La paziente, donna di 54 anni in buono stato di salute, si presenta alla nostra attenzione lamentando gonfiore ricorrente sul palato nella zona del dente 1.3 con essudato purulento.
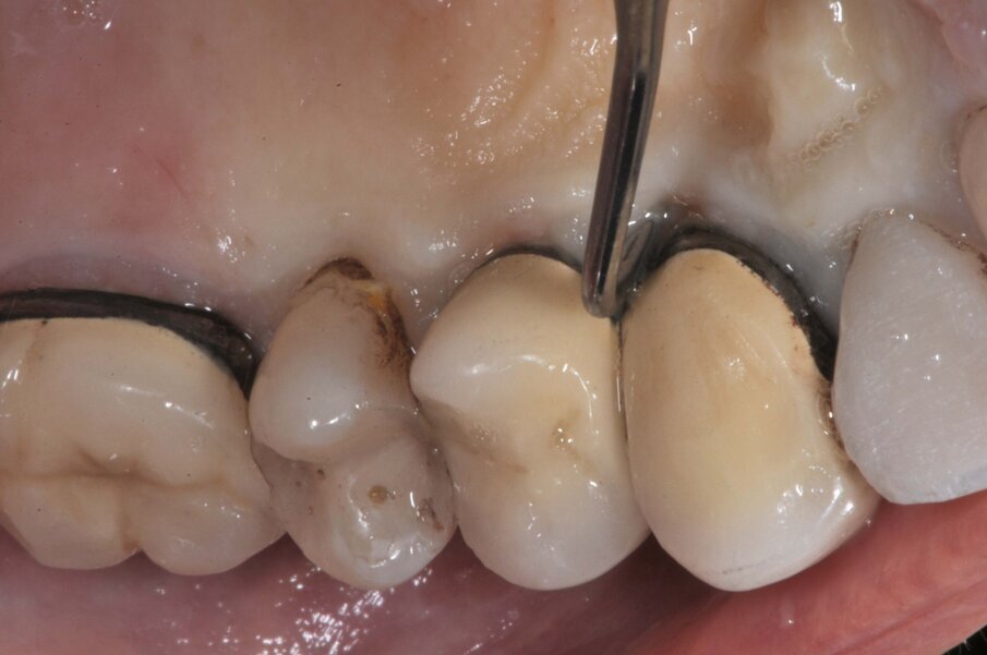
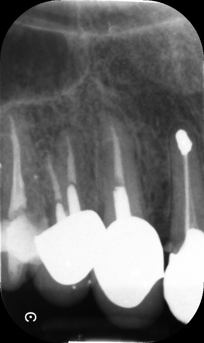
Il dente all’osservazione clinica e radiografica appare devitalizzato e ricostruito per mezzo di una perno moncone fuso e una corona in metallo ceramica collegata ad una corona sul dente 1.4 (Figg. 1, 2). All’esame parodontale si rileva un sondaggio puntiforme in zona palatale che indica la presenza di una frattura radicolare (Fig. 3). La paziente riporta una precedente apicectomia a carico del dente 1.2, come si evince dall’esame come-beam che ne evidenzia gli esiti a carico dell’osso apicale all’elemento 13 (Fig. 4).
Piano di trattamento
Dopo valutazione clinica e radiografica si stabilì il seguente piano di trattamento. Si decise di effettuare l’estrazione dell’elemento compromesso e di aspettare otto settimane per avere la guarigione dei tessuti molli e una parziale rigenerazione dell’osso. Si sarebbe poi inserito un impianto senza applicazione di un provvisorio immediato. Per la fase provvisoria si decise di rimuove la corona sul dente 1.4 di consegnare una corona provvisoria su tale elemento che supportasse l’elemento 1.3 a sbalzo. Il dente 1.4 sarebbe poi stato restaurato per mezzo di una corona assieme all’elemento supportato da impianto.
Fasi del trattamento
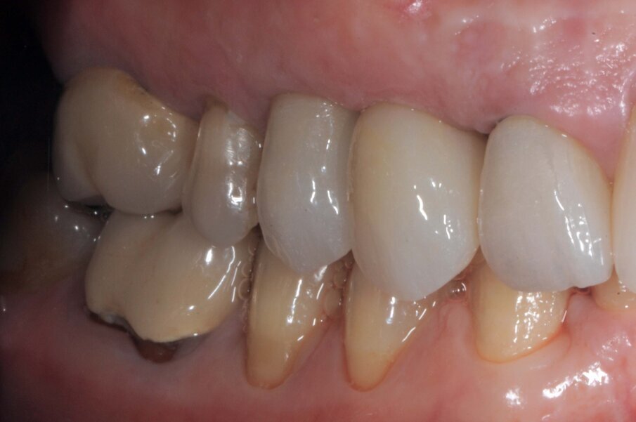
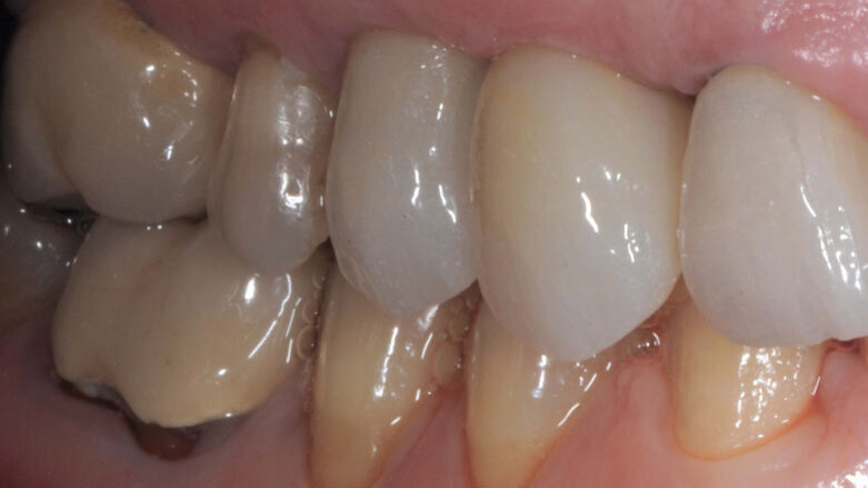
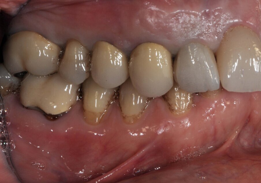
Le corone sui denti 1.3 e 1.4 furono rimosse, il dente 1.3 fu estratto e l’alveolo fu riempito con una membrana di PRGF ottenuta tramite centrifugazione del sangue della paziente con il sistema Endoret e un provvisorio fu consegnato sui denti 1.3 e 1.4 (Fig. 5, 6). Dopo otto settimane fu eseguita una nuova cone-beam e la chirurgia fu pianificata (Fig. 7). Si eseguì un lembo a tutto spessore, fu eseguita l’osteotomia e fu inserito un impianto BTI Core 3.5 × 8.5. Un pilastro Unit fu avvitato e un tappo di guarigione fu applicato. L’osso ottenuto dalla fresatura mescolato con una membrana di PRGF fu applicato sul lato palatale per compensare una piccola deiscenza, una seconda membrana fu applicata sopra l’osso circostante e un innesto di tessuto connettivo prelevato dalla tuberosità fu suturato vestibolarmente per ricreare la bozza canina. Punti di sutura staccati furono eseguiti con un filo in PTFE (Figg. 8-11). Dopo quattro mesi il provvisorio fu rimosso e i tessuti apparivano sani e con un buon spessore di tessuto connettivo vestibolare per garantire la stabilità nel tempo del risultato. Fu eseguita un’impronta con la tecnica del cucchiaio aperto e dopo due settimane furono consegnate una corona in zirconio cementata sul dente 14 ed una avvitata sul denta 1.3. Il profilo di emergenza della corona sull’impianto appariva ideale. Purtroppo, a causa della mancanza del picco osseo sul versante distale del dente 1.2, non si ottenne una papilla di altezza adeguata. Ciononostante la paziente si disse soddisfatta del risultato e rifiutò ulteriori terapie per correggere il difetto residuo (Figg. 12-15).
