La classe II scheletrica rappresenta una malocclusione molto diffusa nella popolazione e può presentarsi con un’ampia varietà di configurazioni dentali e scheletriche. Solitamente, la retrusione mandibolare è la componente predominante, associata a una discrepanza trasversale causata da un deficit del mascellare superiore.
In questi soggetti, la crescita mandibolare risulta essere più lenta e meno pronunciata rispetto ai controlli, e tale disarmonia dento-scheletrica raramente si autocorregge con l’età. Apparecchiature funzionali rimovibili, ad esempio il tradizionale Twin Block di Clark, sono ampiamente utilizzate nei giovani pazienti, con l’obiettivo di stimolare e guidare correttamente la crescita mandibolare in prossimità del picco puberale1.
Il successo di questo trattamento è strettamente correlato alla collaborazione dimostrata dal paziente, perché i dispositivi per poter essere massimamente efficaci devono essere indossati per almeno 15 h/giorno2. Per questa ragione, sforzi sono stati fatti allo scopo di migliorare il comfort e l’estetica delle apparecchiature, così da favorire la collaborazione. Questo ha portato allo sviluppo di F22 (Sweden & Martina, Due Carrare (PD), Italy) Young, ideato presso la Scuola di Specializzazione di Ortodonzia dell’Università di Ferrara, un allineatore trasparente superiore che conserva elevate caratteristiche estetiche ma allo stesso tempo è in grado di correggere con un approccio funzionale una classe II scheletrica grazie alla presenza di un vallo d’avanzamento (Figg. 1a, 1b). Questo è costruito con metodi ripetibili e sulla base di un’attenta pianificazione digitale (Figg. 2a, 2b) viene definita la posizione terapeutica mandibolare più adatta alle caratteristiche occlusali e scheletriche di ogni singolo paziente.
Caso clinico
Paziente femmina. All’esame clinico, si riscontra un rapporto sagittale di classe II, con un gradino terminale distale a livello del primo molare permanente da entrambi i lati (Figg. 3a, 3b). Scheletricamente, si conferma una discrepanza tra i mascellari di classe II con una componente predominante di retrusione mandibolare. Per la sua correzione è stato scelto un approccio intercettivo funzionale con F22 Young, preceduto da una breve serie di allineatori superiori per migliorare il disallineamento a livello degli incisivi.
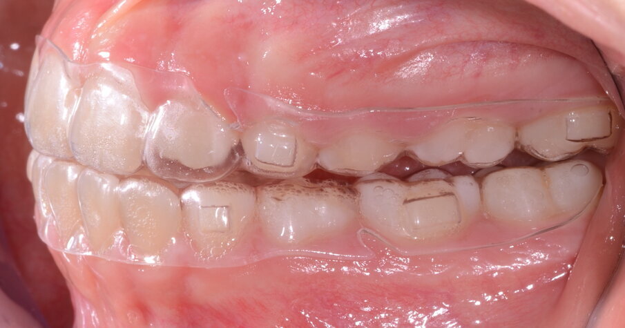
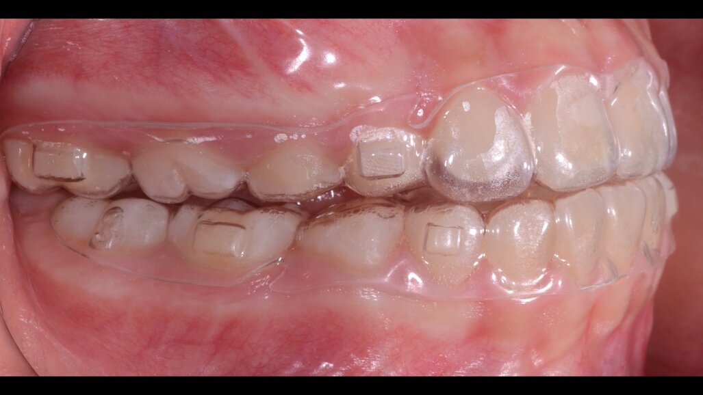
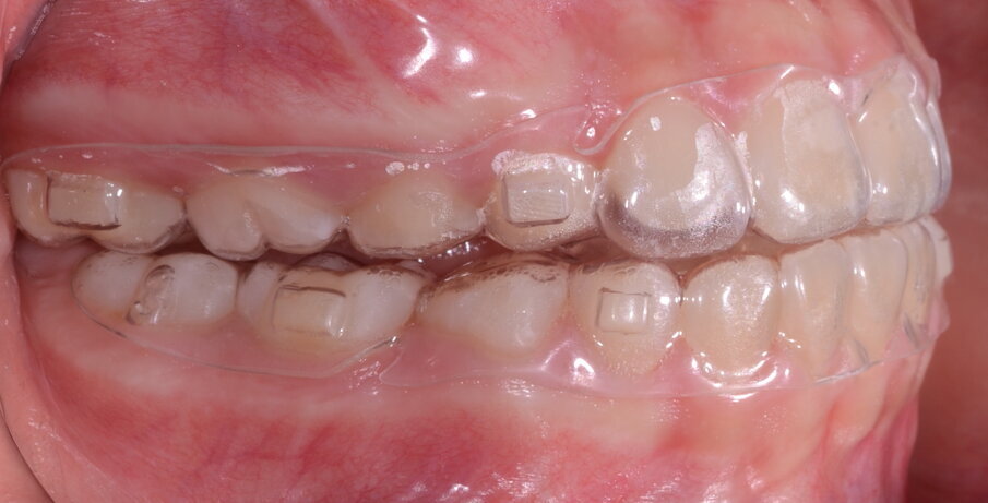
