Una paziente affetta da amelogenesi imperfetta generalizzata (Figg. 1a, 1b) aveva richiesto in età adulta un trattamento estetico. La paziente è stata seguita in età evolutiva con terapie conservative e sottoposta a terapia ortodontica, che aveva ottenuto rapporti di prima classe.
Prima della terapia definitiva sono state eseguite delle correzioni chirurgiche dei settori posteriori per azzerare difetti parodontali ossei (Figg. 2a, 2b) o ridurre l’alterata eruzione passiva (Figg. 2c, 2d). Una volta ottenuta la guarigione dei settori posteriori (Figg. 3a, 3b), sono state eseguite delle correzioni estetiche del settore frontale (Fig. 4).
La programmazione del caso è iniziata con la registrazione individuale dell’asse cerniera e cera di centrica (Figg. 5a, 5b, 5c),
Dal successivo montaggio in articolatore è stata realizzata la ceratura diagnostica (Figg. 6a, 6b, 6c), che ha fornito la guida per le preparazioni.
Sono state eseguite simultaneamente le preparazioni degli elementi posteriori sia superiori sia inferiori (Figg. 7a, 7b, 7c) per la realizzazione di overlay in disilicato di litio monolitico (Fig. 8).
Molta attenzione è stata riposta alla fase della cementazione con la preparazione dei monconi per una cementazione adesiva (Figg. 9a, 9b), utilizzando rigorosamente la diga di gomma (Figg. 10a, 10b; Figg. 11a, 11b, 11c).
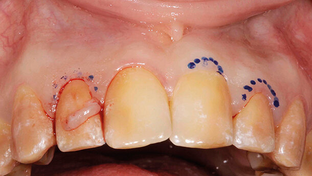
Completata la cementazione dei settori posteriori, sono stati preparati i settori anteriori con preparazioni conservative (Figg. 12a, 12b) per la realizzazione di faccette stratificate.
Anche nel settore frontale la preparazione dentale è stata eseguita simultaneamente, sia superiormente sia inferiormente, e anche per il settore inferiore sono state realizzate faccette stratificate con cementazione adesiva (Figg. 13a, 13b, 13c, 13d).
Il risultato finale è stato orientato alla soddisfazione estetica della paziente, senza trascurare la funzione (Fig. 14), con un’integrazione sia con il volto sia con il sorriso (Figg. 15a, 15b, 15c, 15d; Figg. 16a, 16b, 16c).
embedImagecenter("Imagecenter_1_1771",1771, "large");
*Caso vincitore dell’AIOP International Prostodontic Contest 2014. Il caso completo è stato pubblicato sulla rivista J Esthet Restor Dent del 23 aprile 2014; doi: 10.1111/jerd.12104.
Una paziente affetta da amelogenesi imperfetta generalizzata (Figg. 1a, 1b) aveva richiesto in età adulta un trattamento estetico. La paziente ...
La classe II scheletrica rappresenta una malocclusione molto diffusa nella popolazione e può presentarsi con un’ampia varietà di configurazioni dentali ...
La paziente, donna di 54 anni in buono stato di salute, si presenta alla nostra attenzione lamentando gonfiore ricorrente sul palato nella zona del dente ...
HAIPHONG, Vietnam: un nuovo case report mostra i risultati ottenibili con un approccio protesico conservativo in un paziente con un quadro anteriore ...
L’occlusione, l’estetica e l’odontoiatria minimamente invasiva sono i principali argomenti di discussione della moderna odontoiatria.
Da un punto di vista estetico, un impianto malposizionato specialmente nella regione anteriore, porta inevitabilmente alla realizzazione di un lavoro ...
Le tecniche di Odontoiatria e laboratorio Odontotecnico si sono evolute rapidamente negli ultimi anni, tuttavia è ancora difficile stabilire protocolli ...
Il presente lavoro descrive la procedura con laser neodimio Nd:YAG 1064 nm per intervento di perimplantite.
La paziente si è presentata alla mia osservazione chiedendo un miglioramento estetico del viso e del sorriso. Dopo aver raccolto tutti i dati clinici, ...
Nella pratica odontoiatrica comune il clinico è chiamato a trattare anomalie strutturali dello smalto e dentina con esigenze estetiche importanti da parte ...
Dr. Bruce McFarlane Certified Specialist in Orthodontics Fellow: Royal College of Dentists of Canada Diplomate: American Board of Orthodontics
Live webinar
mer. 15 aprile 2026
20:00 (CET) Rome
Live webinar
gio. 16 aprile 2026
2:00 (CET) Rome
Linda Hecker MS, BSDH, RDH
Live webinar
gio. 16 aprile 2026
18:00 (CET) Rome
Dr. Pär-Olov Östman, Dr. Robert Gottlander DDS
Live webinar
ven. 17 aprile 2026
18:00 (CET) Rome
Live webinar
ven. 17 aprile 2026
19:00 (CET) Rome
Dr. Stuart Yeaton BDentSc, MOrth
Live webinar
lun. 20 aprile 2026
19:00 (CET) Rome
Dr. Alberto Monje DDS, MS, PhD
To post a reply please login or register