L’occlusione, l’estetica e l’odontoiatria minimamente invasiva sono i principali argomenti di discussione della moderna odontoiatria.
Introduzione Le tecniche mini invasive e quindi biologiche rivestono un ruolo importante nell’aiutare gli odontoiatri ad ottenere un’estetica eccellente ed una funzionalità predicibile per i nostri pazienti.Cosa molto importante, però, è che i rapporti occlusali dei denti stabiliscono la posizione della mandibola che a sua volta attraverso i muscoli elevatori ed abbassatori condiziona fortemente la posizione della testa che a sua volta condiziona il tono muscolare e la posizione delle vertebre cervicali, del cingolo scapolare e del bacino.
Elastodontic Therapy “Il massimo del successo del trattamento ortodontico è la realizzazione dell’equilibrio tra forma e funzione ” (C. Gugino). L’Elastodontic Therapy semplifica o addirittura elimina un eventuale e successivo intervento ortodontico, perché facilita la crescita armoniosa, riduce il numero delle estrazioni, aumenta la stabilità nel tempo del trattamento. Se si modifica la funzione, tramite la rieducazione del comportamento, si modificherà anche la forma.
L’educazione funzionale consente di prendere in carico l’insieme delle funzioni alterate per neutralizzare e creare le condizioni di un’occlusione funzionale ideale ed idonea per ogni paziente in crescita. La terapia ideale è quella nel bambino in età prescolare, quando la notevole plasticità delle strutture scheletriche rende la terapia veloce e stabile nel tempo, mentre nell’adolescente l’educazione funzionale avrà, inevitabilmente, margini di tempo più ridotti ed efficacia da rapportare a quanto anomalie e fattori disfunzionali siano più o meno consolidati. Quando la permuta dentale e la crescita facciale sono quasi pressoché ultimate, l’educazione funzionale può ancora cambiare la forma, agendo nelle tre dimensioni dello spazio. Soltanto la quarta dimensione, che è quella del tempo, diviene via via sempre più ridotta: l’assioma “dare tempo…al tempo” risulta allora fuorviante ed inapplicabile.
Un fattore molto importante da considerare e da aggiungere alla nostra diagnosi è quello posturale in quanto il corpo umano viene considerato come un sistema complesso dove le sub-unità sono collegate tra loro anatomicamente e funzionalmente; tutto questo spiega come sia determinate la relazione esistente tra complesso cranio-facciale, piano scapolare, pelvico e la posizione dei piedi.
Ad oggi è riconosciuto che i problemi che coinvolgono l’occlusione possono causare disfunzioni muscolo-scheletriche che conducono a patologie discendenti il tratto spinale attraverso uno schema definito a catena muscolare (Korbmacher et al.2004). L’Elastodontic Therapy rappresenta, quindi, una tecnica ideale per la risoluzione delle problematiche scheletriche e funzionali nel periodo di crescita ma nello stesso tempo rappresenta uno strumento straordinario al fine del recupero della dimensione verticale nel paziente adulto ai fini protesici.
Materiali e metodi
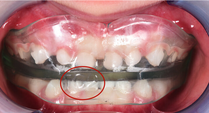
Analisi dei dispositivi funzionali Elastodontici Il trattamento con il Bio-Attivatore A.M.C.O.P. by Micerium è sorprendentemente semplice, naturale, innovativo e non invasivo e può essere considerato una straordinaria bio-ortopedia oro-cranio-facciale. È infatti un dispositivo ortodontico elastico di grande validità terapeutica di carattere funzionale, specificatamente ortopedico del sistema dento-cranio-facciale.
È un armonizzatore delle distorsioni simultanee delle basi scheletriche mascellari e mandibolari ed è adatto per il livellamento dei piani occlusali inclinati, ruotati e torsionati per una corretta funzione ed un buon equilibrio della bocca. Il dispositivo è anche un validissimo strumento di lavoro decontratturante, detensionale di diverse problematiche muscolo-tensive e si rivela molto indicato anche per la riabilitazione delle articolazioni temporo-mandibolari (ATM). Se correttamente utilizzato, è in grado di procurare processi antinfiammatori e riparativi determinanti che vanno al di là di semplici trattamenti occlusali che danno al paziente l’opportunità di rimediare scompensi di carattere sintomatico e quindi psicologico.
