Per lo splintaggio intraorale di impianti cone-morse con connessione protesica conometrica (biconometria) mediante chirurgia navigata.
Introduzione-razionale
Oggigiorno svariate tecniche sono applicate per ristabilire la dentatura di pazienti edentuli parziali in fase terminale o totalmente edentuli e il ripristino attraverso protesi tipo Toronto Bridge appare essere uno tra i più usati con successo. Questo approccio prevede l’applicazione di impianti nel mascellare superiore o inferiore distribuiti lungo l’arcata, il collegamento tra loro attraverso una barra metallica, e il montaggio dei denti in composito, resina, porcellana o Zirconia. Nonostante sia una procedura ben documentata, affidabile e riproducibile, presenta delle criticità che ne complica l’applicazione, richiede spesso l’utilizzo di monconi MUA (realizzati per correggere l’angolazione implantare) che necessitano di avvitamenti multipli difficili da gestire spesso soggetti a svitamenti o rottura delle viti di fissaggio1-11.
I problemi di queste protesi sono principalmente legati alla presenza dei buchi di accesso per le viti protesiche che possono essere sul vestibolo o in posizioni sfavorevoli, possono ridurre lo spessore di materiale in zona masticatoria predisponendo alla frattura; inoltre il materiale di chiusura del foro se deve essere rimosso risulta difficile e può danneggiare la via di accesso alla vite1-11. Un altro problema è la passività del manufatto protesico, in quanto la fusione di collegamento dei vari impianti non sempre è precisa, deve essere tagliata o corretta o rifatta prima di completare il lavoro. La difficoltà ad eseguire l’igiene orale professionale senza rimuovere ogni volta la protesi svitando tutte le viti, rappresenta anche questo un grosso problema e una complicazione nella seduta con l’igienista.
Il fallimento relativamente precoce di uno o più impianti durante la fase di guarigione nei casi di carico immediato, rende difficile l’esecuzione della protesi definitiva che, in alcuni casi, deve anche essere rifatta1-11. Il tempo di esecuzione della protesi definitiva risulta avere la sua importanza e deve sempre passare attraverso un provvisorio avvitato “simile” al definito. Per tutte queste criticità, al giorno d’oggi la metodica biconometica con splintaggio intraorale delle cappe alla protesi (metodica CLIKSS - Comuzzi Luca Intraoral Konometric Splinting System - decritta in questo articolo) supera questi e altri problemi, rende la protesi tipo “Toronto Bridge” molto più facile da eseguire, passiva e subito definitiva e ha il vantaggio di essere più estetica e facilmente rimovibile per fare l’igiene professionale. Inoltre riduce molto i costi finali, rende semplice il reintervento per fallimento implantare o aggiunta di un nuovo impianto senza compromettere o rifare la protesi e, ogni riparazione viene gestita in breve tempo in modo semplificato.
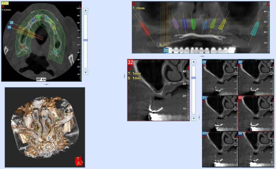
Inoltre l’aiuto della chirurgia navigata, consente di posizionare gli impianti in una posizione pianificata in precedenza ben distribuita lungo l’arcata, limitando al massimo i disparallelismi e semplificando le fasi protesiche.
I problemi dei classici Toronto avvitati, per riassumere, sono:
- avvitamento (buchi);
- accesso alle viti spesso vestibolari o in posizioni difficili;
- passività manufatto e problemi della saldatura;
- distribuzione degli spazi protesici complessa;
- igiene professionale difficoltosa per
montaggio e smontaggio;
- tempo di esecuzione;
- provvisorio e poi, in tempo successivo esecuzione del definitivo;
- costi;
- reintervento per fallimento senza compromissione della protesi;
- riparazioni protesi;
- flessibilità (aggiungere o togliere impianti).
Materiali e metodi
Descrizione della tecnica CLIKSS
La tecnica si applica ai casi di edentulia totale superiore e/o inferiore oppure in casi di dentatura terminale con lo scopo di installare impianti e fornire una dentatura fissa a carico immediato. Prevede infatti di utilizzare fixture con connessione protesica conica o cone-morse collegate a dei monconi conometrici di differenti altezze possibilmente dritti con relative cappette; quest’ultime si attivano attraverso frizione con le pareti del moncone che presentano un angolo variabile tra 4 e 5° e un’altezza conometrica di 5 mm. La metodica può essere realizzata anche nei casi post-estrattivi.
