La presente pubblicazione descrive un caso clinico di riabilitazione full-arch a carico immediato guidato mediante l’utilizzo di dime scomposte e impianti EVO dell’azienda GHIMAS.
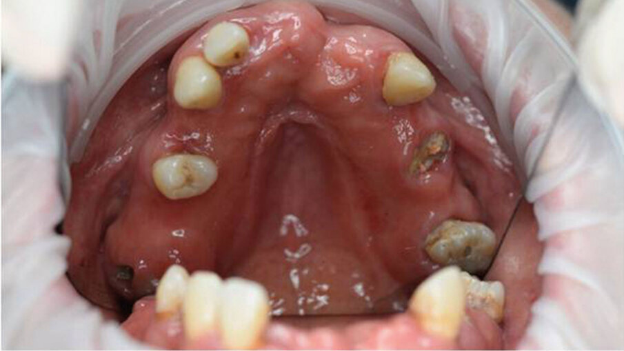
La paziente, una donna di 69 anni in buono stato di salute generale e senza terapie farmacologiche in corso, presentava una condizione orale fortemente compromessa caratterizzata da molte estrazioni dentali pregresse, una dentatura residua gravemente danneggiata da carie distruttive e numerosi processi infiammatori apicali e periapicali, che comportavano una severa mobilità della maggior parte dei denti presenti (Figg. 1, 2). La paziente utilizzava già una protesi parziale mobile superiore, la quale aveva causato nel corso degli anni un’ampia area di decubito palatale (Fig. 3). Data la compromissione estetica e funzionale dell’intero apparato masticatorio, si è deciso di procedere con una riabilitazione mediante una protesi avvitata supportata da impianti.
_Introduzione
Il presente case report illustra le potenzialità dei flussi digitali e della chirurgia guidata nella riabilitazione implantoprotesica a carico immediato. Necessitando di riabilitare sia l’arcata superiore che inferiore, in accordo con la paziente si è deciso di suddividere il trattamento in due fasi chirurgiche separate, concentrandosi in questo articolo sull’arcata superiore.
_Piano di trattamento
Data la necessità di dover eseguire un carico immediato contestualmente alle estrazioni ci siamo avvalsi per la pianificazione dell’intervento del software di chirurgia guidata BNX 3D GUIDE che oltre al vantaggio di poter ripetere il giorno dell’intervento la posizione degli impianti studiata in fase di progettazione offre la possibilità di realizzare una protesi provvisoria pre-costruita. Gli impianti scelti per la soluzione di questo caso sono gli impianti EVO dell’azienda GHIMAS con relativo KIT per chirurgia guidata (Fig. 4). L’innovativa intuizione dell’azienda è fornire un kit chirurgico con un’unica sequenza di frese dando la possibilità di scelta al chirurgo a seconda della qualità ossea se utilizzare l’impianto EVO, in caso di osso D3-D4, o l’impianto EVO SLIM-FIT, in caso di osso D1-D2, in quanto presenta un corpo sottodimensionato di 0,25 che facilita l’inserimento mantenendo un torque controllato evitando l’uso del maschiatore. Trovandoci sul mascellare superiore con un osso tendenzialmente D3 e in alcune zone D4 si è scelto di utilizzare la versione EVO standard.
_Procedure progettuali e chirurgiche
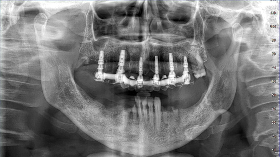
La pianificazione ha previsto innanzitutto l’allineamento all’interno del software dei file DICOM e dei file STL provenienti dalla scansione intraorale (Fig. 5). Il posizionamento degli impianti è stato ragionato in funzione di una ceratura diagnostica preventivamente realizzata con un CAD esterno e importata nel software di chirurgia guidata. Per la riabilitazione dell’arcata superiore, sono stati selezionati 6 impianti intercalati tra i siti post-estrattivi: 3,5 x 13 in posizione 11 e 22, 4 x 13 in posizione 24, 4 x 8 in posizione 26, 4 x 11,5 in posizione 14 e 4 x 10 in posizione 16. Utilizzando le informazioni dei modelli importati (master e ceratura) è stato possibile scegliere preventivamente anche le componenti protesiche in funzione delle emergenze rispetto alla ceratura e allo spessore dei tessuti (Figg. 6-8).
