La perimplantite è una condizione patologica dei tessuti che circondano l’impianto dentale, caratterizzata dall’infiammazione del tessuto connettivo perimplantare e dalla perdita progressiva dell’osso di supporto1. La diagnosi si basa sull’osservazione di sanguinamento al sondaggio, perdita di osso marginale, suppurazione, profondità della tasca al sondaggio (PPD > 5 mm) e presenza di recessione della mucosa2.
La perimplantite colpisce circa il 10% dei pazienti portatori di impianti3. L’obiettivo primario del trattamento è la risoluzione dell’infiammazione dei tessuti molli e, di conseguenza, la prevenzione di un’ulteriore perdita ossea marginale. Oltre alla risoluzione della lesione perimplantare, un risultato auspicabile è la rigenerazione dei tessuti di supporto persi durante la progressione della malattia. La fattibilità di un approccio chirurgico è stata ampiamente dimostrata nella ricerca pre-clinica4-6, e l’efficacia clinica è stata documentata in studi con follow-up a lungo termine7-9. Un approccio rigenerativo nel trattamento dei difetti associati alla perimplantite può essere rilevante non solo per la longevità dell’impianto, ma anche per l’aspetto estetico post-terapia.
Obiettivi
Lo scopo del seguente caso clinico è quello di descrivere/presentare una nuova tecnica rigenerativa, la “Collagen-Ring Technique”, basata sull’uso di una matrice in collagene volumetricamente stabile (Geistlich Fibro-Gide, Geistlich Pharma) in associazione con un gel viscoelastico a base di polinucleotidi e acido ialuronico (REGENFAST, Officine Biofarmaceutiche Mastelli, Sanremo, Italia), per il trattamento di una doppia perimplantite nella mandibola.
Descrizione del caso
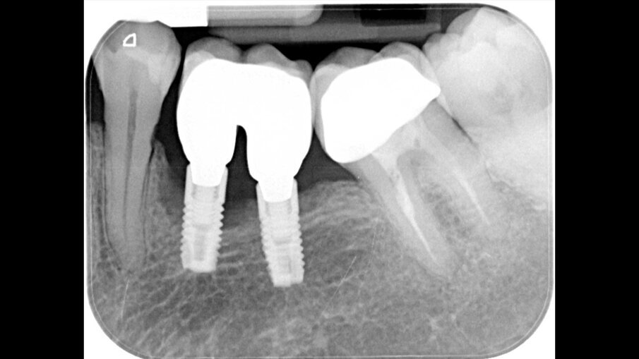
Un paziente di 47 anni, non fumatore e in buono stato di salute, all’esame clinico presenta una perimplantite diagnosticata dopo 7 anni di carico a livello degli impianti 3.5 e 3.6, con un sondaggio di 8 mm sull’aspetto mesiale dell’impianto 3.5 e di 4,5 mm sull’aspetto distale del 3.6. La radiografia conferma la perdita ossea attorno all’impianto distale e ancora più evidente a livello dell’impianto mesiale (Fig. 1). Si decide di trattare il caso chirurgicamente decontaminando la zona affetta, utilizzando il gel REGENFAST per potenziare il trofismo topico e inserendo la matrice Geistlich Fibro-Gide a sostegno dei tessuti molli coronali. Si procede con il trattamento chirurgico, esponendo il difetto per rimuovere il tessuto di granulazione (Fig. 2). La superficie implantare esposta è ulteriormente ripulita con ultrasuoni, spazzolino in titanio, passando all’interno delle spire e risciacquando con soluzione fisiologica e garze sterili (Fig. 3). Successivamente, il gel REGENFAST è dosato e posizionato direttamente all’interno del difetto perimplantare mediante spatolina o puntale (Fig. 4). La matrice Geistlich Fibro-Gide è ritagliata in modalità “Collagen-Ring” affinché possa essere posizionata attorno al collare implantare, sostenendo i tessuti molli che non collasseranno all’interno del difetto (Fig. 5). La matrice, grazie all’elevata porosità è completamente permeata di sangue permettendo la stabilizzazione del coagulo. La matrice viene ulteriormente imbevuta di gel REGENFAST così da potenziare i fisiologici processi rigenerativi (Fig. 6).
Fig. 1 - Radiografia iniziale che evidenzia la perimplantite in zona 3.5 e 3.6.
Fig. 2 - Esposizione del difetto e rimozione del tessuto di granulazione.
Fig. 3 - Decontaminazione della superficie perimplantare.
Fig. 4 - Il gel REGENFAST è dosato e posizionato direttamente all’interno del difetto perimplantare mediante spatolina o puntale.
Fig. 5 - La matrice Geistlich Fibro-Gide è sagomata secondo la “Collagen-Ring Technique”.
Fig. 6 - La matrice Geistlich Fibro-Gide è posizionata attorno ai collari implantari e imbevuta di gel REGENFAST.
Risultati
Dopo 3 mesi i tessuti molli appaiono sani e senza segni di infiammazione, con un adeguato tragitto transmucoso (Figg. 7, 8). Alla visita di follow-up a 1 anno il paziente presenta una risoluzione della malattia perimplantare e l’esame radiografico conferma il riempimento del difetto angolare (Fig. 9).
Fig. 7 - Aspetto clinico dei tessuti a 3 mesi dal trattamento.
Fig. 8 - Aspetto clinico del tragitto transmucoso a 3 mesi dal trattamento.
Fig. 9 - La radiografia di controllo ad un anno dal trattamento evidenzia il riempimento del difetto angolare.