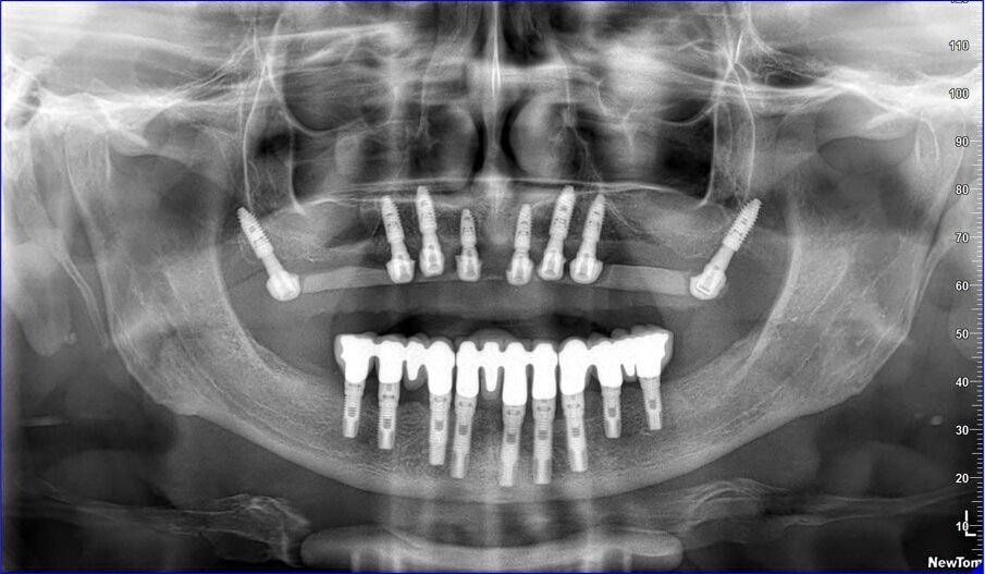
Gli impianti vengono distribuiti lungo tutta l’arcata cercando il parallelismo e limitando il più possibile i cantilever (6-7 impianti superiori e 5-6 impianti inferiori). La scelta di utilizzare i monconi dritti (grazie al parallelismo degli impianti) è da preferire in quanto quest’ultimi sono anche i più robusti e resistenti nel tempo al carico assiale; inoltre caricano l’impianto lungo il suo asse limitando i carichi disassati. Una volta elevato il lembo mucoperiosteo ed evidenziato l’osso alveolare o basale, attenzione deve essere fatta nel fare un’ostectomia riduttiva mediante una fresa a palla del diametro di 0,6-0,8 cm per creare un piano più uniforme possibile tale da formare una piattaforma d’osso alla stessa altezza, guadagnando anche spessore V-L ed uniformità. Gli impianti devono essere posizionati alla stessa altezza tra di loro e distanziati in maniera tale da favorire le manovre di igiene orale inter-implantare. Una volta posizionate le fixture sottocrestali (1-3 mm) come descritto, vanno connessi i monconi solitamente con collare mucoso di 3-4,5 mm in altezza, ponendo particolare attenzione che i tessuti molli suturati non coprano la parte di accoppiamento conometrico. Verificato il parallelismo corretto dei monconi mediante i pin parallelizzatori, siamo certi che l’accoppiamento e la disconnessione delle cappette contenute nella protesi potrà avvenire nel miglior modo possibile senza creare tensioni.
Un’impronta in silicone o digitale sulle cappette in situ accoppiate va presa alla fine della chirurgia, una volta suturati i lembi. Il paziente lascia lo studio con delle cappette provvisorie in Peek a protezione dei monconi e con la sua protesi riadattata oppure con una stampata del Brega riempita con impacco parodontale come medicamento.