L’azione riabilitativa del Bio-Attivatore si riflette su tutto il sistema stomatognatico: denti, alveoli, muscoli masticatori, ATM, guance, labbra, lingua, tessuti molli, ghiandole salivari, ossa mandibolari e mascellari, innervazione e vascolarizzazione e quindi il sistema dento-craniofacciale e cervico-posturale. Corregge, quindi, le abitudini viziate e i dismorfismi cranio-facciali, vere cause delle malocclusioni.
Il dispositivo è anche consigliato a pazienti con bruxismo e russamento notturno.
I Bio-Attivatori A.M.C.O.P. by Micerium costituiscono la sintesi di tutti gli attivatori funzionali esistenti e sono adatti ad una riabilitazione funzionale e personalizzata del paziente. Essi forniscono una visione più ampia e corretta del trattamento, poiché il dispositivo agisce come crescita armoniosa del sistema dentocranio-facciale e ne stabilizza il risultato ottenuto. La forma nasce per necessità del nostro corpo di espletare una funzione. Il dispositivo è indicato per migliorare le funzioni neurovegetative della bocca, della deglutizione, della masticazione, della fonazione e della respirazione per migliorare la funzione naso-ventilatoria con un ritorno alla normofunzione del distretto naso-oro-laringo-faringeo.
Gli apparecchi elastodontici sono realizzati con un materiale termoplastico in grado di interagire in maniera attiva con l’occlusione, i muscoli della lingua, il muscolo orbicolare ma nello stesso tempo sono in grado di creare un spazio cosiddetto elastodontico il quale rappresenta lo spazio ideale tra la muscolatura della lingua (forza centrifuga) e quelle delle labbra (forza centripeta) all’interno del quale avviene lo spostamento degli elementi dentali; quindi non è l’apparecchio stesso a determinare il movimento dentale ma è l’equilibrio che si instaura tra la muscolatura delle labbra e quella della lingua a creare uno spazio neutro all’interno del quale si posizionano gli elementi dentali stessi.
Di qui l’importanza del piano terapeutico e della scelta adeguata del dispositivo in modo tale da evitare inconvenienti legati molto spesso alla inadeguatezza dello stesso o addirittura nella scelta sbagliata tra apparecchio standard del commercio e apparecchio individualizzato.
A differenza dei classici apparecchi funzionali, le apparecchiature elastodontiche possono essere utilizzate nei pazienti all’età di 2,5 anni semplicemente scegliendo il dispositivo adatto senza la presa dell’impronta ma sulla base di una semplicissima misurazione intraorale oppure attraverso una tecnica di impronta minimamente invasiva che vede l’utilizzo di classiche cere per la rilevazione della dimensione delle arcate.
I dispositivi elastodontici possono essere standard oppure individualizzati, ossia realizzati direttamente sul modello delle arcate del paziente e proprio questi ultimi costituiscono un importantissimo strumento nelle mani dell’ortodontista per la correzione delle malocclusioni più gravi anche nei pazienti adulti. Questi dispositivi hanno alla base il meccanismo di funzionamento degli attivatori di Soulet e Besombes nati negli anni ‘50 dall’idea di due ortodontisti, il professor Soulet ed il professor Besombes. Studiati per essere utilizzati come apparecchi di contenzione, questi si rivelarono dei preziosi dispositivi ortopedici. Questi attivatori sono formati da uno scudo vestibolare e da una uno linguale in materiale termoplastico che lascia un’area centrale libera nella quale avviene lo spostamento biologico degli elementi dentali: lo spazio elastodontico. Questi apparecchi hanno, quindi, la capacità di simulare i rapporti corretti di arcate modificate e corrette in I classe ed indurranno così, per differenti spessori dell’elastodontico, effetti propulsivi, retropulsivi od espansivi.
