La persistenza di difetti intraossei al termine della terapia parodontale iniziale rappresenta un fattore di rischio sito-specifico per la progressione della parodontite, poiché i siti associati a tali difetti costituiscono delle nicchie ecologiche all’interno delle quali sarà più probabile la riformazione di un biofilm patogeno che potrà, in buona sostanza, favorire un processo di reinfezione1-4.
Le tecniche di rigenerazione tissutale guidata (GTR) mirano alla risoluzione di tali difetti mediante la loro copertura per mezzo di una membrana barriera (eventualmente associata all’innesto di un biomateriale) in modo tale da consentire l’accesso e la proliferazione alle sole cellule in grado di ricostruire l’apparato di attacco parodontale, in accordo con il principio di esclusione cellulare selettiva5, 6. Esistono varie tecniche chirurgiche, la cui indicazione dipende essenzialmente dalla morfologia e dalla localizzazione topografica del difetto intraosseo: quando un difetto interessa un elemento adiacente un’area edentula, la tecnica di elezione è quella denominata “Crestal Incision”7, 8.
Il protocollo chirurgico prevede un’incisione di accesso crestale rettilinea estesa circa 3 mm oltre il difetto, che può essere o meno associata a incisioni di scarico verticali effettuate allo scopo di facilitare l’elevazione di un lembo a tutto spessore sia buccalmente che palatalmente/lingualmente9.
