Il presente lavoro descrive la procedura con laser neodimio Nd:YAG 1064 nm per intervento di perimplantite.
Pretrattamento
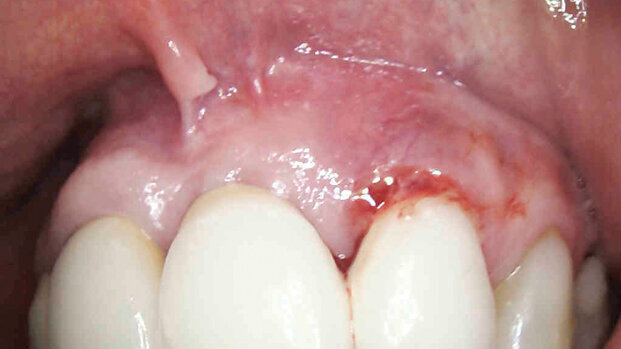
Schema del caso
La paziente, di sesso femminile di 78 anni, riferisce fastidio sulle gengive dei centrali superiori e presenza di sangue sullo spazzolino.
Storia clinica (anamnesi)
Pregresso ictus in terapia con anticoagulanti (cumadin), non beve e non fuma.
Storia medica
All’età di 37 anni, causa incidente automobilistico, ha riportato l’avulsione traumatica dell’elemento 2.1 e frattura dell’elemento 1.1 e 2.2. Il caso clinico fu risolto con un impianto dell’elemento 2.1 e terapia endodontica dell’1.1 e 2.2 e un ponte di tre elementi tra 1.1 e 2.2. A distanza di diversi anni, circa 5 anni fa, il vecchio manufatto protesico è stato sostituito.
Esame obiettivo
Presenza di un ponte sugli elementi 1.1, 2.1, 2.2 il tessuto molle è edematoso, l’esame generale del cavo orale dei tessuti molli e della lingua non presentano anomalie. L’esame parodontale quantifica una sacca di circa 9 mm sia palatalmente sia vestibolarmente sugli elementi 2.1 e 2.2 e una sacca di 5 mm sull’elemento 2.1; è presente sanguinamento e nessuna mobilità del ponte.
Leggi l'articolo completo nella sezione CLINICAL > GENERAL DENTISTRY
Gli odontomi composti sono neoformazioni benigne di origine odontogena localizzate prevalentemente nella parte anteriore del mascellare; compaiono ...
La lingua villosa (LV) è una condizione benigna caratterizzata da un’alterazione di colore e da un aspetto villoso del dorso linguale. La prevalenza di ...
Per ricercare mezzi terapeutici adiuvanti al trattamento delle lesioni parziali del nervo alveolare inferiore in seguito ad inserzione di impianti ...
In studio si presenta una paziente di 37 anni lamentandosi dell’incisivo laterale di destra grigio. Era stata da più dentisti, i quali le avevano ...
Negli ultimi anni è notevolmente aumentata la complessità del processo diagnostico e terapeutico in campo odontoiatrico. Di volta in volta, ...
Negli ultimi anni è notevolmente aumentata la complessità del processo diagnostico e terapeutico in campo odontoiatrico. Di volta in volta, ...
La ceramica al silicato di litio rinforzata con biossido di zirconio (ZLS) è una nuova vetroceramica ad alte prestazioni con caratteristiche ...
Una paziente affetta da amelogenesi imperfetta generalizzata (Figg. 1a, 1b) aveva richiesto in età adulta un trattamento estetico. La paziente ...
Una paziente affetta da amelogenesi imperfetta generalizzata (Figg. 1a, 1b) aveva richiesto in età adulta un trattamento estetico. La paziente ...
Le tecniche di Odontoiatria e laboratorio Odontotecnico si sono evolute rapidamente negli ultimi anni, tuttavia è ancora difficile stabilire protocolli ...
Dr. Bruce McFarlane Certified Specialist in Orthodontics Fellow: Royal College of Dentists of Canada Diplomate: American Board of Orthodontics
Live webinar
mer. 15 aprile 2026
20:00 (CET) Rome
Live webinar
gio. 16 aprile 2026
2:00 (CET) Rome
Linda Hecker MS, BSDH, RDH
Live webinar
gio. 16 aprile 2026
18:00 (CET) Rome
Dr. Pär-Olov Östman, Dr. Robert Gottlander DDS
Live webinar
ven. 17 aprile 2026
18:00 (CET) Rome
Live webinar
ven. 17 aprile 2026
19:00 (CET) Rome
Dr. Stuart Yeaton BDentSc, MOrth
Live webinar
lun. 20 aprile 2026
19:00 (CET) Rome
Dr. Alberto Monje DDS, MS, PhD
To post a reply please login or register