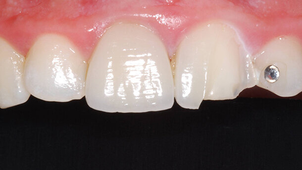
Adina, di anni 25, si presenta all’attenzione del nostro team, per un’ipersensibilità e un inestetismo dovuto alla frattura di una faccetta in ceramica sul 21 (Fig. 1). La paziente riferisce che, solo sette mesi prima, non contenta del suo sorriso per delle discromie e delle ricostruzioni in composito, aveva provveduto su consiglio del precedente dentista alla ricostruzione con faccette in ceramica dei due incisivi centrali superiori (11 e 21).
Non affatto soddisfatta del risultato ottenuto, e demoralizzata dalla precoce frattura della faccetta, ci chiedeva espressamente di ripristinare il suo deficit su 11 e 21, cercando di contenere i costi il più possibile e di non protesizzare con corone gli elementi interessati. Adina riferisce buone condizioni di salute generale, di essere fumatrice (8-10 sigarette al dì); presenta un’igiene orale appena sufficiente.
L’esame obiettivo del sestante superiore evidenzia delle precedenti terapie in composito sugli incisivi centrali dal lato palatale, un probabile accesso endodontico sull’11 chiuso in composito e la faccetta ceramica fratturata sul 21. Sul 22 è presente un brillantino.
Si evidenziano delle piccole rotazioni degli incisivi laterali superiori e un’usura del margine incisale mesiale del 22. Le viene proposta la rimozione dei manufatti e il ripristino dell’estetica con due faccette pitturate in disilicato di litio (E.max, Ivoclar) per contenere i costi.
Accettato il piano di trattamento, la paziente viene sottoposta a una seduta di ablazione tartaro, motivata e istruita all’igiene orale domiciliare. Il professionista, rilevate le impronte delle arcate, le invia al laboratorio per la realizzazione dei modelli in gesso e del mock-up in cera, valutando attentamente forme e volumi, anche in relazione a foto, richieste ed esigenze della paziente (Figg. 2, 3). Il mock-up viene provato nel cavo orale della paziente per previsualizzare il possibile risultato finale e analizzare così le nuove forme, l’estetica, la fonetica e la funzione ed effettuare eventuali modifiche su sua richiesta, soprattutto per avere una sua consapevole approvazione prima di iniziare il lavoro definitivo (Fig. 4).
embedImagecenter("Imagecenter_2_1121",1121,"small");
Quindi, previa anestesia, viene effettuato un sondaggio della profondità del solco dell’area interessata per inserire i fili di retrazione idonei a valutare i confini delle precedenti preparazioni e rimuovere le precedenti faccette. Con l’ausilio di sistemi di ingrandimento, utilizzando frese di diverse granulometrie, vengono rimossi i precedenti manufatti e ripreparati gli elementi dentali in modo più conservativo possibile, grazie anche all’uso di indici in silicone realizzati in laboratorio per un controllo misurato degli spessori. Per una buona adesione è necessario mantenere più smalto possibile (Fig. 5).
Viene quindi effettuata una scrupolosa rifinitura mediante scalpelli a mano dei margini delle preparazioni e con strisce abrasive degli spazi interprossimali. Si procede alla detersione e disinfezione dei denti preparati con gel di clorexidina e alla loro bondizzazione con sistema adesivo per ottimizzare l’adesione sulla dentina e ridurre la sensibilità post operatoria, vista la notevole esposizione di tessuto dentinale per le precedenti preparazioni poco rispettose dei tessuti dentali.
Le impronte definitive vengono rilevate con cucchiaio individuale e polietere, registrando poi la posizione del mascellare con arco facciale. Vengono realizzati i provvisori con la tecnica a ristampo, utilizzando resina autopolimerizzante, miscelando tra loro delle masse smalto. Tali provvisori sono rifiniti e cementati con cemento provvisorio foto indurente. In laboratorio si realizzano i modelli master in gesso di IV classe, e vengono rifiniti, sezionati e montati su articolatore a valore medio (Fig. 6). Valutando la foto dei provvisori si procede alla ceratura definitiva delle faccette, tenendo presente i movimenti funzionali sull’articolatore (Fig. 7). In laboratorio si procede alla chiusura marginale sui monconi in gesso e alla preparazione per la termo-pressatura, utilizzando un grezzo di ceramica di disilicato di litio precedentemente scelto in base al colore rilevato con l’ausilio dello SpectroShade (Fig. 8). I denti della ragazza si presentano discromici; si è deciso, pertanto, con l’accordo della paziente, di mediare con il colore dei denti vicini.
