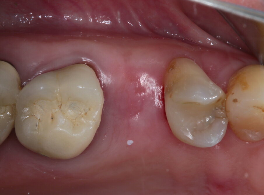
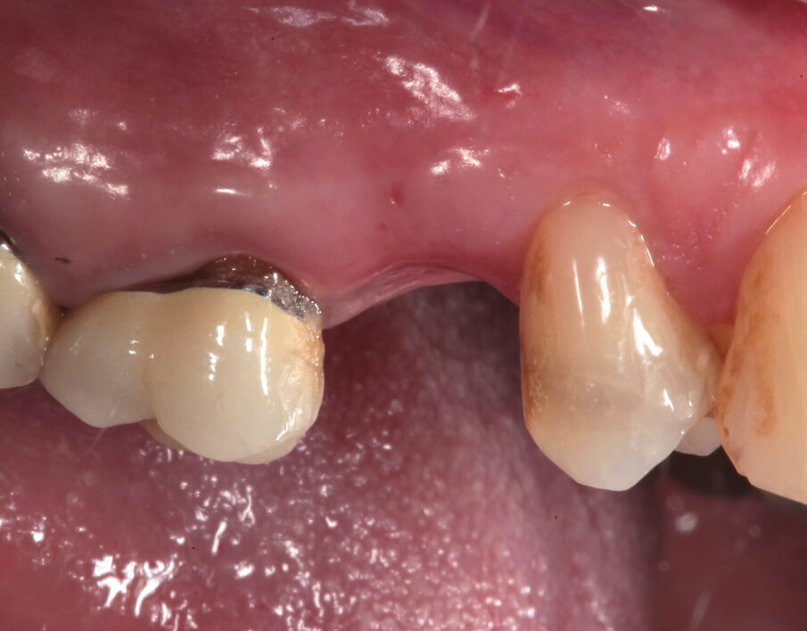
La paziente si presenta in visita lamentando mobilità e l’insorgenza di un dolore alla masticazione a carico dell’elemento 25. Clinicamente l’elemento presenta una corona in ceramica integrale realizzata anni prima (non ricorda quanti) presso altra sede, mobilità di II grado e sondaggio di 9 mm sul versante palatale.
Si presenta inoltre dolente alla percussione. Si riscontra anche l’assenza di risposta al test di vitalità dell’elemento 24, sul quale la paziente riferisce sia stata effettuata una medicazione endodontica da un collega come tentativo di risolvere la sintomatologia dolorosa a carico dell’elemento 25 (Figg. 1-3).
Materiali e metodi
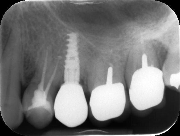
Si effettua prima una lastra endorale e in seguito una CBCT dell’elemento per valutare le possibilità di ritrattamento endodontico e la morfologia del difetto osseo, dalle quali si evince come le corticali appaiono essere mantenute ma che la porzione midollare dell’osso alveolare risulti completamente riassorbita. Gli elementi 26 e 27 presentano terapie endodontiche incongrue ma essendo asintomatici e privi di lesioni periapicali si sceglie insieme alla paziente di tenerli monitorati (Figg. 4, 5).
Il piano di trattamento prevede quindi l’estrazione del 25 giudicato non mantenibile, la preservazione dell’alveolo post estrattivo, l’inserimento differito di un impianto e il suo carico una volta terminato il processo di osteointegrazione. Per quanto riguarda l’elemento 24, si programma la terapia endodontica e la successiva ricostruzione diretta. Viene effettuata un’estrazione atraumatica del 25, la rimozione del tessuto infiammatorio periapicale e il posizionamento di un sostituto osseo addizionato con acido ialuronico reticolato ad alto peso molecolare (HyaDENT BG) al fine di ottenere una più rapida stabilizzazione del coagulo ed una buona stabilità dell’innesto, determinanti per il mantenimento del volume ottimale. Questo viene poi coperto con una membrana di collagene suino imbustata al di sotto dei tessuti vestibolari e palatali (Figg. 6-10).
L’acido ialuronico reticolato xHyA nel processo di rigenerazione ossea
Diversi studi dimostrano che l’acido ialuronico sostiene ed accelera il processo di guarigione post-chirurgica e la neoformazione di tessuto osseo1,2,3,4. Inoltre, altri studi specifici in vitro, documentano che è principalmente la formulazione di acido ialuronico ad alto peso molecolare a promuovere lo sviluppo di formazione ossea5. La potenzialità di rigenerazione tissutale quindi dei tessuti molli e duri è stata confermata dallo studio della Prof.ssa MB Asparuhova, Prof Anton Sculean, Prof. Daniel Buser et al. dove sono stati analizzati i principi biologici di questa specifica formulazione di acido ialuronico reticolato ad alto peso molecolare xHyA.
L’acido ialuronico xHyA induce la proliferazione e la migrazione cellulare, incluse le cellule osteoprogenitrici, preservandone l’indirizzo genetico. L’acido ialuronico reticolato ad alto peso molecolare è quindi in grado di regolare l’equilibrio tra autorinnovamento e differenziazione durante il processo di rigenerazione tissutale inclusa quella ossea6. Alla paziente viene consegnato un provvisorio rimovibile per i 6 mesi di attesa prima dell’inserimento implantare.
