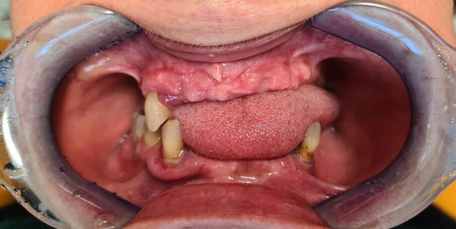
Paziente donna di ottant’anni, presenta uno stato di salute ottimale, non assume farmaci. Dal punto di vista odontoiatrico chiede una riabilitazione delle due arcate con dei denti fissi perché le attuali protesi removibili con ganci le stanno creando ormai da troppi anni un grande disagio. Come dalla ortopantomografia possiamo evidenziare uno stato ormai precario degli elementi rimasti (Figg. 1-3).
Materiali e metodi
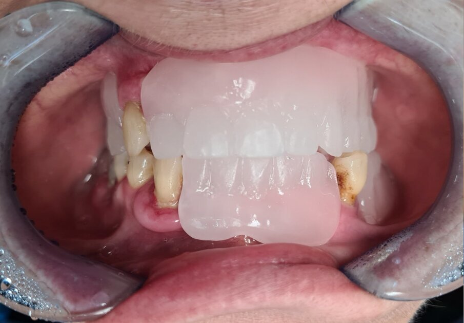
Come primo passo per questa riabilitazione è necessario prendere due impronte con scanner 3D, naturalmente senza le protesi per poter eseguire due tamponi occlusali. Il secondo passo è quello di far preparare al laboratorio due dime radiologiche con polvere di bario; questo passo è estremamente importante perché, se viene eseguita una radiografia 3D con le dime malposizionate, tutto il lavoro che seguirà sarà un errore continuo. Tra queste dime radiologiche è stato posizionato uno Stent radiografico che permetterà, una volta eseguita la TAC, di eseguire un Mach di riconoscimento dei due modelli tramite software di pianificazione implantare. Dalla diagnosi virtuale è stato riscontrato che nella parte superiore era presente un osso che va da una densità D2 nella parte anteriore e tra il D2 e D3 nella parte posteriore, mentre l’inferiore presenta un osso con densità D2 su gran parte della superficie disponibile per ospitare gli impianti. Una volta posizionati virtualmente gli impianti è stato inviato al laboratorio il file STL che permetterà di costruire una protesi virtuale e di conseguenza le dime chirurgiche (Figg. 4, 5).
Fig. 1_Caso iniziale senza protesi.
Fig. 2_OPT caso iniziale.
Fig. 4_Dime radiologiche con stent per eseguire TAC.
Fig. 5_Dima radiologica bariata per TAC.
Chirurgia
In presenza dell’anestesista, la paziente viene sedata e si inizia l’intervento con l’estrazione degli elementi inferiori e il posizionamento della dima radiologica superiore insieme al silicone che danno la corretta occlusione. Inoltre, per poter fissare la dima chirurgica inferiore in posizione corretta, verrà ripetuta la stessa procedura una volta completato l’intervento inferiore anche per il superiore. Con l’ausilio del kit chirurgico 3D della Dental Tech, si inizia con il protocollo di inserimento degli impianti ImpLassic FT3 ø3.75 x 13 mm (Dental Tech) per mezzo della chirurgia guidata che prevede l’inizio di preparazione dei tessuti con un mucotomo e a seguire si procede con la prima fresa considerata preparatore crestale. Il fissaggio con i pin di ancoraggio della dima chirurgica è molto importante per il corretto posizionamento programmato nella fase virtuale. Le frese successive devono essere considerate passo dopo passo essenziali nella preparazione guidata in base alla lunghezza degli impianti da inserire e alla densità dell’osso. Un’accortezza importante è quella di sentire sempre la nostra sensibilità tattile durante la preparazione dell’osso.
Ci sono situazioni in cui la densità non corrisponde a quella della tac, quindi è importante rimanere sotto-preparati con una fresa che non sarà quella definitiva, in maniera tale che l’impianto inserito possa avere un torque adeguato. Una volta preparate le sedi implantari, si procede a posizionare il trasportatore sull’impianto per poterlo inserire attraverso la dima chirurgica nell’osso. Una volta inserito si procede ad avvitarlo controllando bene che la base geometrica del trasportatore non arrivi a battuta con la dima chirurgica; questo permetterà di non far sollevare la dima in maniera inappropriata. Allo stesso modo si inseriscono anche gli altri impianti fino al completamento del progetto. Una volta inseriti tutti gli impianti per mezzo della chiave dinamometrica si andrà a mandare a battuta tutti i trasportatori in maniera tale che possono indicare che gli impianti sono arrivati tutti a fine preparazione (Figg. 6-9). Lo stesso procedimento si effettuerà nell’arcata superiore con il medesimo protocollo. Nella dima chirurgica superiore, si fa sempre fare al laboratorio una parte aperta che permetterà una volta fissata la dima con i Pin, di valutare il corretto posizionamento e verificare i rapporti con la mucosa del palato (Fig. 10).
