La paziente – 56 anni in buono stato di salute generale – si presenta con mascellare superiore completamente edentulo; riferisce che da circa due anni non indossa protesi mobile. Nella Fig. 1 possiamo apprezzare l’aspetto extra-orale del sorriso, mentre le immagini (Figg. 2, 3) mostrano le prospettive frontali e occlusali intra-orali, con la presenza di dentatura fissa a livello dell’arcata inferiore e buona quantità di mucosa cheratinizzata a livello della cresta edentula superiore.
Materiali e metodi Seguendo i canoni tradizionali di una protesi mobile, viene realizzato un manufatto rimovibile (Fig. 4) utile per verificare la congruità della dimensione verticale della riabilitazione, l’estetica e la funzione. Tali informazioni preliminari saranno trasferite alla protesi definitiva della paziente. A partire dalle informazioni del prototipo si produce una dima radiologica (Fig. 5) che - attraverso degli specifici punti di repere radio-opachi e di un sistema di scanalature – rende possibile il corretto matching tra il file .stl derivato dalla scansione intraorale e l’immagine dicom. In pochi passaggi siamo in grado di mettere in relazione l’aspetto intraorale con le basi ossee e possiamo procedere in modo accurato con le fasi successive della pianificazione (Figg. 6, 7). La quantità di osso residuo della paziente consente il posizionamento di 4 impianti senza procedure di aumento osseo. È possibile un approccio flapless grazie alla quantità di mucosa cheratinizzata presente, di 2 impianti anteriori da 11.5 millimetri di lunghezza e diametro 4 millimetri e 2 impianti distali inclinati di 17 gradi di pari diametro e 13 millimetri di lunghezza. Si sceglie di utilizzare impianti monofasici one-piece con Multi-Unit Abutment integrato (Fixo – Oxy Implant) che semplificano le fasi di trattamento chirurgico e protesico aumentando il grado di accuratezza del flusso di lavoro digitale.
Fig. 1
Fig. 2
Fig. 3
Fig. 4
Fig. 5
Fig. 6
Fig. 7
La programmazione della fase chirurgica viene svolta in collaborazione con ODS – Oxy Digital Solutions e prevede l’impiego di un sistema di dime componibili sviluppato per garantire il trasferimento preciso delle informazioni dal progetto virtuale al paziente reale. Il sistema – chiamato Pcube – osserva l’applicazione di una dima base che rappresenta il punto di riferimento per tutte le procedure riabilitative del caso in analisi (Fig. 8). Il posizionamento della dima base, contraddistinta dell’unione funzionale di materiali da stampa 3D e titanio fresato, avviene mediante l’utilizzo di un indice di posizionamento a sua volta avvitato sulla dima base stessa attraverso un sistema di microviti che guiderà le successive apposizioni di dima implantare e carrier della protesi. L’indice di posizionamento è l’esatta copia della protesi definitiva e riprende le analisi dimensionali e occlusali svolte in fase di pianificazione.
Una volta posizionata la dima base mediante pin di fissaggio e rimosso l’indice di posizionamento, sugli stessi alloggiamenti avvitati viene posizionata la dima chirurgica per il posizionamento implantare. Questa componente è realizzata totalmente in titanio fresato e coniuga leggerezza, resistenza e ampia accessibilità chirurgica. La protesi può contare su un rinforzo in fibra di vetro continuo (Hi fiber – Moi Dental), una scelta che assicura solidità al manufatto e, grazie alla sua trasparenza e fluorescenza, caratteristiche estetiche che i materiali di rinforzo tradizionali non riescono a garantire. La protesi viene posizionata sulla dima base mediante un carrier avvitato sugli stessi alloggiamenti precedentemente utilizzati per l’indice di posizionamento e per la dima implantare.
