Search Dental Tribune

Indagine retrospettiva di follow-up a dieci anni dalla diagnosi e dal trattamento di parodontiti croniche e aggressive

C. Mazza, G. Milito, D. Minervini

C. Mazza, G. Milito, D. Minervini

lun. 22 luglio 2013

salvare

Le infezioni parodontali sono tra le malattie più diffuse nella specie umana, sono patologie complesse ad eziologia multifattoriale, il cui fattore necessario è la placca batterica1,2. Per quanto riguarda l’inizio e la progressione delle parodontiti, attualmente vi è una inadeguata comprensione dei fattori legati all’ospite e all’impatto che i fattori ambientali hanno su di essa.

Per questi motivi gli interventi terapeutici sono stati concentrati principalmente sui metodi per eliminare i batteri patogeni direttamente coinvolti nella distruzione del tessuto di supporto degli elementi dentari1.
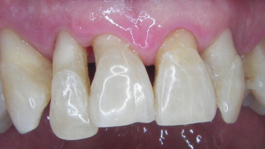
Il quadro clinico della malattia parodontale è il risultato di una continua interazione tra i patogeni della placca batterica e la risposta dell’ospite, mantenuto da un proporzionato ma delicato equilibrio che durante il processo di malattia si altera a sfavore dell’ospite3. In tutte le forme di malattia paradontale la causa è un’infezione batterica che comporta un processo infiammatorio del parodonto. Questa infiammazione, se non curata, in alcuni soggetti predisposti conduce ad una progressiva perdita più o meno rapida del supporto dentale4. Gli stadi più avanzati della malattia parodontale sono caratterizzati da presenza di tasche parodontali, recessioni, mobilità e migrazione dei denti, perdita di supporto osseo, oltre che da variazione di colore e forma della gengiva, con presenza di sanguinamento5 (Fig. 1). La malattia parodontale, non è solo il risultato di un’interazione tra agente eziologico e risposta dell’ospite, bensì una patologia in cui l’esordio e la progressione possono essere influenzati da numerosi altri fattori di rischio che ne modificano il decorso6. I fattori di rischio per la malattia parodontale sono distinti in variabili ed invariabili, questi ultimi propri all’individuo, su cui non è possibile agire direttamente, rappresentati da età, sesso, predisposizione genetica, razza, sindromi e diabete mellito, quest’ultimo rappresenta il fattore di rischio scientificamente più accreditato. Quelli variabili sono per lo più ambientali o comportamentali, su cui è possibile agire direttamente per prevenire la malattia e sono rappresentati da fumo, stress psicologici, obesità e condizione socio-economica7. L’obiettivo della terapia parodontale è quello di mantenere il più a lungo possibile i denti naturali in una condizione di salute, di funzione, senza sintomatologia algica e con un’estetica accettabile8. Fondamentale è stabilire il corretto controllo delle reinfezioni. Il successo a lungo termine del trattamento dipende dalle misure di prevenzione adottate, dagli sforzi fatti dal paziente per mantenere un elevato livello di controllo della placca unitamente alle visite periodiche di monitoraggio e igiene professionale di supporto che sono parte integrante della terapia parodontale9. Ormai molti studi hanno dimostrato che la capacità di riacutizzazione della malattia è fortemente legata a fattori genetici e comportamentali dell’ospite, per cui la terapia standard per pazienti con parodontite comprende istruzione e motivazione all’igiene orale personalizzate, terapia iniziale causale non chirurgica, talvolta integrata con procedure chirurgiche.
Non esistendo, attualmente, una cura definitiva per la malattia parodontale, sia per l’incapacità di prevedere la progressione della malattia, sia per la sua multifattorialità, si è giunti alla conclusione che la terapia parodontale di supporto regolare, con il controllo delle recidive integrate con costante e scrupolosa igiene domiciliare, siano assolutamente necessarie e possano essere considerati come l’unico vero standard di terapia10.
La TPS, Terapia Parodontale di Supporto, nella migliore delle ipotesi, sarebbe in grado di mantenere stabili i livelli di supporto parodontale per molto tempo11. Il presente lavoro ha come obiettivo quello di osservare l’andamento della malattia parodontale nel corso di dieci anni, dalla diagnosi e dal trattamento, in pazienti collaboranti, in terapia parodontale di supporto, e non collaboranti. Si è cercato di rilevare la frequenza delle fasi di attività e di quiescenza della patologia tenendo presente che, nonostante i numerosi studi condotti ed ancora in itinere, ci si può imbattere in alcune forme di parodontite che resistono ai trattamenti parodontali e altre che vanno incontro ad arresto della progressione spontanea, anche in assenza di terapia.

