La parodontite aggressiva è una patologia che colpisce i tessuti parodontali superficiali e profondi portando alla progressiva perdita di attacco e di supporto osseo intorno agli elementi dentali1. A livello clinico si presenta con tasche parodontali profonde (profondità di sondaggio: ≥ 5 mm), difetti ossei profondi e verticali, sanguinamento al sondaggio e presenza di essudato purulento (segno di ascesso parodontale in atto); tessuto gengivale infiammato (arrossato, edematoso, dolente e lasso) e compromissione degli elementi dentali coinvolti (perdita di attacco importante, mobilità dentale e compromissione delle forche degli elementi pluriradicolari).
A livello radiografico si presenta con difetti stretti, profondi, verticali e crateri interprossimali. Nello schema (Fig. 1) viene riportata anche la possibilità di un unico appuntamento iniziale, che però è un’evenienza alquanto rara. È una patologia che si manifesta in genere in giovani adulti sani con familiarità per la malattia parodontale, caratterizzata da depositi di placca e tartaro non sufficienti a giustificare il grado di distruzione del tessuto parodontale, dalla predominanza nella flora orale di batteri patogeni parodontali anaerobi e, a livello istologico, da un’alterata funzione di fagociti e macrofagi con abnorme rilascio di prostaglandine e interleuchine. I fattori di rischio accertati sono il fumo e il diabete, che insieme al sanguinamento al sondaggio, la presenza di profondità di sondaggi > 5 mm e alla perdita ossea relativa all’età del paziente portano a una maggiore o minore probabilità di evoluzione della malattia2,3.
Nel 1999 l’International Workshop for a Classification of Periodontal Diseases and Conditions4 ha definito la AgP generalizzata in base alle seguenti caratteristiche:
- manifestazione in pazienti in buono stato di salute generale;
- rapida perdita di attacco e distruzione ossea;
- aggregazione familiare;
- coinvolgimento di almeno 3 denti permanenti oltre a un primo molare e a un incisivo;
- accumulo di placca non proporzionato alla distruzione ossea e tissutale.
Le implicazioni cliniche della malattia sono spesso devastanti, poiché possono comportare la perdita della maggior parte degli elementi dentari. Questa patologia ha quindi anche un’implicazione socio-economica rilevante5,6. Il primo step per il trattamento della patologia è un approccio non chirurgico, la cui efficacia nel trattamento della parodontite è ampiamente dimostrata in letteratura7-9. Esistono diversi metodi di terapia non chirurgica: si può effettuare una terapia a quadranti con richiami settimanali4,10, favorevole per il confort del paziente e favorevole per l’operatore, che può monitorare la compliance del paziente nell’igiene domiciliare. Questa terapia potrebbe però essere meno efficace poiché si suppone che i batteri patogeni ricolonizzino e ricontaminino i siti appena trattati: traslocazione dei batteri patogeni da tasche non ancora trattate e dai reservoir intraorali (lingua, cripte tonsillari, mucosa)11,12.