Conclusioni
La perimplantite è una condizione molto frequente nella popolazione. Una diagnosi precoce e corretta è fondamentale per trattare con successo questa condizione patologica. Il presente caso clinico descrive il trattamento chirurgico di una doppia perimplantite con “Collagen-Ring Technique” e gel a base di polinucleotidi e acido ialuronico. La “Collagen-Ring Technique” con la matrice Geistlich Fibro-Gide è stata ideata per sostenere i tessuti molli sopracrestali nei siti trattati per la perimplantite, così da evitare il parziale collasso apicale degli stessi. In questo modo si protegge la parte coronale del difetto e si riduce il rischio di ri-contaminazione. L’utilizzo di REGENFAST a sostegno della “Collagen-Ring Technique” ha permesso di Biorigenerare, ovvero di ottimizzare la rigenerazione ossea all’interno del difetto: a distanza di un anno, infatti, si apprezza chiaramente il riempimento del difetto a livello radiografico.
Bibliografia
- Schwarz F., Derks J., Monje A., & Wang H.-L. (2018). Peri-implantitis. Journal of Clinical Periodontology, 45(6), S246–S266. https://doi. org/10.1111/jcpe.12954.
- Heitz-Mayfield LJ. Peri-implant diseases: diagnosis and risk indicators. (2008). J Clin Periodontol. Sep;35(8 Suppl):292-304. doi: 10.1111/j.1600-051X.2008.01275.x.
- Derks J., Schaller D., Håkansson J., Wennström J. L., Tomasi C., & Berglundh T. (2016). Peri-implantitis - onset and pattern of progres- sion. Journal of Clinical Periodontology, 43(4), 383–388. https://doi. org/10.1111/jcpe.12535.
- Albouy J. P., Abrahamsson I., Persson L. G., & Berglundh T. (2011). Implant surface characteristics influence the outcome of treatment of peri-implantitis: An experimental study in dogs. Journal of Clinical Periodontology, 38(1), 58–64. https://doi. org/10.1111/j.1600-051X.2010.01631.x.
- Carcuac O., Abrahamsson I., Charalampakis G., & Berglundh T. (2015). The effect of the local use of chlorhexidine in surgi- cal treatment of experimental peri-implantitis in dogs. Journal of Clinical Periodontology, 42(2), 196–203. https://doi.org/10.1111/ jcpe.12332.
- Persson L. G., Araújo M. G., Berglundh T., Gröndahl K., & Lindhe J. (1999). Resolution of peri-implantitis following treatment. An experi- mental study in the dog. Clin Oral Implants Res, 10(3), 195–203.
- Berglundh T., Wennström J. L., & Lindhe J. (2018). Long-term outcome of surgical treatment of peri-implantitis. A 2-11-year retrospective study. Clinical Oral Implants Research, 29(4), 404–410. https://doi. org/10.1111/clr.13138.
- Roccuzzo M., Fierravanti L., Pittoni D., Dalmasso P., & Roccuzzo A. (2020). Implant survival after surgical treatment of peri-implantitis lesions by means of deproteinized bovine bone mineral with 10% collagen: 10-year results from a prospective study. Clinical Oral Implants Research, 31(8), 768–776. https://doi.org/10.1111/clr.13628.
- Schwarz F., John G., Schmucker A., Sahm N., & Becker J. (2017). Combined surgical therapy of advanced peri-implantitis evaluating two methods of surface decontamination: A 7-year follow-up obser- vation. Journal of Clinical Periodontology, 44(3), 337–342. https://doi. org/10.1111/jcpe.12648.
L'articolo è stato pubblicato su Implant Tribune Italian Edition n. 3/23.
Tag:
Gli impianti dentali rappresentano una delle opzioni più efficaci per il trattamento dell’edentulia, parziale o totale, consentendo la riabilitazione ...
La parodontite aggressiva è stata definita come un tipo specifico di parodontite nel 1999, durante l’International Workshop, ed è stata ...
La paziente si presenta in visita lamentando mobilità e l’insorgenza di un dolore alla masticazione a carico dell’elemento 25. Clinicamente ...
La perimplantite è un processo infiammatorio, che colpisce i tessuti intorno all’impianto osteointegrato portando ad una perdita ossea periimplantare. ...
Il controllo meccanico del biofilm è considerato lo standard di cura per le patologie peri-implantari. L’applicazione aggiuntiva di antisettici locali ...
Il presente lavoro descrive la procedura con laser neodimio Nd:YAG 1064 nm per intervento di perimplantite.
Una delle problematiche cliniche più difficoltose da affrontare è l’atrofia della mandibola posteriore in quanto, in seguito alla ...
I problemi di origine infiammatoria che attaccano gli impianti vengono distinti in letteratura come mucosite perimplantare, lesione infiammatoria ...
La perimplantite è un processo infiammatorio che colpisce i tessuti che circondano un impianto dentale osteointegrato. È caratterizzata da infiammazione ...
I pazienti con protesi fisse sottoforma di ponti estesi spesso desiderano optare per una soluzione fissa, anche quando vengono persi i pilastri distali del ...
Live webinar
mer. 15 aprile 2026
20:00 (CET) Rome
Live webinar
gio. 16 aprile 2026
2:00 (CET) Rome
Linda Hecker MS, BSDH, RDH
Live webinar
gio. 16 aprile 2026
18:00 (CET) Rome
Dr. Pär-Olov Östman, Dr. Robert Gottlander DDS
Live webinar
ven. 17 aprile 2026
18:00 (CET) Rome
Live webinar
ven. 17 aprile 2026
19:00 (CET) Rome
Dr. Stuart Yeaton BDentSc, MOrth
Live webinar
lun. 20 aprile 2026
19:00 (CET) Rome
Dr. Alberto Monje DDS, MS, PhD
Live webinar
mer. 22 aprile 2026
17:00 (CET) Rome
MDT Andreas Chatzimpatzakis
To post a reply please login or register