Un valido aiuto nel combattere il biofilm batterico, causa dei principali insuccessi nel trattamento sia della parodontite sia della perimplantite, viene oggi fornito dalla terapia fotodinamica antimicrobica, che permette d’ottenere una significativa diminuzione della carica batterica attraverso l’applicazione di una sostanza colorante, che si diffonde nella membrana batterica, e all’esposizione di una luce laser a bassa intensità.
Caso clinico (Figg. 1-5)
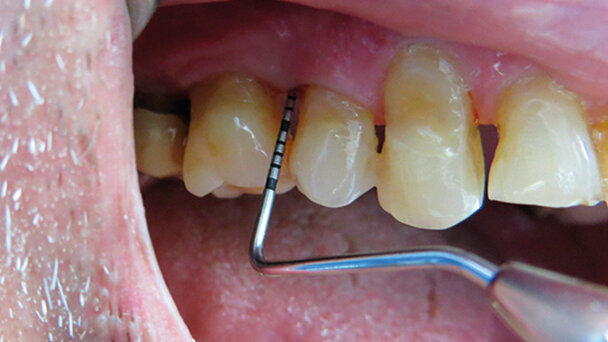
Un paziente, C.E., di 72 anni arriva alla nostra attenzione, accusando un fastidio generalizzato su tutto il cavo orale e una difficoltà masticatoria provocata dalla mobilità degli elementi superiori. Clinicamente riscontriamo, dopo aver effettuato un’accurata prima visita con ortopantomografia, una parodontopatia a carico di tutti gli elementi dentali, sia superiori che inferiori, con mobilità di secondo grado nell’arcata superiore, recessioni importanti generalizzate, ascesso parodontale a carico del 15 e tasche superiori a 5 mm in tutta la zona molare e premolare. È stata programmata una prima seduta d’igiene, in cui il paziente è stato ampiamente motivato all’importanza di una corretta e completa igiene orale, e un trattamento di levigatura radicolare per quadrante con un ciclo finale di clorexidina 0,20% per 15 giorni.
Al controllo, a distanza di un mese, il paziente riferisce un netto miglioramento in tutto il cavo orale con diminuzione della mobilità e scomparsa dell’infiammazione, situazione che è stata riscontrata anche clinicamente durante la visita. Unica zona in cui persisteva sia infiammazione sia mobilità era l’interdentale 15-16 con tasca di 8 mm a carico del 15 distale.
A questo punto è stato deciso, dopo aver fornito tutte le informazioni e istruzioni del caso, d’intervenire applicando la terapia fotodinamica HELBO.
Il paziente è stato visitato per tre appuntamenti, a distanza di una settimana uno dall’altro, durante i quali è stata ripetuta la medesima terapia.
L’utilizzo del sistema HELBO consiste nell’inserire nella tasca parodontale, una sostanza di colore blu (cloruro di fenotiazina concentrato all’1%). Dopodiché si attiva il timer del T-Controller e si attende da uno a tre minuti, a seconda della profondità della tasca da trattare. In questo lasso di tempo il fotosensibilizzatore penetra nella membrana batterica. Successivamente si procede con un lavaggio della tasca, iniettando dell’acqua con una siringa e, dopo aver ben asciugato, s’inserisce la sonda del laser. Solo ora viene attivato il laser, irradiando per un minuto l’interno della tasca parodontale, soffermandosi 10 secondi su ognuno dei 6 punti classici del sondaggio parodontale. L’ampiezza del raggio della luce laser è di 360°, garantendo così la completa irradiazione dell’area da trattare.
Il T-Controller risulta essere di grande aiuto scandendo i tempi e le posizioni del trattamento con il laser HELBO.
Il colorante, attivato dalla luce laser, produce ossigeno singoletto che è aggressivo a tal punto da portare alla distruzione della parete batterica senza, però, arrecare alcun tipo di danno alle cellule circostanti. Inoltre, questo tipo di procedura con luce laser a bassa intensità, porta a una diminuzione del dolore, dell’infiammazione e a una biostimolazione tissutale, che si traduce in una rapida rigenerazione dei tessuti. Dopo aver terminato le tre sedute previste da protocollo, il paziente è stato rivisto a un mese per il controllo e a 4 mesi per la seduta d’igiene periodica.
Al richiamo quadrimestrale il signor C.E. non presentava più infiammazione a carico della gengiva degli elementi trattati, la mobilità era svanita e il sondaggio del 15 distale risultava ridotto da 8 mm a 4 mm. A oggi, dopo un anno e mezzo, il paziente presenta una situazione clinica stabile e ripete, in associazione a ogni seduta d’igiene, la terapia fotodinamica, come terapia adiuvante al trattamento.
L'articolo è stato pubblicato su Hygiene Tribune Italian Edition, aprile 2017.
Trials clinici hanno dimostrato che il fallimento implantare non è ascrivibile solamente a un sovraccarico funzionale. Nella maggior parte dei casi ...
Studi longitudinali hanno dimostrato che la perimplantite, al giorno d’oggi, è la complicanza più frequente in implantologia. A causa ...
Dati preliminari di uno studio pilota. Nell’ambito di un trattamento parodontale e/o perimplantare, la terapia causale rappresenta la prima fase, ...
Con l'inizio del Nuovo Anno i Dentisti Italiani hanno avuto una bella sorpresa. Il giorno dell'epifania hanno ricevuto dalla Befana una calza piena di ...
LONDRA ‒ I più recenti dati ministeriali dicono che in Inghilterra una persona su dieci soffre di paura del dentista. Una nuova ricerca del ...
Le patologie infettive che colpiscono i tessuti parodontali e perimplantari hanno un comune primum movens eziopatogenetico: l’accumulo di placca ...
Le patologie infettive che colpiscono i tessuti parodontali e perimplantari hanno un comune primum movens eziopatogenetico: l’accumulo di placca ...
I rapporti tra le patologie che interessano la polpa dentaria e quelle riguardanti il parodonto marginale si verificano attraverso le connessioni anatomiche...
In esclusiva per Dental Tribune Italia, il dott. Scaringi presenta il webinar sulle nuove possibilità aperte dall’era della tecnologia digitale e sulle ...
Risultati della prima ricerca epidemiologica in Italia secondo le linee guida dei Centers for Disease Control and Prevention e dell’American Academy ...
Live webinar
mer. 15 aprile 2026
2:00 (CET) Rome
Dr. Bruce McFarlane Certified Specialist in Orthodontics Fellow: Royal College of Dentists of Canada Diplomate: American Board of Orthodontics
Live webinar
mer. 15 aprile 2026
20:00 (CET) Rome
Live webinar
gio. 16 aprile 2026
2:00 (CET) Rome
Linda Hecker MS, BSDH, RDH
Live webinar
gio. 16 aprile 2026
18:00 (CET) Rome
Dr. Pär-Olov Östman, Dr. Robert Gottlander DDS
Live webinar
ven. 17 aprile 2026
18:00 (CET) Rome
Live webinar
ven. 17 aprile 2026
19:00 (CET) Rome
Dr. Stuart Yeaton BDentSc, MOrth
Live webinar
lun. 20 aprile 2026
19:00 (CET) Rome
Dr. Alberto Monje DDS, MS, PhD
To post a reply please login or register