Per la realizzazione delle dime chirurgiche abbiamo utilizzato il nuovo modulo Sculpt rilasciato per lo stesso software di chirurgia guidata BNX 3D GUIDE. Questo nuovo modulo permette di creare una serie di dime scomposte da utilizzare in sequenza per eseguire le estrazioni e l’osteoplastica necessaria, rimanendo sempre all’interno di un flusso di lavoro guidato. Le dime si adattano l’una all’altra grazie a supporti di accoppiamento che contengono piccoli magneti con polarità opposta. L’azione di questi magneti permette di ritrovare velocemente e fedelmente sempre la stessa posizione delle dime anche se dovessimo rimuoverle per poi reinserirle. Affidandoci alla stabilità ancora presente su alcuni denti abbiamo progettato una prima dima ad appoggio dentale che permettesse il corretto posizionamento della dima esterna che sarà l’unica a rimanere sempre in posizione fino alla fine dell’intervento (Fig. 9). Una volta stabilizzata con i pin di stabilizzazione e rimosso il posizionatore, si è potuto apprezzare la bellezza della metodica che permette un’ampia visione e molto spazio a disposizione per poter eseguire le fasi chirurgiche preliminari di preparazione (estrazioni e sollevamento di piccoli lembi). Liberata l’arcata dall’ingombro dei denti e di tessuti in eccesso si è potuto posizionare la dima di perforazione nella corretta posizione grazie alla presenza della dima esterna rimasta in posizione (Figg. 10-13).
Alla preparazione dei tunnel implantari è seguito il loro inserimento sempre con tecnica guidata utilizzando gli appositi montatori forniti nel kit, avendo cura di far combaciare le tacche di riferimento dei montatori con le linee di repere preventivamente disegnate sulla dima così da ottenere il corretto posizionamento dei 2 mua angolati previsti nel settore anteriore (Fig. 14). In fase chirurgica il posizionamento dei mua è stato ulteriormente facilitato dalla presenza di un doppio esagono presente all’interno dell’impianto che rende possibili ulteriori aggiustamenti “di fino” del componente protesico. Avvitate tutte le torrette il provvisorio è stato poi cementato con cemento duale dedicato utilizzando un foglietto di diga preforato per facilitarne la cementazione (Figg. 15, 16).
_Procedure protesiche
Per la realizzazione del provvisorio, si è collaborato con l’odt. Nicola Palladino del laboratorio Dent-One di Imola (BO). Grazie ai flussi digitali, è stato possibile collaborare a distanza fin dalle fasi iniziali, a partire dalla progettazione della ceratura diagnostica che ha guidato l’intera pianificazione implantare, mantenendo il concetto di “implantologia protesicamente guidata”.
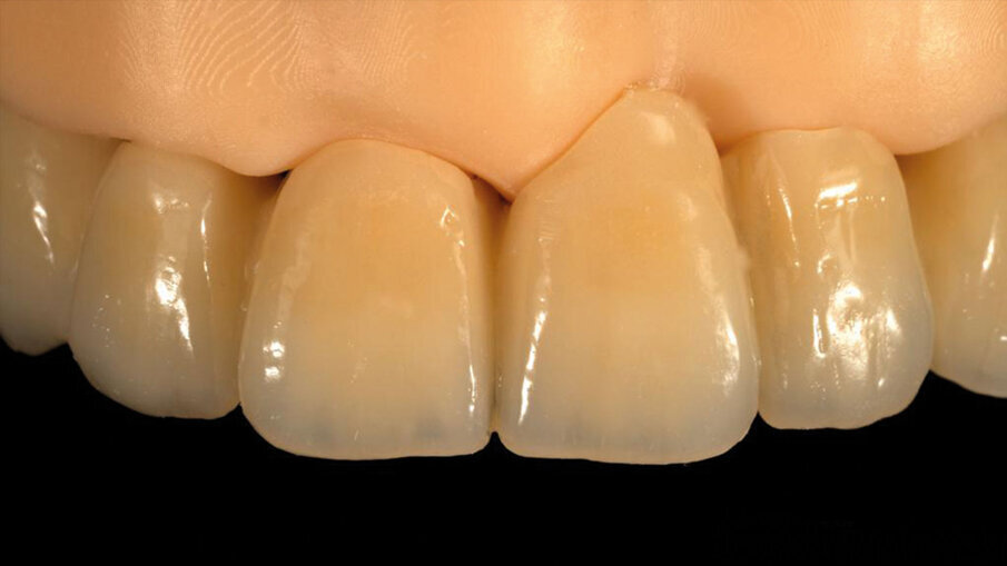
Lo scambio di informazioni tramite file STL ha permesso di trasferire al laboratorio preziose informazioni sulle emergenze dei componenti protesici scelti e sulla loro relazione con i tessuti prima dell’intervento. Sulla base di queste informazioni, il laboratorio ha potuto costruire un provvisorio da cementare sulle torrette alla fine dell’intervento, simulando virtualmente il profilo dei tessuti molli dopo le estrazioni (Figg. 17-19).