Nel presente lavoro viene descritto un caso clinico di difetto intraosseo circonferenziale risolto mediante Rigenerazione Tissutale Guidata (G.T.R.) associata a decontaminazione della superficie radicolare con inserti dedicati ad ultrasuoni montati su manipolo piezoelettrico.
Caso clinico
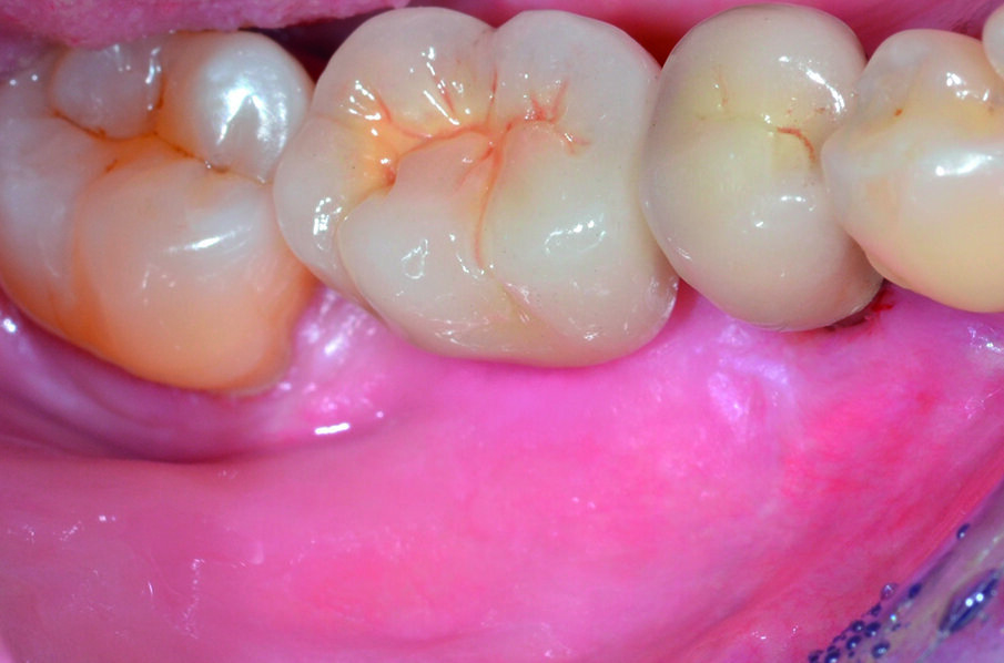
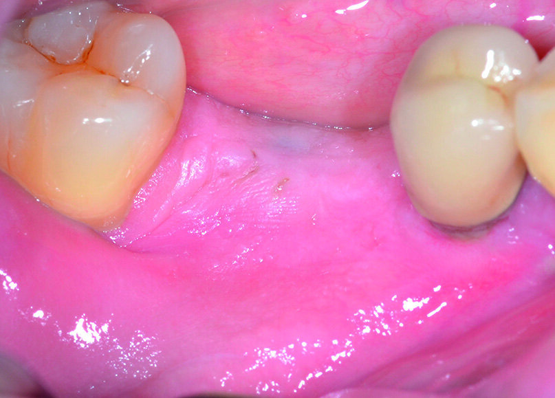
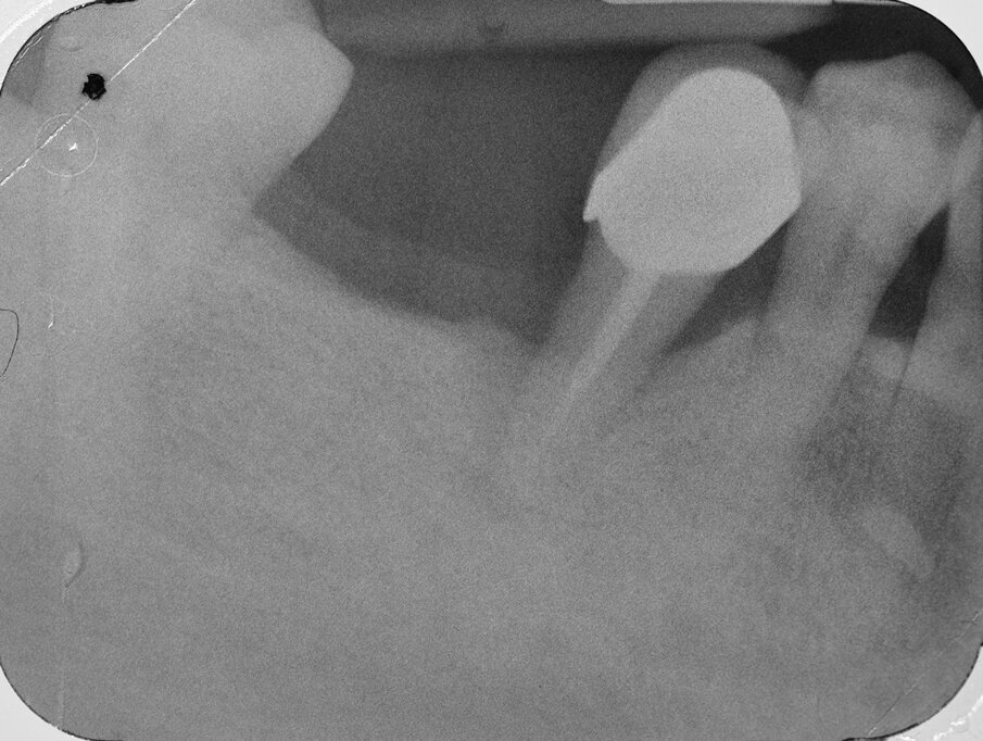
Paziente di aa. 62, femmina, giunge all’osservazione lamentando mobilità dell’elemento 4.5, dolorabilità e sanguinamento evocato durante le manovre di igiene orale (Fig. 1). Al sondaggio parodontale e all’esame radiografico endorale si evidenzia una consistente infiammazione del parodonto marginale associata a un vasto difetto intraosseo di tipo circonferenziale che interessa la superficie radicolare distale e buccale dell’elemento in oggetto (Figg. 2, 3). Al termine della terapia causale e della terapia parodontale non chirurgica il paziente è sottoposto a successiva rivalutazione, in base alla quale viene programmata una procedura di Rigenerazione Tissutale Guidata (G.T.R.) sull’elemento 4.5 associata ad inserimento di un impianto osteointegrato in sede 4.6. Poiché l’elemento dentario interessato dal difetto è adiacente ad uno spazio edentulo, la tecnica chirurgica di scelta è quella denominata “Crestal Incision”.