Materiali e metodi
La raccolta dei dati riguardanti i pazienti è stata svolta negli archivi del Dipartimento Assistenziale Integrato di Odontoiatria. Sono state esaminate 397 cartelle cliniche, relative alle patologie parodontali diagnosticate e trattate nel 2002 presso il reparto di Parodontologia della Clinica Odontoiatrica della Seconda Università degli Studi di Napoli. Dalle 397 raccolte, 273 cartelle rientravano nei criteri di inclusione dello studio, cioè pazienti in cui erano state diagnosticate e trattate parodontite cronica o parodontite aggressiva, di cui era presente in cartella l’esame ortopantomografico, mentre le restanti 124 cartelle non rispondevano ai criteri. I dati raccolti sono stati raggruppati mediante un foglio di calcolo Microsoft Excel, comprendente le seguenti informazioni: cognome e nome del paziente, età, data di apertura della cartella clinica, recapito telefonico, diagnosi, presenza di esame ortopantomografico, presenza di patologia diabetica, indice di placca (IP), indice di gengivite (IG), trattamento parodontale effettuato, presenza di protesi fissa e/o mobile, documentazione fotografica, presenza di patologie sistemiche, informazioni aggiuntive come abitudine al fumo, e altro.
Tutti i dati sono stati raccolti e trattati secondo il D.Lgs. 196/2003, nel rispetto della legge sulla Privacy, da un unico operatore. Dopo la raccolta nel database, i 273 pazienti inclusi nello studio sono stati contattati telefonicamente ed invitati a recarsi presso il reparto di Parodontologia della Clinica Odontoiatrica, per essere visitati e per raccogliere i dati necessari al confronto con i dati raccolti nei dieci anni precedenti. Dei 273 pazienti contattati, solo quaranta hanno accettato di essere visitati e si sono recati presso il reparto di Parodontologia della Clinica Odontoiatrica per essere sottoposti a visita clinica e raccolta dei parametri diagnostici, con compilazione della cartella parodontale. Di tutti i pazienti contattati era disponibile l’esame ortopantomografico effettuato al momento della prima visita, avvenuta dieci anni prima. A tutti è stato richiesto di effettuare un esame radiografico per compararlo con quello precedente. L’incontro con il paziente si è svolto con una visita effettuata dall’odontoiatra, che ha provveduto ad aggiornare l’anamnesi generale; ha chiesto al paziente se, nel corso dei dieci anni in cui non si era recato presso la struttura del Policlinico avesse provveduto ad eseguire regolare terapia parodontale di supporto e, in caso affermativo, con quale frequenza. L’odontoiatra, ha poi effettuato la visita specialistica servendosi di uno specchietto, specillo, pinzetta e sonda parodontale; ha confrontato l’ortopantomografia fornita dal paziente con la precedente disponibile in cartella.
Questa fase si è svolta in presenza dell’igienista dentale, a cui successivamente è stato affidato il paziente per eseguire il sondaggio parodontale completo e registrare tutti i parametri diagnostici.
I dati riportati nella cartella parodontale sono stati confrontati con quelli della visita avvenuta dieci anni prima. In tal modo è stato possibile riscontrare peggioramenti o stabilità della malattia parodontale.
L’igienista dentale ha provveduto alla registrazione dei parametri diagnostici. I dati rilevati sono stati: indice di placca (IP) di Silness e Löe, indice gengivale (IG) di Löe e Silness, presenza di eventuale materiale purulento, profondità di sondaggio, recessioni vestibolari e linguo-palatali, perdita di attacco clinico (CAL), mobilità dentale mediante l’indice di Miller, presenza di lesioni delle forcazioni, elementi dentali persi, presenza di protesi fisse o mobili su denti naturali o impianti. L’igienista dentale si è servito di uno specchietto e di una sonda parodontale PCP 15-UNC e di una pinzetta per rilevare l’eventuale mobilità degli elementi dentali.
Tutti i pazienti sono stati visitati e trattati da un unico operatore. Per ridurre il margine di errore nel sondaggio è stata effettuata una calibratura dell’operatore, che ha previsto una esercitazione di sondaggio parodontale su dieci colleghi, ripetuto a distanza di 72 ore per verificarne la riproducibilità. I due sondaggi sono risultati sovrapponibili.
Finita l’indagine parodontale, l’igienista dentale si è preoccupato di approfondire il tema dell’utilità della terapia parodontale di supporto, è seguito un colloquio volto al “rinforzo motivazionale”, e se necessario, a una vera e propria motivazione del paziente alla cura di denti e gengive, fornendo inoltre, attraverso l’utilizzo di un modello dimostrativo del cavo orale, istruzioni corrette sul modo di spazzolare i denti e utilizzare presidi aggiuntivi in maniera personalizzata.
Una volta terminate tutte le visite è stato creato un documento Microsoft Word su cui sono stati registrati i parametri raccolti per ogni singolo paziente in base ai dati richiesti dal lavoro in oggetto. Il foglio contiene due riquadri: in uno sono stati trascritti i dati relativi al primo esame parodontale eseguito dieci anni prima, nel secondo i dati relativi al secondo esame parodontale, relativo alla ricerca in oggetto, per poter effettuare il confronto e le conclusioni.

