Search Dental Tribune

Piano di trattamento digitale in un caso di agenesia dentale multipla anteriore

Fig. 13
Dental Tribune International

Dental Tribune International

sab. 16 ottobre 2021

salvare

Le tecniche di Odontoiatria e laboratorio Odontotecnico si sono evolute rapidamente negli ultimi anni, tuttavia è ancora difficile stabilire protocolli clinici accettati dalla comunità scientifica, poiché la tecnologia è spesso troppo veloce rispetto alle necessità della clinica, che deve rendere affidabili queste procedure. In questo articolo viene descritto l’uso di un flusso di lavoro completamente digitale per risolvere un caso clinico in un paziente con agenesie multiple anteriori e fobia per le impronte tradizionali.

Conclusioni
La creazione di un paziente virtuale migliora la comunicazione tra paziente, dentista e odontotecnico, con conseguente protocolli clinici più rapidi e minore morbilità per i pazienti.

Introduzione
Il flusso di lavoro digitale sta guadagnando l’attenzione e il supporto dei dentisti; vengono proposte molte procedure, non tutte di uso comune. Lo scopo di questo articolo è mostrare attraverso un caso clinico l’interazione di diverse tecnologie innovative per la completa digitalizzazione delle procedure di lavoro in Odontoiatria e Odontotecnica.

Caso clinico
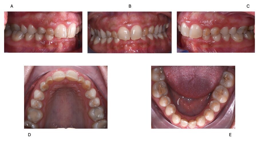
Il caso clinico riportato descrive il processo di riabilitazione implanto-protesica completamente digitale di una donna di 35 anni affetta da agenesia multipla degli elementi canini superiori e laterali e incisivi laterali inferiori, con associato morso profondo e gummy smile. Gli incisivi laterali superiori e i canini decidui erano ancora presenti nell’arcata dentale superiore, causando un inestetismo nel sorriso del paziente e conseguente insoddisfazione. Il desiderio della paziente era di ripristinare la sua salute orale e migliorare l’estetica del suo sorriso. Il paziente presenta all’esame obiettivo un morso profondo, una classe di Angle 1, apertura e chiusura nella norma, assenza di rumori articolari, come clicks, popping, nessun dolore muscolare nella regione cranio-facciale.

Materiali e metodi
L’anamnesi risulta negativa, il paziente è nella classe ASA 1, (American Society of Anesthesiologists), di un paziente sano, non presentante fattori di rischio generali, come fumo, diabete, obesità e malattie genetiche1. La paziente riferisce di essere fobica per le cure Odontoiatriche, soffre di ansia e ha un marcato riflesso del vomito durante la presa di impronte dentali. Ottenuto il consenso informato del paziente, si è deciso di eseguire la riabilitazione estetico-funzionale con un workflow digitale. Le prime indagini diagnostiche effettuate dopo la preparazione iniziale, (motivazione igienica, ablazione radicolare, radiografie e sondaggio parodontale), sono state le foto iniziali (Fig. 1). Il paziente non presenta segni di malattia parodontale e l’iniziale gengivite si è risolta dopo la terapia causale.

Digitalsmile 2D, 3D
Un’anteprima digitale del sorriso è stata eseguita con il software Digital Smile System DSS, (Just Smile, versione italiana 1.11.2) (Fig. 2), impronte dentali digitali, (CS3600, software 3.1.1 Carestream Dental), uno scanner facciale, (scanner facciale Bellus 3D, Bellus 3D Campbell, CA) e un CBCT, che è essenziale per una valutazione pre-chirurgica qualitativa e quantitativa dei volumi ossei. Durante l’anteprima dell’analisi facciale, oltre al morso profondo e al sorriso gengivale, abbiamo rilevato un’inclinazione del piano occlusale rispetto alle commessure labiali sul piano frontale. Il piano occlusale destro appare più estruso di quello sinistro (Fig. 3). Per correggere il piano occlusale e il morso profondo sarebbe necessario ripristinare le arcate dentali complete con un trattamento chirurgico-ortodontico-protesico multidisciplinare. Il paziente, informato della situazione, preferisce trattare solo l’arcata superiore, accettando il compromesso di non intervenire sull’inclinazione orizzontale del piano occlusale.

