Paziente di sesso femminile, 30 anni, non fumatrice, con anamnesi sistemica silente, assenza di allergie a farmaci e sostanze alimentari, familiarità materna per malattia parodontale.
Si presenta alla nostra attenzione lamentando alitosi, mobilità e ipersensibilità dentale.
Viene perciò effettuata una visita parodontale completa con compilazione della cartella parodontale, set fotografico e raccolta dello status radiografico. Il profilo di rischio parodontale della paziente, stilato in base ai criteri del Periodontal Risk Assessment1 risulta essere di tipo “alto”. Vista la perdita di attacco clinico (CAL) nel sito con maggiore interessamento (≥5 mm), la perdita ossea valutata radiograficamente (RBL), la progressione della malattia (valutata “moderata”), la diagnosi è di Parodontite Generalizzata di Stadio IV e Grado B2. Osservando la cartella parodontale si può notare una maggiore progressione della malattia nei sestanti III, IV e VI con sondaggi superiori ai 6 mm a carico degli elementi 2.4, 3.6, 3.7, 4.4, 4.5, 4.6. e 4.7, BOP (Bleeding on Probing) positivo e SOP (Suppuration on Probing) positivo nei siti 2.4. e 4.6.
Materiali e metodi
Si decide pertanto di effettuare una “One-stage Full Mouth GBT” (Guided Biofilm Therapy®)3 con associazione di doppia terapia antibiotica sistemica (Cocktail di Van Winkelhoff)4, ossia una somministrazione contemporanea di Metronidazolo (250 mg) e Amoxicillina (500 mg) un’ora prima del trattamento e sua prosecuzione 3 volte/die ogni 8 ore per 7 giorni.
La Guided Biofilm Therapy (GBT®) consiste nella rimozione meccanica del biofilm, guidata dal rilevatore di placca, utilizzando polvere di Eritritolo a bassa granulometria (PLUS Powder® EMS, Air Flow® Prophylaxis Master EMS®) a livello sopragengivale e intrasulculare, unita a strumentazione ultrasonica (Air Flow® Prophylaxis Master EMS®, punta Perio-Slim®) a livello sottogengivale e per la rimozione completa dei depositi di tartaro.
Al termine della terapia non chirurgica si motiva ed istruisce la paziente all’uso corretto dei seguenti presidi di igiene orale domiciliare:
- Spazzolino elettrico con testina a setole soft;
- Presidi interprossimali (scovolini di differenti misure e filo interdentale non-cerato);
- Collutorio a base di Clorexidina 0.12% e Cloruro di Cetilpiridinio (Paroex® GUM®).
La paziente si ripresenta alla nostra attenzione per controllo e rimotivazione alle tecniche corrette di igiene orale domiciliare a 7 e 15 giorni, dimostrando un’ottima compliance. La rivalutazione completa con aggiornamento della cartella parodontale, invece, viene effettuata a 3 mesi: il quadro clinico è decisamente migliorato (BOP= 2% e Indice di placca= 14%) e la paziente riferisce una diminuzione importante della sintomatologia.
Tuttavia, nei siti DV e MV degli elementi 4.6. e 4.7 si riscontra nuovamente BOP e SOP positivo. Si decide dunque di effettuare un intervento di chirurgia ricostruttiva, finalizzato alla chiusura del difetto intra-osseo e programmato ad una settimana dalla seduta di richiamo di igiene orale professionale (GBT®). Dopo uno sciacquo per 60 secondi con collutorio a base di Clorexidina 0.12% e Cloruro di Cetilpiridinio (Paroex® GUM®), si esegue anestesia locale plessica con Articaina 4% con adrenalina 1:100.000 e disegno di un lembo M-MIST (Modified-Micro Invasive Surgical Technique)5. La scelta di questo tipo di lembo è volta alla massima preservazione della vascolarizzazione del sito chirurgico e al mantenimento della papilla interdentale.
L’esposizione del difetto è eseguita tramite scollamento mini-invasivo a tutto spessore con utilizzo di micro-scollatori e micro-pinzette di tipo “anatomico”. Si effettua rimozione completa del tessuto di granulazione attraverso l’uso di micro-curettes, seguita da debridement ultrasonico intra-operatorio a potenza controllata (Air Flow® Prophylaxis Master EMS®, punta Perio-Slim®) della radice distale dell’elemento 4.6. Valutata la conformazione del difetto, risultante adeguatamente contenitivo, si decide di posizionare un sostituto osseo di origine bovina (Bio-Oss® Geistlich®) ai fini di mantenere una corretta stabilità e sostegno tridimensionale del coagulo6. La sutura è eseguita tramite un punto a materassaio verticale interno modificato con ago di lunghezza 11 mm, morfologia a 3/8 di cerchio e punta di tipo “taper-cut”, filo riassorbibile 5-0 in Acido Poli-Glicolico (PGA).