Fig. 6_Fissaggio dima chirurgica inferiore con pin di ancoraggio e superiore silicone e dima bariata.
Fig. 7_Fissaggio dima inferiore.
Fig. 8_Fissaggio dima superiore.
Fig. 9_Preparatore crestale.
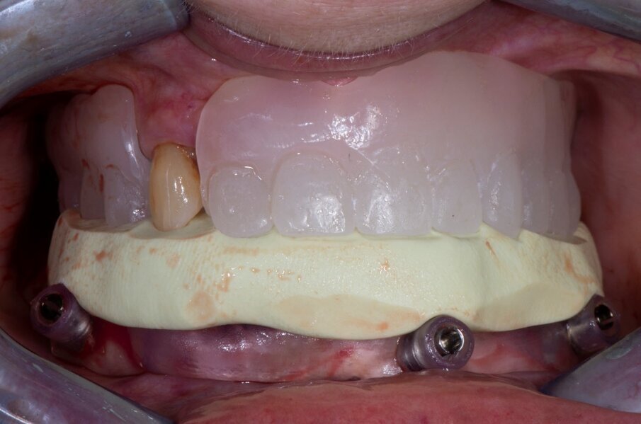
Fig. 10_Risultato finale.
Fase protesica
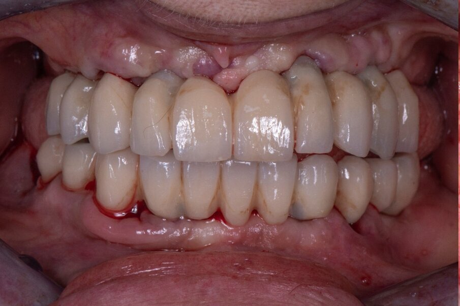
Da qui in poi inizia la fase protesica con l’avvitamento dei MUA e subito sopra di essi, l’avvitamento delle torrette che ospiteranno la protesi che viene fissata con del cemento dual. Questo passaggio permetterà di rendere la struttura provvisoria passiva.
Follow-up
È importantissimo ricontrollare l’occlusione nei giorni successivi, per una migliore propriocezione data dall’assenza degli effetti dell’anestesia. Per il primo mese 2 volte poi 1 volta al mese fino al quinto.
Tag:
La presente pubblicazione descrive un caso clinico di riabilitazione full-arch a carico immediato guidato mediante l’utilizzo di dime scomposte e impianti...
La paziente donna 64 anni si presenta all’attenzione del dentista con un quadro clinico generale complesso. Eseguita l’anamnesi si procede a ...
Nel presente caso clinico sono illustrate, in modo molto schematico, alcune fasi della realizzazione di una protesi overdenture superiore e inferiore ...
Nel presente caso clinico sono illustrate, in modo molto schematico, alcune fasi della realizzazione di una protesi overdenture superiore e inferiore ...
Il paziente si rivolge presso lo studio con una situazione gravemente compromessa dall’usura di tutti gli elementi dentari (Fig. 1). La richiesta ...
In questo articolo viene presentato un caso di edentulismo totale superiore trattato e gestito con una nuova sistematica implanto-protesica e con flusso ...
La malattia parodontale colpisce in maniera silenziosa il 60% della popolazione italiana, e nel 10% dei casi si manifesta in forma avanzata, questi i tristi...
Le malattie parodontali possono causare gravi invalidità quali la perdita o la riduzione della funzionalità dell’apparato ...
Nell’odontoiatria, così come in tutti i settori, la digitalizzazione dei sistemi di lavoro ha raggiunto percentuali importanti, modificando parzialmente ...
La chirurgia orale, e in particolare la chirurgia dell’ottavo inferiore, costituisce alcuni dei momenti più complessi ...
Live webinar
mar. 19 maggio 2026
17:00 (CET) Rome
Live webinar
mar. 19 maggio 2026
19:00 (CET) Rome
Prof. Dr. med. dent. Ivo Krejci
Live webinar
mer. 20 maggio 2026
13:00 (CET) Rome
Dr. Graham Carmichael BDSc (Hons), DClinDent (Pros), FRACDS, Dr. Robert Gottlander DDS
Live webinar
mer. 20 maggio 2026
15:00 (CET) Rome
Live webinar
mer. 20 maggio 2026
17:00 (CET) Rome
Live webinar
mer. 20 maggio 2026
19:00 (CET) Rome
Prof. Dr. med. dent. Tim Joda PhD, MSc, eMBA
Live webinar
gio. 21 maggio 2026
18:00 (CET) Rome
Dr. Leonardo Muniz DDS, MSC
To post a reply please login or register