La paziente si è presentata alla mia osservazione chiedendo un miglioramento estetico del viso e del sorriso. Dopo aver raccolto tutti i dati clinici, anamnestici e strumentali necessari alla formulazione del piano di trattamento più consono alle richieste della paziente, abbiamo deciso di migliorare l’estetica del viso e delle labbra con un rimodellamento tramite iniezioni di acido ialuronico secondo i principi degli MD Codes® di Mauricio de Maio e con un trattamento di fotobiostimolazione e di fotoeudermia con un ciclo di applicazioni di Light Modulation® con luce led rossa ad alta potenza di provata efficacia dermatologica (Fig. 1).
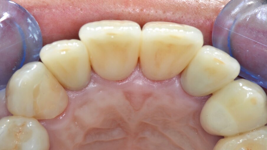
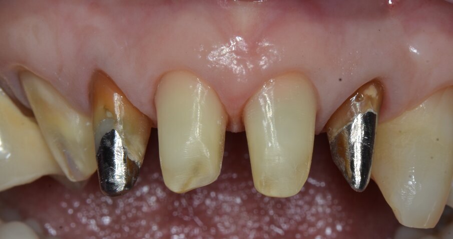
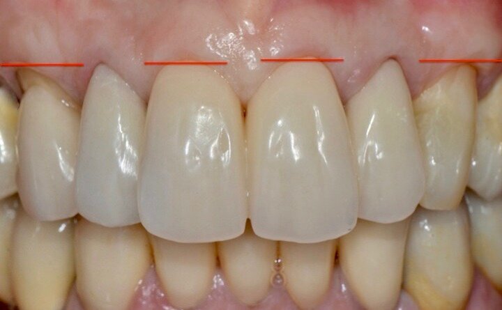
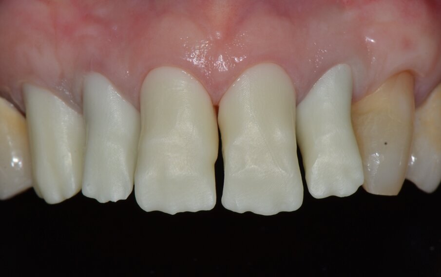
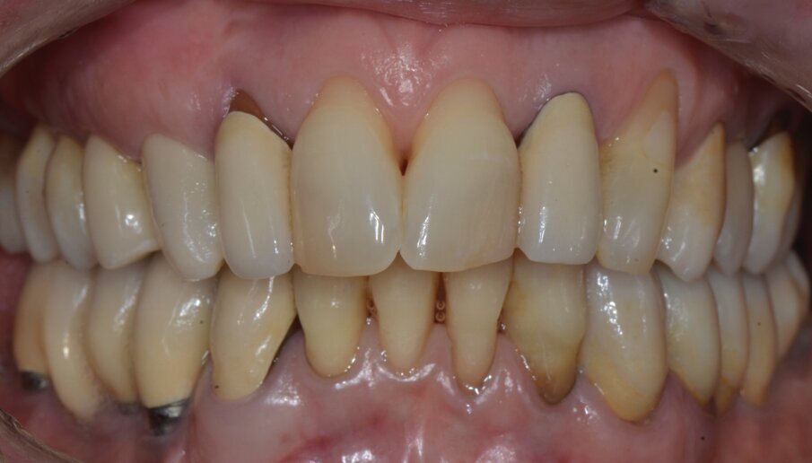
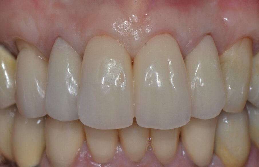
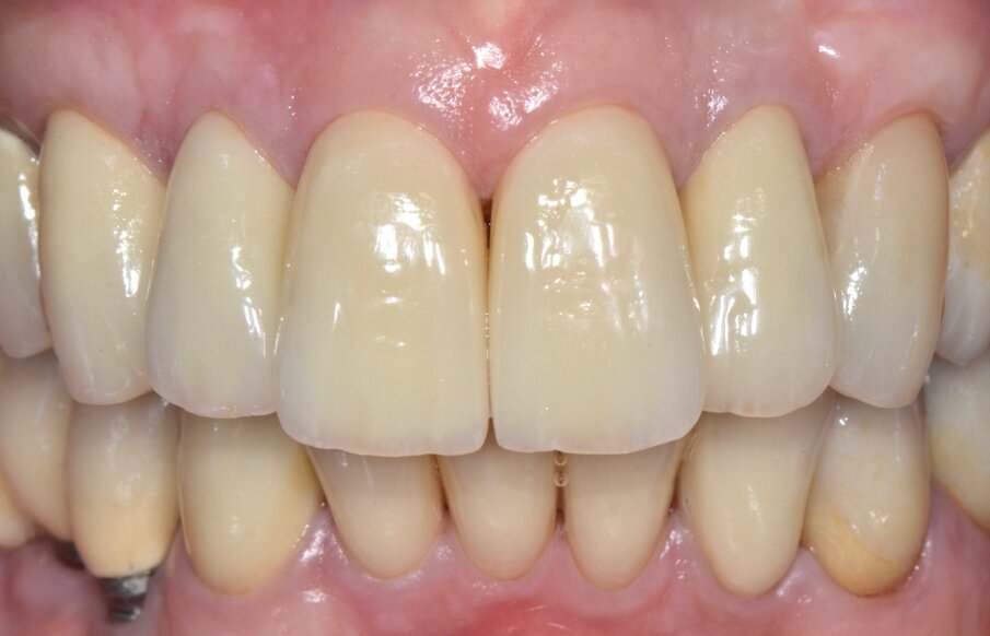
Riguardo al comparto intraorale, dalle radiografie diagnostiche e dall’esame parodontale e occlusale sono emersi aspetti che meritavano una correzione anche nei settori posteriori, ma la paziente ha deciso di effettuare inizialmente il trattamento dei soli gruppi frontali superiore e inferiore demandando a un momento successivo le problematiche dei quadranti posteriori (Figg. 2-6). Nel gruppo frontale superiore si possono notare recessioni gengivali sugli incisivi centrali, che sono anche molto ruotati, e sul canino di sinistra; corone in metallo-ceramica sugli incisivi laterali con esposizione del bordino metallico e una corona in ceramica metal-free sul canino di destra. Inoltre è molto evidente lo squilibrio delle parabole gengivali tra i due canini, per cui per ristabilire un’estetica ottimale sarà necessario anche interessare i tessuti molli eseguendo una chirurgia resettiva sul canino di destra e, al contrario, un lembo a posizionamento coronale sul canino di sinistra (Fig. 7).
Materiali e metodi
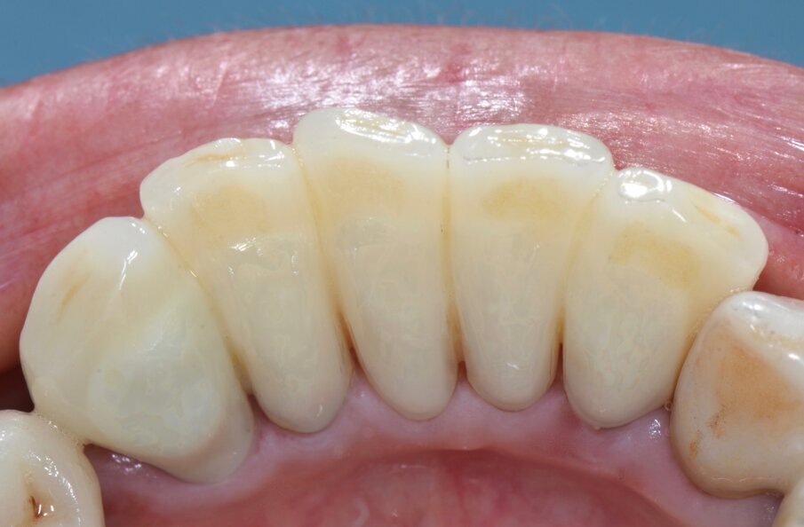
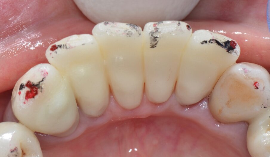
Da un punto di vista protesico verranno eseguite corone singole in zirconia stratificata sugli elementi 13-12-11-21-22 e una faccetta in disilicato di litio sul 23. A causa della notevole rotazione dei due incisivi centrali in fase di ceratura abbiamo optato per due corone complete anziché due faccette per una migliore distribuzione degli spazi protesici dei quattro incisivi (Fig. 8). Il gruppo frontale inferiore invece verrà protesizzato con corone in zirconia stratificata sugli elementi 32-31-41-42-43 splintate per compensare una mobilità di grado 1 dei quattro incisivi.