3D matching stl, ply obj file
Per l’accoppiamento 3D abbiamo utilizzato il sistema DIGITALBITE con i dispositivi DGBT1 e DGBT2, (DIGITALSMILE SRL, Te, Italy), come descritto in un precedente articolo2. Questo sistema permette di ottenere un paziente virtuale con l’accoppiamento di stl, dcm e obj, sul quale viene poi eseguito un wax-up di analisi 3D in laboratorio, importando i file su un software CAD, (Exocad; Exocad GmbH). Allo stesso tempo il DIGITALBITE funziona in modo tradizionale con un articolatore tradizionale, in questo caso di Artex, (Haman-Girbach, Koblach, Austria), grazie allo snodo di collegamento con arco facciale (Fig. 4).

Piano di chirurgia digitale
Oltre al lavoro di laboratorio, il dentista pianifica gli impianti sul software di chirurgia guidata (DDS-Pro versione 2.6.1 2020 DDS-DDP, Polonia) (Fig. 5). Il piano chirurgico originario prevedeva la sostituzione dei 4 denti primari con 4 impianti in 13, 12, 22 e 23. L’esame radiologico tridimensionale CBCT, ha rivelato, nel settore anteriore superiore, la presenza di uno spazio mesio-distale insufficiente per il posizionamento di due impianti adiacenti. Dalla letteratura sappiamo che per inserire un impianto di diametro 3-3,5 mm in un’area edentula di un solo dente, è necessario uno spazio mesio-distale minimo di 7 mm3-6. Inoltre, è stato riscontrato un volume osseo ridotto in direzione vestibolo-palatale, nonché una classe IV di Cawood & Howell7, con la cresta ossea definita “lama di coltello”, caratterizzata da altezza adeguata, e insufficiente spessore. In questo caso abbiamo per 2 impianti uno spazio mesio-distale di 9 mm o meno e meno 5 mm vestibolo-palatale. Visti i risultati ottenuti, abbiamo modificato il piano di trattamento. Si è deciso di estrarre i canini decidui superiori destro e sinistro e successivamente riabilitarli con due impianti, restaurare e sbiancare gli incisivi decidui laterali superiori destro e sinistro, seguito da riabilitazione protesica con faccette in disilicato di litio. Una seconda opzione di trattamento potrebbe essere l’impianto del canino con incisivo laterale a sbalzo.

Una terza opzione sarebbe stata un trattamento protesico tradizionale con realizzazione di ponti su elementi dentali, soluzione con un notevole impatto biologico e assolutamente rifiutata dalla paziente. La prognosi degli incisivi decidui superiori risulta favorevole per stabilità, sondaggio, proporzione radice-corona e attacco parodontale e rivalutazione della CBCT.

Correzione del sorriso gengivale
La prima fase di riabilitazione si è concentrata sul trattamento dell’eruzione passiva alterata (APE). La paziente, infatti, presentava un APE di tipo 1A8, caratterizzato da un’eccessiva sovrapposizione del margine gengivale sulla corona dentale, da una fascia di gengiva aderente di notevole spessore e da una distanza tra la giunzione smalto cementale, (CEJ) e cresta ossea inferiore a 1,5-2 mm. Per risolvere l’eruzione alterata, è stata eseguita la chirurgia parodontale con un lembo riposizionato apicale alla cresta, associato all’osteotomia, (Fig. 6) 6 mesi dopo, la pianificazione dell’impianto assistita da computer è stata rivalutata.

Carico immediato
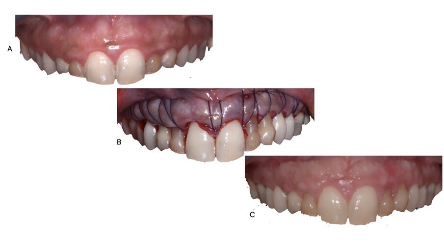
Una volta confermato questo piano, abbiamo iniziato con la chirurgia implantare. Gli impianti immediati, iRes iMax 3.2 x 10 mm, (IRES SAGL, Bergamo, Italia), sono stati eseguiti sui canini decidui superiori estratti. Il sito implantare è stato preparato con la tecnica computer guidata, utilizzando una guida chirurgica e la prima fresa da 2 mm di diametro per scegliere l’inclinazione e la profondità di preparazione. Successivamente, causa l’anatomia di Cawood-Howell 4, il sito è stato ampliato con la tecnica di Summers, utilizzando osteotomi ed espansori ossei9. Grazie ad un torque maggiore di 30 N / cm2, il carico immediato è stato eseguito con una protesi avvitata (Figg. 7, 8). La rivalutazione finale del caso è stata effettuata dopo 6 mesi.