Il Professore Besombes parla, infatti, della teoria della masticoterapia riflessa e cioè: essendo la mandibola il “conformatore” cranico, la modifica posturale della mandibola, associata all’azione sul mascellare superiore, si riflette sulle tensioni delle suture craniche che rinormalizzano la posizione delle differenti ossa del cranio attraverso la sincondrosi sfeno-basilare; il posizionamento dei denti è soggiacente a questo nuovo equilibrio osseo.
Di qui la genialità dell’Elastodontic Therapy, ossia l’utilizzo di apparecchi elastodontici preformati o individualizzati secondo un protocollo che prende in considerazione un nuovo approccio al piccolo paziente, una terapia precocissima già all’età di 2,5 anni, un percorso terapeutico a step in base alle fasi di crescita del paziente ed inoltre la possibilità di utilizzare questi dispositivi nei pazienti adulti per finalità protesiche.
Il meccanismo di funzionamento dei dispositivi elastodontici è tale per cui attraverso l’elasticità più o meno elevata del materiale è possibile intervenire in maniera tridimensionale all’interno di una realtà anch’essa tridimensionale qual è la cavità orale; a differenza dei comuni dispostivi funzionali standard in grado di lavorare bidimensionalmente a causa di un rapporto occlusale spesso alterato dalla presenza di placche o docce che rendono la terapia meno biologica impedendo il raggiungimento dell’ intercuspidazione durante la terapia stessa.
Tab. 1
I dispositivi AMCOP by Micerium
Sono dispositivi realizzati con un materiale termoplastico, certificati e biocompatibili con le mucose della bocca. La particolare miscela degli elastodontici consente di mantenere una forma rigida ma nello stesso tempo elastica procurando una piacevole sensazione di benessere, ecco perché nella maggior parte delle malocclusioni soprattutto nei pazienti molto piccoli, il loro utilizzo è considerato piacevole. Esistono in diverse forme, misure e diversi piani di masticazione.
La loro morfologia consente di guidare la lingua nella corretta posizione sul palato, favorire la respirazione nasale, rilassare la muscolatura oro-facciale con un netto miglioramento dal punto di vista respiratorio e fonetico. In base ai piani di masticazione classifichiamo i dispositivi in:
- Basic piano ideale per i pazienti deep bite;
- Integral piano per i normo bite;
- Tc piano, ideale per le terze classi e per gli open scheletrici da post rotazione del piano bispinale.
Altra cosa molto importante è la possibilità di scegliere, nell’ambito delle prime classi, 4 forme di arcata in base a quella più adatta per il paziente.
Tab. 2
Forme di arcata (Fig. 1)
Forma C arcata larga e tondeggiante, palato basso Brachifacciale
Forma S Forma di arcata ovale ed armonica Mesocefalo
Forma 0S Forma di arcata squadrata Mesocefalo
Forma F Forma di arcata triangolare
Problematiche disfunzionali
Nelle problematiche articolari (ATM) esistono delle specifiche indicazioni.
Nelle disfunzioni extra-articolari a patogenesi occluso-dentale è indicato l’attivatore di bassa durezza Shore con materiale molto elastico (51 Shore) e può essere, quindi, utilizzato da pazienti che presentano ATM fisiologiche o patologiche di stadio 1. In caso di patologie intra-articolari, a patogenesi menisco-condiloidee, per le quali vi è necessità di una terapia di stabilizzazione articolare, è possibile usare per un primo periodo, circa 6/8 mesi, un attivatore con durezza Shore alta tipo placca di riposizionamento con effetto cicatrizzante delle strutture articolari e, successivamente, un secondo dispositivo con durezza Shore bassa, avente un’azione miorilassante per le contratture muscolari.
In tal modo è possibile, attraverso il rimodellamento delle creste alveolari, ottenere l’estrusione dei posteriori e un relativo incremento della Dimensione Verticale, con risoluzione della disfunzione.
