Search Dental Tribune

Articoli

Filtro

ANDI in audizione alla Commissione Giustizia della Camera. Prada: «La Legge sull’Abusivismo va approvata al più presto»

Si è svolta mercoledì pomeriggio l’Audizione alla Commissione Giustizia della Camera dei Deputati in merito alla Legge ...

salvare

ANTLO in audizione alla Commissione Giustizia per sanare lo “scippo con destrezza”

Come si rammenterà lo scorso aprile il Senato ha approvato il DDL 471 (misure di contrasto all'abusivismo - primo firmatario il Sen. Marinello) con ...

salvare

Un nuovo dispositivo orale consente ai pazienti di udire tramite la lingua

FORT COLLINS (Colorado, USA) Circa 36 milioni di persone nei soli Stati Uniti soffrono di perdita dell'udito. Sebbene dispositivi acustici impiantati ...

salvare

Sicilia, l’assessore regionale Caruso “apre” ai liberi professionisti

Palermo, 29 gennaio – L’assessore al Lavoro della Regione, Bruno Caruso, non ha escluso la possibilità di misure ad hoc per rilanciare ...

salvare

Il DBGRaft-T evoluzione studiata in particolare per l’applicazione in ambito odontostomatologico della pasta d’osso DBGraft prodotta e distribuita dalla BCTM dal 2011

L’esperienza Chirurgica Ortopedica e la Ricerca Scientifica applicata alla clinica dell’istituto Ortopedico Rizzoli hanno messo a punto un nuovo...

salvare

Fare il dentista (almeno negli Stati Uniti) sarà il lavoro più soddisfacente nell’anno 2015

WASHINGTON (Usa) - Ogni anno, U.S. News & World Report elenca i 100 lavori top. Quest'anno, l'editore ha annunciato che il dentista e l’igienista ...

salvare
advertisement

Dal 20 marzo 2015 l’Odontoiatra diventa sentinella della prevenzione

“Sentinelle della prevenzione” è lo slogan che l’Aio, Associazione Italiana Odontoiatri ha coniato per la Giornata Internazionale ...

salvare

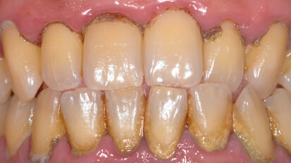
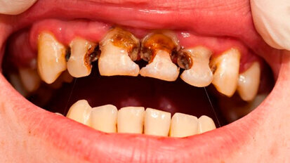
Disarmonia degli elementi frontali

La disarmonia e il disallineamento degli elementi dentali, soprattutto del gruppo frontale superiore, rappresentano sempre una sfida per il clinico e il ...

salvare

Il DBGRaft-T evoluzione studiata in particolare per l’applicazione in ambito odontostomatologico della pasta d’osso DBGraft prodotta e distribuita dalla BCTM dal 2011

L’esperienza Chirurgica Ortopedica e la Ricerca Scientifica applicata alla clinica dell’istituto Ortopedico Rizzoli hanno messo a punto un nuovo...

salvare

Disarmonia degli elementi frontali

La disarmonia e il disallineamento degli elementi dentali, soprattutto del gruppo frontale superiore, rappresentano sempre una sfida per il clinico e il ...

salvare

L’Associazione australiana dell’industria dentale chiede norme più rigorose per i prodotti di laboratorio

SYDNEY - The Australian Dental Industry Association (ADIA) ha suggerito al Governo di rivedere la regolamentazione dei dispositivi medici rendendo ...

salvare

Ampio il ventaglio dei temi trattati al congresso annuale di ANDI Piemonte

Ad aprire il Congresso Annuale ANDI Piemonte presso il Centro Congressi Lingotto di Torino sabato 31 gennaio è stato Massimo Simion, intrattenendo la...

salvare
advertisement

All’Eataly di Milano la Colgate presenta la piramide odontoalimentare, il regolario e un nuovo dentifricio neutralizzatore degli acidi dello zucchero

A Milano nel corso di un’affollata conferenza stampa indetta dalla Colgate all’interno di Eataly (scelta non occasionale) è stata ...

salvare

La denuncia di Luperini (U.N.I.D.) “Un terzo dei contributi degli igienisti viene versato senza effettivo riscontro pensionistico e non corrisponde a un allargamento delle tutele”

Le pressioni fiscali del lavoratore autonomo, sono sempre state la nota dolente di un sistema di contributi, che non tutela il mondo delle partite iva e ...

salvare

La Legge di Stabilità 2015 nasconde un mini condono?