Protesi
La finalizzazione protesica dei canini e degli incisivi laterali è avvenuta in due fasi per ottimizzare il risultato estetico finale: prima mediante procedure digitali di impronta e CAD-CAM, inserendo i monconi avvitati Zr e le corone Zr cut-back monolitiche sui canini superiori degli impianti, (Fig. 9), e successivamente, con un nuovo mock-up sugli incisivi decidui superiori, per calibrare le preparazioni in modo da ottenere uno spazio ideale per le faccette finali in disilicato di litio (Fig. 10).

Risultati
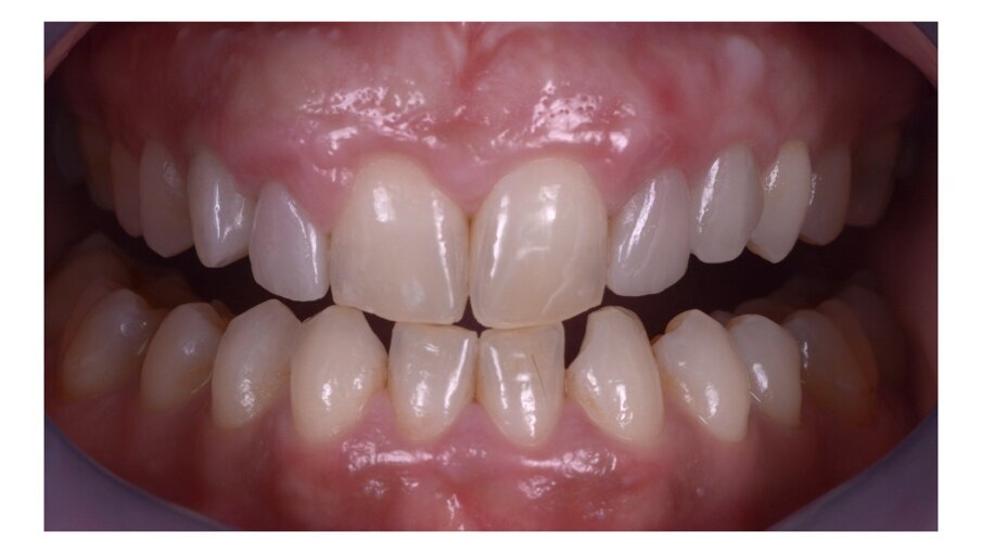
Il risultato ottenuto ha pienamente soddisfatto la paziente e la sua voglia di migliorare esteticamente il suo sorriso. Un anno dopo la fine del trattamento è stato eseguito un controllo che non ha rivelato complicanze. È stato risolto un visibile inestetismo alla vista frontale e laterale, che causava grossi problemi e sofferenza psicologica alla paziente, profondamente imbarazzata dal suo sorriso, sia per il gummy smile sia per le agenesie superiori. Inoltre, è stata migliorata l’occlusione che in precedenza non aveva guide anteriori sui canini decidui. Il piano occlusale sul piano frontale e del morso profondo che è rimasto invariato, come concordato in via preliminare dalla volontà del paziente. (Figg. 11-15).

Discussione
Attualmente in letteratura sono presenti pochi esempi di riabilitazioni estetiche eseguite con il flusso di lavoro del paziente virtuale 3D. In questo caso clinico, possiamo rilevare e analizzare i vantaggi e gli svantaggi del metodo digitale e confrontare quest’ultimo con il flusso di lavoro tradizionale. Uno dei principali vantaggi della tecnica digitale è quello di migliorare la comunicazione paziente-dentista-laboratorio per lo sviluppo del piano di diagnosi e trattamento. Inoltre, con la tecnologia digitale è possibile calibrare un ‘righello digitale’ sulle fotografie ed eseguire e segnalare misure degli elementi che interessano il dentista, tracciando tutte le linee e i piani di riferimento necessari con estrema precisione. Questi dati possono essere forniti al laboratorio odontotecnico in modo molto più preciso e rapido rispetto al metodo tradizionale, dove le indicazioni fornite dal dentista sono spesso difficili e non consentono all’odontotecnico per usare al meglio le sue capacità. Con il metodo digitale, invece, può concentrarsi sullo sviluppo di dettagli anatomici, sfruttando i parametri forniti, come i riferimenti cefalometrici, la posizione del margine incisale, i rapporti denti-labbra e la forma dentale consigliata. Grazie al paziente virtuale è possibile registrare e controllare varie espressioni sui tre piani dello spazio direttamente sul monitor del computer del laboratorio, aiutando in modo significativo lo sviluppo di una protesi soddisfacente.

