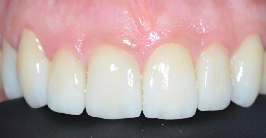
La paziente S.M. di anni 42, si presenta alla nostra osservazione per migliorare l’estetica del settore frontale (Fig. 1). All’esame obiettivo si evidenziano restauri incongrui ed esteticamente insoddisfacenti riguardanti tutta l’arcata superiore. I settori posteriori sono riabilitati con corone in metallo ceramica che la paziente non vuole però sostituire. Il settore frontale, reputato invece di maggiore interesse da parte della paziente, presenta estese ricostruzioni in composito sia sulla pareti vestibolari che palatali.
Materiali e metodi
Viene effettuata indagine radiografi ca tramite rx endorali che evidenzia presenza di carie secondarie su tutti gli elementi frontali da 1.4 a 2.3. Prima di procedere con lo studio del caso si effettuano quindi i restauri conservativi con resine composite, bonificando i processi cariosi. Si eseguono quindi due fotografi e, una del viso e una intraorale con apribocca, per effettuare lo studio del caso tramite software di previsualizzazione digitale (Software Romexis Planmeca) (Fig. 2). La previsualizzazione del trattamento è un passaggio molto importante che permette al clinico, tra le altre cose, di capire le esigenze estetiche del paziente.
Tenendo come riferimento il fi le stl del digital smile design, si progetta quindi una ceratura digitale attraverso il software CAD/CAM. Si procede quindi alla stampa del modello con la nuova forma dentale tramite stampante 3D (Planmeca Creo C5). Su questo l’odontotecnico produce una mascherina in silicone rigido che serve per la prova del mock-up in bocca che avverrà in un appuntamento dedicato. La prova del mock-up è un passaggio fondamentale, perché è in questo momento che il paziente e il professionista possono decidere insieme eventuali modifiche al progetto estetico-funzionale, prima di procedere con la fase di preparazione dentale vera e propria.
Fatte le modifiche necessarie si procede alla scansione del mock-up. Il fi le stl che si genera viene poi importato nel software CAD/CAM ed utilizzato dall’odontotecnico per copiare fedelmente la forma dei denti del mock-up durante la realizzazione delle full-veneers definitive. In un successivo appuntamento si esegue la preparazione degli elementi dentari. Questa viene effettuata attraverso il mock-up e con una serie di mascherine guida in silicone in modo da essere il più conservativi possibili.
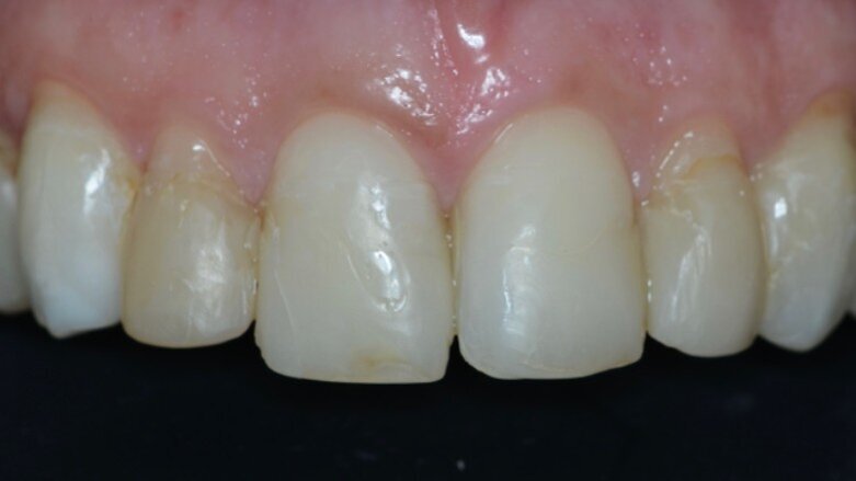
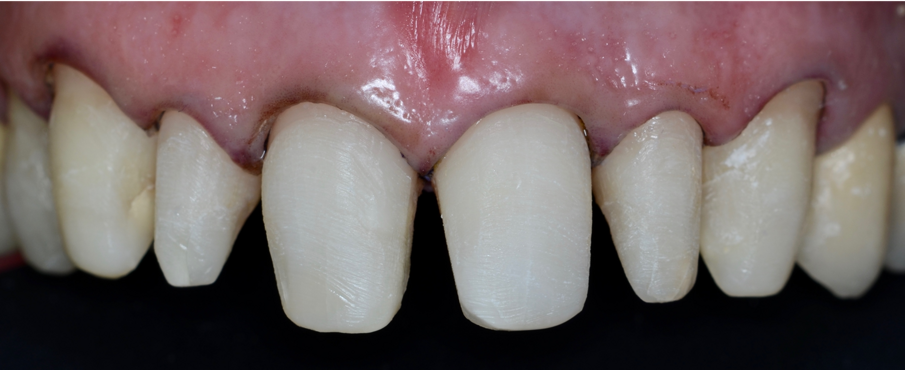
