La BRONJ (Bisphosphonate-Related OsteoNecrosis of the Jaws) è definita come un’area di osso esposto nella regione maxillo-facciale che non guarisce dopo 8 settimane, in pazienti che non sono stati sottoposti a radioterapia del distretto testa-collo e che sono stati in terapia con bifosfonati1. Recentemente, il termine BRONJ è stato sostituito con il termine MRONJ (Medication-Related OsteoNecrosis of the Jaw) che è stato introdotto dall’Associazione americana dei chirurghi orali e maxillo-facciali a seguito del costante aumento di casi di necrosi mascellari e mandibolari associati a terapia con farmaci antiriassorbimento e antiangiogenetici.
Dal 2003 sono iniziati ad emergere casi di necrosi associati all’utilizzo di bifosfonati per via endovenosa, principalmente nei pazienti oncologici2. Tuttavia, molte pubblicazioni scientifiche hanno anche riportato dei casi di necrosi associati ai bifosfonati assunti per via orale utilizzati per il trattamento dell’osteoporosi e del morbo di Paget3-5. Per quanto riguarda l’alendronato, utilizzato dall’88% dei pazienti con osteoporosi, l’incidenza di MRONJ è circa di 0,7 casi per 100.000 pazienti l’anno6,7. Il relativo basso rischio di MRONJ nei pazienti con osteoporosi in terapia con bifosfonati orali può essere dovuto alla dose e alla frequenza di somministrazione del farmaco8. La maggioranza dei casi di MRONJ riportati in letteratura si è verificata dopo estrazioni dentarie o interventi di chirurgia ossea (69% dei casi)9,10.
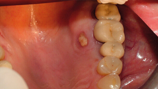
Tuttavia, alcune MRONJ sembrano verificarsi spontaneamente (senza apparenti traumi) in alcuni pazienti in terapia con questi farmaci11. In letteratura sono state descritte necrosi spontanee sul palato e nel torus mandibolare12. Nel 2007 è stato pubblicato un caso di MRONJ che è stato risolto solamente con terapia topica e sistemica13. Mentre nel 2008, Engroff e Coletti14 hanno descritto un caso di MRONJ del palato trattato con debridement chirurgico e con innesto tessutale.
Leggi l'articolo completo nella sezione CLINICAL > GENERAL DENTISTRY
La perimplantite è un processo infiammatorio che colpisce i tessuti che circondano un impianto dentale osteointegrato. È caratterizzata da infiammazione ...
L’avulsione degli elementi dentari inclusi o seminclusi è una delle procedure cliniche più frequentemente effettuate dal chirurgo odontostomatologico.
Lo scopo di questo lavoro è proporre, attraverso la presentazione di un caso clinico, una nuova tecnica rigenerativa di tessuti molli contestualmente...
Eseguita dal dott. Arturo Imbelloni e dall’Odt. Roberto Iafrate.
L’intervento inter-disciplinare combinato ortodontico-protesico può ...
La presenza protratta nel tempo di dispositivi ortodontici fissi è un alto rischio per la salute dei tessuti parodontali e dentali in quanto viene a ...
La presenza protratta nel tempo di dispositivi ortodontici fissi è un alto rischio per la salute dei tessuti parodontali e dentali in quanto viene a ...
L’aumento della cultura della prevenzione odontoiatrica ha portato un maggior numero di persone a sottoporsi a trattamento ortodontico in età ...
L’aumento della cultura della prevenzione odontoiatrica ha portato un maggior numero di persone a sottoporsi a trattamento ortodontico in età ...
L’approccio al paziente adulto è sempre di difficile gestione e pianificazione. A volte per poter risolvere gravi affollamenti si ritiene necessario ...
Il volto umano è il distretto corporeo più rappresentativo e caratterizzante della persona e per il professionista spesso risulta difficile coniugare ...
Dr. Bruce McFarlane Certified Specialist in Orthodontics Fellow: Royal College of Dentists of Canada Diplomate: American Board of Orthodontics
Live webinar
mer. 15 aprile 2026
20:00 (CET) Rome
Live webinar
gio. 16 aprile 2026
2:00 (CET) Rome
Linda Hecker MS, BSDH, RDH
Live webinar
gio. 16 aprile 2026
18:00 (CET) Rome
Dr. Pär-Olov Östman, Dr. Robert Gottlander DDS
Live webinar
ven. 17 aprile 2026
18:00 (CET) Rome
Live webinar
ven. 17 aprile 2026
19:00 (CET) Rome
Dr. Stuart Yeaton BDentSc, MOrth
Live webinar
lun. 20 aprile 2026
19:00 (CET) Rome
Dr. Alberto Monje DDS, MS, PhD
To post a reply please login or register