Descrizione
Inizialmente vengono applicati i provvisori prelimatura (Fig. 9) utilizzati anche come mock-up per passare dopo le opportune valutazioni estetiche (Figg. 10, 11) a una seconda serie di provvisori che ci accompagnaranno durante la fase chirurgica e il tempo di guarigione e maturazione dei tessuti. Prima si procede con la chirurgia resettiva (ORS) sul canino superiore destro per alzare la parabola gengivale a livello degli altri denti frontali; questo intervento viene eseguito con un approccio “delicato” e meno invasivo possibile per non penalizzare l’estetica della corona preesistente sul primo premolare superiore destro.
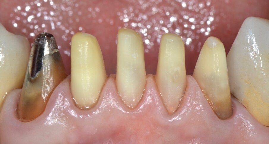
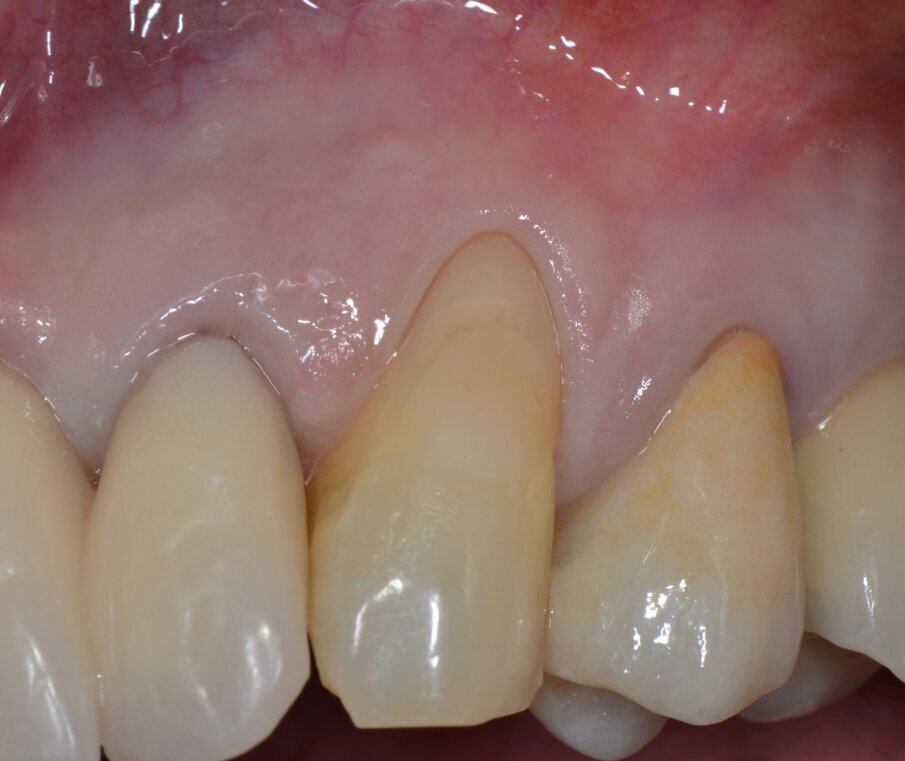
Dopo circa un mese viene eseguito un lembo a scorrimento coronale con innesto di tessuto connettivo (CAF+CTG) prelevato dal palato con la “Tecnica di Langer e Langer mod. J.Bruno” per coprire la recessione sul canino superiore sinistro e ispessire il tessuto sopra il quale verrà posizionata una faccetta in ceramica (Figg. 12-17). A due mesi dal CAF+CTG si può notare la maturazione dell’innesto con un ottimale spessore mantenuto e lo spazio guadagnato sul canino controlaterale con la ORS (Figg. 18, 19).