Il flusso digitale migliora anche il risparmio di tempo nelle fasi cliniche tra Odontoiatra e tecnico di laboratorio; si pensi solo alla trasmissione dei dati dell’impronta via internet, alla possibilità di realizzare alcuni casi clinici full digital con produzione diretta CAD-CAM. Inoltre la tecnologia digitale migliora anche la comunicazione tra il dentista e il paziente che è più consapevole e direttamente coinvolto nel piano di trattamento. Mostrare al paziente un’anteprima, il risultato finale del sorriso e confrontarlo con le foto iniziali, gli consente di comprendere più chiaramente i problemi e le opzioni di trattamento. Questo è utile anche al dentista e all’odontotecnico, per avere un feedback dal paziente sul restauro proposto: trattandosi di un wax-up fatto di linee e disegni virtuali, può essere modificato o ridisegnato tante volte quante si desidera, offrendo al paziente ancora più opzioni possibili da scegliere. Tutto questo prima di commissionare al laboratorio il wax-up vero e proprio con ceratura tradizionale o virtuale. Un altro vantaggio del metodo digitale è la possibilità di ridurre al minimo il senso di disagio provato dal paziente. Durante l’anamnesi, infatti, il paziente si è dichiarato fobico e ansioso per le cure dentali. Per questo abbiamo lavorato molto a livello psicologico, spiegando che con le nuove tecnologie molti problemi sarebbero stati ridotti; il disagio e il senso di soffocamento, derivante dall’utilizzo di materiali da impronta e portaimpronte tradizionali, che può essere molto accentuato in un soggetto fobico dentale, viene completamente eliminato. Lo scanner intraorale, oltre a comportare una riduzione dei tempi operativi, offre altre possibilità di stoccaggio delle impronte su hard disk o in cloud, la possibilità di ripetere parti dell’impronta semplicemente con strumenti di taglio e sovrascrittura digitale, molto meno invasiva della strumentazione tradizionale10-12.

Uno studio13, ha analizzato il grado di accettabilità di giovani pazienti ortodontici verso l’acquisizione di impronte sia tradizionali che digitali. Nessuno dei soggetti aveva precedenti esperienze con le impronte, né convenzionali né digitali, e, dopo aver provato entrambe le tecniche, il 100% preferiva lo scanner intraorale. Tutto ciò può essere particolarmente utile nel caso specifico dell’agenesia dentale. Infatti, sebbene questo caso clinico esamini un paziente adulto, la maggior parte dei soggetti che vengono alla nostra attenzione per risolvere questo problema sono pazienti molto giovani. Il paziente pediatrico è molto raramente collaborativo, quindi, ridurre il suo stato di irrequietezza, i tempi operatori e il senso di disagio derivante dalle procedure tradizionali, è sicuramente positivo, oltre che per il bambino, anche per la famiglia che lo assiste e il clinico . Questo porterà benefici non solo nel presente, quindi durante il trattamento ortodontico/ortodontico-protesico, ma anche in futuro, in previsione di un’eventuale riabilitazione implantare.

Tuttavia, sebbene questa serie di vantaggi, il flusso di lavoro digitale presenta anche dei limiti. Attualmente è una realtà non ancora comune a tutti gli studi odontoiatrici, principalmente perché le curve di apprendimento sono piuttosto complesse e non ancora del tutto accettate dai protocolli in letteratura in modo univoco. Inoltre, i costi iniziali delle attrezzature necessarie sono molto elevati e richiedono investimenti significativi sia da parte dei dentisti che degli odontotecnici. Infine, una procedura digitale senza modello non è del tutto prevedibile in casi complessi, in cui sono richiesti più denti o aree estetiche o la necessità di eseguire restauri stratificati. La produzione di modelli fisici stampati in 3D è ancora necessaria in molti casi, così come per la valutazione occlusale, il profilo di emergenza, le aree di contatto, attraverso i modelli montati su supporti fisici e possono ancora essere decisivi per il successo clinico, come mostra questo caso.