La possibilità di poter eseguire un allineamento è particolarmente vantaggiosa in questo caso, dove gli incisivi centrali presentano un’inclinazione linguale tale da non lasciare lo spazio di manovra per l’avanzamento. È stata quindi programmata una sequenza di 3 allineatori allo scopo di allineare 1.2, 1.1, 2.1, 2.2, senza programmare IPR (Interproximal Reduction) ma solo proclinazione di 1.1 e 2.1. Dopo aver ottenuto un overjet consono alla correzione della classe II, sui modelli tridimensionali è stata individuata la posizione terapeutica di avanzamento, in ipercorrezione fino ad un testa-testa incisale. L’allineatore superiore è stato quindi costruito con un vallo d’avanzamento anteriore, esteso palatalmente da 1.2 a 2.2, con un’inclinazione tale da permettere uno scivolamento confortevole dell’arcata mandibolare fino alla posizione desiderata. Inferiormente, è stato progettato un allineatore con lo scopo di controllare i possibili effetti avversi conseguenti all’avanzamento (estrusione del primo molare permanente e proclinazione degli incisivi). Alla consegna di F22 Young, la paziente è stata istruita ad indossarlo per 15 ore giornaliere, durante tutta la notte e quanto più possibile durante il giorno. Solo nelle ore notturne, è stato richiesto di utilizzare elastici di classe II bilaterali (6 once, 3/16 di diametro), da applicare su appositi tagli eseguiti sugli allineatori, in particolare mesiali al canino decido superiore e al secondo molaretto inferiore, come ben visibili dalle fotografie intra-orali (Figg. 4a ,4b). A livello di 1.2 e 2.2 sono stati progettati due pontic, in modo da permettere lo spazio all’estrusione degli elementi che ancora risultavano corti e non completamente erotti alla progettazione degli allineatori.
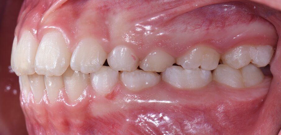
Dopo otto mesi di trattamento attivo con F22 Young, la paziente è ora in controllo permuta con lo stesso dispositivo da indossare solo durante la notte come mantenimento del risultato, del tutto soddisfacente. Infatti, la prima classe dentale è stata raggiunta da entrambi i lati, con una normalizzazione dei parametri di overjet e overbite inizialmente aumentati (Figg. 5a, 5b). La fase intercettiva si può quindi considerare conclusa, risolta la discrepanza sagittale sia a livello dentale che a livello scheletrico si attenderà il termine della permuta di tutti gli elementi decidui per poter fare una rivalutazione in dentatura permanente.