_Conclusioni
L’utilizzo della chirurgia guidata offre numerosi vantaggi, tra cui una maggiore precisione nell’esecuzione delle procedure, riduzione del rischio di errori, tempi di intervento più brevi e recupero post-operatorio più rapido per il paziente. Inoltre, può migliorare la comunicazione tra i membri del team chirurgico e fornire una migliore comprensione del piano di trattamento ai pazienti. Fondamentale però oltre che una conoscenza approfondita delle tecnologie e dei software utilizzati è l’utilizzo di uno strumentario e di sistematiche implantari che ben si sposano con l’utilizzo di questa tecnica chirurgica. La possibilità di disporre di un tray chirurgico guidato dove le frese finali rispecchiano esattamente la morfologia dell’impianto scelto consente di ottenere il miglior bone-implant contact ottenibile già in fase di inserimento, condizione certamente favorevole per il carico immediato (Fig. 20).
L'articolo è stato pubblicato su implants international magazine of oral implantology, Italian edition n. 2/23.
Tag:
Dental Tribune intervistaIl dott. Alberto Maria Albiero si è di recente aggiudicato il premio PEERS nella sezione Protesi conometrica, con un case ...
Il paziente si rivolge presso lo studio con una situazione gravemente compromessa dall’usura di tutti gli elementi dentari (Fig. 1). La richiesta ...
L’osteointegrazione è un fenomeno biologico che si basa sui processi di rigenerazione e rimodellamento osseo. Il tessuto osseo risponde ai ...
L’osteointegrazione è un fenomeno biologico che si basa sui processi di rigenerazione e rimodellamento osseo. Il tessuto osseo risponde ai ...
Negli ultimi anni sempre più autori si sono interessati all’utilizzo degli impianti corti, cioè di impianti di lunghezza pari o ...
Negli ultimi anni sempre più autori si sono interessati all’utilizzo degli impianti corti, cioè di impianti di lunghezza pari o ...
La possibilità di riabilitare un mascellare superiore a carico immediato, con una protesi fissa, mediante l’utilizzo di soli quattro impianti ...
Il carico immediato può essere ormai considerato una procedura terapeutica di elevata affidabilità ed efficacia, anche a distanza di tempo. Elemento ...
Nella giornata di sabato 19 ottobre, all’interno dell’International Expodental, il dott. Vincenzo Bucci Sabattini terrà una ...
Paziente donna di ottant’anni, presenta uno stato di salute ottimale, non assume farmaci. Dal punto di vista odontoiatrico chiede una riabilitazione delle...
Dr. Bruce McFarlane Certified Specialist in Orthodontics Fellow: Royal College of Dentists of Canada Diplomate: American Board of Orthodontics
Live webinar
mer. 15 aprile 2026
20:00 (CET) Rome
Live webinar
gio. 16 aprile 2026
2:00 (CET) Rome
Linda Hecker MS, BSDH, RDH
Live webinar
gio. 16 aprile 2026
18:00 (CET) Rome
Dr. Pär-Olov Östman, Dr. Robert Gottlander DDS
Live webinar
ven. 17 aprile 2026
18:00 (CET) Rome
Live webinar
ven. 17 aprile 2026
19:00 (CET) Rome
Dr. Stuart Yeaton BDentSc, MOrth
Live webinar
lun. 20 aprile 2026
19:00 (CET) Rome
Dr. Alberto Monje DDS, MS, PhD
To post a reply please login or register