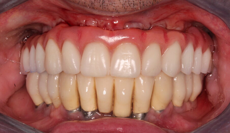
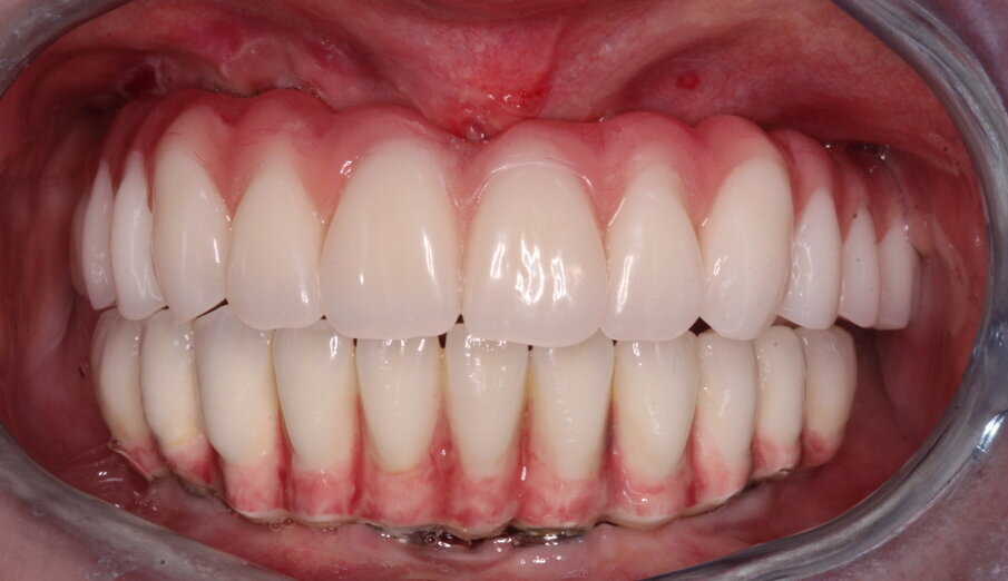
Il giorno dopo il tecnico confeziona una protesi definitiva tipo Toronto Bridge con rinforzo in Peek o altro tecnopolimero di resina termoindurente rinforzata (Trilor Arch) immerso all’interno della resina, rispettando l’aspetto estetico definito in precedenza e l’altezza verticale. Nella sua parte inferiore, la protesi presenta delle concavità in corrispondenza degli impianti e dei monconi che appaiono leggermente più grandi del diametro e dell’altezza delle cappette. Una volta verificato in bocca che la protesi sia passiva e che le cappette non frizionino alcuna parete dei fori, si termina il lavoro colmando con della resina composita Combo-Lign (bredent) lo spazio tra la cappetta e la protesi scavata precedentemente dal tecnico facendo articolare l’arcata in corso di trattamento con l’antagonista mediante una chiave articolare in silicone rigido.
La resina alla stato ancora tenero va indurita con la lampada polimerizzante per alcuni minuti; una volta controllata la masticazione anche senza la chiave articolare e fatti gli opportuni minimi ritocchi, la protesi va rimossa e rifinita a dovere, poi riaccoppiata. Una OPT di conferma serve per verificare il corretto alloggiamento delle cappette sui monconi e la passività del manufatto.
Risultati
Totale casi trattati: 47 tra superiori e inferiori:
- 29 casi superiori;
- 18 casi inferiori.
Le tabelle 1-8 mostrano, su un totale di 313 impianti eseguiti tra arcata superiore (208) e inferiore (105), che la tecnica non ha alcuna complicanza biologica a 3 anni di esecuzione, non sono stati evidenziati fallimenti implantari in arcata inferiore (18 pazienti), solamente 5 in arcate superiori tutti nella zona molare (29 pazienti). In 1 paziente è stata registrata una frattura della protesi dovuta a eccessiva distanza tra gli impianti (zona laterale superiore e tuberosità) con antagonista naturale senza presenza di molari; 3 fratture dei denti in pazienti con bruxismo e serramento; circa la metà dei casi (140 impianti) è stata eseguita in condizione post-estrattiva e alcuni casi sono stati caricati con metodiche avanzate di rialzo di seno mascellare (11 pazienti) e 1 con Split Crest. Tutti gli impianti sono stati caricati immediatamente, anche quelli nei settori posteriori superiori o nella tuberosità.
