La malattia parodontale colpisce in maniera silenziosa il 60% della popolazione italiana, e nel 10% dei casi si manifesta in forma avanzata, questi i tristi dati riportati dal Ministero della Salute. In questo articolo descriveremo la gestione di uno di questi casi in cui la malattia parodontale non ha consentito di trattare il paziente con una terapia “conservativa”.
Materiali e metodi
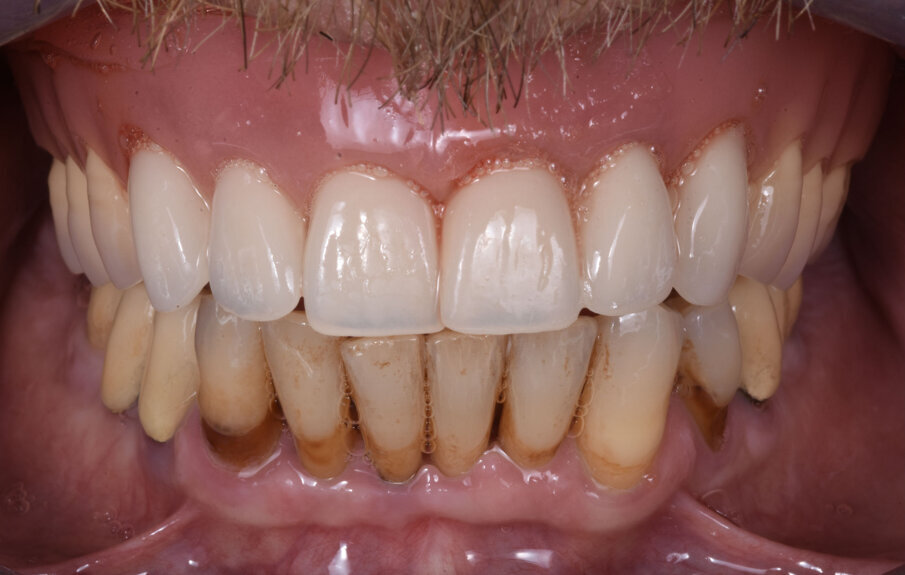
Il paziente in questione è un uomo di 55 anni riferito alla nostra attenzione da un collega che era in cura presso il nostro studio. La situazione (Fig. 1) si presentava molto critica, le tasche parodontali eccedevano i 6 mm e gli indici di placca e sanguinamento lasciavano poche speranze ai denti rimasti sull’arcata superiore. L’utilizzo di una protesi rimovibile appoggiata su elementi parodontalmente compromessi aveva causato lo sventagliamento di tutti i denti residui, questo oltre a causare una grave instabilità produceva anche un effetto molto poco estetico.
Il paziente in questione richiedeva, se possibile, una sostituzione dei denti tramite una protesi fissa per avere un miglior risultato sia estetico che funzionale.
L’attenta analisi e studio del caso suggeriva però di utilizzare un approccio a stadi che prevedesse:
- L’estrazione dei denti residui dell’arcata superiore;
- L’utilizzo di una tecnica di innesto osseo per la preservazione degli alveoli
- Un’attenta rivalutazione del caso sei mesi più tardi per decidere quale strada imboccare.
Dopo un paio di appuntamenti di terapia causale dove il paziente veniva “ripulito” si poteva procedere all’estrazione dei denti superiori. La terapia causale era mirata alla riduzione dell’infiammazione e alla rimozione di parte del tessuto di granulazione presente, tutto questo produceva alveoli facilmente innestabili.