La profilassi antibiotica prevede l’assunzione di 2 g, uno di Amoxicillina/Acido clavulanico (da iniziare un’ora prima della seduta chirurgica) per poi proseguire in ragione di 1 g ogni 12 ore per 6 giorni10. Immediatamente prima della seduta chirurgica il paziente esegue uno sciacquo con Clorexidina digluconato 0,2% da proseguire per due settimane dopo l’intervento in ragione di 1 sciacquo ogni 8 ore11. Per la terapia antalgica/anti-infiammatoria è stato prescritto Naprossene sodico 500 da assumersi 1 ora prima della seduta chirurgica e da proseguire secondo necessità, in quantità non superiore ad una bustina ogni otto ore per sette giorni.
Dopo analgesia locale ottenuta per infiltrazione di Articaina cloridrato 40 mg con epinefrina 1:100.000 viene effettuata l’ incisione di accesso in accordo con il protocollo chirurgico sopra citato (Fig. 4). Al sollevamento del lembo è possibile evidenziare un profondo difetto che coinvolge l’aspetto disto-buccale dell’ elemento 4.5; con una sonda parodontale millimetrata di tipo Williams viene misurata la profondità della componente intraossea (Figg. 5-7). Il debridement della lesione e la decontaminazione della superficie radicolare vengono effettuati mediante una coppia di inserti dedicati montati su dispositivo ad ultrasuoni (ES030LDT ed ES030RDT, Esacrom Srl, Imola, Italia) (Fig. 8).
La particolarità di questi inserti è quella di avere una curvatura orientata verso destra (ES030RDT) e verso sinistra (ES030LDT): in tal modo, risulta molto più agevole operare sul versante buccale o linguale/palatale a seconda dei casi (Figg. 9, 10). Grazie all’effetto combinato della cavitazione ultrasonica e del microstreaming acustico vengono effettuati sia la rimozione del tessuto reattivo che la completa decontaminazione della superficie radicolare (Fig. 11). Al termine del trattamento con ultrasuoni, è possibile valutare l’aspetto intraoperatorio dell’area interessata dal difetto (Fig. 12).
Considerata l’estensione e la profondità del difetto intraosseo, viene selezionata una membrana in corticale di origine eterologa in virtù della sua intrinseca stabilità dimensionale e della maggior resistenza alla degradazione rispetto a una membrana riassorbibile in collagene: dal punto di vista chirurgico, è di fondamentale importanza che la membrana stessa sia correttamente sagomata e fissata in maniera sufficientemente stabile sia lingualmente che buccalmente (Fig. 13).
La componente intraossea del difetto viene innestata con un particolato di origine eterologa, allo scopo di favorire il mantenimento dello spazio necessario alla rigenerazione e migliorare la stabilità del coagulo (Fig. 14). Dopo un’adeguata compattazione del biomateriale, la membrana viene quindi riflessa sul versante buccale e fissata per mezzo di pins in titanio; contestualmente all’ intervento di GTR viene anche inserito un impianto osteointegrato in zona 4.6 (Fig. 15).
La chiusura per prima intenzione della ferita chirurgica è affidata a una doppia linea di sutura eseguita con filo in PTFE 4/0, consistente in una serie di punti a materassaio orizzontale intervallati da una seconda linea di sutura a punti staccati, utilizzati anche per chiudere le papille interdentali; poiché a carico dell’elemento 4.5 è presente una mobilità di Grado 2 sec. Miller, al termine della seduta chirurgica lo stesso viene splintato con l’ elemento 4.4 (Figg. 16a-16c).