Risultati
Nei quaranta pazienti che hanno accettato di sottoporsi a visita, tutti i parametri rilevati sono stati confrontati e raccolti in tabelle e grafici illustrativi. Dei pazienti esaminati trentanove sono risultati affetti da parodontite cronica e uno da parodontite aggressiva. Uno ha un’età compresa tra i 40 e 50 anni, tredici tra i 51 e i 60 anni, tredici tra i 61 e i 70 anni; dodici tra i 71 e 80 anni, e uno tra gli 81 e i 90 anni.
Alla domanda se avessero seguito regolare terapia parodontale di supporto, intendendo per “regolare” un intervallo di massimo quattro mesi tra un appuntamento e l’altro, nel corso dei dieci anni, cinque hanno risposto affermativamente e trentacinque negativamente. Dei trentacinque pazienti che non hanno effettuato terapia parodontale regolare, nove hanno dichiarato di aver effettuato igiene professionale una o due volte l’anno, dieci di averla fatta molto sporadicamente e sedici di non aver mai fatto nessuna terapia, dopo la fine della terapia causale effettuata presso il reparto di Parodontologia della Clinica Odontoiatrica. Del gruppo dei cinque pazienti che hanno effettuato regolare terapia parodontale di supporto e del gruppo dei nove pazienti che hanno effettuato una o due sedute di igiene orale l’anno, sono stati messi a confronto i parametri della prima e della seconda visita per ogni singolo paziente. Per il gruppo dei rimanenti ventisei pazienti i dati sono stati raggruppati e trasformati in percentuali.
Tutti i risultati sono stati illustrati con grafici rappresentativi.
Si è osservata, nei cinque pazienti che hanno eseguito regolare TPS, confrontando i grafici ottenuti dai dati delle visite del 2002 e del 2012, una diminuzione dell’indice di placca di quattro pazienti su cinque (Fig. 2) e dell’indice gengivale di tre pazienti su cinque (Fig. 3).
La profondità di sondaggio registrata in questi pazienti ha valori molto simili a quelli riportati dieci anni prima (Fig. 4). Un altro dato da riferire è la perdita degli elementi dentali, che nel caso di due dei cinque pazienti è risultata particolarmente evidente, sebbene si trattasse di denti già compromessi dalla malattia nel 2002.
Si è osservato invece, nel gruppo dei nove pazienti in TPS non regolare, una situazione quasi stazionaria sia dell’indice di placca, sia dell’indice gengivale eccetto per un paziente in cui la situazione è lievemente migliorata. Il numero dei denti mancanti è aumentato in sei pazienti su nove, come illustrato nel grafico (Fig. 5). La profondità di sondaggio ha subito variazioni, in qualche caso anche positive, sebbene bisogna tener presenti i denti persi che verosimilmente potrebbero essere stati quelli maggiormente compromessi (Fig. 6).
Si è osservato nel gruppo dei ventisei pazienti che non hanno mai effettuato nessun trattamento dopo la terapia causale, un aumento sia dell’indice di placca, sia gengivale.
È stato registrato un aumento della profondità di sondaggio, come evidenziato dal corrispondente grafico, e anche della perdita di attacco clinico (Figg. 7, 8).
Un altro dato significativo di questo gruppo lo si osserva dal grafico che riporta il numero di denti persi durante i dieci anni. Le torri in blu indicano i denti mancanti nel 2002, la linea in arancio i denti mancanti nel 2012 (Fig. 9).