Fase chirurgica Entrando nel vivo delle fasi chirurgiche, vediamo in Fig. 9 l’alloggiamento dell’indice di posizionamento per il fissaggio della dima base. È molto importante effettuare un primo try-in prima dell’anestesia così da accertare il corretto alloggiamento della protesi su tessuti privi di gonfiore. Dopo l’anestesia si procede a verificare nuovamente la posizione andando a comprimere le zone dove può essersi accumulato liquido anestetico. Verifichiamo il corretto alloggiamento del sistema Pcube attraverso le finestre di ispezione e verificando l’intercuspidazione con l’arcata antagonista. Rimosso l’indice di posizionamento (Fig. 10) possiamo apprezzare l’ampio accesso al campo chirurgico offerto dalla dima base e procedere con la fase di scansione intraoperatoria (Trios 4 – 3Shape). Abbiamo infatti deciso per fini documentali di procedere a una serie di scansioni per verificare in modo continuativo l’effettivo grado di precisione del trattamento rispetto alla pianificazione digitale grazie alla sovrapposizione dei file .stl (Fig. 11). Procediamo quindi con il fissaggio della dima chirurgica in titanio anodizzato, sempre sfruttando i sistemi di ancoraggio della dima base (Fig. 12). L’utilizzo di un mucotomo è il passaggio preliminare alla preparazione del sito implantare, non prevedendo, in questo caso, l’apertura di un lembo. Questa scelta si lega alla buona disponibilità ossea e di tessuto cheratinizzato della paziente; tuttavia, la finestra di accesso al campo operatorio garantita dalla dima base del sistema Pcube permette approcci a lembo aperto senza prevederne la rimozione (Fig. 13).
Fig. 9
Fig. 10
Fig. 11
Fig. 12
Fig. 13
Il posizionamento implantare segue un ordine contrapposto, prestando attenzione nella fase di avvitamento a non arrivare subito a fine battuta sulla dima implantare (Figg. 14, 15). I mounter montati sugli impianti monofasici con MUA integrato devono essere inseriti all’interno delle cannule della dima implantare, prima di procedere a ricercare l’accoppiamento tra il mounter stesso e lo scasso sulla dima che permette l’accesso del cacciavite per il rilascio (Figg. 16-18). Questo accorgimento ci dà la conferma ulteriore del corretto posizionamento degli impianti con MUA integrato da 17° di inclinazione e non è previsto per i dispositivi con MUA integrato con inclinazione 0°. Una volta rimossi i mounter possiamo disancorare la dima chirurgica dalla dima base (Fig. 19). La Fig. 20 mostra l’emergenza della componente protesica integrata degli impianti attraverso la mucosa. Sui MUA vengono quindi posizionati gli abutment in titanio preparati dal tecnico che ha potuto seguire la chirurgia sul modello (Fig. 21).
Fig. 14
Fig. 15
Fig. 16
Fig. 17
Fig. 18
Fig. 19
Fig. 20
21
Fase protesica
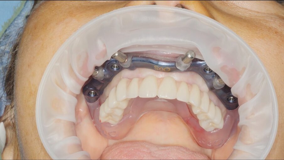
Veniamo quindi al posizionamento della protesi mediante carrier, a sua volta ancorato agli stessi punti di fissaggio della dima base. È significativo osservare come la stabilizzazione della sola vite palatale consenta l’allineamento perfetto tra i sistemi di fissaggio (Fig. 22), mentre il dettaglio mostrato in Fig. 24 illustra efficacemente come prima della cementazione della protesi l’accoppiamento e la centratura del foro protesico appaiano perfetti, confermando quindi come l’obiettivo di alloggiamento della protesi nella sede prestabilita sia stato colto. Per la fase di cementazione con cemento duale si è prestata attenzione alla realizzazione di un foro aggiuntivo per permettere al materiale di raggiungere gli abutment. I fori di accesso alle viti vengono tappati con filo di teflon (Figg. 25, 26) ed è a questo punto possibile andare a fissare la protesi e rimuovere il sistema carrier (Fig. 27). Lasciamo la dima in posizione, così che nell’eventualità in cui un abutment non dovesse essere stato cementato correttamente, ci riserviamo la possibilità di riprendere il posizionamento strategico dell’intero sistema Pcube, intercettando possibili impedimenti alle manovre di finalizzazione del caso.