La postura Le patologie occlusali e quindi le malocclusioni sono spesso un fattore causale di molte patologie osteo-articolari, infatti si dice proprio che i muscoli masticatori fanno parte della così detta “catena posturale”. Diversi studi dimostrano come la II Classe scheletrica è associata spesso ad una postura avanzata ed iperlordosi del rachide cervicale, mentre la III Classe è per lo più associata ad una postura arretrata. Attraverso un’attenta analisi della postura del paziente dal semplice esame clinico alla Rx teleradiografia Latero-laterale, evince una correlazione tra malocclusione e significative alterazioni posturali e significative differenze tra l’appoggio plantare destro e sinistro.
Con il raggiungimento della normocclusione attraverso l’Elastodontic Therapy, sarà possibile anche correggere la postura stessa del paziente , in alcuni casi per accelerare e migliorare la terapia sono utili persino le sedute di fisioterapia o osteopatia.
Casi clinici
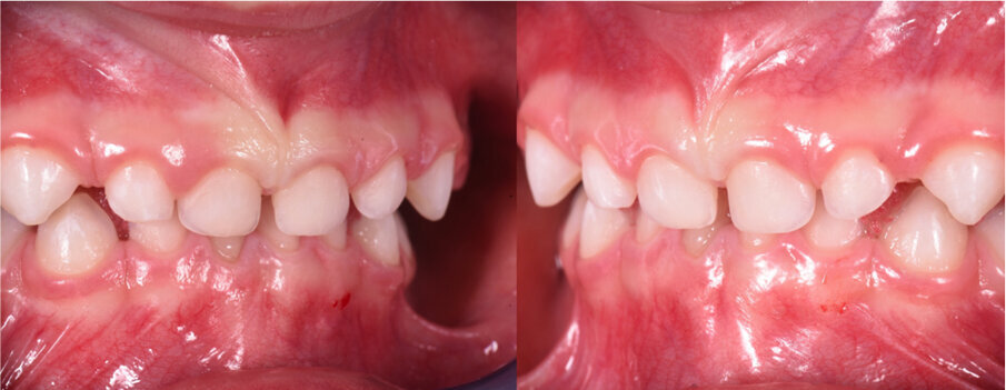
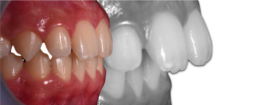
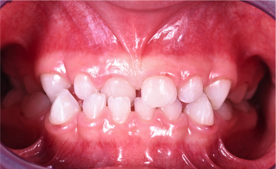
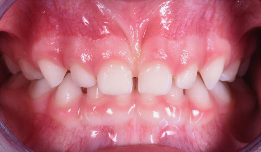
Caso 1 Paziente di anni 9,5, II Classe scheletrica, retrusione mandibolare, contrazione dell’arcata superiore, Overjet elevato (9,5 mm), compressione delle vertebre cervicali. La paziente riferisce di soffrire di cefalee continue. Dall’esame della panoramica e della teleradiografia evince una grande discrepanza tra il condilo dx e sx ed un evidente riduzione dello spazio intervertebrale in corrispondenza delle prime vertebre cervicali. La paziente è sottoposta a terapia elastodontica con AMCOP di seconda classe SC 3 con lo scopo di favorire l’espansione dell’arcata superiore e l’avanzamento mandibolare. A distanza di un anno evince un miglioramento dell’articolazione temporo-mandibolare di sx ed un aumento dello spazio intervertebrale legato a l’avanzamento mandibolare, è evidente inoltre il miglioramento dell’overbite ed overjet. A distanza di 2 anni si assiste ad un netto miglioramento dei condili grazie all’azione scheletrica dell’AMCOP ed a un netto vantaggio posturale con aumento dello spazio tra le vertebre cervicali. La malocclusione si può dire risolta anche se necessita una stabilizzazione del caso clinico attraverso lo stesso dispositivo (Figg. 2-14).
