Negli ultimi decenni gli impianti hanno conquistato una parte considerevole del mercato odontoiatrico e ci hanno permesso di poter offrire numerose soluzioni impianto-protesiche ai nostri pazienti, dalla sostituzione dell’elemento dentario singolo ai numerosi protocolli riabilitativi per l’edentulia totale e la dentatura terminale basati sull’utilizzo di protesi fisse e rimovibili a supporto implantare (Fig. 1).
_Descrizione
Come l’impianto singolo, anche le riabilitazioni complesse su impianti possono essere interessate da processi infiammatori che possono poi portare a complicanze al sistema impianto-struttura protesica (Fig. 2). Le cause sono molteplici, dalla mancanza di igiene a cause iatrogene, come incongruità delle strutture protesiche, progettazione errata e posizionamento implantare non idoneo (Fig. 3).
Al crescere delle particolarità delle strutture protesiche anche le manovre di igiene orale professionale attuate per la rimozione di placca e tartaro sulle protesi a supporto implantare si sono evolute anche se in alcuni casi si dimostrano difficoltose ed indaginose poiché il raggiungimento degli abutment con lo strumentario professionale (meccanico o manuale) necessario per l’esecuzione delle procedure di igiene è reso complicato dal fatto che spesso gli stessi risultano essere quasi completamente nascosti dalla struttura protesica. Sempre le peculiarità specifiche delle riabilitazioni full-arch avvitate e cementate su impianti hanno spinto a effettuare alcune riflessioni su cosa utilizzare per la profilassi professionale di igiene orale su queste tipologie di implantoprotesi.
Varie analisi cliniche condotte hanno permesso di concludere che ad oggi il trattamento professionale di queste protesi debba essere eseguito in prima fase da una motivazione all’igiene orale. Questa fase d’istruzione alla corretta igiene implanto-protesica è un primo step fondamentale dove ci soffermeremo nel far conoscere il cavo orale e il tipo di riabilitazione al paziente. Passaggi già effettuati durante la fase di trattamento ma che necessitano di un riepilogo per rendere più consapevole della complessità del lavoro eseguito anche il paziente meno ricettivo. Ovvio che in fase di anamnesi si è già effettuata una scelta importante, capire se il paziente è capace di tenere una bocca in ordine. Se così non fosse bisogna orientare le proprie scelte terapeutiche su soluzioni implanto-protesiche più semplici da realizzare e da mantenere pulite come per esempio, nell’arcata inferiore, l’overdenture impianto-ritenuta e tessuto supportata con OT Equator (Rhein83, Italia) che è una tipologia di trattamento ad alta resa funzionale e migliorativa della qualità di vita e allo stesso tempo semplicissima da tener pulita (Fig. 4). I depositi di placca sul TiN titanio nitrurato ad alta resistenza, sono semplici da rimuovere sia a livello domiciliare che a livello professionale. Per la protesi fissa nella fase di consegna del manufatto protesico daremo delle prime istruzioni di igiene. Queste norme di igiene domiciliare saranno rinforzate con rilevatori di placca tritonale nelle sedute successive che ci aiuterà a far notare le zone che il paziente trascura ma soprattutto ci guiderà durante la rimozione del biofilm batterico.
Quando ci approcceremo alle varie fasi del mantenimento implantare dobbiamo per prima cosa identificare lo stato di salute del nostro sistema. Uno salute ottimale di una implanto-protesi è quando sono presenti i seguenti parametri:
- Assenza di sanguinamento e/o suppurazione su sondaggi delicati;
- Nessun aumento di profondità di sondaggio rispetto agli esami precedenti;
- Rx implantare con assenza di perdita ossea.
Invece quando definiamo una mucosite, stato reversibile ma se non controllato è porta della peri-implantite:
- Presenza di sanguinamento e/o suppurazione su sondaggio delicato con o senza aumento della profondità di sondaggio rispetto agli esami precedenti;
- Assenza di perdita ossea.
In questi casi le manovre da fare sono quelle di eliminare il biofilm batterico sia sopra che sotto gengiva e si motiva il paziente ad un rinforzo dell’igiene domiciliare con ausili specifici.
_Air polishing
Molte patologie che colpiscono denti e impianti, le gengive e i tessuti parodontali o tessuto implantare possono essere evitate o almeno ridotte negli effetti ricorrendo ad una regolare profilassi di controllo e mantenimento igienico professionale. In primis ci soffermiamo con moderni apparecchi di lucidatura ad aria e acqua che si sono affermati come metodi efficaci per risolvere queste problematiche e, assieme a specifiche polveri per l’applicazione sia sopra gengivale che subgengivale, hanno assunto un ruolo sempre più importante anche nella terapia di mantenimento.
