazione del caso. La paziente si è presentata con una OPT delle arcate dentarie (Fig. 4) che evidenziava un’ottima quantità di osso alveolare residuo. Dopo esame intra- orale si prescrive una CBCT per poter pianificare nel dettaglio la chirurgia implantare.
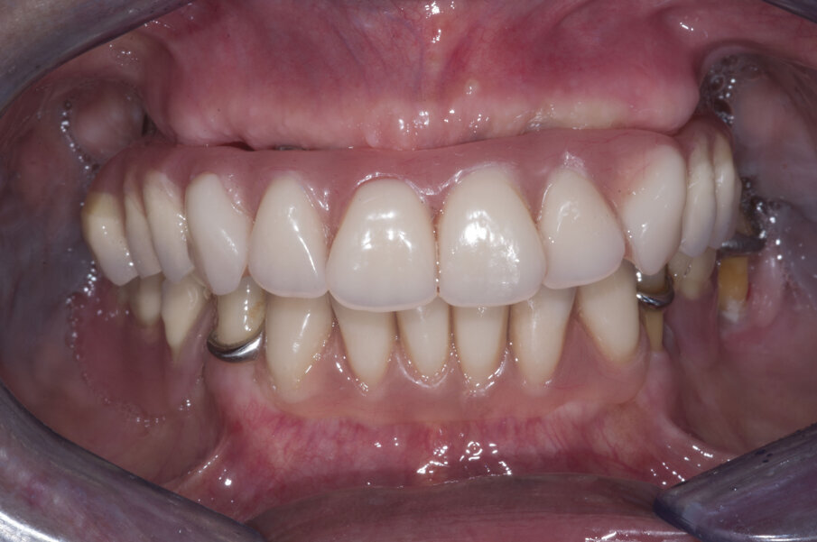
Il primo passo per riabilitare la paziente è stato comunque la sostituzione della protesi totale con una nuova più congrua, questo ha portato alla correzione sia della classe scheletrica non corretta che della VDO, fonte di disagio e sofferenza. L’esame extra-orale evidenziava questo dettaglio e come questo influenzasse il sorriso della paziente (Figg. 5-7).
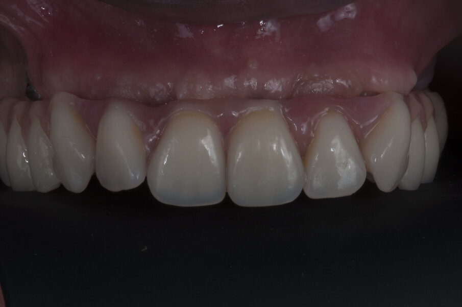
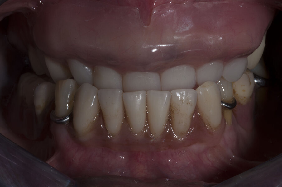
La nuova protesi totale provvisoria ha portato immediatamente un miglioramento funzionale ed estetico, con un notevole beneficio psicologico sulla paziente ed un enorme vantaggio per il prosieguo della terapia (Figg. 8-10). Il nuovo montaggio con denti di maggiori dimensioni ed una differente occlusione ha conferito un miglior supporto al labbro superiore ed una migliorata estetica del sorriso (Fig. 11). Alla luce della nuova situazione, accettata e gradita dalla paziente, si è incominciato a pianificare la procedura chirurgica. Avendo la CBCT evidenziato dei volumi ossei adeguati (Fig. 12), si è proceduto allo studio del caso mediante un software di chirurgia guidata (Simplant, Dentsply-Sirona) (Figg. 13, 14).
Una delle peculiarità del software Simplant è di fornire dettagliate informazioni riguardanti la qualità dell’osso alveolare nelle aree selezionate per l’intervento implantare, agevolando e semplificando così il lavoro del professionista. Con la suddetta funzione infatti, il clinico potrà selezionare il sito più corretto per il posizionamento delle fixtures, sfruttando la miglior qualità ossea messa in risalto dalla diversa colorazione del programma (Fig. 14). Il vantaggio della funzione del software Simplant diventa di strategica importanza in quei casi in cui si decidesse di optare per una chirurgia con carico immediato degli impianti.
La pianificazione con Simplant permette l’accoppiamento tra la protesi e i tessuti molli oltre alla corretta valutazione della posizione, dell’inclinazione e dell’orientamento tridimensionale degli impianti (Figg. 15-17). Questo tipo di progettazione consente di eseguire una procedura chirurgica protesicamente guidata, sfruttando l’emergenza degli impianti nella loro più ideale posizione, con benefici dal punto di vista protesico e biomeccanico (Figg. 18, 19)
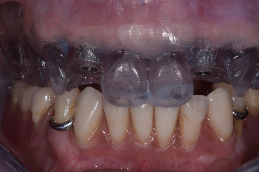
Grazie a questo tipo di pianificazione il software produce una guida chirurgica che viene stampata da una stampante 3D e consente al chirurgo di operare con tecnica “flapless” cioè senza la necessità di aprire dei lembi e causare un maggiore traumatismo al paziente. La guida chirurgica trasparente viene provata in bocca al paziente prima dell’intervento chirurgico per testare la sua stabilità e precisione nel rapporto con i tessuti molli (Figg. 20, 21). In questo caso specifico si era pianificato di utilizzare un nuovo approccio con degli impianti e componenti protesiche particolari, la tecnica “Smart fix” di Astra Tech Implant (Dentsply Sirona) (Figg. 22-25).