Dopo aver effettuato la fusione e pulito con liquido Invest le faccette per eliminare lo strato di reazione del disilicato, si procede alla finitura delle stesse con un minuzioso lavoro di adattamento, rifinitura e tessitura superficiale, prima di procedere alla colorazione e alla lucidatura (Figg. 9, 10). Nel nostro protocollo operativo, di solito, quando effettuiamo ripristini estetici con faccette, cerchiamo di chiudere il caso entro 2-3 giorni dalla presa dell’impronta definitiva, previo controllo dello stato di salute dei tessuti gengivali: il professionista rimuove i restauri provvisori, deterge gli elementi dentari, prova le faccette nel cavo orale della paziente per una valutazione della nuova estetica, della precisione, e per la scelta del colore del cemento da usare.
Successivamente la superficie interna delle faccette viene mordenzata con acido fluoridrico, detersa e silanizzata, si procede quindi alla cementazione con cemento resinoso a polimerizzazione duale. Sulla paziente, la procedura di cementazione viene effettuata con diga di gomma, posizionando una faccetta per volta, vengono eliminati gli eccessi di cemento con strumenti idonei in pre-polimerizzazione e, infine, completata la polimerizzazione con la lampada (Figg. 11, 12). Eventuali eccessi di cemento sono rimossi con curette e strisce abrasive di plastica, cercando di non danneggiare i margini dei restauri e di non ledere i tessuti circostanti.
Alla fine viene effettuato un controllo radiografico per la valutazione dello stato dei manufatti protesici e un controllo occlusale e funzionale della guida anteriore con carta d’articolazione.
A dieci giorni dalla cementazione si può notare l’integrazione dei restauri con i tessuti parodontali in buona salute. La paziente ha valutato positivamente il lavoro del team, complimentandosi per il risultato ottenuto (Figg. 13, 14).
Conclusioni
Le faccette in ceramica offrono risultati estetici eccellenti, ma è molto importante che le preparazioni degli elementi dentali abbiano un approccio conservativo e che le superfici di smalto siano più estese possibili. Nel caso eseguito è stata utilizzata la tecnica press on paint monolitico, perché il materiale presentava delle caratteristiche ideali alla sua risoluzione (resistenza, costo, praticità). Inoltre, un’analisi accurata dei movimenti funzionali, con relativa consegna alla paziente a fine trattamento di un nightguard, tengono ben protetto il restauro, sopratutto quando si allungano i margini degli incisivi.
L'articolo è stato pubblicato sul numero 4 di Cosmetic Dentistry Italy 2013
Adina, di anni 25, si presenta all’attenzione del nostro team, per un’ipersensibilità e un inestetismo dovuto alla frattura di una ...
La Fondazione Castagnola ritorna a Montecatini Terme, dove aveva effettuato i primi corsi 32 anni or sono, con un importante aggiornamento sulla ...
A novembre il III Congresso Regionale Calabria-Sicilia di Odontoiatria. Momento speciale il premio “Battista Cimino”.
Sono la dottoressa Anna Maria Yiannikos, e sono felice di presentarvi gli scenari più popolari e stimolanti che potrebbero verificarsi nello studio ...
Gilles Chaumanet – presidente per la Francia della Società per l’applicazione del laser orale (SOLAFr) e dell’Accademia di Laser ...
Il flusso di lavoro digitale svolge un ruolo sempre più importante nell’odontoiatria contemporanea1,2.
Il beneficio della chirurgia ...
La paziente, donna di 54 anni in buono stato di salute, si presenta alla nostra attenzione lamentando gonfiore ricorrente sul palato nella zona del dente ...
L’8 novembre si è tenuto presso la Dentsply Sirona Academy di Verona il Peers Closed Meeting riservato ai membri Peers, clinici esperti ed appassionati ...
Il principale ostacolo alla diagnosi precoce del cancro orale è dovuto al fatto che nelle sue fasi iniziali, ossia quelle che ci interessa ...
La sindrome delle apnee ostruttive del sonno (Obstructive Sleep Apnea Syndrome - OSAS) è causata da un’ostruzione parziale o totale delle vie aeree ...
Live webinar
mer. 3 giugno 2026
19:00 (CET) Rome
Live webinar
gio. 4 giugno 2026
20:00 (CET) Rome
Live webinar
lun. 8 giugno 2026
18:00 (CET) Rome
Live webinar
lun. 8 giugno 2026
19:00 (CET) Rome
Dr. Anthony Mak B.D.S, Prof. Marleen Peumans
Live webinar
lun. 8 giugno 2026
20:00 (CET) Rome
Live webinar
mer. 10 giugno 2026
17:00 (CET) Rome
Live webinar
mer. 10 giugno 2026
20:00 (CET) Rome
Nacho Fernández-Baca DDS, MSc
To post a reply please login or register