Discussione
La metodica biconometrica (connessione implantare cone-morse e protesica conica) presenta numerosi vantaggi chirurgici e protesici sia per il chirurgo, sia per il protesista, sia per il paziente. Il vantaggio chirurgico consiste nel fatto che il posizionamento sottocrestale dell’impianto di 1-2 mm protegge la fixture all’interno dell’involucro osseo e genera più spazio verticale da utilizzare per il protesista, inoltre è una connessione molto stabile meccanicamente, previene l’infiltrato infiammatorio e la colonizzazione batterica. Viene inoltre sfruttato il concetto di “One Abutment One Time” utilizzando sempre lo stesso moncone e non svitandolo più nei vari passaggi protesici.
Per il protesista, l’utilizzo dei monconi conici e della cappe, sfrutta l’accoppiamento tra le componentistiche, evitando cemento e avvitamento, aumentando la precisione con il minimo ingombro, con spazi verticali sufficienti praticamente sempre raggiungibili. La cementazione intraorale è una procedura facile da eseguire per ogni odontoiatra, garantisce la massima passività del manufatto protesico perché eseguita in bocca del paziente.
Per il paziente non ci sono fori antiestetici, in tempi rapidissimi si ottiene il definitivo (in mezza giornata) senza passare attraverso il provvisorio, si sfrutta il carico immediato anche in condizione post-estrattiva; durante le sedute di igiene orale la rimozione è facilitata ogni qualvolta lo si desideri e la seduta alla poltrona è rapidissima. Altri vantaggi prevedono l’utilizzo di poche componenti protesiche, abbassa quindi notevolmente i costi di esecuzione, con il vantaggio che il reintervento per fallimento implantare si può eseguire senza compromettere la protesi, come pure l’aggiunta di un impianto e collegarlo alla protesi può essere fatto senza problemi.
Ulteriore vantaggio è anche la possibilità di fare una “replica” del lavoro protesico con manufatto analogo ma senza rinforzo interno e senza cappette, ma che viene utilizzata ogni qualvolta ci siano delle riparazioni o delle modifiche particolari al lavoro principale.
Conclusioni
La protesi Toronto Bridge eseguita con tecnica CLIKSS presenta, rispetto alle protesi Toronto convenzionali, i seguenti vantaggi:
- non ci sono buchi antiestetici;
- non essendoci accesso a viti il materiale protesico è integro, più pulibile, meno soggetto all’infiltrazione batterica;
- lo splintaggio intraorale attraverso la resina composita dà passività per definizione e non essendoci saldatura non ci sono tensioni interne;
- distribuzione degli spazi protesici più semplice in senso vestibolo-linguale e mesio-distale;
- igiene professionale facilitata per montaggio e smontaggio (3 minuti);
- tempo di esecuzione (mezza giornata);
- non serve fare il provvisorio, si può fare anche solo il definitivo;
- costi decisamente ridotti protesici;
- il reintervento per fallimento implantare viene realizzato senza compromettere la protesi;
- riparazioni resina o denti del Toronto facilitate;
- flessibilità (aggiungere o togliere impianti).
Caso clinico 1
Caso clinico 2
Bibliografia
- Branemark P.I., Adell R., Breine U., Hansson B.O., Lindstrom J., Ohlsson A. Intra-osseous anchorage of dental prostheses. I. Experimental studies. Scand J Plast Reconstr Surg 1969;3:81–100.
- Haroun F., Ozan O. Evaluation of Stresses on Implant, Bone, and Restorative Materials Caused by Different Opposing Arch Materials in Hybrid Prosthetic Restorations Using the All-on-4 Technique. Materials 2021, 14, 4308.
- Papaspyridakos P., Barizan Bordin T., Kim Y.J., DeFuria C., Pagni S.E., Chochlidakis K., Teixeira E.R., Weber H.P. Implant survival rates and biologic complications with implant-supported fixed complete dental prostheses: a retrospective study with up to 12-year follow-up. Clin Oral Implants Res 2018;29:881–893.
- Papaspyridakos P., Bordin T.B., Natto Z.S., El-Rafie K., Pagni S.E., Chochlidakis K., Ercoli C., Weber H.P. Complications and survival rates of 55 metal-ceramic implant-supported fixed complete-arch prostheses: a cohort study with mean 5-year follow-up. J Prosthet Dent 2019;122:441–449.
- Delucchi F., De Giovanni E., Pesce P., Bagnasco F., Pera F., Baldi D., Menini M.. Framework Materials for Full-Arch Implant-Supported Rehabilitations: A Systematic Review of Clinical Studies. Materials (Basel). 2021;14:3251.
