Search Dental Tribune

Articoli

Filtro

Il nuovo screening per individuare precocemente il cancro orale con un semplice tampone: Geneticlab presenta “OP Test”

Il progetto dell’azienda vicentina, in collaborazione con docenti dell'Università di Torino, aiuterà i pazienti nella diagnosi precoce ...

salvare

Estetica e CAD/CAM un binomio vincente

Appare ormai evidente che in odontoiatria le nuove tecnologie CAD/CAM permettono l’utilizzo di materiali ceramici estremamente utili per rispondere ...

salvare

Estetica e CAD/CAM un binomio vincente

Appare ormai evidente che in odontoiatria le nuove tecnologie CAD/CAM permettono l’utilizzo di materiali ceramici estremamente utili per rispondere ...

salvare

Creato in Svizzera un dente artificiale che imita la microstruttura naturale

Zurigo – Gli studiosi di materiali dell’ETH (Istituto Federale Svizzero di Tecnologia) hanno sviluppato una nuova procedura che permette di ...

salvare

Virtù (ma soprattutto vizi) dell’amalgama in un convegno al Senato della Repubblica

Lunedì 12 ottobre si è svolto presso l’Istituto di S. Maria in Aquiro del Senato della Repubblica un convegno su “Amalgama versus ...

salvare

Nuove disposizioni che non migliorano efficacia legislativa, sicurezza e performance dei prodotti

Al Consiglio UE, che non ha accolto gli emendamenti proposti dal Parlamento europeo per evitare di classificare come “ad alto rischio” la ...

salvare
advertisement

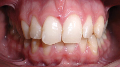
Il trattamento ClearCorrect® per l’accavallamento e la costrizione delle arcate dentali

Un uomo di 21 anni si presenta con un importante disturbo dovuto a una ricaduta di un trattamento ortodontico effettuato durante l’adolescenza. Ha ...

salvare

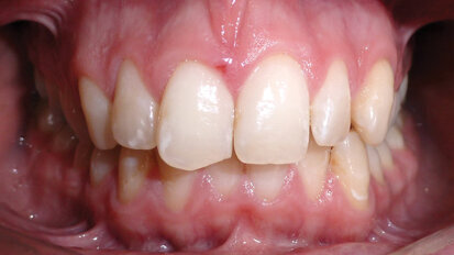
Il trattamento ClearCorrect® per l’accavallamento e la costrizione delle arcate dentali

Un uomo di 21 anni si presenta con un importante disturbo dovuto a una ricaduta di un trattamento ortodontico effettuato durante l’adolescenza. Ha ...

salvare

Ricordo di Fulvio Tonesi, fondatore del laboratorio Wisil Latoor

Fulvio Tonesi non è stato una persona comune: personaggio eclettico dell’odontotecnica e dell’odontoiatria per oltre 60 anni e fondatore ...

salvare

I fumatori rischiano di perdere i denti più degli altri: lo dice una ricerca

POTSDAM, Germania/BIRMINGHAM, Gran Bretagna: la perdita dei denti rimane il maggior problema di salute pubblica nel mondo. Nell’insieme circa il 30% ...

salvare

All'affollatissimo Festival della Salute di Viareggio (centomila presenze) Overland for Smile e l'Istituto Stomatologico Toscano in primo piano

Termina con numeri importanti l’VIII edizione del Festival della Salute, che si è svolto a Viareggio da giovedì 24 a domenica 27 ...

salvare

L’Enpam presenta il bilancio sociale “sempre in positivo per i prossimi 50 anni”

Sostenibilità e sicurezza, welfare di categoria, gestione del patrimonio e sostegno al Sistema Italia. Sono le quattro sfide affrontate ...

salvare
advertisement

Quarto BTI DAY

Semplicità ed affidabilità, con un occhio di riguardo rivolto al potenziale biologico dell’uomo. Queste le chiavi del successo in ambito...

salvare

La Rhein83 alla Dental School di Torino

La Rhein83, nota azienda Bolognese, da sempre ha nel suo DNA tre parole: “Formazione, cultura e ricerca”. Questa mission ha portato ...

