I problemi di origine infiammatoria che attaccano gli impianti vengono distinti in letteratura come mucosite perimplantare, lesione infiammatoria reversibile dei tessuti limitrofi di un impianto funzionante, senza perdita di tessuto osseo e perimplantite intesa come una lesione infiammatoria irreversibile, caratterizzata dalla perdita di tessuto osseo intorno a un impianto precedentemente osteoinegrato1; da un punto di vista istopatologico tale situazione è caratterizzata da un’intensa reazione infiammatoria nel connettivo perimplantare che si associa a essudato purulento, detriti cellulari e presenza di placca sull’impianto2.
Cosi come spesso sono discordanti i pareri sulla definizione della perimplantite lo sono anche per quanto riguarda il trattamento e il mantenimento3, 4. In letteratura la terapia della problematica implantare viene suddivisa in tecnica chirurgica e non chirurgica e, in particolare, la seconda viene anche usata come preparatoria alla prima5-7.
Tra le tecniche non chirurgiche di pertinenza dell’igienista dentale vi è l’utilizzo di antibiotici e/o antisettici con applicazione topica. L’antisettico con la maggiore letteratura a supporto è palesemente la clorexidina, essa viene usata in diverse forme e concentrazioni all’interno della tasca sempre dopo la rimozione manuale o ultrasonica della placca batterica; tuttavia come ormai è noto che la suddetta clorexidina ha delle controindicazioni e degli effetti collaterali come pigmentazioni e disgeusie che non tutti i pazienti sono in grado di accettare, e, sopratutto, ponendo lo sguardo al futuro della nostra professione lo sviluppo di resistenza batteriche8; in oltre alcune tipologie di pazienti non possono essere trattati con questa molecola per problemi di allergie9, 10.
L’argomento delle allergie o intolleranze alla clorexidina è un vero e proprio problema sempre più frequente che complica ma soprattutto complicherà il nostro lavoro, dato che le aziende farmaceutiche hanno dichiarato che non verranno sintetizzate nuove molecole antibiotiche per almeno una decina di anni, e che i dati riportati dalla WHO dimostrano che in molti paesi esistono già resistenze con percentuali importanti anche in Italia11. Pertanto occorre trovare nel breve periodo alternative efficaci alla suddetta molecola.
Ozono terapia
L’ozono è un gas composto da tre atomi di ossigeno ed è presente naturalmente nello strato superiore dell’atmosfera. Ha la capacità di assorbire i raggi ultravioletti dannosi presenti nello spettro luminoso del sole filtrandoli e proteggendo le creature viventi dai raggi ultravioletti12.
L’ozono è un gas instabile composto da 3 atomi di ossigeno che rapidamente rinuncia alla molecola di ossigeno nascente per formare ossigeno singoletto. È stato introdotto in medicina per la capacità di uccidere batteri, funghi, inattivare i virus e controllare le emorragie.
L’ozono terapia è un trattamento inserito nei protocolli odontoiatrici di recente e trova molte applicazioni come lo sbiancamento dentale, terapie canalari, desensibilizzazione dentinale e il trattamento di alcune infiammazioni del tessuti molli13. In particolare se si parla di mantenimento di impianti o di trattamenti parodontali svolge un ruolo fondamentale la capacita di decontaminazione propria dell’ozono.
Alcuni studi hanno dimostrato che il 99% di tutti i batteri che causano problemi parodontali vengono eliminati con 10 secondi di trattamento ad O3; pertanto, il suo utilizzo riduce la durata del trattamento ed essendo indolore aumenta l’accettabilità e la compliance dei pazienti14.