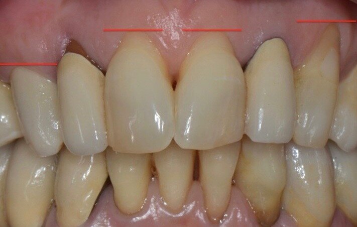
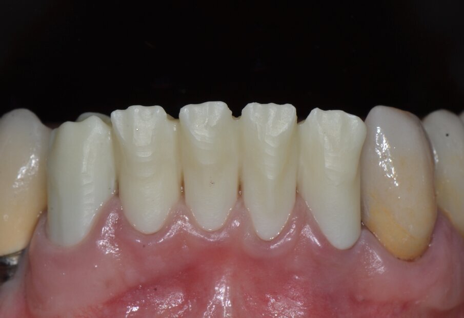
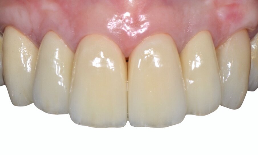
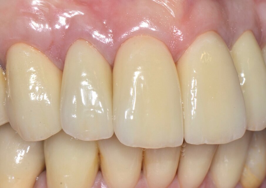
Valutiamo di aver raggiunto una buona simmetria delle parabole gengivali per cui si può procedere con la finalizzazione protesica (Fig. 20). I monconi sono stati preparati con una preparazione verticale per dare priorità alla robustezza dei monconi stessi nella zona cervicale (Figg. 21, 22).
Dal momento che si tratta di un caso estetico senza coinvolgimento parodontale la preparazione è stata molto delicata nei confronti dei tessuti con un posizionamento previsto delle corone definitive leggermente intrasulculare. Una buona conoscenza della fisiopatologia del parodonto unita ad una ottimale gestione degli aspetti protesici dimostra che con ogni tipo di finishing-line si possono ottenere risultati estetici soddisfacenti, ben sapendo peraltro che l’estetica dei manufatti protesici dipende soprattutto dalla bravura e dal senso artistico dei nostri odontotecnici.
Le impronte per il restauro definitivo vengono rilevate tramite polieteri con tecnica in un tempo a due fasi e cucchiai individuali e tecnica di retrazione gengivale con doppio filo.
Le corone definitive, come precedentemente descritto, vengono costruite con tecnologia CAD/CAM per una sottostruttura in zirconia di cui viene verificato l’adattamento e ricercata la precisione seguendo gli stessi criteri noti per una prova fusione di una struttura metallica (Figg. 23-29). Dopo la prova le strutture vengono inviate in laboratorio per la stratificazione della ceramica.
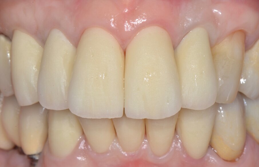
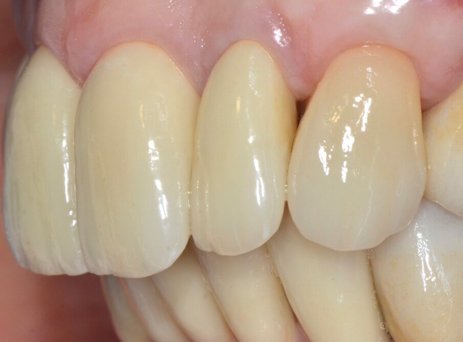
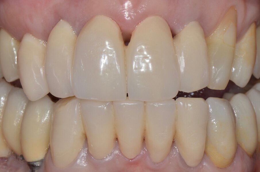
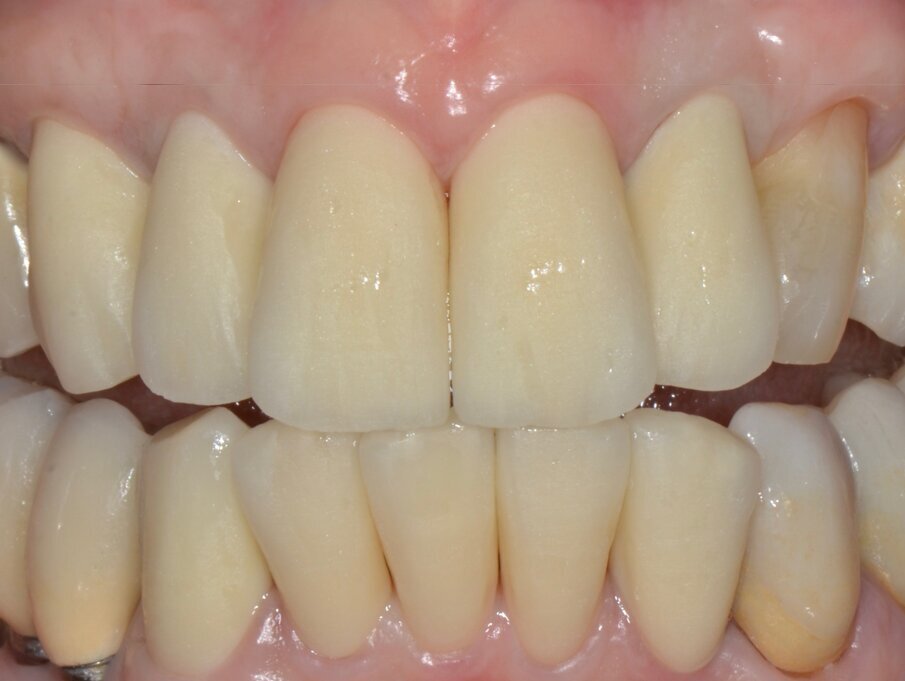
La successiva prova clinica è quella delle ceramiche a biscotto durante la quale viene valutata l’occlusione, la fonetica e l’estetica (Figg. 30-33). Durante la stessa seduta viene eseguita la preparazione per la faccetta in disilicato di litio per il canino superiore sinistro che viene rilevata insieme con l’impronta di rimontaggio delle corone superiori. Una faccetta in resina sul canino viene ribasata e solidarizzata al provvisorio superiore (Figg. 34). La settimana successiva i manufatti finiti vengono provati, cementati adesivamente e vengono eseguite le radiografie finali di controllo (Figg. 35-47).