Altre tecniche per un approccio non chirurgico sono gli approcci Full Mouth (FM). Queste terapie possono essere effettuate in un’unica seduta (One Stage Full Mouth – OSFM), in due sedute nell’arco di 24/48 ore, o in 4 sedute in 4 giorni, a ognuna può essere associato (Full Mouth Disinfection – FMD) o meno (FMI) l’utilizzo di clorexidina quale agente antimicrobico di disinfezione del cavo orale secondo il protocollo di Quirynen del 199513. Si evince dalla letteratura che per il trattamento di parodontiti croniche l’utilizzo di tecnica a quadranti piuttosto che tecnica full mouth non ha risultati significativamente differenti14,9,15, al contrario per quanto riguarda il trattamento di parodontiti aggressive le terapie a full mouth in associazione a doppia terapia antibiotica sono il trattamento d’elezione16-19. Diversi studi hanno dimostrato che associando a terapia parodontale non chirurgica (full mouth) una doppia terapia antibiotica (amoxicillina + metronidazolo) si ottengono significativi miglioramenti sia dal punto di vista clinico che microbiologico20-24. È stato avvalorato da diversi studi25-28 come l’associazione di due molecole quali amoxicillina e metronidazolo risulti la terapia d’elezione per il trattamento delle parodontiti aggressive in associazione a SRP sia per il suo largo spettro d’azione29,20,21,28,23, sia per la maggior efficacia terapeutica, grazie al sinergismo delle azioni molecolari30- 34, poiché i batteri coinvolti dalla patologia sono principalmente anaerobi (Porphyromonas gengivalis, Prevotella intermedia, Tannerella Forsythia, Treponema denticola) sensibili al metronidazolo e aerobi facoltativi (Aggregatibacter Actinomycetecomitans) sensibili all’amoxicillina. Non da ultimo, l’utilizzo di combinazioni di antibiotici riduce la possibilità di sviluppare resistenze batteriche. Le terapie causali in FM sono sicuramente più stressanti per il paziente ma più efficaci, sia per il controllo della traslocazione batterica, essendo breve il lasso di tempo in cui viene completato il trattamento, sia per la doppia terapia antibiotica che va ad agire contro i batteri patogeni responsabili della patologia in grado di infiltrarsi nell’epitelio, nel connettivo subepiteliale e nel tessuto di granulazione dove quindi la terapia meccanica non riesce ad essere efficace.
Materiali e metodi
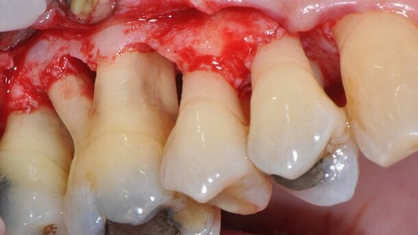
Il paziente, C.V., si presenta presso lo studio per risolvere la mobilità dentale, l’alitosi e la difficoltà nella masticazione. Riferisce inoltre che diversi odontoiatri gli hanno suggerito la bonifica totale e una riabilitazione completa su impianti e di sentirsi psicologicamente demoralizzato per questa diagnosi. In prima visita (tempo zero – To) si rilevano i dati anamnestici (Tab. 1), si effettua lo status parodontale (Fig. 1) e si registrano gli indici parodontali (Tab. 2): profondità di sondaggio (PPD), sanguinamento (BOP), mobilità, compromissione delle forche. Vengono inoltre eseguite fotografie extraorali e intraorali (Figg. 2a-n). Dai dati raccolti in prima visita emerge diagnosi di AgP35. L’abbinamento a SRP della doppia terapia antibiotica può dare ulteriori benefici rispetto al solo SRP24, soprattutto se eseguita in OSFM.
In questo case report il paziente viene sottoposto a One Stage Full Mouth Instrumentation (OSFMI) con doppia terapia antibiotica (amoxicillina + metronidazolo). Sono state eseguite due sedute di SRP da 3 ore ciascuna nell’arco di 24 ore, la terapia antibiotica viene somministrata al paziente la mattina stessa della prima seduta secondo le posologie e le tempistiche riportate in Tab. 3.
embedImagecenter("Imagecenter_2_1180",1180,"small");
Il paziente effettua uno sciacquo puro con clorexindina 0,2% per 60 secondi prima di iniziare la terapia per ridurre la carica microbica che può diffondersi nell’aerosol creato dall’azione degli strumenti meccanici. Durante il trattamento di SRP e curettage gengivale sono state decontaminate le tasche parodontali con strumenti piezoelettrici (Air Flow Master Piezon EMS®) e polvere abrasiva e antisettica a base di eritritolo e clorexidina 0,3% (Polvere PLUS EMS®) e strumenti manuali (mini curettes di Gracey Hu-Friedy® 1/2, 7/8, 11/12, 13/14), sotto anestesia mepivacaina con adrenalina 1 : 100.000, con tempistiche non predefinite in base alla gravità dei siti da trattare. Per migliorare la prognosi degli elementi frontali inferiori, data la loro importante mobilità (secondo grado di 3,1, 3,2, 4,2, 4,3) e la grave perdita di attacco, si è posizionato uno splintaggio in resina composita da 3,3 a 4,3. Il paziente è stato istruito all’igiene orale domiciliare: tecnica di spazzolamento a rullo e scovolini dedicati per la pulizia degli spazi interprossimali. Si è prescritta al paziente la clorexidina 0,12% in sciacqui per 60 secondi, 3 volte al giorno per 15 giorni.