Dalla CBCT preoperatoria, osserviamo che, nonostante un prevedibile ma leggero riassorbimento della corticale esterna, l’ampiezza dell’osso mantenuto è assolutamente sufficiente a posizionare un impianto (Fig. 11). Al momento della chirurgia, è possibile notare come i tessuti siano assolutamente privi di infiammazione e il volume sembra mantenuto, a parte per una leggera concavità sul versante vestibolare, che andremo a compensare con lo spessore dei tessuti molli (Figg. 12, 13).
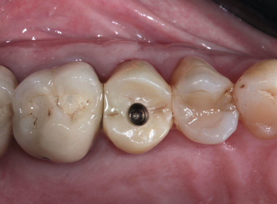
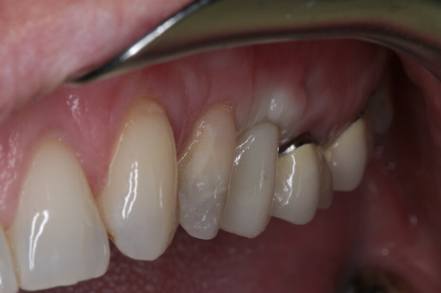
Viene disegnato un roll flap, posizionato l’impianto tramite una mascherina di guida per la fresa pilota ottenuta tramite stampa 3D, inserita una vite di guarigione transmucosa e suturato il lembo. Dalle immagini intraoperatorie si può notare come la scelta di materiale a rapido riassorbimento abbia permesso l’ottenimento di un osso vitale, sanguinante e con la quasi totale assenza di particelle di biomateriale ancora presenti. L’imprecisione nella sutura della porzione distale del lembo genererà uno spessore maggiorato del connettivo in quella zona, che avrà come effetto un piccolo inestetismo che tuttavia la paziente non nota e che non intende correggere (Figg. 14-17). Al termine dei 4 mesi necessari al completamento del processo di osteointegrazione, viene inserito un provvisorio avvitato con il quale inizia il condizionamento dei tessuti perimplantari.
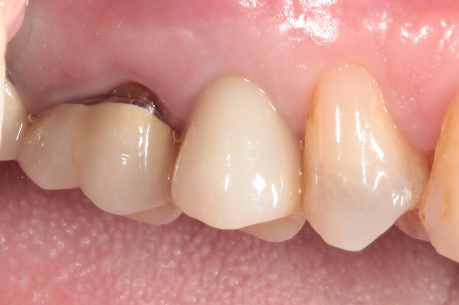
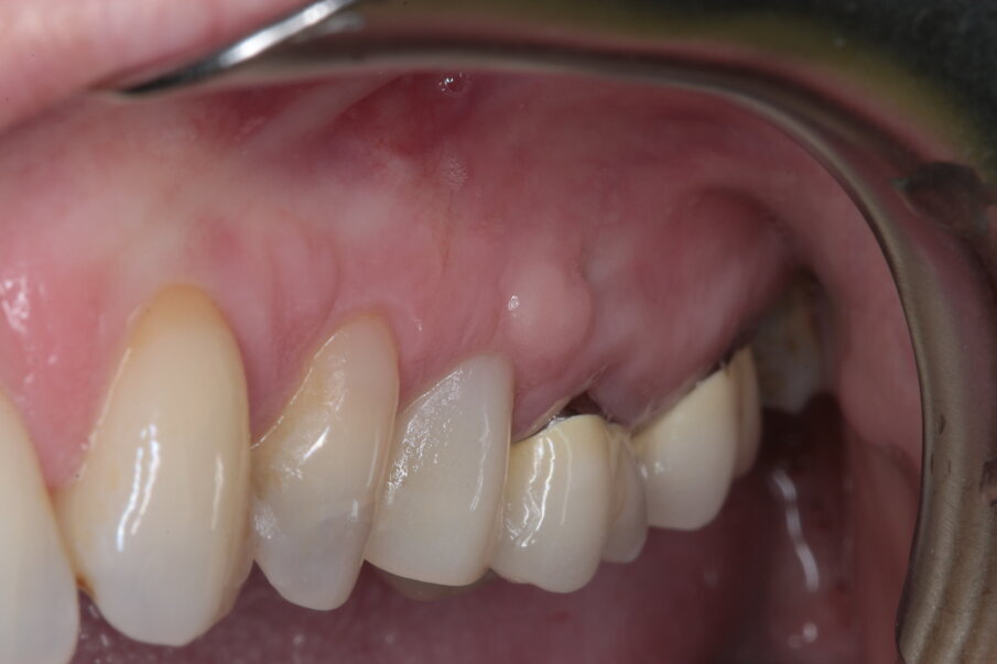
Nelle prime fasi questo avrà un profilo ovviamente non compatibile con quello di un restauro definitivo, ma molto utile per ottenere una compressione sul connettivo ormai maturo che migrerà verso vestibolare e verso coronale (Figg. 18-21). Dopo tre mesi, nei quali il provvisorio viene progressivamente ridotto nella sua componente vestibolare seguendo la risposta dei tessuti, e la paziente costantemente monitorata nel mantenimento della sua igiene orale, viene rilevata l’impronta tramite scanner ottico (Figg. 22-24) e consegnato il definitivo avvitato in zirconia, con un profilo ancora più ridotto e a questo punto ideale anche per il mantenimento igienico (Figg. 25-28).