 Conclusioni
In questo studio da un punto di vista estetico-funzionale i risultati ottenuti con il flusso di lavoro digitale sono soddisfacenti quanto quelli ottenuti con le procedure tradizionali. Sebbene l’Odontoiatria digitale sia di recente sviluppo, rappresenta il futuro perché rende più prevedibili le fasi del trattamento, per il paziente, per l’Odontoiatra e per il laboratorio, risparmiando tempo rispetto al metodo tradizionale e, una volta messo a punto le procedure, anche denaro. Una tecnica mista digitale e utilizzo di modelli stampati in 3D, rappresenta oggi il sistema ideale per riabilitazioni complesse in cui sono coinvolti più elementi dentali e ancor di più in settori esteticamente importanti. Ci sono ancora degli svantaggi legati all’assimilazione di nuove metodiche, allo sviluppo di nuovi protocolli e agli alti costi da sostenere per digitalizzare lo studio odontoiatrico e il laboratorio odontotecnico.

 Bibliografia

  1. Owens WD, Felts JA, et al. ASA physical status classifications: A study of consistency of 19 ratings. Anesthesiology. 1978;49:239.
  2. Granata, L. Giberti, P. Vigolo, E. Stellini, and A. Di Fiore. Incorporating a facial scanner into the digital workflow: A dental technique.
  3. Klein MO, Schiegnitz E, Al-Nawas B. Systematic review on success of narrow-diameter dental implants. Int J Oral Maxillofac Implants. 2014. 29: 43–54.
  4. Lamas Pelayo J, Peñarrocha Diago M, Martí, Bowen E, Peñarrocha Diago M. Intraoperative complications during oral implantology. Med Oral Patol Oral Cir Bucal. 2008. 13: E239–E243.
  5. Misch K, Wang HL. Implant surgery complications: etiology and treatment. Implant Dent. 2008. 17: 159–16.8
  6. Raghani M, Sadhwani B, Anchlia S, Sadhwani S. Mini-dental implants-for rehabilitation of narrow single tooth edentulous space: A clinical study of seven cases. J Dent Implant. 2013. 3: 125–133.
  7. Cawood JI, Howell RA. A classification of the edentulous jaws. Int J Oral Maxillofac Surg. 1988;17(4):232‐236.
  8. Coslet GJ, Vanarsdall R, Weisgold A. Diagnosis and classification of delayed passive eruption of the dentogingival junction in the adult. Alpha Omegan. 1977; 10:24-8.
  9. 9- Summers RB. The osteotome technique: Part 2--The ridge expansion osteotomy (REO) procedure. Compendium. 1994;15(4):422‐436.
  10. Yuzbasioglu E, Kurt H, Turunc R, Bilir H. Comparison of digital and conventional impression techniques: Evaluation of patients’ perception, treatment comfort, effectiveness and clinical outcomes. BMC Oral Health 2014; 14: 10.
  11. Burhardt L, Livas C, Kerdijk W, van der Meer WJ, Ren Y. Treatment comfort, time perception, and preference for conventional and digital impression techniques: A comparative study in young patients. Am J Orthod Dentofacial Orthop 2016; 150(2): 261-7.
  12. Wismeijer D, Mans R, van Genuchten M, Reijers HA. Patients’ preferences when comparing analogue implant impressions using a polyether impression material versus digital impressions (Intraoral Scan) of dental implants. Clin Oral Implants Res 2014; 25(10): 1113-8.
  13. Mangano A, Beretta M, Luongo G, Mangano C, Mangano F. Conventional Vs Digital Impressions: Acceptability, Treatment Comfort and Stress Among Young Orthodontic Patients. The Open Dentistry Journal. 2018; 12(1): 118-124.

L'articolo è stato pubblicato su CAD/CAM Italian Edition n. 3/21.

Tag:
To post a reply please login or register
advertisement