Conclusioni
La presenza di difetti ossei dopo l’apicectomia eseguita sul dente 1.2 fece decidere di non eseguire un impianto post-estrattivo immediato. La presenza dei difetti ossei e la presenza di cicatrici a carico dei tessuti molli rendeva di difficile esecuzione procedure di GBR che richiedessero il rilascio dei lembi. Si decise pertanto di compensare la perdita di tessuto vestibolare con un innesto di tessuto connettivo. L’inserimento di un impianto di 8,5 mm permise di ottenere un asse di inserzione ideale e di avere il foro di fuoriuscita della vite collocato palatalmente senza il bisogno di correggere l’angolazione. Tutto ci. ha permesso di eseguire procedure chirurgiche e protesiche semplici e ben sopportate dalla paziente e soprattutto di raggiungere un buon risultato estetico e funzionale.
Tag:
Una paziente affetta da amelogenesi imperfetta generalizzata (Figg. 1a, 1b) aveva richiesto in età adulta un trattamento estetico. La paziente ...
Una paziente affetta da amelogenesi imperfetta generalizzata (Figg. 1a, 1b) aveva richiesto in età adulta un trattamento estetico. La paziente ...
Adina, di anni 25, si presenta all’attenzione del nostro team, per un’ipersensibilità e un inestetismo dovuto alla frattura di una ...
Adina, di anni 25, si presenta all’attenzione del nostro team, per un’ipersensibilità e un inestetismo dovuto alla frattura di una ...
L’estetica riveste sempre più una connotazione di armonia ed equilibrio globale, certamente definiti da canoni condivisi e storicamente evolutisi, ma ...
Il tema della medicina estetica all’interno degli studi dentistici continua ad essere tra i più dibattuti in ambito odontoiatrico. In KEY-STONE, abbiamo ...
La classe II scheletrica rappresenta una malocclusione molto diffusa nella popolazione e può presentarsi con un’ampia varietà di configurazioni dentali ...
Oggi siamo al limite di una rivoluzione digitale in odontoiatria. La digitalizzazione offrirà nuovi mezzi per il trattamento dei nostri pazienti. ...
Oggi siamo al limite di una rivoluzione digitale in odontoiatria. La digitalizzazione offrirà nuovi mezzi per il trattamento dei nostri pazienti. ...
Molti sono i fattori che possono essere correlati al riassorbimento apicale delle radici e al loro arrotondamento, tra questi il movimento ortodontico e il ...
Ms. Ellen Karlin, Dr. Sara Karlin
Live webinar
gio. 7 maggio 2026
17:00 (CET) Rome
Live webinar
gio. 7 maggio 2026
18:00 (CET) Rome
Live webinar
gio. 7 maggio 2026
18:00 (CET) Rome
Dra. Maria Carolina Erhardt, Dra. Thais Tomé Feldens
Live webinar
gio. 7 maggio 2026
20:30 (CET) Rome
Live webinar
lun. 11 maggio 2026
18:00 (CET) Rome
Live webinar
lun. 11 maggio 2026
19:00 (CET) Rome
To post a reply please login or register