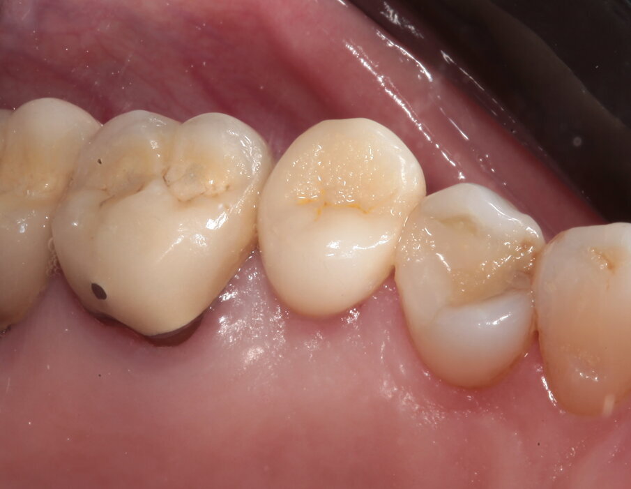
Al controllo clinico e radiografico dei tessuti ai sei mesi dalla consegna, è evidente come il manufatto protesico si sia completamente integrato e la risposta dei tessuti duri e molli sia eccellente (Figg. 29-31).
Nota editoriale:
Bibliografia
- Stiller M et al. Performance of β-tricalcium phosphate granules and putty, bone grafting materials after bilaterla sinus floor augmentation in humans. Biomaterials 2014;35(10):3154-3163.
- Muzaffer A. et al. The Effect of Hyaluronic Acid-supplemented Bone Graft in Bone Healing: Experimental Study in Rabbits. J Biomater Appl 2006. 20:209.
- Sasaki et al. Stimulation of Osteoinduction in Bone Wound Healing by High-Molecular Hyaluronic Acid in Bone. Bone Vol. 16. No.1 January 1995:9-15.
- Mendes RM et al. “Sodium hyaluronata accelerates the healing process in tooth socket of ratArch. Oral Biol 2008; 53:1155-1162.
- Zhao N et al. ‘Effect of molecular weight and concentration of hyaluronan on cell proliferation and osteogenic differentiation in vitro’ Biochemical and Biophysical Research Communications, 465 (2015) 569-465 (2015) 569-574.
- Asparuhova, M.B et al. Role of hyaluronan in regulating self-renewal and osteogenic differentiation of mesenchymal stromal cells and pre-osteoblasts. Clin Oral Invest 24, 3923–3937 (2020).
Tag:
Gli impianti endossei sono considerati una delle opzioni principali per la riabilitazione protesica dei settori edentuli, in particolare nella regione ...
Introduzione
Per diversi decenni, gli impianti dentali sono stati ampiamente utilizzati nella pratica clinica per le riabilitazioni di edentule singole e ...
Alla luce della letteratura scientifica riguardo al trattamento endodontico, non risulta inappropriato che il restauro del complesso endocoronale debba ...
Molti pazienti richiedono il restauro dei settori posteriori-superiori con impianti dentali. Purtroppo molti di essi rinunciano al trattamento perché ...
La sostituzione di uno o più elementi dentari giudicati non recuperabili con impianti endossei costituisce una pratica chirurgica ampiamente diffusa e ...
Il miglioramento delle condizioni di vita nel mondo occidentale e i progressi della medicina hanno contribuito ad aumentare l’età media della ...
Il miglioramento delle condizioni di vita nel mondo occidentale e i progressi della medicina hanno contribuito ad aumentare l’età media della ...
La perimplantite è una condizione patologica dei tessuti che circondano l’impianto dentale, caratterizzata dall’infiammazione del tessuto connettivo ...
Il presente lavoro descrive una riabilitazione implanto-protesica mediante utilizzo di short implants con tecnica minimamente invasiva, in un caso di ...
L’avvento di sempre più performanti superfici implantari, legato all’acquisizione di micro e macro morfologie delle fixtures, ha ...
Live webinar
dom. 3 maggio 2026
18:00 (CET) Rome
Dr. Rickard Brånemark MSc, MD, PhD, Dr. Robert Gottlander DDS
Live webinar
lun. 4 maggio 2026
2:00 (CET) Rome
Live webinar
mar. 5 maggio 2026
16:00 (CET) Rome
Live webinar
mar. 5 maggio 2026
18:00 (CET) Rome
Live webinar
mar. 5 maggio 2026
19:00 (CET) Rome
Dr. Maximilian Dobbertin M.Sc
Live webinar
mar. 5 maggio 2026
21:00 (CET) Rome
Live webinar
mer. 6 maggio 2026
19:00 (CET) Rome
To post a reply please login or register