Fondamentale per la longevità dei restauri è infatti, il risparmio di struttura dentale e in particolar modo dello smalto, anche per ottenere un’adesione più performante possibile in fase di cementazione (Fig. 3). Si esegue una impronta ottica tramite scanner intraorale (Planmeca Emerald) (Fig. 4) ed il fi le stl che si genera viene inviato al tecnico per la fase CAD/CAM che, a questo punto, risulta molto velocizzata. Infatti, una volta tracciati i margini delle preparazioni basta importare le forme dei restauri del mock-up. Vengono quindi fresate sette full-veneers in disilicato di litio monolitiche poi caratterizzate. Nell’ultimo appuntamento, dopo un prova estetica di controllo, si procede alla cementazione adesiva dei restauri definitivi (Figg. 5, 6).
Fig. 2 - Previsualizzazione digitale.
Fig. 3 - Preparazioni dentali.
Fig. 4 - Scansione intra-orale.
Fig. 5 - Restauri definitivi cementati.
L'articolo è stato pubblicato su Cosmetic & Endo Tribune Italian Edition - Giugno 2021.
Tag:
Introduzione
Ogniqualvolta dobbiamo affrontare un caso clinico le nostre scelte procedurali devono sempre basarsi su un’attenta diagnosi. Il termine ...
L’osservazione clinica dei segni e dei sintomi clinici è il punto di partenza per preparare un piano terapeutico efficace e duraturo che possa assicurare...
Nel panorama in continua evoluzione dell’implantologia, la riabilitazione full-arch si è affermata come il simbolo dell’integrazione tecnologica. I ...
Il posizionamento di un impianto post-estrattivo immediato in zona estetica è una procedura consolidata e ben documentata3,11,12. Il suo successo ...
L’estetica riveste sempre più una connotazione di armonia ed equilibrio globale, certamente definiti da canoni condivisi e storicamente evolutisi, ma ...
Descrizione
L’articolo presenta un caso clinico di una donna di 63 anni, ASA 0, non fumatrice che giunge alla nostra osservazione presso il centro ...
La paziente, donna di 54 anni in buono stato di salute, si presenta alla nostra attenzione lamentando gonfiore ricorrente sul palato nella zona del dente ...
Il paziente si rivolge presso lo studio con una situazione gravemente compromessa dall’usura di tutti gli elementi dentari (Fig. 1). La richiesta ...
Carissimi, il titolo del Simposio Florence Perio Group di quest’anno è “La Prognosi” delle nostre terapie. Ovviamente il focus ...
Paziente di sesso femminile, di anni 52 senza alcuna rilevante patologia sistemica, portatrice di protesi mobile completa arcata superiore, con marcata ...
Live webinar
gio. 30 aprile 2026
1:00 (CET) Rome
Dr. Renato Leonardo D.M.D.
Live webinar
gio. 30 aprile 2026
19:00 (CET) Rome
Live webinar
dom. 3 maggio 2026
18:00 (CET) Rome
Dr. Rickard Brånemark MSc, MD, PhD, Dr. Robert Gottlander DDS
Live webinar
lun. 4 maggio 2026
2:00 (CET) Rome
Live webinar
mar. 5 maggio 2026
16:00 (CET) Rome
Live webinar
mar. 5 maggio 2026
18:00 (CET) Rome
Live webinar
mar. 5 maggio 2026
19:00 (CET) Rome
Dr. Maximilian Dobbertin M.Sc
To post a reply please login or register