In particolare le polveri di glicina grazie al loro elevato potere antimicrobico e alla loro granulometria ridottissima, permettono un’accurata disinfezione a livello sopra e sub gengivale dell’intero cavo orale, soprattutto a livello del tragitto trasmucoso dell’abutment. In foto possiamo vedere un OT Equator (Rhein83, Italia) utilizzato per protesi fissa con la sistematica OT Bridge (Rhein83, Italia) (Figg. 5, 6). La rimozione totale del Biofilm batterico a livello sopra e sotto gengivale permette una “restitutio ad integrum” del tessuto gengivale, con una disinfezione profonda a livello tissutale.
Ciò è di fondamentale per evitare l’insorgere e il persistere di condizioni infiammatorie a livello dei tessuti gengivali come mucositi, che rappresentano il primo step per la pericolosa strada che sfocia nella perimplantite e il probabile fallimento dei nostri sforzi lavorativi. Qui si può aprire un dibattito da mucosite a perimplantite secondo la nuova classificazione (Fig. 7).
La glicine che utilizziamo come polvere è di partenza un aminoacido essenziale, in particolare è il più semplice aminoacido presente in natura, molto diffuso in commercio che si presenta come una polvere bianca inodore e insapore con una granulometria estremamente ridotta e per questo motivo assai volatile.
Queste polveri vengono miscelate con aria e acqua grazie ad un apposito sistema air flow che permette di effettuare un air polishing completo ed efficace. Per l’air polishing delle porzioni visibili della protesi si utilizza una polvere di glicina a bassa granulometria 25 micron. Il trattamento di air-polishing con polvere di glicina o l’utilizzo di un dispositivo ad ultrasuoni sono efficaci nel trattamento non chirurgico della mucosite. Per la rimozione efficace del biofilm in presenza di tasca parodontale utilizziamo l’eritritolo.
L’applicazione sotto gengivale della polvere di eritritolo mediante l’air polishing, può essere considerata sicura e viene eseguita in presenza di tasche parodontali compresa tra i 4 e 9 mm. Con una granulometria di appena 14 μm, la polvere si classifica come la particella più fine nel mondo dell’odontoiatria. Il vantaggio di questo tipo di polvere è che permette un getto minimamente abrasivo e selettivo: è infatti in grado di rimuovere efficacemente il biofilm senza alcun danno su tessuti molli e duri. Per la rimozione dei depositi a livello sottogengivale si utilizza puntale specifico “Perio-Flow”. Questa manovra risulta essere:
- Molto ben accetta dal paziente rispetto al trattamento con strumenti manuali (Fig. 8);
- Totalmente indolore;
- Coadiuvante nella rimozione dei fattori infiammatori per la gengiva e i tessuti di sostegno del dente;
- Un utile strumento per la rimozione di pigmenti superficiali in sostituzione al bicarbonato.
Per procedure di igiene in presenza di tartaro sono nati inserti in peek in modo da preservare sia i tessuti molli e duri ma soprattutto i manufatti protesici in modo da evitare abrasioni o scalfitture (Figg. 9, 10).
_Case report
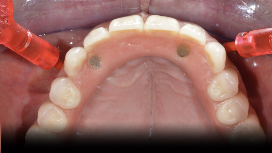
Mostriamo di seguito l’esecuzione di un lavoro di protesi ibrida su impianti tipo Toronto su sistematica OT Bridge (Rhein83, Italia). Il paziente, edentulo con più di 80 anni di età viene operato in chirurgia guidata (Figg. 11, 12). Vengono inseriti 4 impianti TSIII (Osstem, Korea) del diametro di 4 x 8.5 in zona 16, 3.5 x 11.5 in zona 12, 3.5 x 11.5 in zona 23 e 4 x 8.5 in zona 27. La progettazione è avvenuta con il software RealGuide (3Diemme, Italia) sfruttando le informazioni del montaggio dei denti della protesi totale. Nonostante la progettazione accurata, gli impianti non si sono potuti collocare in perfetto parallelismo per le condizioni ossee scarse. Quindi tra le varie fixture sono presenti disparallelismi, proprio per questo abbiamo deciso di utilizzare la sistematica OT Bridge (Rhein83, Italia) che risulta particolarmente vincente in caso di parallelismo tra i monconi. Abbiamo inserito gli abutment OT Equator (Rhein83, Italia) già al tempo della chirurgia e li abbiamo ricoperti con le viti di guarigione scegliendo la chirurgia one-stage (Figg. 13, 14).
