Da un punto di vista estetico, un impianto malposizionato specialmente nella regione anteriore, porta inevitabilmente alla realizzazione di un lavoro protesico insoddisfacente. Poiché l’estetica è un requisito primario, questo errore può essere prevenuto attraverso un’adeguata pianificazione dell’intervento chirurgico.
Non ci si limita pertanto all’esame clinico, importanti sono infatti lo studio dei modelli montati in articolatore, la ceratura diagnostica, le immagini radiografiche (OPT, TAC) l’utilizzo di eventuali guide chirurgiche. Fino a poco tempo fa, la rimozione di un impianto comportava una importante perdita di tessuto osseo e la necessità di procedure di innesto osseo. Tuttavia, i progressi tecnologici hanno portato allo sviluppo di strumenti che facilitano la rimozione dell’impianto attraverso procedure conservative e semplici. Gli innesti gengivali liberi per aumentare la banda di tessuto cheratinizzato sono stati descritti per la prima volta nell’ambito della letteratura parodontale nel 1963 da Bjorn e nel 1966 da Nabers. La sede del prelievo ideale è a livello del palato duro tra la parte ricca di tessuto adiposo e quella ghiandolare, all’incirca in zona premolari. L’immobilizzazione dell’innesto è il requisito necessario per la sopravvivenza dello stesso, inoltre è fondamentale che ci sia un intimo contatto tra l’innesto ed il letto ricevente, poiché l’interposizione sierosa interrompe il supporto nutritivo e provoca la necrosi dell’innesto.
Materiali e metodi
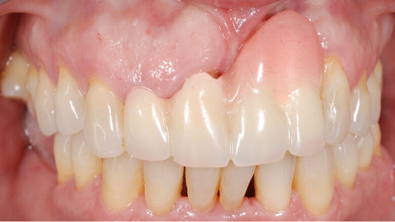
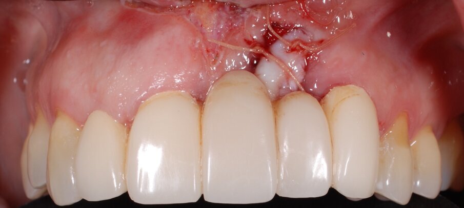
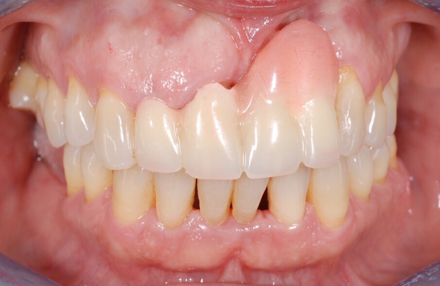
In questo articolo presentiamo un caso clinico che dimostra come il posizionamento improprio di un impianto può rendere impossibile la riabilitazione protesica, che richiede una nuova pianificazione chirurgica e riabilitativa per ottenere l’estetica desiderata. La paziente si presenta alla nostra osservazione con una riabilitazione protesica incongrua, con flangia in resina, a supporto dentale ed implantare, con la presenza di un impianto in posizione 2.1 vestibolarizzato e con l’emergenza nel fornice, in mucosa alveolare. Dalla valutazione della Tac si evince la posizione errata dell’impianto e la perdita consistente in senso trasversale della compagine ossea (Figg. 1, 2). Pertanto si opta per il seguente piano di trattamento che prevede: rimozione dell’impianto e preparazione protesica dell’elemento 2.3, confezionamento di un primo provvisorio a supporto dentale che servirà a guidare la guarigione dei tessuti (Figg. 3-7). A distanza di 4 mesi si procede a un innesto epitelio connettivale libero con prelievo dal palato per compensare il gap dei tessuti molli in senso trasversale, quindi viene ribasato il provvisorio in modo tale da favorire la guarigione dei tessuti (Figg. 8-11). A 9 mesi dalla maturazione dei tessuti si procede alla finalizzazione protesica fissa a supporto dentale (Figg. 12-14).
Fig. 1 - Situazione clinica iniziale.
Fig. 2 - Tac che evidenzia la vestibolarizzazione dell’impianto.
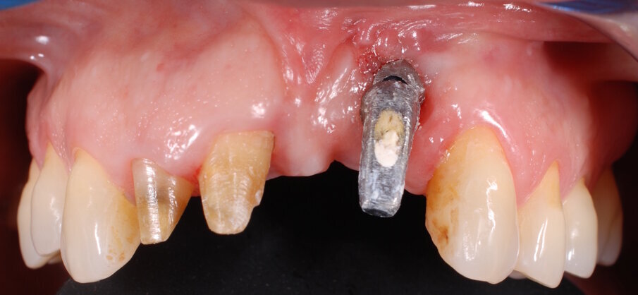
Fig. 3 - Rimozione del manufatto protesico che evidenzia la posizione errata dell’impianto in sede 2.1.
Fig. 4 - Visione occlusale dopo rimozione del manufatto protesico si noti la posizione errata dell’impianto.
Fig. 5 - Rimozione atraumatica dell’impianto con l’utilizzo dello svitatore.
Fig. 6 - Impianto rimosso.
Fig. 7 - Applicazione del provvisorio dopo preparazione protesica del 2.3 e frenulectomia laser.
Fig. 8 - Innesto di epitelio connettivale libero dopo 4 mesi dalla guarigione del sito implantare.
Fig. 9 - Sede del prelievo epitelio connettivale dal palato.
Fig. 10 - Innesto prelevato.
Fig. 11 - Controllo a 3 settimane dall’innesto.