Al momento del controllo a 8 mesi vengono esaminate le condizioni dei tessuti parodontali marginali e si effettua una radiografia endorale periapicale, che evidenzia la completa risoluzione del difetto intraosseo (Figg. 17, 18). Incidentalmente, in occasione della scopertura dell’impianto precedentemente inserito, si sceglie di constatare de visu la rigenerazione ottenuta intorno all’ elemento 4.5: al sollevamento del lembo è possibile apprezzare la completa risoluzione del difetto intraosseo circonferenziale, a conferma di quanto già emerso dal controllo radiografico (Figg. 19, 21). Dopo aver esposto la testa dell’impianto in zona 4.6 si rimuove la vite di copertura, che viene sostituita con un healing abutment di adeguate dimensioni (Figg. 22, 23).
Nella stessa seduta operatoria, allo scopo di aumentare l’ampiezza e lo spessore dei tessuti periimplantari, viene quindi eseguito un lembo a scivolamento apicale associato ad un innesto di matrice collagenica tridimensionale in alternativa a un prelievo di tessuto connettivo dalla volta palatina: dopo aver posizionato il lembo apicalmente alla cresta ossea, si procede alla sutura a punti staccati con filo riassorbibile 6/0 (Figg. 24, 25).
Al termine di un adeguato periodo di guarigione, necessario alla completa maturazione e al condizionamento dei tessuti molli, è possibile constatare come l’emergenza implantare sia adesso circondata da una banda di gengiva aderente adeguata per ampiezza e spessore, condizioni che favoriranno il mantenimento dello stato di salute nel medio e lungo termine (Figg. 26, 27). Una protesi definitiva in metallo - ceramica viene cementata sull’impianto in zona 4.6; il successivo controllo radiografico e il sondaggio parodontale confermano una sostanziale stabilità dei risultati ottenuti sia a livello dell’elemento 4.5 che dell’ impianto in zona 4,6 (Figg. 28-30).
_Discussione
Un aspetto fondamentale in Rigenerazione Tissutale Guidata (G.T.R.) consiste nella decontaminazione della radice dentaria (soprattutto nella sua porzione intraossea) allo scopo di creare una superficie favorevole all’adesione del coagulo e alla successiva proliferazione cellulare12-14 condizione assolutamente indispensabile per determinare il buon esito della procedura rigenerativa.
In letteratura scientifica sono state proposte e descritte nel corso degli anni numerose metodiche di decontaminazione ma, al momento, non abbiamo a disposizione alcun dato che possa dimostrare incontrovertibilmente la superiorità dell’ una rispetto alle altre: sebbene i risultati clinici della strumentazione meccanica siano considerati sovrapponibili a quelli della strumentazione ultrasonica, va osservato che nei difetti intraossei più profondi e con una morfologia complicata l’impiego di inserti dedicati riveste un ruolo cruciale, poiché consente l’accesso alle zone più profonde del difetto, altrimenti impossibile con una strumentazione di tipo classico quali curettes o frese per parodontologia15.
L’impiego di inserti ultrasonici consente, pertanto, di effettuare in maniera semplice e rapida il clivaggio e la rimozione del tessuto reattivo (sempre abbondantemente presente all’interno della lesione) oltre che la completa decontaminazione della superficie radicolare anche laddove il contatto diretto tra superficie radicolare e inserto vibrante sia reso impossibile dalla difficoltà di accesso al sito o dalla complessità della morfologia radicolare. Ciò è possibile grazie all’effetto combinato della cavitazione e del microstreaming acustico, che svolgono un’azione diretta sul biofilm batterico adeso alla superficie radicolare; va inoltre sottolineato che, per sfruttare al massimo l’effetto sopra descritto, è consigliabile che l’interno del difetto intraosseo sia mantenuto sotto costante irrigazione con soluzione fisiologica sterile16, 17.
