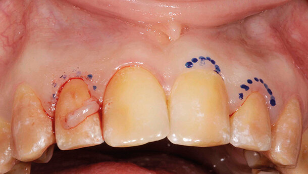
Una paziente affetta da amelogenesi imperfetta generalizzata (Figg. 1a, 1b) aveva richiesto in età adulta un trattamento estetico. La paziente è stata seguita in età evolutiva con terapie conservative e sottoposta a terapia ortodontica, che aveva ottenuto rapporti di prima classe.
Prima della terapia definitiva sono state eseguite delle correzioni chirurgiche dei settori posteriori per azzerare difetti parodontali ossei (Figg. 2a, 2b) o ridurre l’alterata eruzione passiva (Figg. 2c, 2d). Una volta ottenuta la guarigione dei settori posteriori (Figg. 3a, 3b), sono state eseguite delle correzioni estetiche del settore frontale (Fig. 4).
La programmazione del caso è iniziata con la registrazione individuale dell’asse cerniera e cera di centrica (Figg. 5a, 5b, 5c),
Leggi l'articolo completo nella sezione CLINICAL > COSMETIC DENTISTRY
Una paziente affetta da amelogenesi imperfetta generalizzata (Figg. 1a, 1b) aveva richiesto in età adulta un trattamento estetico. La paziente ...
La classe II scheletrica rappresenta una malocclusione molto diffusa nella popolazione e può presentarsi con un’ampia varietà di configurazioni dentali ...
La paziente, donna di 54 anni in buono stato di salute, si presenta alla nostra attenzione lamentando gonfiore ricorrente sul palato nella zona del dente ...
HAIPHONG, Vietnam: un nuovo case report mostra i risultati ottenibili con un approccio protesico conservativo in un paziente con un quadro anteriore ...
L’occlusione, l’estetica e l’odontoiatria minimamente invasiva sono i principali argomenti di discussione della moderna odontoiatria.
Da un punto di vista estetico, un impianto malposizionato specialmente nella regione anteriore, porta inevitabilmente alla realizzazione di un lavoro ...
Le tecniche di Odontoiatria e laboratorio Odontotecnico si sono evolute rapidamente negli ultimi anni, tuttavia è ancora difficile stabilire protocolli ...
Il presente lavoro descrive la procedura con laser neodimio Nd:YAG 1064 nm per intervento di perimplantite.
La paziente si è presentata alla mia osservazione chiedendo un miglioramento estetico del viso e del sorriso. Dopo aver raccolto tutti i dati clinici, ...
Nella pratica odontoiatrica comune il clinico è chiamato a trattare anomalie strutturali dello smalto e dentina con esigenze estetiche importanti da parte ...
Ms. Ellen Karlin, Dr. Sara Karlin
Live webinar
gio. 7 maggio 2026
17:00 (CET) Rome
Live webinar
gio. 7 maggio 2026
18:00 (CET) Rome
Live webinar
gio. 7 maggio 2026
18:00 (CET) Rome
Dra. Maria Carolina Erhardt, Dra. Thais Tomé Feldens
Live webinar
gio. 7 maggio 2026
20:30 (CET) Rome
Live webinar
lun. 11 maggio 2026
18:00 (CET) Rome
Live webinar
lun. 11 maggio 2026
19:00 (CET) Rome
To post a reply please login or register