Fig. 2
Fig. 3
Fig. 4
Fig. 5
Fig. 6
Fig. 7
Fig. 8
Fig. 9
Fig. 10
Fig. 11
Fig. 12
Fig. 13
Fig. 14
Il caso clinico dimostra come la malocclusione scheletrica avesse delle forti ripercussioni sulla postura e come risolvendo la malocclusione scheletrica si ha anche un ottimo equilibrio posturale come evince dalle teleradiografie.
Caso 2 Paziente di anni 4, malocclusione dentale di III Classe, morso crociato monolaterale dx. La paziente viene trattata con dispositivo Amcop TC 2, il quale indossato tutte le notti e 1 ora di pomeriggio in 8 mesi risolve la malocclusione ripristinando il corretto rapporto occlusale; durante la terapia si riscontra un netto miglioramento della respirazione nasale e quindi il ripristino delle normali funzioni respiratorie. Il dispositivo, nei mesi successivi, viene indossato dalla paziente solo la notte per stabilizzare il caso e per guidare la crescita nel miglior modo possibile; all’età di 6 anni la paziente viene sottoposta a check-up ortodontico completo e quindi a panoramica e teleradiografia per poter analizzare anche la previsione di crescita e stabilire un eventuale step elastodontico (Figg. 15-23).
Fig. 15
Fig. 16
Fig. 17
Fig. 18
Fig. 19
Fig. 20
Fig. 21
Fig. 22
Fig. 23
Caso 3 M.D.E Anni 2, succhiamento protratto del dito, deglutizione atipica, open bite dentale, contrazione arcata superiore. I genitori riferiscono difficoltà a respirare e raffreddori ricorrenti (Figg. 24-28).
Fig. 24
Fig. 25
Fig. 26
Fig. 27
Fig. 28
La paziente è stata trattata con un tipo particolare di AMCOP by Micerium a forma di “ciuccio”, il quale non richiede la presa dell’impronta, ideale per i pazienti in dentizione decidua e soprattutto per i pazienti di 2-3 anni con malocclusioni evidenti. I risultati sono stati ottenuti in 6 mesi di terapia, l’apparecchio è stato portato tutte le notti ed 1 ora durante il giorno. Dopo aver ottenuto il risultato l’AMCOP by Micerium viene portato per altri 6 mesi solo la notte per garantire la stabilità e per recuperare la funzione linguale e del muscolo orbicolare delle labbra.
Questo caso dimostra come la correzione della malocclusione funzionale, frequente nei bimbi a quest’età, sia il nostro primo obiettivo terapeutico.
Conclusioni Lo scopo di questo lavoro è quello di dimostrare l’importanza che ha un trattamento ortodontico elastodontico precoce in modo da semplificare la terapia delle malocclusioni e ridurre le eventuali recidive; queste metodiche permettono di eliminare le necessità di ricorrere ad estrazioni, in armonia con il rigido controllo dell’ancoraggio e con le metodiche maggiormente conservative.
L’ortodonzia preventiva tramite dispositivi elastodontici rappresenta quindi un importante passo avanti nell’ambito dell’ortodonzia in età evolutiva dal momento che è in grado di risolvere la maggior parte dei problemi ortodontici trasformando molti di questi casi in occlusioni ideali sotto il profilo estetico e funzionale e posturale; in alcuni casi alla fine di questa terapia è necessaria l’applicazione di brackets (limitatamente ad 1/3 dei denti, per un breve periodo) per ritocchi minori, come la rotazione dei posteriori, il raddrizzamento dei canini superiori, chiusura degli spazi, il livellamento o il torque degli incisivi e l’espansione dell’arcata mascellare.
Bibliografia
Besombes, Muzj, Heyberger, Planas, Macary: Contribution àl’ètude de la therapie fonctionnelle et de ses rèsultats. 34ème Congres de la socièt ODF 1961.
Bergersen E.O.: The Performed Retainer: Principlesand Clinical Applications. Am Assoc. Orthod. Audio-Visu-al Library, St Luis, 1970.