Altro aspetto di cruciale importanza risiede nella scelta dei materiali selezionati in base alla strategia rigenerativa di scelta e, in particolare, del tipo di membrana barriera (riassorbibile o non riassorbibile)18-19. Le evidenze scientifiche attualmente disponibili in letteratura hanno evidenziato che, dal punto di vista clinico, non c’è alcuna differenza tra l’impiego dei diversi tipi di membrana barriera e che è possibile ottenere risultati assolutamente comparabili, con evidenti vantaggi per il paziente sia per quanto riguarda la minor tendenza ad esporsi nel cavo orale che sotto il profilo della diminuzione della morbilità e del numero di sedute necessarie: per questo motivo, nonostante l’impiego di una barriera di tipo non riassorbibile sia tuttora considerato il “gold standard”, l’interesse dei clinici si è attualmente spostato verso l’utilizzo di membrane barriera di tipo riassorbibile20-22.
Come precedentemente detto, la rigenerazione tissutale del parodonto è possibile in base al principio di esclusione cellulare selettiva e questo principio, come ampiamente documentato in letteratura, si realizza essenzialmente grazie alla presenza di una membrana barriera. Tuttavia, l’impiego di un innesto all’interno del difetto osseo che funga da impalcatura (o “scaffold”) soprattutto se in associazione con membrane di tipo riassorbibile in difetti di tipo non contenitivo, favorisce il mantenimento dello spazio necessario alla rigenerazione e migliora la stabilità del coagulo23. Nel caso presentato, l’associazione di un biomateriale in granuli con una membrana in corticale (entrambi di origine eterologa) ha consentito il raggiungimento di soddisfacenti risultati clinici grazie al connubio ideale tra stabilità volumetrica, biocompatibilità e un periodo di protezione adeguatamente lungo, dettato dall’importante estensione del difetto intraosseo. Da notare inoltre che per esporre l’impianto inserito in zona 4.6, allo scopo di aumentare l’ampiezza e lo spessore dei tessuti periimplantari è stato programmato un lembo a scivolamento apicale associato ad un innesto di matrice collagenica tridimensionale24 in alternativa al prelievo di tessuto connettivo: questo ha offerto l’occasione di poter constatare visivamente l’esito della procedura rigenerativa, evenienza poco frequentemente descritta in letteratura.
Va infine ricordato che, indipendentemente dalla tecnica chirurgica o dal tipo di biomateriale selezionato, numerosi studi longitudinali abbiano evidenziato come la terapia parodontale di supporto, altrimenti definita come “Supportive Periodontal Therapy” (SPT) costituisca una parte essenziale dell’intero percorso terapeutico, poiché influenza significativamente il mantenimento dei risultati raggiunti nel medio e lungo periodo; in assenza di un suo regolare svolgimento i valori degli indici biometrici parodontali torneranno inevitabilmente ai livelli iniziali, con grave compromissione della prognosi degli elementi dentari coinvolti 25-27.
_Conclusioni
Nel presente lavoro viene descritto un caso di Rigenerazione Tissutale Guidata (G.T.R.) effettuata seguendo un protocollo di debridement e di detossificazione della superficie radicolare mediante l’ utilizzo di inserti ad ultrasuoni dedicati montati su manipolo piezoelettrico. Sfruttando le proprietà battericide e batteriostatiche degli ultrasuoni, oltre agli indiscussi vantaggi derivanti dal poter disporre di un inserto di ridotte dimensioni ed estremamente manovrabile rispetto agli strumenti tradizionali (come ad esempio, curettes o strumentazione rotante) questo tipo di approccio ha consentito il raggiungimento di risultati clinici decisamente incoraggianti; sono necessari ulteriori studi di tipo randomizzato e controllato per verificare le osservazioni cliniche descritte nel presente lavoro.
Bibliografia
- Tarquini G. Diagnosi e valutazione clinica dei difetti ossei, Cap. 3. In: Tarquini G. Tecniche di chirurgia parodontale: dalla diagnosi alla terapia”, Edizioni EDRA (Settembre 2017): 113-116.