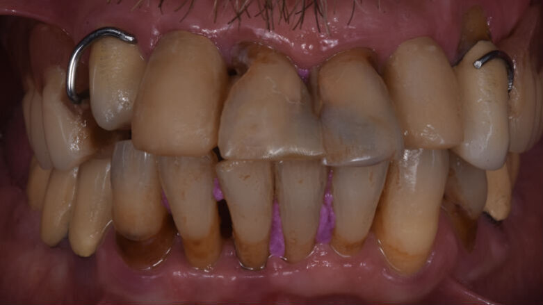
I denti superiori venivano rimossi delicatamente con un movimento rotatorio teso a preservare la corticale vestibolare residua e innestati con un biomateriale costituito di osso suino collagenato (GTO OsteoBiol, Coazze, Torino) contenete un gel termo sensitivo stabilizzante l’innesto stesso una volta inserito negli alveoli post estrattivi (Fig. 2). A protezione degli innesti veniva posizionata una protesi totale provvisoria che seguisse già i parametri estetici e funzionali richiesti dal paziente (Fig. 3). La protesi totale consentiva al paziente di svolgere le sue normali funzioni mentre gli alveoli post estrattivi guarivano. Sei mesi più tardi il caso veniva preparato per un intervento di chirurgia guidata utilizzando un innovativo software chiamato R2Gate.
Il sistema prevede la scannerizzazione della protesi totale provvisoria che viene accoppiata con la CBCT del paziente e produce un “modello” di studio nel quale il clinico può non solo pianificare la chirurgia implantare ma anche selezionare la tipologia di fixture da inserire e il tipo di abutment protesico da connettere agli impianti (Fig. 4a). Il software R2Gate consente di posizionare tridimensionalmente gli impianti nel rispetto dell’anatomia locale e della qualità dell’osso presente (Fig. 4b). Uni dei grandi vantaggi di questo software è di contenere una funzione chiamata “digital eye” una porzione di software che valuta la qualità dell’osso utilizzando una scala colori e fornendo al clinico utilissime informazioni a riguardo del tipo di preparazione del sito e alla sequenza di frese da utilizzare in funzione della qualità stessa (Fig. 4c). Questo tipo di progettazione associata alla ricerca non solo dei siti ma anche della qualità dell’osso consente di prevedere con una alta approssimazione la possibilità di ottenere una buona stabilità primaria degli impianti ed in conseguenza di poter pianificare un carico immediato.
Conseguentemente allo studio effettuato con R2Gate l’azienda produce una guida chirurgica, in questo caso ancorata all’osso residuo, che consente l’atraumatica inserzione degli impianti (Fig. 5). Le fixtures, in questo caso impianti AnyRidge Megagen venivano inserite nelle posizioni designate dallo studio R2G in maniera completamente atraumatica (Fig. 6). La misurazione dell’ISQ (Implant Stability Quotient) confermava con letture superiori a 70 la possibilità di procedere con il carico immediato degli impianti stessi (Fig. 7). Il laboratorio aveva già preparato la struttura con le caratteristiche desiderate dal paziente e dopo l’inserzione dei MUA (Multi Unit Abutments) procedeva alla costruzione della protesi definitiva (Fig. 8).
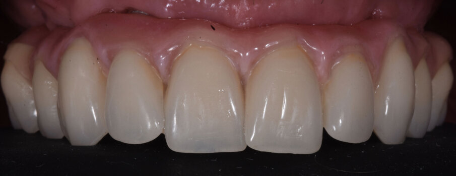
Il risultato finale evidenzia di aver raggiunto l’obbiettivo di ripristinare la funzione ma anche l’estetica in un paziente ancora giovane e motivato a mantenere il manufatto con una più accurata igiene orale (Figg. 9a, 9b). L’esame radiografico eseguito sei mesi dopo l’inserzione della protesi evidenzia la stabilità delle zone innestate precedentemente al posizionamento degli impianti e la precisione delle strutture protesiche (Fig. 10). In una visita di controllo ad un anno dall’inserzione della protesi si può notare il notevole miglioramento estetico prodotto dalla terapia implanto-protesica (Fig. 11).