Dati del paziente
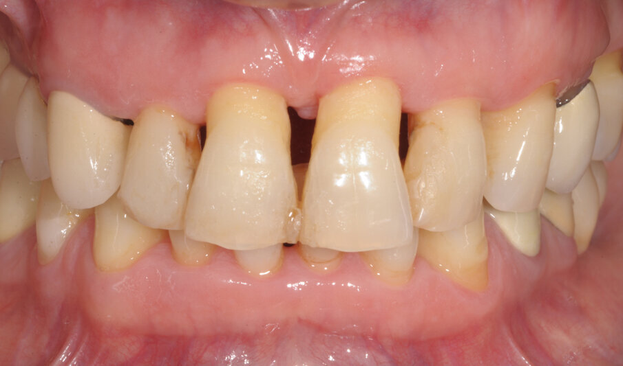
Paziente di sesso femminile, 56 anni, affetta da malattia parodontale cronica con annessa perimplantite in zona 36. La paziente è allergica alla clorexidina ed in oltre riferisce una non tolleranza ideologica per le cure chimico-farmacologiche in genere.
Materiali e metodi
Si sceglie di applicare ozono come supporto alla terapia non chirurgica utilizzando il protocollo dell’Istituto Stomatologico Toscano consistente in 2 applicazioni a settimana per i primi 15 gg e una applicazione a settimana per i successivi 15 gg, timing 1 min/cm2.
Protocollo operativo dell’Istituto Stomatologico Toscano
Prima fase
La paziente è stata trattata con protocollo Full mouth disinfection e nello specifico dell’impianto affetto da perimplantite in zona 36, è stata effettuata nella seduta operativa una strumentazione ultrasonica con inserto in PEEK per la rimozione del biofilm e delle concrezioni minerali. In seguito il sito è stato sottoposto a perio polishing con glicina e irrigazione della tasca perimplantare con H2O2. Successivamente è stata eseguita la prima applicazione di ozono.
Seconda fase (da 0 a 15 giorni)
Il paziente viene visto per 2 volte a settimana e la seduta viene eseguita con una rimozione meccanica del biofilm tramite utilizzo di polveri di glicina, lavaggio con H2O2 e successiva applicazione di ozono con tecnica prima descritta.
Terza fase (da 15 a 30 giorni)
La paziente viene sottoposta alla medesima seduta fatta nei primi 15 giorni con variazione nella frequenza portata ad 1 applicazione per settimana (Figg. 1-6).
Protocollo di mantenimento domiciliare
Il paziente è stato debitamente istruito alle manovre di igiene orale domiciliare, da effettuarsi 2 volte/die. Il protocollo prevede l’utilizzo di spazzolino a tecnologia sonica Philips Sonicare in combinata a un gel ozonizzato al 15% Ozoral. Come dimostrato lo spazzolino sonico è in grado di veicolare il fluido con cui viene a contatto a qualche millimetro di distanza (azione fluidodinamica)15, aumentando così la diffusione del principio attivo all’interno del sito perimplantare. Inoltre l’effetto cavitazionale della setole si presume possa dare attuazione al gas ozono contenuto nel gel.
Risultati
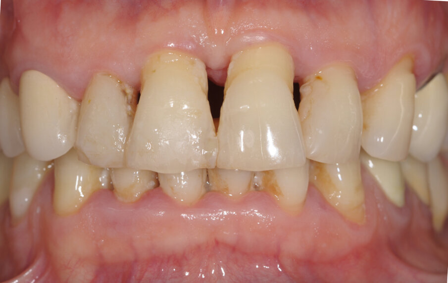
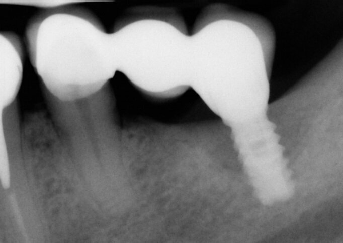
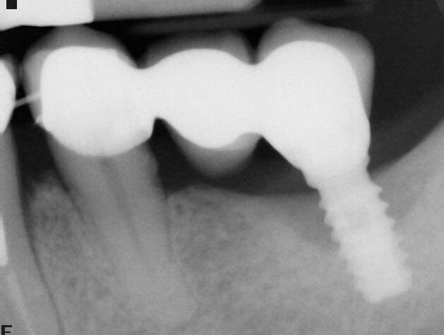
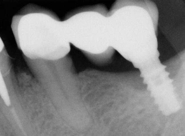
A termine del trattamento descritto in precedenza da un punto di vista clinico abbiamo ottenuto un ripristino dei parametri di salute dell’impianto ovvero la scomparsa del sanguinamento dell’edema e della purulenza, in oltre si è verificata una riepitelizzazione dei tessuti molli limitrofi l’impianto. Da un punto di vista radiografico abbiamo ottenuto la neoformazione di osso attorno alle spire dell’impianto (con relativo aumento della stabilità) che a inizio terapia era da considerarsi potenzialmente come perso. La radiografia a 60 gg prima ed a 1 anno mostrano quanto prima descritto, ovvero un ripopolamento di componenti cellulari ossei sull’impianto con un recupero di 3 spire implantari (Figg. 7-9).