- Garret S. Periodontal regeneration around natural teeth. In: Genco R, ed. World Workshop in Periodontics. Lansdowne, VA: American Academy of Periodontology, 1996: 621–666.
- Polimeni G, Susin C, Wikesjo¨ UME. Regenerative potential and healing dynamics of the periodontium: a critical-size supra-alveolar periodontal defect study. J Clin Periodontol 2009; 36: 258–264.
- Cortellini P. & Tonetti M. Regenerative Periodontal Therapy, Chapter 43 In: Lindhe “Clinical Periodontology and Implant Dentistry” 5° Edition, Blackwell Munksgaard 2010.
- Melcher AH. On the repair potential of periodontal tissues.J Periodontol 1976: 47: 256–260.
- Tarquini G. Razionale biologico della rigenerazione tissutale guidata (GTR), Cap. 3. In: Tarquini G. Tecniche di chirurgia parodontale: dalla diagnosi alla terapia”, Edizioni EDRA (Settembre 2017): 119-120.
- Cortellini P, Stalpers G, Pini Prato G, Tonetti MS. Long-term clinical outcomes of abutments treated with guided tissue regeneration. J Prosthet Dent 1999: 81: 305–311.
- Cortellini P, Tonetti M. Focus on intrabony defects: guided tissue regeneration. Periodontology 2000, Vol. 22, 2000, 104–132.
- Tarquini G. The crestal incision. Cap. 3. In: Tarquini G. “Tecniche di chirurgia parodontale: dalla diagnosi alla terapia”, Edizioni EDRA (Settembre 2017): 149-156.
- Ata-Ali J, Ata-Ali F, Ata-Ali F. Do antibiotics decrease implant failure and postoperative infections? A systematic review and meta-analysis. Int J Oral Maxillifac Surg 2014; 43:68-74.
- Berchier CE, Slot DE, Van der Weijden GA. The efficacy of 0.12% chlorhexidine mouthrinse compared with 0.2% on plaque accumulation and periodontal parameters: a systematic review. J Clin Periodontol 2010; 37: 829–839.
- Wikesjo UME, Nilveus R. Periodontal repair in dogs: effect of wound stabilisation on healing. J Periodontol 1990: 61:719–724.
- Wikesjo UME, Selvig KA. Periodontal wound healing and regeneration. Periodontology 2000 1999:19, 21-39.
- Nyman S, Lindhe J, Karring T, Rylander H. New attachment following surgical treatment of human periodontal disease.J Clin Periodontol 1982: 9: 290–296.
- Tarquini G. Ultrasuoni in chirurgia parodontale: effetti clinici. Cap. 1. In: Tarquini G. “Tecniche di chirurgia parodontale: dalla diagnosi alla terapia”, Edizioni EDRA (Settembre 2017): 25-26.
- Tarquini G. Rigenerazione tissutale guidata in difetti parodontali profondi. Dental Tribune, Luglio+Agosto 2017 - anno XIII n. 7+8, pagg. 1-8.
- Tarquini G. Il ruolo degli ultrasuoni in terapia chirurgica delle periimplantiti: presentazione di un caso clinico. Implant Tribune, Novembre 2017 - anno VI n. 4, pagg 1-7.
- Eickholz P. Kim T-S, Holle R. Regenerative periodontal surgery with non-resorbable and biodegradable barriers: results after 24 months. J Clin Periodontol 1998: 25: 666-676.
- Caffesse RG, Mota LF, Quinones CR, Morrison EC: Clinical comparison of resorbable and non-resorbable barriers for guided periodontal tissue regeneration, J Clin Periodontol 1997: 24: 747-752.
- Tarquini G. Impiego di membrane in chirurgia rigenerativa, Cap. 3. In: Tarquini G. “Tecniche di chirurgia parodontale: dalla diagnosi alla terapia”, Edizioni EDRA (Settembre 2017): 164-172.