L'articolo è stato pubblicato su Cosmetic Dentistry febbraio 2018
Tag:
Nella pratica odontoiatrica comune il clinico è chiamato a trattare anomalie strutturali dello smalto e dentina con esigenze estetiche importanti da parte ...
Gli odontomi composti sono neoformazioni benigne di origine odontogena localizzate prevalentemente nella parte anteriore del mascellare; compaiono ...
Pianificazione digitale delle procedure chirurgica, estetica e funzionale per la creazione di due arcate protesiche complete su impianti.
Il tema della medicina estetica all’interno degli studi dentistici continua ad essere tra i più dibattuti in ambito odontoiatrico. In KEY-STONE, abbiamo ...
Da un punto di vista estetico, un impianto malposizionato specialmente nella regione anteriore, porta inevitabilmente alla realizzazione di un lavoro ...
HAIPHONG, Vietnam: un nuovo case report mostra i risultati ottenibili con un approccio protesico conservativo in un paziente con un quadro anteriore ...
Una paziente affetta da amelogenesi imperfetta generalizzata (Figg. 1a, 1b) aveva richiesto in età adulta un trattamento estetico. La paziente ...
Una paziente affetta da amelogenesi imperfetta generalizzata (Figg. 1a, 1b) aveva richiesto in età adulta un trattamento estetico. La paziente ...
La gestione del caso implantare in area estetica rappresenta una sfida per l’odontoiatria moderna. I pazienti sono sempre meno disposti ad accettare i...
L’agenesia è la più frequente tra le anomalie dentarie che l’ortodontista o l’odontoiatra multispecialista si trova a dover fronteggiare1, 2.
Le ...
Ms. Ellen Karlin, Dr. Sara Karlin
Live webinar
gio. 7 maggio 2026
17:00 (CET) Rome
Live webinar
gio. 7 maggio 2026
18:00 (CET) Rome
Live webinar
gio. 7 maggio 2026
18:00 (CET) Rome
Dra. Maria Carolina Erhardt, Dra. Thais Tomé Feldens
Live webinar
gio. 7 maggio 2026
20:30 (CET) Rome
Live webinar
lun. 11 maggio 2026
18:00 (CET) Rome
Live webinar
lun. 11 maggio 2026
19:00 (CET) Rome
To post a reply please login or register