Conclusioni
In base a quello che questo caso e la letteratura scientifica ci dicono possiamo affermare che l’ozono terapia non solo può essere utilizzata in caso di problematiche implantari/parodontali complesse e compromesse, ma che può addirittura essere considerata come strumento valido per la risoluzione e il mantenimento di tali situazioni; in oltre questo trattamento offre vantaggi all’operatore e al paziente per quanto riguarda la compliance e la durata di situazioni cliniche che difficilmente vengono risolte in modo non chiurgico e senza l’impiego di terapie antibiotiche sistemiche.
L’ozono terapia è da considerarsi come un’alternativa a prodotti chimici e farmacologici che non sempre possono essere utilizzati sui pazienti; e in fine come gli articoli scientifici riportano il trattamento ozono terapico porta a neoformazione di tessuto osseo diventando determinante per il successo e il mantenimento di situazioni implantari che altrimenti porterebbero alla perdita del supporto implantare e alla rimozione dello stesso.
Bigliografia
- Lang N, P Bosshardt DD, Lulic M. Do mucositis lesions; 3. around implants differ from gingivitis lesions around teeth. J Clin Periodontol, 2011.
- Mombelli A, Dècaillet ,F Almaghlouth A, Wick P, Cionca N. Efficient, minimally invasive periodontal therapy. An L. evidence based treatment concept, Schweiz Monatsschr Zahnmed, 2011.
- Hein-Mayfield LJ, Salvi GE, Botticelli D, Mombelli A, Paddy M, Lang NP; Implant Complication Research Group. Anti infective Treatment of Peri-implant Mucosìtis: a Randomised Control led Clinical Trial. Clin Oral Implants, 2011.
- Hallstròm H, Persson GR, Lindgren S, Olofsson M, Renvert S. Systemic Antibiotics and Debridement of Peri-implant Mucositis. A Randomized Clinical Trial. J. Clin Periodontol, 2012.
- Mombelli A, Lang NP. The Diagnosis and Treatment of Peri-implantitis. Periodontol 2000:17:63-76, 1998.
- Becker W, Becker BE, Newman MG, Nyman S. Clinical and Microbiologic Findings that May Contribute to Dental lmplant Failure. Int J. Oral Maxillofac Implants;5(1):31-8. 1990.
- Leonhardt A, Dahlén G, Renvert S. Five-year Clinical, Microbiological, and Radiological Outcome Following Treatment of Peri-implantitis in Man. J. Periodontol;74(10):1415-22, 2003.
- Matthew E Wand, Lucy J Bock, Laura C Bonney and J Mark Sutton. Mechanisms of increased resistance to chlorhexidine and cross-resistance to colistin following exposure of Klebsiella pneumoniae clinical isolates to chlorhexidine, 2016.
- André Koch and Uwe Wollina Chlorhexidine allergy, 2014.