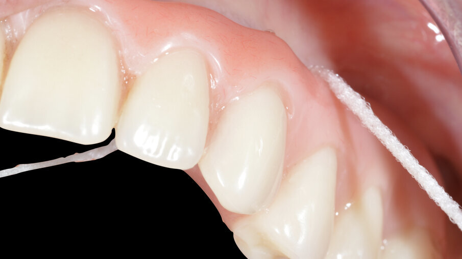
Dopo 3 mesi la situazione dell’abutment, una volta smontato l’healing abutment, è di quelle desiderabili in una protesi su impianti (Fig. 15). Terminato il lavoro con la consegna del manufatto protesico, si procede con la spiegazione, in vari appuntamenti delle manovre di igiene per il corretto mantenimento del lavoro nel tempo. Per la rimozione di placca batterica fresca si istruisce il paziente all’utilizzo di super floss per la detersione nella zona confine tra protesi e tessuti molli (Fig. 16). Super floss di oral-b è utilizzato anche per le manovre di igiene orale in studio per l’igiene dei monconi implantari.
Questo tipo di soluzione nasce dall’idea di facilitare l’inserzione del filo tra un dente e l’altro e per pulire meglio le strutture protesiche ancorate agli impianti (Fig. 17). È realizzato in materiale sintetico di un certo spessore ma morbido e adattabile a tutte le superfici. È spugnoso ed elastico allo stesso tempo e assorbe i residui di biofilm nella fase di deplaquing. L’inseritore in plastica consente un rapido inserimento del filo sia negli spazi interdentali si tra impianto e dente o fra barre e gengiva o tra protesi e mucosa vicino alle strutture protesiche. Pulisce rapidamente e in modo uniforme e consente un controllo accurato dell’igiene delle superfici trattate. Possiamo affermare che è un efficace strumento per l’igiene orale domestica.
Per quanto riguarda l’utilizzo degli scovolini già nella fase progettuale si studiano i giusti diametri e quali zone gestire con gli scovolini (Fig. 18). Questi ultimi sono strumenti insostituibili per l’igiene delle protesi a supporto implantare, per poterne garantire una sopravvivenza a lungo temine. È di fondamentale importanza istruire il paziente all’uso degli scovolini e consigliare quelli del diametro adatto (Fig. 19).
Dall’ultime evidenze scientifiche si sconsiglia l’utilizzo di paste abrasive in quanto già eseguiamo una lucidatura con i sistema di zir polishing. È importante, infine, definire e spiegare la necessità di un protocollo di smontaggio della protesi avvitata al fine di poter avere il miglior accesso alle emergenze implantari e permettere una detersione ottimale della protesi con l’ausilio degli strumenti di studio. In letteratura, su questo tema, viene consigliato lo smontaggio della protesi una volta l’anno e avendo cura di sostituire periodicamente le viti che connettono la protesi agli impianti.
Passando all’ambito dell’igiene orale domiciliare, va tenuto presente come le procedure da attuare non siano comunque molto dissimili da quelle che si devono compiere su riabilitazioni protesiche di tipo più tradizionale, per le quali occorre certamente essere efficaci sulle sovrastrutture protesiche ma anche, e forse soprattutto, a livello del colletto implantare al fine di impedire l’organizzazione di un biofilm patogeno.
_Discussione
Alla luce di tutte queste variabili finora trattate, durante tutto il percorso di educazione del paziente aIl’igiene orale domiciliare dell’implanto-protesi sarà ovviamente di importanza basilare operare un monitoraggio periodico dei progressi del paziente, anche in ragione del fatto che all’aumentare dell’estensione della protesi corrisponderanno maggiori possibilità di formazione di nicchie e recessi favorevoli all’accumulo di placca. Questo aspetto deve sensibilizzare il professionista all’importanza, ancor prima dell’inizio del percorso riabilitativo, della motivazione all’igiene orale del paziente, che in breve tempo passerà da una dentatura parziale o da un’edentulia totale alla presenza di una nuova dentatura “artificiale” e sorretta da impianti.