Un condono… molti lo bramano ed altrettanti lo disdegnano. Diverse la ragioni, spesso frutto di esperienze personali. Talvolta di preconcetti. ...

salvare

Procedura di incremento osseo verticale con tecnica GBR

L’inserimento d’impianti dentali è oramai una pratica quotidiana per la riabilitazione delle edentulie, parziali o totali, dei ...

salvare
advertisement

L’ingresso dei fondi sanitari in un sistema ultracompetitivo

Il mercato sta cambiando e l’odontoiatria è chiamata a un cambio di prospettiva: l’attenzione passa dall’offerta di cure alla ...

salvare

“Un colpo al cerchio e uno alla botte” Le novità fiscali 2015 per i professionisti

Con l’avvento del 2015 assistiamo a un nuovo cambio di strategia del fisco. Si tratta in realtà di una ennesima dichiarazione in questo senso, ...

salvare

Lettera di Amedeo Bianco ai presidenti Fnomceo e Cao: «Non mi ricandido alle prossime elezioni»

«Allo scopo di facilitare il confronto che porterà alle proposte di programmi e di candidature per il rinnovo del Comitato Centrale della ...

salvare

IDS Colonia: previsioni confortanti per il successo dell’edizione 2015

Si profila un nuovo successo per l’IDS (International Dental Show) di Colonia la kermesse odontoiatrica mondiale che si svolge con frequenza biennale...

salvare
advertisement

L’AIO progetta il dentista sentinella rilevando i bisogni del territorio con medici e pediatri

Un dentista che fa prevenzione, scopre malattie e collabora con il medico di famiglia nel gestire la salute orale del paziente, rimandandogli i casi in cui ...

salvare

Il protocollo tailoring di sbiancamento. Per un feedback endo valutativo di un odontoiatra testimonial delle sue terapie cosmetiche. Case report

L’estetica è in grado di produrre nuove opportunità per il paziente e per il professionista come conseguenza della maggiore attenzione ...

salvare
advertisement

Il protocollo tailoring di sbiancamento. Per un feedback endo valutativo di un odontoiatra testimonial delle sue terapie cosmetiche. Case report

L’estetica è in grado di produrre nuove opportunità per il paziente e per il professionista come conseguenza della maggiore attenzione ...

salvare

In arrivo a Nobel Biocare il nuovo Direttore del settore Finanza

Zurigo - Nobel Biocare annuncia la nomina di un nuovo Direttore Finanza. A partire dal 1 febbraio, Tullio Di Dio prende il posto di Oliver Walker, il quale ...

salvare

A cura della Tecno Gaz nasce un’Accademia formativa per una miglior comunicazione tra agenti di commercio e odontoiatri

Il secondo/terzo mercato odontoiatrico europeo, il nostro vituperato Paese, è in rapida trasformazione e, sotto la spinta evolutiva (o involutiva) di...

salvare

RHEIN83, ANDI ed ANTLO insieme a Lamezia Terme

Sabato 24 gennaio a Lamezia terme è stata organizzata una conferenza dal titolo “Overdenture su impianti: attualità ed innovazioni per ...

salvare
advertisement

Enpam: per la quota B, sanzioni ridotte per chi versa entro il 29 gennaio

Per i medici e gli odontoiatri che non hanno scelto l’addebito diretto sul conto corrente, il 31 ottobre scorso sono scaduti i termini per pagare la ...

salvare

Agenti emostatici locali di sintesi a base di cellulosa ossidata rigenerata

Attuali orientamenti per la gestione del paziente scoagulato in chirurgia orale ambulatoriale. La gestione del sanguinamento intra- e post-operatorio ...

salvare

La Corte Conti: “Senza investimenti a rischio Lea”. Cresce la spesa degli italiani per i farmaci, +66% in 5 anni

Senza investimenti in sanità, soprattutto nell'assistenza domiciliare e territoriale e nell'ammodernamento tecnologico, sono a rischio i Lea (Livelli...

salvare

Cambiamenti per i test di accesso a Medicina: materie più specifiche, corsi preventivi pubblici, no al modello francese

Due importanti novità riguardo ai test di ammissione alla facoltà di Medicina. La prima, fondamentale, è che i test d’ammissione ...

salvare
advertisement
advertisement