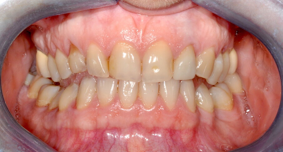
Fig. 1 - Fotografia frontale al T0.
Fig. 2 - Cartella parodontale al T0.
Fig. 3 - Status radiografico al T0.
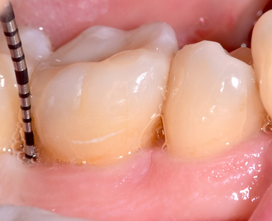
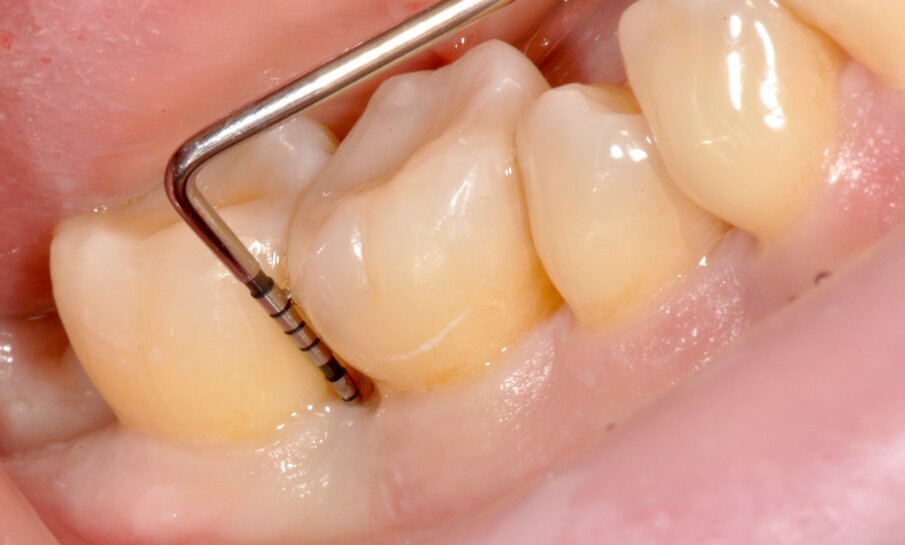
Fig. 4 - Sondaggio DV dell’elemento 4.6 di 9 mm.
Fig. 5 - Rx peri-apicale dell’elemento 4.6: difetto intra-osseo e abbondante presenza di tartaro.
Fig. 6 - Compilazione della seconda cartella parodontale a 3 mesi dalla terapia non chirurgica.
Fig. 7 - Disegno del lembo con preservazione della papilla interdentale.
Fig. 8 - Scollamento del lembo a tutto spessore.
Fig. 9 - Difetto esposto completamente.
Fig. 10 - Debridement ultrasonico della radice distale dell’elemento 4.6.
Fig. 11 - Utilizzo di Bio-Oss® per la stabilizzazione del coagulo.
Fig. 13 - Rimozione sutura a 14 giorni.
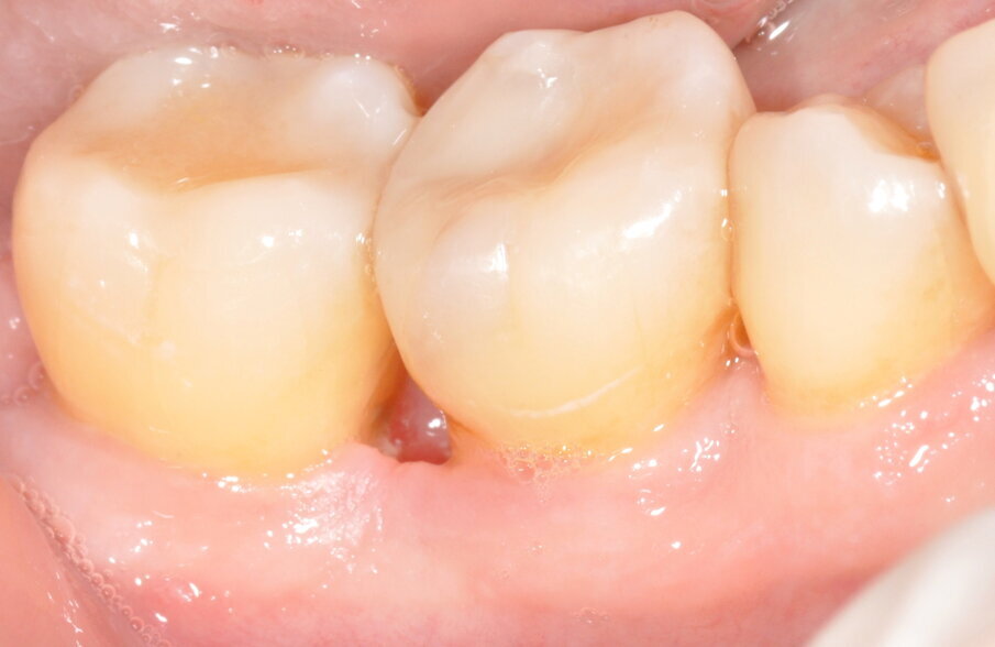
Fig. 14 - Maturazione dei tessuti e sondaggio a 3 mesi.