- Beaudouin E, Kanny G, Morisset M, Renaudin JM, Mertes M, Laxenaire MC, Mouton C, Jacson F, Moneret-Vautrin DA Immediate hypersensitivity to chlorhexidine: literature review, 2004.
- Neu, Harold C. “The crisis in antibiotic resistance” Science, vol. 257, no. 5073, 1992, p. 1064+. Academic OneFile, Accessed 14 Sept. 2017.
- Nagayoshi M, Kitamura C, Fukuzumi T, Nishihara T. Antimicrobial effect of ozonated water on bacteria invading dentinal tubules. J. Endod. 30:778-781, 2004.
- Bogra P, Nikhil V. Ozone therapy for dental caries – A revolutionary treatment for future. JIDA 74:41-45, 2003.
- Lynch E, Holmes, Steier L, Megighian G (2004). Integration into general dental practice. Successful treatment of Caries using the HealOzone. Part 1. Dent. Horizons 2:23-27, 2004.
- De Jager M, Rmaile A, Darch O, Bikker JW. The Effectiveness of Manual versus High-Frequency, High-Amplitude Sonic Powered Toothbrushes for Oral Health: A Meta-Analysis. J Clin Dent. 2017 Mar;28(1 Spec No A):A13-28.
L'articolo è stato pubblicato su Hygiene Tribune aprile 2018.
Tag:
Le perimplantiti e la loro gestione, come dimostrato dai più recenti lavori pubblicati in letteratura e dalle relative revisioni, si configurano come...
L’approccio al paziente adulto è sempre di difficile gestione e pianificazione. A volte per poter risolvere gravi affollamenti si ritiene necessario ...
Trials clinici hanno dimostrato che il fallimento implantare non è ascrivibile solamente a un sovraccarico funzionale. Nella maggior parte dei casi ...
La moderna implantologia ha raggiunto un elevato grado di affidabilità e i livelli di sopravvivenza riportati in letteratura risultano estremamente ...
FILADELFIA, USA: la malattia parodontale colpisce quasi il 60% degli adulti di età superiore ai 65 anni e comporta un onere considerevole dal punto di ...
Con l'inizio del Nuovo Anno i Dentisti Italiani hanno avuto una bella sorpresa. Il giorno dell'epifania hanno ricevuto dalla Befana una calza piena di ...
La perimplantite è un processo infiammatorio che colpisce i tessuti che circondano un impianto dentale osteointegrato. È caratterizzata da infiammazione ...
Gli impianti dentali rappresentano una delle opzioni più efficaci per il trattamento dell’edentulia, parziale o totale, consentendo la riabilitazione ...
Le craniosinostosi (o craniostenosi) sono delle patologie caratterizzate dalla precoce chiusura di una o più suture della volta cranica. Questa ...
Le craniosinostosi (o craniostenosi) sono delle patologie caratterizzate dalla precoce chiusura di una o più suture della volta cranica. Questa ...
Live webinar
mer. 15 aprile 2026
2:00 (CET) Rome
Dr. Bruce McFarlane Certified Specialist in Orthodontics Fellow: Royal College of Dentists of Canada Diplomate: American Board of Orthodontics
Live webinar
mer. 15 aprile 2026
20:00 (CET) Rome
Live webinar
gio. 16 aprile 2026
2:00 (CET) Rome
Linda Hecker MS, BSDH, RDH
Live webinar
gio. 16 aprile 2026
18:00 (CET) Rome
Dr. Pär-Olov Östman, Dr. Robert Gottlander DDS
Live webinar
ven. 17 aprile 2026
18:00 (CET) Rome
Live webinar
ven. 17 aprile 2026
19:00 (CET) Rome
Dr. Stuart Yeaton BDentSc, MOrth
Live webinar
lun. 20 aprile 2026
19:00 (CET) Rome
Dr. Alberto Monje DDS, MS, PhD
To post a reply please login or register