F22 Young è stato efficace nel favorire una maggiore crescita mandibolare, perché utilizzato in prossimità del picco di crescita. In uno studio condotto su un gruppo di pazienti3 trattati con il medesimo approccio, si è riscontrato un significato aumento della lunghezza mandibolare totale, che si associa sempre a una correzione dei rapporti sagittali a livello dentale. I giovani pazienti apprezzano questo tipo di dispositivo per le sue caratteristiche di comfort ed estetica, e hanno dimostrato la collaborazione sufficiente a garantire il raggiungimento dei risultati clinici prefissati.
Bibliografia
- Perinetti G, Primožič J., Franchi L. and Contardo L. (2015) Treatment effects of removable functional appliances in prepubertal and pubertal Class II patients: a systematic review and metaanalysis of controlled studies. PLoS One. 2015; 10 (10): e0141198.
- Arreghini A, Triglia S, Lombardo L, Siciliani G. Objective assessment of compliance with intra-and extra oral removable appliances. Angle Orthod 2016; 87 (1).
- Cremonini F, Cervinara F, Siciliani G, Lombardo L. Class II Treatment in Growing Patients: Preliminary Evaluation of the Skeletal and Dental Effects of a New Clear Functional Appliance. Applied Sciences. 2022; 12(11):5622.
Tag:
Una paziente affetta da amelogenesi imperfetta generalizzata (Figg. 1a, 1b) aveva richiesto in età adulta un trattamento estetico. La paziente ...
Una paziente affetta da amelogenesi imperfetta generalizzata (Figg. 1a, 1b) aveva richiesto in età adulta un trattamento estetico. La paziente ...
La ricerca del sorriso estetico ha portato tutte le branche della medicina odontoiatrica a cercare delle soluzioni terapeutiche che coniughino la conoscenza...
La ricerca del sorriso estetico ha portato tutte le branche della medicina odontoiatrica a cercare delle soluzioni terapeutiche che coniughino la conoscenza...
Nella pratica odontoiatrica comune il clinico è chiamato a trattare anomalie strutturali dello smalto e dentina con esigenze estetiche importanti da parte ...
La presenza protratta nel tempo di dispositivi ortodontici fissi è un alto rischio per la salute dei tessuti parodontali e dentali in quanto viene a ...
La presenza protratta nel tempo di dispositivi ortodontici fissi è un alto rischio per la salute dei tessuti parodontali e dentali in quanto viene a ...
I bifosfonati sono una classe di farmaci utilizzati per le diverse patologie che coinvolgono il turnover osseo con aumento del riassorbimento osseo e ...
Una crescente attenzione sugli studi condotti sugli effetti della terapia funzionale, soprattutto per quanto riguarda la loro efficacia ed efficienza in ...
HAIPHONG, Vietnam: un nuovo case report mostra i risultati ottenibili con un approccio protesico conservativo in un paziente con un quadro anteriore ...
Live webinar
mer. 22 aprile 2026
17:00 (CET) Rome
MDT Andreas Chatzimpatzakis
Live webinar
mer. 22 aprile 2026
17:00 (CET) Rome
Live webinar
mer. 22 aprile 2026
18:00 (CET) Rome
Live webinar
gio. 23 aprile 2026
17:00 (CET) Rome
Live webinar
gio. 23 aprile 2026
18:30 (CET) Rome
Live webinar
gio. 23 aprile 2026
19:00 (CET) Rome
Live webinar
gio. 30 aprile 2026
1:00 (CET) Rome
Dr. Renato Leonardo D.M.D.
To post a reply please login or register