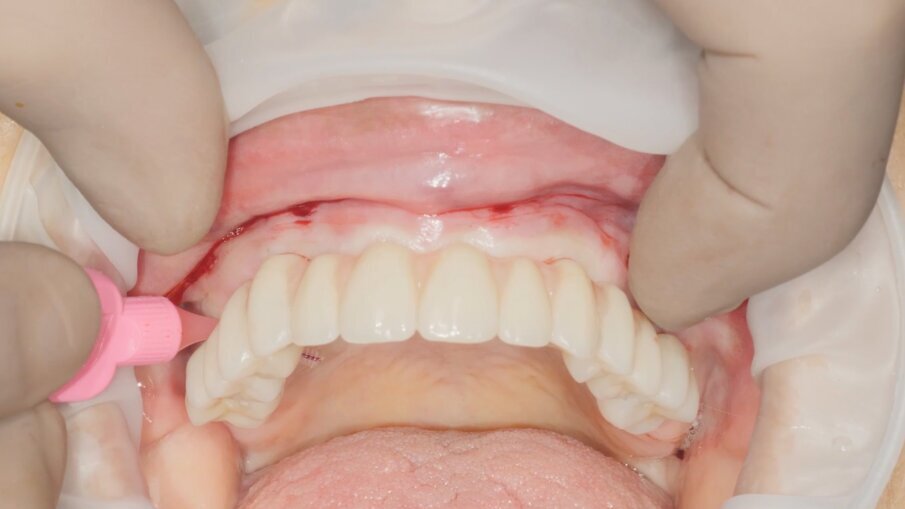
Nella fase di controllo finale possiamo apprezzare come i rapporti di intercuspidazione programmati siano stati perfettamente rispettati (Fig. 28), senza necessità di ricorrere a procedure di auto-centratura della protesi, grazie ad una attenta pianificazione digitale. Eseguiamo una scansione con scan abutment in posizione prima di procedere con la rimozione della dima base e il fissaggio della protesi (Figg. 29-31). Controlliamo le possibilità di mantenimento igienico tenendo conto che, trattandosi di un intervento flapless, non abbiamo le problematiche legate alla gestione di una linea di incisione (Fig. 32). La Fig. 33 mostra la corretta guarigione dei tessuti quindici giorni dopo il trattamento. Eseguiamo un controllo radiografico mirato a verificare il corretto alloggiamento di tutti gli impianti e della protesi (Fig. 33), dove possiamo vedere la struttura di rinforzo in fibra di vetro.
Fig. 22
Fig. 23
Fig. 24
Fig. 25
Fig. 26
Fig. 27
Fig. 28
Fig. 29
Fig. 30
Fig. 31
Fig. 32
Fig. 33
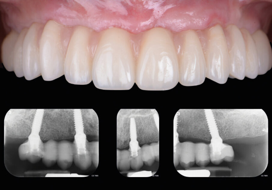
Conclusioni È interessante osservare quanto rappresentato dalle immagini finali (Fig. 34), dove la sovrapposizione dei dati da scansioni intraoperatorie, della programmazione implanto-protesica e della finalizzazione del caso conferma come le discrepanze siano estremamente ridotte. Riscontriamo una media di circa 0,2 millimetri di discrepanza in corrispondenza della porzione apicale degli impianti da 11,5 e 13 millimetri, che ci porta ad apprezzare la precisione apportata dalla sistematica scelta.
Nuovi approcci e nuove frontiere in protesi fissa, questo il titolo della conferenza che il dott. Marco Montanari e l’odt Claudio Sassatelli terranno a ...
Nel panorama in continua evoluzione dell’implantologia, la riabilitazione full-arch si è affermata come il simbolo dell’integrazione tecnologica. I ...
La presente pubblicazione descrive un caso clinico di riabilitazione full-arch a carico immediato guidato mediante l’utilizzo di dime scomposte e impianti...
LEMGO, Germania: Komet Dental, uno dei più grandi brand al mondo nel settore degli strumenti e dei sistemi odontoiatrici rotanti, organizzerà il suo primo...
All’IDEM Singapore 2026, il protesista certificato dall’American Board e specialista in riabilitazione orale Anas Aloum ha discusso di come i flussi di ...
To post a reply please login or register