salvare

Prevalenza della parodontite nella popolazione torinese

Risultati della prima ricerca epidemiologica in Italia secondo le linee guida dei Centers for Disease Control and Prevention e dell’American Academy ...

salvare

Prevalenza della parodontite nella popolazione torinese

Risultati della prima ricerca epidemiologica in Italia secondo le linee guida dei Centers for Disease Control and Prevention e dell’American Academy ...

salvare
advertisement

La malattia orale indotta da zucchero è la più onerosa per il sistema sanitario tedesco

HALLE (Germania) – In occidente, le malattie non trasmissibili, come obesità, diabete, malattie cardiovascolari e carie sono riconducibili ...

salvare

Emocomponenti non trasfusionali? Un ausilio terapeutico di grande interesse

L’utilizzo degli emocomponenti non trasfusionali come ausilio terapeutico nella pratica clinica, in particolar modo in ambito chirurgico, è ...

salvare

Quando l’infezione rientra fra i rischi lavorativi e assistenziali dello studio odontoiatrico

La domanda che ci si deve porre quando si esamina un evento sanitario è: «È un problema di salute?». Questo significa definire ...

salvare

Quando l’infezione rientra fra i rischi lavorativi e assistenziali dello studio odontoiatrico

La domanda che ci si deve porre quando si esamina un evento sanitario è: «È un problema di salute?». Questo significa definire ...

salvare
advertisement

Nuovo Software: INLAB 15.0 “un software alla ricerca dell’arte odontotecnica”

Il nuovo software inLab 15.0 è un miglioramento a tutto tondo, concepito per soddisfare le esigenze CAD/CAM del laboratorio odontotecnico. Con i suoi...

salvare

Nuovo Software: INLAB 15.0 “un software alla ricerca dell’arte odontotecnica”

Il nuovo software inLab 15.0 è un miglioramento a tutto tondo, concepito per soddisfare le esigenze CAD/CAM del laboratorio odontotecnico. Con i suoi...

salvare
advertisement

Considerazioni di Farronato dinanzi al dilagare della carie

L’incremento della carie nel mondo comporta alcune riflessioni. Ne abbiamo parlato con il titolare della cattedra di Ortognatodonzia ...

salvare

Servizi e progetti condivisi (fatta salva l’autonomia) ecco l’obiettivo dei “Professionisti del Sorriso”

Obiettivo? Riunire gli studi dentistici per un più facile uso di servizi e progetti in un’autonomia libero professionale quando si decide delle...

salvare

The House of Gnathology

Si è concluso a Torino il XXXVIII Congresso Internazionale della Associazione Italiana di Gnatologia. La manifestazione che ha avuto come argomento ...

salvare

Impianti anche con i capelli bianchi: perché l’età avanzata di per sé non è una controindicazione

Durante la sessione mattutina di venerdì 25 settmebre all’EAO 2015 di Stoccolma, Martin Schimmel della Divisione di Geroodontologia ...

salvare
advertisement

Delogu a Lorenzin: elenco prestazioni concedibili in odontoiatria non guarda a prevenzione

«Al di là delle singole indicazioni prescrittive, che ci riserviamo di valutare nel merito da sindacato e da provider di formazione, il decreto...

salvare

3° Congresso dell'Istituto Stomatologico Toscano a Viareggio, il 29 e 30 gennaio 2016

È ben noto come nell’arco di dieci anni le conoscenze acquisite nel corso degli studi universitari vengano in gran parte superate dalla ...

salvare

Osteology a Firenze: oltre mille partecipanti per trovare risposte ai grandi dubbi clinici

L'edizione biennale di Osteology, edizione italiana, apre le porte il 1° ottobre a Firenze con il corso precongressuale del mattino, sul tema dei ...

salvare

Scienziati neozelandesi sviluppano un nuovo metodo per preservare i denti cariati

Otago, Nuova Zelanda: la carie è una delle malattie croniche più diffuse in Nuova Zelanda e nel resto del mondo. I ricercatori della ...

salvare
advertisement
advertisement