- De Sanctis M, Clauser C, Zucchelli G. Bacterial colonization of barrier material and periodontal regeneration. J Clin Periodontol 1996: 23: 1039–1046.
- De Sanctis M, Zucchelli G, Clauser C. Bacterial colonization of bioabsorbable barrier material and periodontal regeneration. J Periodontol 1996: 67: 1193–1200.
- Tarquini G. Innesti ossei e biomateriali in chirurgia rigenerativa, Cap. 3. In: Tarquini G. “Tecniche di chirurgia parodontale: dalla diagnosi alla terapia”, Edizioni EDRA (Settembre 2017): 172-175.
- Tarquini G. Coronally advanced flap technique to treat class I and II gingival recession in combination with a connective tissue graft or an equine collagen matrix. A retrospective study. Int J Periodontics Restorative Dent Volume 37, Issue 4 July/August 2017 Pages e217–e223.
- Axelsson, P. & Lindhe, J. (1981b). The significance of maintenance care in the treatment of periodontal disease. Journal of Clinical Periodontology 8, 281-294.
- American Academy of Periodontology position paper: Supportive periodontal therapy (1998). Journal of Clinical Periodontology 69, 502–506.
- Tarquini G. Terapia parodontale di supporto, Cap. 7. In: Tarquini G. Tecniche di chirurgia parodontale: dalla diagnosi alla terapia”, Edizioni EDRA (Settembre 2017): 369-407.
L'articolo è stato pubblicato su Implants Italian Edition, n.2 2018.
Tag:
Nonostante il buon esito della terapia parodontale di fase 1 e 2, al momento della rivalutazione è frequente osservare la presenza di difetti intraossei ...
Le tecniche di rigenerazione tissutale guidata (GTR) sono fondate sul principio dell’esclusione cellulare selettiva: mediante la copertura del difetto...
Dopo il completamento della terapia parodontale iniziale (costituita dalla terapia causale e dalla terapia meccanica non chirurgica) il paziente dovrà ...
La presenza di difetti parodontali intraossei e il coinvolgimento delle biforcazioni nel processo di riassorbimento e perdita ossea successivo ...
La perdita di tessuto osseo di sostegno rappresenta un segno caratteristico della malattia parodontale. Molti fattori legati al paziente, al dente e al sito...
Sempre attenta alle esigenze formative del professionista e pronta a rispondervi con iniziative ed eventi a elevato valore didattico, Zimmer Dental Italy ...
Lo scopo di questo articolo è quello di presentare un caso clinico di rigenerazione ossea guidata (GBR) mediante una griglia in titanio custom-made e con ...
Il presente lavoro descrive la procedura con laser neodimio Nd:YAG 1064 nm per intervento di perimplantite.
La più importante innovazione degli ultimi anni nel campo della rigenerazione ossea guidata (GBR) è rappresentato dalle griglie in titanio CAD/CAM ...
La ceramica al silicato di litio rinforzata con biossido di zirconio (ZLS) è una nuova vetroceramica ad alte prestazioni con caratteristiche ...
Live webinar
mer. 15 aprile 2026
20:00 (CET) Rome
Live webinar
gio. 16 aprile 2026
2:00 (CET) Rome
Linda Hecker MS, BSDH, RDH
Live webinar
gio. 16 aprile 2026
18:00 (CET) Rome
Dr. Pär-Olov Östman, Dr. Robert Gottlander DDS
Live webinar
ven. 17 aprile 2026
18:00 (CET) Rome
Live webinar
ven. 17 aprile 2026
19:00 (CET) Rome
Dr. Stuart Yeaton BDentSc, MOrth
Live webinar
lun. 20 aprile 2026
19:00 (CET) Rome
Dr. Alberto Monje DDS, MS, PhD
Live webinar
mer. 22 aprile 2026
17:00 (CET) Rome
MDT Andreas Chatzimpatzakis
To post a reply please login or register