La rivalutazione eseguita a un mese dalla OSFMI ha evidenziato la presenza di siti con sondaggi superiori ai 6 mm nei settori posteriori dei quadranti 1, 2 e 3 dove si sono programmate chirurgie resettive e una terapia di supporto (TPS) professionale trimestrale. La chirurgia resettiva nel settore 1 (Fig. 3) è stata effettuata a 3 mesi dalla FMI. Per evitare l’estrazione dell’elemento 1.6 si è completata la tunnellizzazione delle forche (Fig. 4). L’elemento 1.6 si presentava con radici molto divergenti, in rivalutazione non era presente mobilità e il paziente si era dimostrato estremamente compliante. Questo ha giustificato la procedura chirurgica sopra descritta. Il paziente si è presentato solo al primo richiamo trimestrale, successivamente, per problemi di lavoro, non si è più presentato ai successivi richiami né ha accettato di terminare il trattamento chirurgico. Il paziente si è presentato per un controllo a distanza di un anno e mezzo dalla prima visita. Durante questa visita sono stati nuovamente rilevati gli indici parodontali (PPD, BOP, mobilità e forche) (Tab. 4) e sono state eseguite nuove fotografie (Figg. 5a-i).
Risultati
La somministrazione della doppia terapia antibiotica non ha dato effetti avversi al paziente. La terapia (FMI + amoxicillina + metronidazolo) ha portato, con l’ausilio dell’unica chirurgia effettuata nel settore 1, a distanza di un anno e mezzo, a una diminuzione significativa di PPD tra i 2 e i 7 mm (il PPD dell’elemento 2.6 mesiovestibolare in prima visita era 10 mm e a un anno e mezzo di distanza risulta 3 mm) in ogni sito indagato (Tabb. 5a-d), una diminuzione del sanguinamento del 44%, ovvero da 98 siti su 186 (52,7%) a 15 siti su 186 (8%), e a un annullamento della mobilità dentale sugli elementi che la presentavano. Il paziente riferisce di aver risolto i problemi di alitosi, mobilità dentale e masticazione, di sentirsi fisicamente e psicologicamente meglio.
Conclusioni e discussioni
In questo case report la FMI ha permesso di ottenere un significativo miglioramento di tutti i parametri clinici parodontali a distanza di un anno e mezzo dalla terapia iniziale in un paziente affetto da AgP severa confermando l’efficacia di tale trattamento come riportato in letteratura36. Il principale vantaggio dell’utilizzo della doppia terapia antibiotica è quello di essere un ottimo coadiuvante nel trattamento di tasche parodontali > di 6 mm in pazienti con diagnosi di AgP36 e di facilitare la riduzione dell’infiammazione nel tessuto di granulazione e nei tessuti parodontali dove SRP non riesce, per motivi anatomici e di difficoltà di accesso, ad essere efficace20. Gli antibiotici agiscono sui batteri patogeni (Aggregatibacter Actinomycetecomitans e Porphyromonas gengivalis) che hanno la capacità di penetrare il tessuto connettivo subepiteliale.
In questo case report è stata utilizzata una doppia terapia antibiotica secondo Heller37 che utilizza una moderata dose di metronidazolo 250 mg x 3, anche se altri trial clinici randomizzati20, 21 utilizzano metronidazolo a 500 mg x 3.
Attualmente, sottoponiamo i pazienti alla doppia terapia secondo Guerrero che nel lavoro del 200520 mostra una differenza statisticamente significativa nell’utilizzo della terapia antibiotica combinata con metronidazolo somministrato allo stesso dosaggio e posologia giornalieri dell’amoxicillina (1,5 gr die) rispetto ai dosaggi inferiori.