La motivazione e l’educazione all’utilizzo dei dispositivi di igiene orale dovranno essere il risultato di un percorso graduale, facendo attenzione a non fornire al paziente troppe indicazioni e tutte insieme, per non correre il rischio di generare confusione nel paziente stesso, saturandolo con una mole eccessiva di informazioni. È meglio quindi introdurre un presidio per volta, e non prima che il paziente ne abbia compreso bene l’utilizzo e ne abbia buona padronanza, prima di consigliare l’uso aggiuntivo di un ulteriore dispositivo (Fig. 20).
In conclusione, l’integrazione tra un uso quotidiano ed efficace degli strumenti di igiene orale domiciliare specifici, unitamente al protocollo individualizzato di follow-up professionale, è l’approccio che può consentire nel medio e lungo periodo l’integrità della riabilitazione implantoprotesica e dei tessuti che la sostengono, offrendo quindi al paziente una garanzia di sopravvivenza della riabilitazione da noi progettata e realizzata (Fig. 21).
Fig. 1_Progettazione di un full arch con software per chirurgia guidata.
Fig. 2_Perdita di osso per cause iatrogene, la capsula non è congrua con il moncone.
Fig. 3_Paziente con protesi a supporto implantare e dentatura naturale con scarsissima igiene orale.
Fig. 4_Overdenture mandibolare. Soluzione pratica e affidabile in pazienti con scarsa igiene orale.
Fig. 5_Manovre di air polishing su OT Bridge.
Fig. 6_Manovre di rimozione del biofilm batterico su OT Equator.
Fig. 7_Nuova classificazione delle patologie parodontali.
Fig. 8_Curettaggio manuale con strumenti dedicati.
Fig. 9_Punte ultrasoniche in Peek.
Fig. 10_Rimozione della placca con strumenti in Peek che non rovinano l’abutment.
Fig. 11_Visione occlusale di un mascellare edentulo.
Fig. 12_Template chirurgico realizzato da New Ancorvis fissato con pin.
Fig. 13_OT Equator inseriti al tempo della chirurgia.
Fig. 14_Healing abutment per chirurgia one-stage.
Fig. 15_Ottimo stato di salute di OT Bridge allo smontaggio della vite di guarigione.
Fig. 16_Manovre di igiene domiciliare con superfloss.
Fig. 17_Manovre di igiene professionale per la pulizia degli ancoraggi implantari.
Fig. 18_Scelta e utilizzo degli scovolini.
Fig. 19_Scovolino pulito in un paziente con alta capacità di igiene domiciliare.
Fig. 20_Esempio di una rx di una protesi fissa con follow-up di 6 anni. L’importanza dell’igiene oltre a tutti i fattori progettuali.
Fig. 21_Schema di progressione delle patologie peri-implantari.
_Bibliografia
- Subgingival air-polishing with erythritol during periodontal maintenance.Division of oral Physiotherapy and Periodontology, school of Dental Medicine, University of Geneva, Switzerland J Clin Periodontol. 2014 Sep; 41(9): 883-9. doi: 10.1111/jcpe.12289. Epub 2014 Aug 7.
- Erythritol alters microstructure and metabolomic profiles of biofilm composed of Streptococcus gordonii and Porphyromonas gingivalis. E. Hashino, M. Kuboniwa, S.A. Alghamdi, M. Yamaguchi, R. Yamamoto. Molecular Oral Microbiology,2013,435-451.
- Hygiene and soft tissue management: The hygienist’s perspective. In: Babbush CA (ed.): Dental Implants: The Art and Science. Philadelphia: WB Saunders; 2001. pp. 423-43.
- O’Leary TJ., Drake RB., Naylor JE.. The plaque control record. J Periodontol 1972 Jan;43(1):38.
- Absence of bleeding on probing. An indicator of periodontal stability. J. Lang NP, Adler R., Joss A., Nyman S.. Clin Periodontol. 1990 Nov;17(10):714- 21.
- Clinical characteristics at implants with a history of progressive bone loss. Clin Oral Implants Res. 2008 Fransson C., Wennström J., Berglundh T.. Feb;19(2):142-7.
- Primary prevention of peri‐implantitis: Managing peri‐implant mucositis. Søren Jepsen Tord Berglundh, Robert Genco, Anne Merete, Aass Korkud Demirel, Jan Derks, Elena Figuero, Jean Louis, Giovannoli Moshe, Goldstein France, Lambert Alberto Ortiz‐Vigon, Ioannis Polyzois, Giovanni E., Salvi Frank Schwarz, Giovanni Serino, Cristiano Tomasi, Nicola U. Zitzmann, et all.. First published: 27 January 2015 https://doi.org/10.1111/jcpe.12369.