Katri Keski-Nisula, Leo Keski-Nisula, Hannu Salo, Kati Volpio, Junha Varrela: Dentofacial Changes after Orthodontic Intervention with Eruption guidance Appliance in The Early Mixed Dentition. Angle Orthodontist, Vol 78, No 2, 2008.
Gullherm R.P. Janson, DDS, MSc, PhD, MRCDC, Claudia Catao Alves da Silvia, DDS, MSc, PhD, Earl O.Bergersen, DDS, MSD, Josè Fernando Castanha Henriques, DDS, Msc, PhD, and Arnaldo Pinzan, DDS, Msc, PhD: Eruption guidance appliance effects in the tratment of Class II, Division 1 malocclusions. American Journal of Orthodontics and Dentofacial Orthopedics, Vol 117, Number 2, 2000.
Katri Keski-Nisula, Riitta Hernesniemi, Maritta Heiskanen, Leo Keski-Nisula, and Juha Varrela: Orthodontic intervention in the early mixed dentition: A prospective, controlled study on the effects of the eruption guidance appliance. American Journal of Orthodontics and Dentofacial Orthopedics, Volume 133, Number 2, 2008.
Guilherme Janson, Alexandre Nakamura, Kelly Chiqueto, Renata Castro, Marcos Roberto de Freitas, Josè Fernando Castanha Henriques, Treatment stability with the eruption guidance appliance; American Journal of Orthodontics and Dentofacial Orthopedics, Volume 131, Number 6, 2007.
McNamara JA Jr, Howe RP, Dischinger TG. A Comparison of the Herbst and Frankel appliances in the treatment of Class II malocclusions. Am J Orthod Dentofacial Orthop, 1990; 98: 134-144.
Posen A.L.: The Effect of premature loss of deciduous molars on premolar eruption. Angle Orthod 35: 249-252, 1965.
Bergersen E.O.: Preventive eruption guidance in the 5 to 7 year old. J. Clin. Orthod. 29: 382-395, 1995.
Baccetti T., Franchi L., Toth LR., Mc Namara JA JR. Treatment timing for Twin-block therapy. Am J Orthod. 2003; 73:221-230.
Mc Namara JA. Maxillary transverse deficiency. Am J Orthod Dentofacial Orthop. 2000; 117:567-570.
Wheeler TT., McGorray SP., Dolce C., Taylor MG., King GJ. Effectiveness of early reatment of Class II Malocclusion. Am J Orthod Dentofacial Orthop 2002; 121: 9-17.
Sinclair PM, Little RM. Dentofacial maturation of untreated normals. Am J Orthod 1985; 146-56.
Andrews LF. The Straight wire appliance. Syllabus of philosophy and techniques. San Diego: Larry F. Andrews F. Foundation of Orthodontic Education and Research; 1975.
Vanini, D’Arcangelo, Mastroberardino: Estetica, Funzione e Postura; Gennaio 2018.
Kendall F., Kendall McCreary E., I muscoli. Funzioni e test con postura e dolore. Verduci Editore, 1985.
L'articolo è stato pubblicato su Cosmetic & Endo Tribune n. 1/19.
L’estetica riveste sempre più una connotazione di armonia ed equilibrio globale, certamente definiti da canoni condivisi e storicamente evolutisi, ma ...
L’evoluzione dell’odontoiatria contemporanea richiede una visione sempre più integrata tra funzione, estetica e benessere dei tessuti del volto. In ...
Introduzione
Ogniqualvolta dobbiamo affrontare un caso clinico le nostre scelte procedurali devono sempre basarsi su un’attenta diagnosi. Il termine ...
La classe II scheletrica rappresenta una malocclusione molto diffusa nella popolazione e può presentarsi con un’ampia varietà di configurazioni dentali ...
SOLNA, Svezia: Quacquarelli Symonds (QS), uno dei principali analisti globali dell’istruzione superiore, ha recentemente pubblicato la sua classifica ...
LONDRA, Inghilterra: Gli atleti professionisti possono rappresentare il massimo della prestazione fisica, ma crescenti evidenze suggeriscono che la loro ...
Molto interessante