Il paziente, per motivi personali e lavorativi, non ha potuto presentarsi ai richiami trimestrali, nonostante ciò, grazie a un’ottima igiene orale domiciliare (condizione essenziale per il mantenimento a lungo termine dei risultati della FMI38), la terapia effettuata (FMI sotto doppia terapia antibiotica) a un anno e mezzo di distanza ha permesso di mantenere buoni i risultati senza recidiva della patologia (AgP). È consigliabile tuttavia richiamare i pazienti affetti da AgP trimestralmente, poiché è possibile mantenere sotto controllo i fattori di rischio primari e secondari, mantenere alta la motivazione e la compliance e soprattutto ridurre il rischio di recidiva in concomitanza a stress e/o a eventi avversi personali dei pazienti. È inoltre indispensabile la cessazione dell’abitudine al fumo sopratutto se il numero di sigarette giornaliero supera le 6-7, in quanto la risposta alla terapia nei pazienti fumatori è significativamente inferiore e l’incidenza di recidive è superiore.
Bibliografia
1. Armitage G. C. (2004) Periodontal diagnoses and classification of periodontal diseases. Periodontology 2000 34, 9-21.
2. Trombelli L, Farina R, Ferrari S, Pasetti P, Calura G. (2009) Comparison between two methods for periodontal risk assessment. Minerva Stomatol 58: 277-87.
3. Heitz-Mayfield LJ. (2005) Disease progression: identification of high-risk groups and individuals for periodontitis J Clin Periodontol. 2005;32: 196-209.
4. American Academy of Periodontology (2000) Parametres on aggressive periodontitis. Journal of periodontology 71, 867-869.
5. Albandar, J. M. & Tinoco, E. M. (2002) Global epidemiology of periodontal disease in children and young persons. Periodontology 2000 29,153-176.
6. Demmer R. T., Papapanou P. N. (2010) Epidemiologic patterns of chronic and aggrerssive periodontitis. Periodontology 2000 53, 28-54.
7. Van der Weijden GA, Timmerman MF. (2002) A systematic review on the clinical efficacy of subgingival debridement in the treatment of chronic periodontitis. J Clin Periodontol.
8. Tunkel J, Heinecke A, Flemmig TF. (2002) A systematic review of efficacy of machine-driven and manual subgingival debridement in the treatment of chronic periodontitis. J Clin Periodontol: 29(Suppl. 3): 72–81.
9. Lang NP, Tan WC, Krahenmann MA, Zwahlen M. (2008) A systematic review of the effects of full-mouth debridement with and without antiseptics in patients with chronic periodontitis. J Clin Periodontol: 35: 8–21.
10. Deas D. E. Mealey, B. L. (2010) response of chronic and aggressive periodontitis to treatment. Periodontology 2000 53, 144-166.
11. Danser M. M., Timmermann M. E., van Wikelhoff A. J., Van der Velden U. (1996) The effect of periodontal treatment of periodontal bacteria on the oral mucous membranes. Journal of Periodontology 67 473-485.
12. Koshy. G., Congert, E. F., Ishikawa I. (2004) A full mouth disinfection approach to non- surgical periodontal treatment prevention of reinfection from bacterial reservoirs. Periodontology 2000 36, 166-178.
13. Quirynen. M., Bollen. C. M. L., Vondekerckhove. B. N., Dekeyser, C., Papaioannou, W., Eyssen, H. (1995) full versus partial mouth disinfection in the treatment of periodontal infection. Short term clinical and microbiological observation. Journal of Dental Research 74 1459-1467.
14. Eberhard J., Jervoe Storm P. M., Needleman I., Worthington. H., Jepsen, S. (2008) Full mouth treatment concepts for chronic periodontitis a systematic review. Journal of clinical periodontology 35, 591-594.
15. Teughels, W., Dekeyser. C., Van Esseche, M., Quirynen, M. (2009) one stage full mouth disinfection fiction or reality? Periodontology 2000 50, 39-51.
16. Bollen, C. M. L., Mongardini C., Papaioannou, W., Van Steenberghe, D., Quirynen, M. (1998) the effect of a one stage full mouth disinfection on different intra oral niches. Clinical and microbiological observations. Journal of clinical Periodontology 25, 56-66.