- Efficacy of air polishing for the non‐surgical treatment of peri‐implant diseases: a systematic review. Frank Schwarz Kathrin, Becker Stefan Renvert. First published: 12 September 2015 https://doi.org/10.1111/jcpe.12454.
- Subgingival Plaque Removal Using a New Air‐Polishing Device. Raphaël Moëne Fabien Décaillet Elene Andersen Andrea Mombelli. First published: 01 January 2010 https://doi.org/10.1902/jop.2009.090394.
- Peri‐implant diseases and conditions: Consensus report of workgroup 4 of the 2017 World Workshop on the Classification of Periodontal and Peri‐Implant Diseases and Conditions. Tord Berglundh Gary Armitage Mauricio G. Araujo Gustavo Avila‐Ortiz et all. First published: 21 June 2018 https://doi.org/10.1002/JPER.17-0739.
- A new classification scheme for periodontal and peri‐implant diseases and conditions – Introduction and key changes from the 1999 classification. Jack G. Caton Gary Armitage Tord Berglundh Iain L.C. Chapple Søren Jepsen et all.. First published: 21 June 2018 https://doi.org/10.1002/JPER.18-0157.
- Clinical evaluation of an implant maintenance protocol for the prevention of peri‐implant diseases in patients treated with immediately loaded full‐arch rehabilitations. Corbella, M. Del Fabbro, S. Taschieri, F. De Siena, L. Francetti. First published: 14 October 2010 https://doi.org/10.1111/j.1601-5037.2010.00489.x.
- Scrascia R., Martinolli M., Venezia P., Casucci A. Ortensi L., Tallarico M.. Feasibility of Low Profile Attachments to Improve Quality of Life on Patients with Implant-Retained Mandibular Overdenture: 1-Year Preliminary Results of a Multicenter Prospective Case Series Study. J. Oral Health Dental Manag. 2018, 17, No. 5.
- Xhanari E., Scrascia R., Kadiu B., Tallarico M.. Two implants supporting a mandibular overdenture to rehabilitate Cawood and Howell Class V and VI patients: A proof-of-concept study. J. Oral Sci. Rehabilit. 2017, 3, 52–59.
L'articolo è stato pubblicato su Implants Italian Edition n. 1/2020.
Tag:
Lo scopo di questo articolo è illustrare i vantaggi di un flusso digitale per la registrazione dei rapporti dei tessuti molli con le protesi provvisorie e ...
Il paziente si rivolge presso lo studio con una situazione gravemente compromessa dall’usura di tutti gli elementi dentari (Fig. 1). La richiesta ...
BlancOne Click è un trattamento per lo sbiancamento dentale in studio lanciato sul mercato da IDS Spa nel 2016. Si tratta di un trattamento veloce e ...
Al giorno d’oggi, le persone danno sempre più importanza all’estetica dentale e del viso e questo dipende dalla loro maggiore ...
Al giorno d’oggi, le persone danno sempre più importanza all’estetica dentale e del viso e questo dipende dalla loro maggiore ...
La presente pubblicazione descrive un caso clinico di riabilitazione full-arch a carico immediato guidato mediante l’utilizzo di dime scomposte e impianti...
In questo articolo viene presentato un caso di edentulismo totale superiore trattato e gestito con una nuova sistematica implanto-protesica e con flusso ...
Nuovi approcci e nuove frontiere in protesi fissa, questo il titolo della conferenza che il dott. Marco Montanari e l’odt Claudio Sassatelli terranno a ...
Il biofilm, con la sua struttura complessa e gerarchica, rappresenta la principale causa della malattia parodontale e della patologia perimplantare.
La paziente – 56 anni in buono stato di salute generale – si presenta con mascellare superiore completamente edentulo; riferisce che da circa due anni ...
Live webinar
gio. 30 aprile 2026
1:00 (CET) Rome
Dr. Renato Leonardo D.M.D.
Live webinar
gio. 30 aprile 2026
19:00 (CET) Rome
Live webinar
dom. 3 maggio 2026
18:00 (CET) Rome
Dr. Rickard Brånemark MSc, MD, PhD, Dr. Robert Gottlander DDS
Live webinar
lun. 4 maggio 2026
2:00 (CET) Rome
Live webinar
mar. 5 maggio 2026
16:00 (CET) Rome
Live webinar
mar. 5 maggio 2026
18:00 (CET) Rome
Live webinar
mar. 5 maggio 2026
19:00 (CET) Rome
Dr. Maximilian Dobbertin M.Sc
To post a reply please login or register