I due impianti più posteriori (Astra Tech Implant System EV, Densply Sirona) hanno un design particolare, sono disegnati con un profilo diverso dal normale, con un collare anziché piatto inclinato in maniera tale da consentirne il posizionamento con un asse ed un’angolazione antero posteriore, adattandosi così nella loro emergenza alla cresta ossea (Fig. 22). I due impianti anteriori soni impianti standard, in questo caso con diametro 3,5 mm (Fig. 23). La componentistica protesica prevede MUA (multi unit abutments, multibase Dentsply Sirona) standard sui due impianti anteriori (Fig. 24) e due MUA angolati componibili ed orientabili sui due impianti posteriori (Fig. 25).
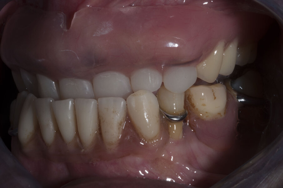
Ad impianti inseriti si procede alla connessione degli abutments MUA, all’orientamento e alla parallelizzazione dei due posteriori, ed alla presa dell’impronta in gesso (Figg. 26, 27). Dall’impronta si può verificare come la disposizione degli impianti sia perfettamente coincidente con quella pianificata con il software di chirurgia guidata. Nel caso in questione vista l’età della paziente e la sua disponibilità ad aspettare il tempo di osseointegrazione, gli impianti sono stati protetti con le cappette per i MUA e la protesi totale forata per non interferire (Fig. 28).
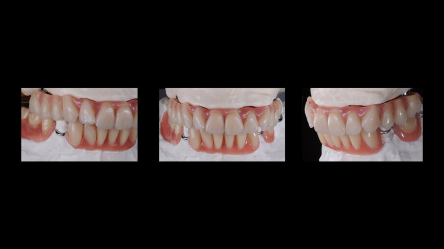
Nel frattempo il laboratorio, avendo l’impronta fin dal giorno della chirurgia, ha provveduto a fabbricare il modello maestro sul quale preparare un primo provvisorio avvitato da inserire sessanta giorni dopo la chirurgia (Figg. 29-32). La struttura definitiva viene disegnata e prodotta con tecnologia CAD/CAM da Dentsply Sirona con il programma Atlantis (Figg. 33, 34). Una volta prodotta la struttura viene provata in bocca (Figg. 35, 36) e, dopo averne testato la precisione e l’adattamento, il laboratorio procede al confezionamento della protesi definitiva (Fig. 37).
Verificata la precisione del lavoro si procede alla consegna. La Fig. 38 evidenzia la perfetta salute dei tessuti peri-implantari a protezione dei MUA, e nelle figure 39 e 40 evidenziano l’ottimo adattamento del manufatto finale ai tessuti intra ed extra-orali. La panoramica di controllo a 12 mesi dal completamento del lavoro evidenzia una perfetta stabilità dei livelli ossei dopo il carico protesico (Fig. 41).
Tag:
Paziente di sesso femminile, di anni 52 senza alcuna rilevante patologia sistemica, portatrice di protesi mobile completa arcata superiore, con marcata ...
Il paziente si rivolge presso lo studio con una situazione gravemente compromessa dall’usura di tutti gli elementi dentari (Fig. 1). La richiesta ...
Nel panorama in continua evoluzione dell’implantologia, la riabilitazione full-arch si è affermata come il simbolo dell’integrazione tecnologica. I ...
L’implantologia guidata è il risultato della combinazione di dati clinici, imaging tridimensionale e progettazione CAD/CAM di guide chirurgiche. La ...
Quando si discute delle ultime innovazioni in implantologia dentale, uno degli argomenti più popolari è la tecnologia che supporta i flussi di lavoro ...
Lo scanner intraorale 3D è sempre più utilizzato nella pratica odontoiatrica quotidiana. Semplifica il lavoro del clinico poiché consente di rilevare in ...
In ortodonzia la gestione degli spazi interprossimali è fondamentale per ottenere un risultato predicibile. Questo caso presentava affollamento dentale ...
Da un punto di vista estetico, un impianto malposizionato specialmente nella regione anteriore, porta inevitabilmente alla realizzazione di un lavoro ...
Una paziente di 38 anni si è presentata nel nostro studio dentistico lamentando un fastidio all’area superiore sinistra. L’esame clinico ha rivelato ...
Il flusso di lavoro completamente digitale è un argomento da anni oggetto di discussione e dibattito all’interno dell’ambiente odontoiatrico.
Live webinar
mer. 15 aprile 2026
20:00 (CET) Rome
Live webinar
gio. 16 aprile 2026
2:00 (CET) Rome
Linda Hecker MS, BSDH, RDH
Live webinar
gio. 16 aprile 2026
18:00 (CET) Rome
Dr. Pär-Olov Östman, Dr. Robert Gottlander DDS
Live webinar
ven. 17 aprile 2026
18:00 (CET) Rome
Live webinar
ven. 17 aprile 2026
19:00 (CET) Rome
Dr. Stuart Yeaton BDentSc, MOrth
Live webinar
lun. 20 aprile 2026
19:00 (CET) Rome
Dr. Alberto Monje DDS, MS, PhD
Live webinar
mer. 22 aprile 2026
17:00 (CET) Rome
MDT Andreas Chatzimpatzakis
To post a reply please login or register