Conclusioni
Nel caso presentato una corretta diagnosi e progettazione attraverso fasi e stadi di guarigione ha consentito di ottenere un risultato stabile, mantenibile ed esteticamente valido. Molto spesso ci facciamo prendere dalla fretta di finalizzare casi di edentulismo completo bypassando importanti fasi di guarigione e sopportando le conseguenze in un tempo successivo. La pianificazione attraverso la tecnica della preservazione crestale e la susseguente chirurgia guidata riduce al massimo il traumatismo chirurgico e consente di: 1. Lavorare su tessuti duri e molli guariti; 2. Di poter progettare al meglio la chirurgia selezionando non solo i migliori siti implantari, ma potendo anche valutare la qualità dei siti stessi. In conclusione maggior rispetto per la biologia e maggior sicurezza per l’operatore e il paziente.
Bibliografia
- Cha JK., Song YW., Park SH., Jung UW., Thoma DS.. Alveolar ridge preservation in the posterior maxilla reduces vertical dimensionional change: a randomized controlled clinical trial. Clin Oral Impl Res 2019.
- Effect of alveolar ridge preservation interventions following tooth extraction: a systematic review and mete-analysis.
- Tallarico M., Martinolli M., Kim Y., Cocchi F., Meloni SM., Alushi A., Xanari E.. Accuracy of computer assisted template based implant placement using two different surgical templates designed with or without implant sleeves: a randomized controlled clinical trial. Dental J 2019.
- Rossi R., Morales RS., Frascaria M., Benzi R., Squadrito N.. Planning implants in the esthetic zone using a new 3D navigation system. Eur J Esthet Dent 2010.
L'articolo è stato pubblicato su Implants n. 2/19.
Tag:
La paziente in questione si presenta alla nostra attenzione nell’estate 2014: donna di 47 anni con anamnesi negativa. La bocca era in buone condizioni...
La paziente in questione si presenta alla nostra attenzione nell’estate 2014: donna di 47 anni con anamnesi negativa. La bocca era in buone condizioni...
Paziente di sesso femminile, 30 anni, non fumatrice, con anamnesi sistemica silente, assenza di allergie a farmaci e sostanze alimentari, familiarità ...
Molti anni fa, molto prima dell’avvento dell’intelligenza artificiale, ad un congresso un emergente relatore cercò di convincermi che, grazie ai nuovi ...
Nell’autunno 2009 una paziente di sesso femminile e di 37 anni si era riferita presso il nostro studio per migliorare il proprio sorriso (Fig. 1). ...
Le infezioni parodontali sono tra le malattie più diffuse nella specie umana, sono patologie complesse ad eziologia multifattoriale, il cui fattore ...
Il presente lavoro descrive la procedura con laser neodimio Nd:YAG 1064 nm per intervento di perimplantite.
La persistenza di difetti intraossei al termine della terapia parodontale iniziale rappresenta un fattore di rischio sito-specifico per la progressione ...
Il successo di una riabilitazione implantare dipende da una corretta diagnosi che porta alla formulazione di un corretto piano di terapia. La moderna ...
Paziente donna di ottant’anni, presenta uno stato di salute ottimale, non assume farmaci. Dal punto di vista odontoiatrico chiede una riabilitazione delle...
Live webinar
gio. 22 gennaio 2026
15:00 (CET) Rome
Prof. Judith Jones D.D.S; M.P.H., Prof. Kakuhiro Fukai D.D.S., Ph.D, Dr. Bathsheba (Bethy) Turton
Live webinar
gio. 22 gennaio 2026
20:00 (CET) Rome
Dr. Nicola M. Grande DDS, PhD
Live webinar
mer. 28 gennaio 2026
14:00 (CET) Rome
Live webinar
mer. 28 gennaio 2026
17:00 (CET) Rome
Prof. Dr. Jan-Frederik Güth
Live webinar
mer. 28 gennaio 2026
17:00 (CET) Rome
Dr. Algimante Lošytė – Jančė
Live webinar
mer. 28 gennaio 2026
18:00 (CET) Rome
Live webinar
mer. 28 gennaio 2026
19:00 (CET) Rome
Dr. Marina Siegenthaler Dr. med. dent. eidg. dipl. Zahnärztin SSO
To post a reply please login or register