Fig. 15 - Rx peri-apicale dell’elemento 4.6.: re-mineralizzazione dei tessuti duri.
A seguito della verifica della corretta emostasi permessa dalla sutura, si dimette la paziente dopo averle consegnato ed illustrato le norme post-intervento descritte di seguito:
- Applicazione di ghiaccio ad intervalli di 15 minuti nella zona per le 12 ore successive;
- Divieto assoluto di spazzolamento nella zona fino alla rimozione dei punti;
- Divieto assoluto di utilizzare presidi interprossimali nella zona fino alla rimozione dei punti;
- Dieta semi-liquida fredda per le 48 ore successive, a seguire dieta semi-liquida fino alla rimozione dei punti;
- Prescrizione di sciacqui di 60 secondi con collutorio a base di Clorexidina 0.12% e Cloruro di Cetilpiridinio (Paroex® GUM®) 2 volte/die per 15 giorni;
- Prescrizione di terapia farmacologica antinfiammatoria a base di ibuprofene, da utilizzarsi al bisogno nei giorni successivi all’intervento.
A 7 giorni dall’intervento si rivede la paziente per controllo e detersione delicata del sito attraverso pellet di cotone imbevuti di collutorio a base di Clorexidina.
La rimozione sutura è eseguita invece a 14 giorni dall’intervento con valutazione della corretta guarigione del sito chirurgico e verifica del rispetto delle norme post-intervento. Nello stesso appuntamento, si consegnano spazzolino manuale post-chirurgico ultra soft (Special Care® TePe®) e scovolino interdentale extra-soft (Extra Soft TePe®) sottodimensionato da utilizzare per le due settimane successive. Il cambio dei presidi domiciliari, con nuova motivazione ed istruzione, viene effettuato ad 1 mese dall’intervento: si consiglia ora di ritornare ad utilizzare lo spazzolino elettrico con testina a setole soft e scovolini interdentali (Original TePe®).
A 3 mesi dell’intervento il sito viene valutato nuovamente attraverso ispezione clinica e indagine radiologica; i tessuti molli risultano sani all’aspetto e al sondaggio (assenza di SOP e BOP, sondaggi MV dell’elemento 4.7 e DV dell’elemento 4.6 rispettivamente di 3 e 4 mm) ed i tessuti duri appaiono re-mineralizzati in radiografia, con il difetto intra-osseo completamente ricostruito. Distalmente all’elemento 4.6 si osservi come la papilla interdentale si sia invaginata durante il periodo intercorso tra la rimozione sutura e il controllo a 3 mesi, ciò è dovuto all’utilizzo da parte della paziente di uno scovolino di dimensioni non adeguate che viene prontamente sostituito. Anche dopo la chirurgia, la paziente rimane un soggetto con Periodontal Risk Assessment alto, a causa della perdita ossea e di elementi dentari rapportata con l’età, pertanto si inserisce in un programma di richiami trimestrali di igiene orale professionale in modo da ridurre al minimo il rischio di recidive.
Discussioni e Conclusioni
La terapia parodontale non chirurgica è risultata efficace nella quasi totalità dei siti trattati. Tale terapia è stata in grado di ridurre l’indice di sanguinamento al sondaggio dall’iniziale 58% al 2%, la media di profondità di sondaggio dall’iniziale 3.1 mm a 2.4 mm e i siti patologici (con profondità di sondaggio o PPD ≥5 mm) da numero di 33 a 12. Tuttavia, la malattia parodontale nella zona interprossimale localizzata tra gli elementi 4.7 e 4.6 non è stata risolta completamente con la terapia non chirurgica, ed è risultata necessaria una terapia chirurgica per ripristinare la salute dei tessuti parodontali. Ciò può essere stato causato dalla particolare posizione del difetto infra-osseo e la peculiare anatomia radicolare, che hanno reso difficoltoso il corretto mantenimento domiciliare da parte della paziente e l’adeguata strumentazione professionale da parte dell’operatore.