embedImagecenter("Imagecenter_2_837",837,"small");

Discussione
Alla base del nostro studio vi è la difficoltà che comporta uno studio retrospettivo. L’operatore, infatti, si trova a raccogliere e a confrontare i propri dati con altri rilevati in precedenza senza conoscerne l’attendibilità ed accettandoli così come riportati.
Analizzando il confronto dei dati, si può evincere come i pazienti del gruppo che non hanno condotto una regolare TPS, non abbiano avuto miglioramenti rilevanti. Nella fase finale dell’incontro, ovvero il colloquio motivazionale con l’igienista dentale, questi pazienti hanno dimostrato di non avere una buona conoscenza delle principali cause di infiammazione e progressione della malattia e di non essere molto diligenti nell’igiene orale, è stato, infatti, necessario condurre un colloquio motivazionale volto a chiarire non solo le cause della malattia ma anche le tecniche di spazzolamento e l’utilizzo di altri presidi utili alla pulizia degli spazi interdentali quali filo e scovolini.
Per l’ultimo gruppo, l’analisi dei risultati ha evidenziato un peggioramento di tutti i parametri.
Inoltre, tutti i pazienti hanno dimostrato di non avere quasi alcuna conoscenza delle principali cause di infiammazione e progressione della malattia, e nessuna particolare cura nell’igiene orale, dichiarando di non far uso di nessun presidio extra allo spazzolino.
Dei pazienti che sporadicamente si sono recati in uno studio odontoiatrico, la maggioranza ha dichiarato di averlo fatto a causa di dolori e fastidi alle gengive o per problemi relativi a particolari denti.
Con i pazienti di questo gruppo è stato assolutamente necessario condurre un colloquio motivazionale volto a chiarire le cause della malattia, ad illustrare tecniche di spazzolamento e utilizzo di altri presidi utili alla pulizia degli spazi interdentali quali filo e scovolini, nei casi in cui si è evidenziata maggiore infiammazione si è consigliato l’utilizzo di un collutorio. In seguito al colloquio, tredici di questi pazienti hanno scelto di essere trattati dall’igienista dentale che ha condotto questa ricerca presso il reparto di Parodontologia della Clinica Odontoiatrica.