17. Mongardini, C., Van Steenberghe, D., Dekeyser C., Quirynen, M. (1999) One stage full mouth disinfection in the treatment of chronic adult or generalized early onset periodontitis. Journal of periodontology 70, 632-645.
18. Quirynen, M., Mongardini, C., Pauwels. M., Boven , C. M., van Eldere, J., Van Steenberghe, D. (1999) One stage full versus partial mouth disinfection in the treatment of chronic and generalized early onset periodontitis II, long term impact on microbial load. Journal of periodontology. 70, 646-656.
19. De Soete, M., Mongardini, C., Pauwels, M., Haffajee, A., socransky, S., Steenberghe, D., Quirynen, M. (2001) one stage full mouth disinfection. Long term microbiological results analyzed by checkerboard DNA-DNA hybridization.journal of periodontology 72, 374-382.
20. Guerrero, A.,Griffiths, G. S., Nibali, L., Savan, J.,Moles, D. R., Laurell, L., Tonetti, M. S. (2005) Adjunctive benefits of systematc amoxicillin and metronidazole in non surgical treatment of generalized aggressive periodontitis. A randomized placebo-controlled clinical trial. Journal of periodontology 32, 1096-1107.
21. Xajigeorgiou, C., Sakellari, D., Slini, T., Baka, A., Konstantinidis, A. (2006) clinical and microbiological effects of a different antimicrobials on generalized aggressive periodontitis. Journal of clinical periodontology 33, 254-264.
22. Kaner D, Bernimoulin JP, Hopfenmüller W, Kleber BM, Friedmann A.(2007)
Controlled-delivery chlorhexidine chip versus amoxicillin/metronidazole as adjunctive antimicrobial therapy for generalized aggressive periodontitis: a randomized controlled clinical trial.J Clin Periodontol. 34(10):880-91.
23. Mestnik, M. J., feres, M. F., Gueredo, L. C., Duarte, P. M., Lira, E. A. G., Faveri, M. (2010) short term benefits of adjunctive use of metronidazole plus amoxicillin in the microbial profile and in the clinical parametres of subjects with aggressive periodontitis. Journal of clinical periodontology 37, 353-365.
24. Yek, E. C. Cintan, S., Topeougglu, H., Kulekci, G., Issever, H., Kantarci, A.(2010) efficacy of amoxicillin and metronidazole combination for the management of generalized aggressive periodontitis. Journal of periodontology 81,964-974.
25. Herrera, D., sanz m., Jepsen, S., Needlemann, I., Roldan, S. (2002) a systematic review on the effect of systemic antimicrobials as an adjunct to scaling and root planing in the periodontal patients. Journal of clinical periodontology 29, 136-139.
26. Haffajee, A., D., Socransky, S., Gunsolley, J.(2003)a systemic antiinfective periodontal therapy. A systematic review. Annals of periodontology 8, 115-185.
27. American Academy of Periodontology(2004) Position paper, systemic antibiotics in periodontics. Journal of periodontology 75, 1153-1565.
28. Herrera, D., Alons, B., Leon, R., Roldan, S., Sanz, M. (2005) Antimicrobial therapy in periodontitis, the use of systemic antimicrobialals against the subgingival biofilm. Journal of clinical periodontology 35, 45-66.
29. Pavicic, M. J., Winkelhoff, A. J., Pavicic-Temming, Y. A., Graaf, J. (1994) Amoxicillin causes an enhanced uptake of metronidazole in Actibacillus actinomycetemcomitans. A mechanism synergy. Journal of Antimicrobial Chemioterapy 34, 1047-1050.
30. Ishikawa, I., Kawashima, Y., Oda, S., Iwata, T., Arakawa, S.(2002) Three case reports of aggressive periodontitis associated with porphyromonas gingivalis in younger patients. Oral microbiology Immunology 19, 314-321.
31. Lee, J. W., Choi, B. K., Yoo, Y. J., Choi, S. H., Cho, K. S. Chi, J. K., Kim C. K. (2003) Distribution of periodontal pathogens in Korean aggressive periodontitis. Journal of Periodontology 74, 1329-1335.