In conclusione, per quanto la terapia parodontale non chirurgica dimostri ottimi risultati in termini di riduzione dell’indice di sanguinamento al sondaggio e nella riduzione della profondità di sondaggio delle tasche parodontali, in alcuni casi, deve comunque essere combinata con una terapia chirurgica dei siti che risultino patologici in sede di rivalutazione. Pertanto, la pianificazione adeguata della terapia parodontale, comprensiva di parte chirurgica e non, deve obbligatoriamente seguire una meticolosa raccolta dei dati e della documentazione clinica atta a formulare una diagnosi corretta.
Bibliografia
- Niklaus P. Lang, Maurizio S. Tonetti. Periodontal Risk Assessment (PRA) for Patients in Supportive Periodontal Therapy (SPT), Oral Health & Preventive Dentisty 1/2003, S. 7-16.
- Caton J., Armitage G., Berglundh T., et al. A new classification scheme for periodontal and peri-implant diseases and conditions – Introduction and key changes from the 1999 classification. J Periodontol. 2018; 89 (Suppl 1): S1– S8. https://doi.org/10.1002/JPER.18-0157.
- Ethan Ng.. The efficacy of air polishing devices in supportive periodontal therapy: A systematic review and meta-analysis, April 2018Quintessence international (Berlin, Germany: 1985) 49(6):1-15 DOI: 10.3290/j.qi.a40341.
- Borges I., Faveri M., Figueiredo LC., et al. Different antibiotic protocols in the treatment of severe chronic periodontitis: A 1-year randomized trial. J Clin Periodontol. 2017; 44: 822–832. https://doi.org/10.1111/jcpe.12721.
- Cortellini P. and Tonetti, M. S. (2005). Clinical Performance of a Regenerative Strategy for Intrabony Defects: Scientific Evidence and Clinical Experience. Journal of Periodontology, 76: 341-350. doi:10.1902/jop.2005.76.3.341.
- Cortellini, P. and Tonetti, M. S. (2015). Clinical concepts for regenerative therapy in intrabony defects. Periodontol 2000, 68: 282-307. doi:10.1111/prd.12048.
L'articolo è stato pubblicato per la prima volta su Perio Tribune n.2 2019.
Tag:
La malattia parodontale è una patologia infiammatoria mediata dalla risposta dell’ospite causata dal biofilm batterico. La terapia causale si basa sul ...
Sono un’igienista dentale e lavoro nell’ambito della prevenzione orale fin dagli anni ‘80. Mi occupo anche di formazione e organizzo corsi rivolti ai ...
La strumentazione parodontale non chirurgica è necessaria come trattamento iniziale, e come terapia di mantenimento, di qualsiasi patologia ...
Le malattie parodontali possono causare gravi invalidità quali la perdita o la riduzione della funzionalità dell’apparato ...
La parodontite è la prima causa di perdita di denti nella popolazione adulta nei Paesi industrializzati e presenta molteplici ripercussioni sulle ...
La malattia parodontale è una patologia cronica che colpisce i tessuti di supporto dei denti ed è caratterizzata da infiammazione, sanguinamento gengivale...
L’avulsione degli elementi dentari inclusi o seminclusi è una delle procedure cliniche più frequentemente effettuate dal chirurgo odontostomatologico.
Il Centro Corsi ProEd di Torino ospiterà anche nel 2015 il consolidato percorso formativo teorico-pratico “La terapia parodontale: Chirurgia ...
Sono stati analizzati 118 interventi chirurgici sui tessuti molli comparabili per tipologia e dimensione delle lesioni asportate eseguiti dallo stesso ...
L’evoluzione nelle conoscenze sul microbiota e sulle problematiche orali ha cambiato radicalmente i piani di trattamento nelle varie tipologie di ...
Dr. Bruce McFarlane Certified Specialist in Orthodontics Fellow: Royal College of Dentists of Canada Diplomate: American Board of Orthodontics
Live webinar
mer. 15 aprile 2026
20:00 (CET) Rome
Live webinar
gio. 16 aprile 2026
2:00 (CET) Rome
Linda Hecker MS, BSDH, RDH
Live webinar
gio. 16 aprile 2026
18:00 (CET) Rome
Dr. Pär-Olov Östman, Dr. Robert Gottlander DDS
Live webinar
ven. 17 aprile 2026
18:00 (CET) Rome
Live webinar
ven. 17 aprile 2026
19:00 (CET) Rome
Dr. Stuart Yeaton BDentSc, MOrth
Live webinar
lun. 20 aprile 2026
19:00 (CET) Rome
Dr. Alberto Monje DDS, MS, PhD
To post a reply please login or register