Conclusioni
Al termine di questo lavoro, dalla comparazione dei dati dei quaranta pazienti coinvolti nell’indagine, si evince che la terapia parodontale di supporto, nei cinque pazienti che l’hanno effettuata con regolarità, i parametri registrati sono risultati migliori rispetto sia ai nove pazienti che l’hanno seguita con minore assiduità e soprattutto rispetto ai ventisei che non l’hanno seguita affatto.
Nei cinque pazienti la presenza di placca e il grado di infiammazione tissutale è risultato minore, cosi come lo stato di salute dei tessuti duri migliore, poiché la terapia parodontale di supporto se ben condotta, grazie a visite di controllo periodiche, permette di intercettare eventuali problemi che possono interessare tessuti diversi da quelli parodontali.
Dal confronto dei dati, è quindi emerso che la terapia parodontale di supporto, nei casi in cui è avvenuta costantemente e correttamente dopo la terapia causale, ha condotto al raggiungimento di livelli di igiene orale più vicini allo stato di salute. Il numero di pazienti visitati in questo lavoro purtroppo non è sufficiente per confermare la tesi che la progressione della malattia parodontale sia più lenta o nulla nei pazienti sottoposti a regolare terapia di supporto.
Allo stesso modo non può essere trascurato il dato che per alcuni parametri, quali indici di placca e sanguinamento, i risultati siano migliorati rispetto alla prima visita, e che soprattutto la consapevolezza da parte di questi pazienti, riguardo i fattori scatenanti la malattia parodontale e la necessità di una buona igiene orale domiciliare, sia maggiore rispetto a coloro che non hanno seguito terapia di supporto parodontale.
Pertanto si renderanno necessari ulteriori approfondimenti con un campione più cospicuo, prima di poter affermare che la malattia progredisca indipendentemente dall’attuazione di un serio programma di mantenimento.
È doveroso, inoltre, spendere sempre maggiori risorse sulla prevenzione, in conformità con quanto messo in evidenza dall’Organizzazione Mondiale della Salute.

 

Bibliografia
1. Hasturk H., Kantarci A., Van Dyke T.E., Paradigm Shift in the Pharmacological management of Periodontal Disease. Kinane Df, Mombelli A (eds.): Periodontal Desease. Front Oral Biol. Basel, Karger, 2012, vol 15, pp. 160-176.
2. Vogel G., Cattabriga M., Pini Prato G.P. Parodontologia clinica. Quintessenza edizioni 2012; Cap.3-5-20; pagg. 74, 93-95;134; 731,736.
3. Seneviratne CJ., Zhang CF., Samaranayake LP. Dental plaque biofilm in oral health and disease. Chin J Dent Res. 2011; 14 (2): 87-94.
4. Laine ML., Crielaard W., Loos BG. Genetic susceptibility to periodontitis. Periodontology 2000, vol. 58, 2012, 37-68.
5. Lindhe J., Karring T., Lang N.P. Editors. Parodontologia clinica e odontoiatria implatare. Quarta edizione Edi Ermes 2006; Cap 18; pag. 147.
6. Heaton B., Dietrich T. Casual theory and the etiology of periodontal diseases. Periodontology 2000, Vol. 58, 2012, 26-36.
7. Baljoon M. Tabacco smoking and vertical periodontal bone loss. Swed Dent J. Suppl. 2005;(174): 1-62.
8. Pretzl B., Wiedemann D., Cosgarea R., Kaltschmitt J., Kim T.-S., Staehle H.-J., Eickholz P. Effort and costs of tooth preservation in supportive periodontal treatment in a German population. J Clin Periodontol 2009; 36: 669-676.
9. Tomasi C., Wennström J.L. Full-mouth treatment vs. the conventional staged approach for periodontal infection control. Periodontology 2000, Vol. 51, 2009, 45-62.
10. Renvert S., Persson GR. Supportive periodontal therapy. Periodontology 2000, Vol. 36, 2004, 179-195.
11. Lang N.P., Tonetti M.S. Periodontal Risk Assessment (PRA) for Patients in Supportive Periodontal Therapy (SPT). Oral Health & Preventive Dentisty 1/2003, S. 7-16.

 

L'articolo è stato pubblicato sul numero 2 di Hygiene Tribune Italy 2013

To post a reply please login or register
advertisement
advertisement