- Mori G., Oda Y., Sakamoto K., Ito T., Yajima Y.. Clinical evaluation of full-arch screw-retained implant-supported fixed prostheses and full-arch telescopic-retained implant-supported fixed prostheses: A 5-12 year follow-up retrospective study. Clin Oral Implants Res. 2019;30:197-205.
- Sailer I., Mühlemann S., Zwahlen M., Hämmerle C.H., Schneider D.. Cemented and screw-retained implant reconstructions: a systematic review of the survival and complication rates. Clin Oral Implants Res. 2012;23 Suppl 6:163-201.
- Pieralli S., Kohal R.J., Rabel K., von Stein-Lausnitz M., Vach K., Spies B.C.. Clinical outcomes of partial and full-arch all-ceramic implant-supported fixed dental prostheses. A systematic review and meta-analysis. Clin Oral Implants Res. 2018;29 Suppl 18:224-236.
- Gaddale R., Mishra S.K., Chowdhary R.. Complications of screw- and cement-retained implant-supported full-arch restorations: a systematic review and meta-analysis. Int J Oral Implantol 2020;13:11-40.
- Pozzi A., Hansson L., Carosi P., Arcuri L. Dynamic navigation guided surgery and prosthetics for immediate loading of complete-arch restoration. J Esthet Restor Dent. 2021;33:224-236.
- Mangano F., Macchi A., Caprioglio A., Sammons R.L., Piattelli A., Mangano C.. Survival and complication rates of fixed restorations supported by locking-taper implants: a prospective study with 1 to 10 years of follow-up. J Prosthodont. 2014;23:434-44.
Nota editoriale:
L’articolo è stato pubblicato Implants Italian Edition, anno 11, vol. 2.
Tag:
Rhein83 ha organizzato una conferenza a Rimini Expodental che si tiene oggi (venerdì 19) dalle 13 alle 14 nella “Sala Gialla”. ...
Il 23 ottobre 2015 verrà presentato il libro dal titolo: “Aspetti clinico-tecnici nella protesi combinata”. Questo testo nasce dal ...
Lo scopo del presente studio retrospettivo era quello di documentare l’efficacia a lungo termine di una tecnica implanto-protesica (Flat-one-Bridge) per ...
Adina, di anni 25, si presenta all’attenzione del nostro team, per un’ipersensibilità e un inestetismo dovuto alla frattura di una ...
Adina, di anni 25, si presenta all’attenzione del nostro team, per un’ipersensibilità e un inestetismo dovuto alla frattura di una ...
Il posizionatore guidato (PGTJ)TM, è un dispositivo che permette l’ancoraggio della protesi dentale agli impianti dentali endossei in modo ...
È ora disponibile sul sito del DTStudyClub la registrazione del live webinar realizzato dal Dott. Giuseppe Cirronis, l’Odt. Luigi Colombo e l’ Odt. Ugo...
ADELAIDE, Australia - I risultati di una ricerca pubblicata di recente indicano che la perdita dei denti non interferisce necessariamente con la ...
L’inserimento d’impianti dentali è oramai una pratica quotidiana per la riabilitazione delle edentulie, parziali o totali, dei ...
Il trattamento dell’alveolo post-estrattivo rappresenta una sfida quotidiana nella pratica clinica. A seguito di un’estrazione dentaria ...
Dr. Bruce McFarlane Certified Specialist in Orthodontics Fellow: Royal College of Dentists of Canada Diplomate: American Board of Orthodontics
Live webinar
mer. 15 aprile 2026
20:00 (CET) Rome
Live webinar
gio. 16 aprile 2026
2:00 (CET) Rome
Linda Hecker MS, BSDH, RDH
Live webinar
gio. 16 aprile 2026
18:00 (CET) Rome
Dr. Pär-Olov Östman, Dr. Robert Gottlander DDS
Live webinar
ven. 17 aprile 2026
18:00 (CET) Rome
Live webinar
ven. 17 aprile 2026
19:00 (CET) Rome
Dr. Stuart Yeaton BDentSc, MOrth
Live webinar
lun. 20 aprile 2026
19:00 (CET) Rome
Dr. Alberto Monje DDS, MS, PhD
To post a reply please login or register