32. Takeuchi, Y., Umeda, M., Ishizuka, M., Huang, Y., Ishikawa, I. (2003) prevalence of periodontopathic bacteria in aggressive periodontitis patients in a Japanese population. Journal of periodontology 74, 1460-1469.
33. Kamma, J. J., Nakou, M., Gmur, R., Baheni, P. C. (2004) microbiological profile of early onset/aggressive periodontitis patients. Oral Microbiology Immunology 19, 314-321.
34. Faveri M, Mayer M. P., Feres M, Figeredo L. C., Dewhirst F. E., Paster B. J. (2008) microbiological diversity of generalized aggressive periodontitis by 16S rRNA clonal analysis. Oral Microbiology and Immunology 23, 112-118.
35. Armitage G. C.(1999) development of a classification and conditions. Annals of periodontology 4, 1-6
36. Aimetti M, Romano F, Guzzi N, Carnevale G. (2012) Full mouth disinfection and systemic antimicobial therapy in generalized aggressive periodontitis. A randomized placebo-controlled trial. J Clin periodontal 39, 284-294.
37. Heller D, Varela D. M, Silva-Senem M. X., Torres M. C. B, Feres- Filo, E. J, Colombo A. P. V. (2011) impact of systemic antimicrobials combined with antiinfective mechanical debridement on the microbiota of generalized aggressive periodontitis. A 6 months RCT. Journal of Clinical Periodontology. 35.355-364.
38. Tomasi C, Bertelle A, Dellasega E, Wennstro ̈m JL (2006) Full-mouth ultrasonic debridement and risk of disease recurrence: a 1-year follow-up. J Clin Periodontol. 33, 626-631.
L'articolo è stato pubblicato sul numero 4 di Dental Tribune Italy 2014.
La parodontite aggressiva è una patologia che colpisce i tessuti parodontali superficiali e profondi portando alla progressiva perdita di attacco e ...
Le malattie parodontali possono causare gravi invalidità quali la perdita o la riduzione della funzionalità dell’apparato ...
Milano, mercoledì 16 ottobre presso il Superstudio Più, si è tenuta la Consensus Conference dei soci attivi dell’Italian Academy of Osseointegration ...
Jena – L’ipnosi allieva il dolore, riduce lo stress psicologico e favorisce il recupero dopo l’intervento chirurgico: questo è il ...
Gli obiettivi principali di ogni trattamento professionale sono l’arresto della malattia in corso e il mantenimento della salute orale e della sua ...
STOCKHOLM, Svezia: La resistenza agli antibiotici come conseguenza dell’eccessiva prescrizione è un argomento di grande preoccupazione per i ricercatori ...
LEIPZIG, Germania: Esistono opinioni e prove contrastanti sull’uso degli antibiotici prima e dopo la chirurgia implantare e nel trattamento della ...
Secondo uno studio recente, la forza dell’allineatore dipende dal tipo di materiale e dalla direzione del movimento; i materiali multistrato sono ...
I sistemi di tomografia computerizzata Cone Beam (CBCT) sono tra i più avanzati dispositivi di imaging disponibili sul mercato. La visione ...
Il gold standard nella rimozione del biofilm fino ad oggi è stato considerato lo scaling and root planning sopra e sottogengivale eseguito con ...
Live webinar
lun. 19 gennaio 2026
19:00 (CET) Rome
Philipp Kopp, Michael Seeber
Live webinar
gio. 22 gennaio 2026
15:00 (CET) Rome
Prof. Judith Jones D.D.S; M.P.H., Prof. Kakuhiro Fukai D.D.S., Ph.D, Dr. Bathsheba (Bethy) Turton
Live webinar
gio. 22 gennaio 2026
20:00 (CET) Rome
Dr. Nicola M. Grande DDS, PhD
Live webinar
mer. 28 gennaio 2026
14:00 (CET) Rome
Live webinar
mer. 28 gennaio 2026
17:00 (CET) Rome
Prof. Dr. Jan-Frederik Güth
Live webinar
mer. 28 gennaio 2026
17:00 (CET) Rome
Dr. Algimante Lošytė – Jančė
Live webinar
mer. 28 gennaio 2026
18:00 (CET) Rome
To post a reply please login or register