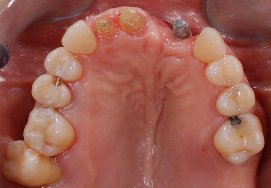
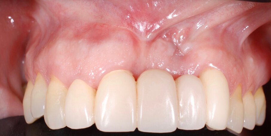
Fig. 12 - Guarigione a 9 mesi.
Fig. 13 - Visione occlusale che evidenzia l’incremento dello spessore dei tessuti molli.
Fig. 14 - Finalizzazione protesica.
Conclusioni
Indipendentemente dalla causa, quando un impianto non è ben posizionato, la riabilitazione protesica potrebbe non essere adeguata dal punto di vista meccanico, funzionale ed estetico. Nel caso qui presentato, era necessaria la rimozione dell’impianto e una nuova pianificazione chirurgica e protesica. Nonostante i limiti estetici della riabilitazione protesica iniziale, considerando che non è stato eseguito alcun innesto di tessuto osseo, senza reinserire l’impianto, ma gestendo adeguatamente i tessuti molli si è riusciti ad ottenere un risultato estetico valido e predicibile nel tempo.
Bibliografia
- Buser D., Martin W., Belser U. C. Optimizing esthetics for implant restorations in the anterior maxilla: anatomic and surgical considerations. International Journal of Oral & Maxillofacial Implants. 2004;19(7):43–61.
- Moráguez O. D., Vailati F., Belser U. C. Malpositioned implants in the anterior maxilla: a novel restorative approach to reestablish peri-implant tissue health and acceptable esthetics. Part II: case report and discussion. Journal of Esthetic Dentistry. 2015;10(4):522–533.
- Jivraj S., Chee W. Treatment planning of implants in the aesthetic zone. British Dental Journal. 2006;201(2):77–89. doi: 10.1038/sj.bdj.4813820.
- Stajčič Z., Stojčev Stajčić L. J., Kalanović M., Đinić A., Divekar N., Rodić M. Removal of dental implants: review of five different techniques. International Journal of Oral & Maxillofacial Surgery. 2016;45(5):641–648. doi: 10.1016/j.ijom.2015.11.003.
- Kim Y., Kim B., Lee H., Hwang J., Yun P. Surgical repositioning of an unrestorable implant using a trephine bur: a case report. International Journal of Periodontics & Restorative Dentistry. 2010;30(2):181–185.
- Jung S.-R., Bashutski J. D., Linebaugh M. L. Application of modified bony lid technique to remove or replace compromised implants: case series. Implant Dentistry. 2013;22(3):206–211. doi: 10.1097/ID. 0b013e31828edced.
- Rumfola J. L., Andreana S., Colucci L., Tsay Y. Restoring unfavorably positioned implants in anterior maxilla: case report. New York State Dental Journal. 2013;79(5):40–44.
- Li C. H., Chou C. T. Bone sparing implant removal without trephine via internal separation of the titanium body with a carbide bur. International Journal of Oral & Maxillofacial Surgery. 2014;43(2):248–250. doi: 10.1016/j.ijom.2013.09.010.
- De Sanctis M., Clementini M.. Flap approaches in plastic periodontal and implant surgery: critical elements in design and execution. J Clin Periodontol. 2014 Apr;41 Suppl 15:S108-22. doi: 10.1111/jcpe.12189. Review.
L'articolo è stato pubblicato su Implant Tribune Italian Edition n. 3/19.
Tag:
Con questo articolo desidero mostrare un caso clinico di gestione dei tessuti molli periimplantari mediante l’associazione di matrice in collagene ...
La gestione del caso implantare in area estetica rappresenta una sfida per l’odontoiatria moderna. I pazienti sono sempre meno disposti ad accettare i...
La malattia parodontale è una malattia multifattoriale causata da un fattore eziologico, la placca batterica, che in presenza di una ...
Le agenesie sono anomalie dentali di numero caratterizzate dal mancato sviluppo di uno o più elementi dentari della serie decidua e/o della serie ...
Lo scopo di questo lavoro è proporre, attraverso la presentazione di un caso clinico, una nuova tecnica rigenerativa di tessuti molli contestualmente...
Il dr. Giovanni Zucchelli è professore all’Università di Bologna in Italia e presidente eletto dell’Accademia Italiana di Osteointegrazione. È ...
Inizia con il 58° Corso Gratuito del 7-8 Marzo 2014 unitamente al 34° Memorial Biaggi la collaborazione di Sweden & Martina con la Fondazione ...
HAIPHONG, Vietnam: un nuovo case report mostra i risultati ottenibili con un approccio protesico conservativo in un paziente con un quadro anteriore ...
Una paziente affetta da amelogenesi imperfetta generalizzata (Figg. 1a, 1b) aveva richiesto in età adulta un trattamento estetico. La paziente ...
Una paziente affetta da amelogenesi imperfetta generalizzata (Figg. 1a, 1b) aveva richiesto in età adulta un trattamento estetico. La paziente ...
Ms. Ellen Karlin, Dr. Sara Karlin
Live webinar
gio. 7 maggio 2026
17:00 (CET) Rome
Live webinar
gio. 7 maggio 2026
18:00 (CET) Rome
Live webinar
gio. 7 maggio 2026
18:00 (CET) Rome
Dra. Maria Carolina Erhardt, Dra. Thais Tomé Feldens
Live webinar
gio. 7 maggio 2026
20:30 (CET) Rome
Live webinar
lun. 11 maggio 2026
18:00 (CET) Rome
Live webinar
lun. 11 maggio 2026
19:00 (CET) Rome
To post a reply please login or register