Search Dental Tribune

Articoli

Filtro

I pazienti al giorno d’oggi tendono ad andare più spesso in tribunale

Che si tratti di un errore di negligenza o di un caso di errore di valutazione, anche il professionista più esperto può commettere un errore. ...

salvare

Presentato il ricorso ANDI al Tar contro l’obbligo di invio delle spese sanitarie attraverso il Sistema Tessera Sanitaria

Annullare il Decreto Ministeriale del Ministero dell’Economia e delle Finanze “Specifiche tecniche e modalità operative relative alla ...

salvare

I pazienti al giorno d’oggi tendono ad andare più spesso in tribunale

Che si tratti di un errore di negligenza o di un caso di errore di valutazione, anche il professionista più esperto può commettere un errore. ...

salvare

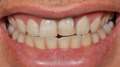
Trattamento biomimetico grazie a una scala colori intelligente modificabile in un caso post-trauma

Il paziente T.M. è giunto nel mio studio a seguito della segnalazione da parte di un endodontista di Auckland. I denti 11 e 21 avevano subito un ...

salvare

Orgoglio EXPO: SIDO c’è. Chiuso il 46° Congresso Internazionale con il record di partecipanti

Milano, novembre 2015. Insieme ad EXPO ha chiuso i battenti anche l’edizione del 46° Congresso Internazionale della Società Italiana di ...

salvare

Henry Schein Krugg espone al Colloquium Dental di Brescia

Uno dei distributori leader di prodotti odontoiatrici in Italia ha presentato soluzioni proiettate al futuro per un flusso di lavoro digitale ideale tra ...

salvare
advertisement

Olivia Marchisio Workshop e Symposium Organizer nel direttivo dell’Oral Health Research Group dello IADR

L’Italia è oggi ben rappresentata in quella importante istituzione internazionale che è lo IADR.

salvare

Henry Schein Krugg espone al Colloquium Dental di Brescia

Uno dei distributori leader di prodotti odontoiatrici in Italia ha presentato soluzioni proiettate al futuro per un flusso di lavoro digitale ideale tra ...

salvare

Trattamento biomimetico grazie a una scala colori intelligente modificabile in un caso post-trauma

Il paziente T.M. è giunto nel mio studio a seguito della segnalazione da parte di un endodontista di Auckland. I denti 11 e 21 avevano subito un ...

salvare

Irruvidire, pulire e preparare: le sabbiatrici nello studio dentistico sono una vera “bomba” per i pazienti

Affidati alle mani di un esperto competente: il processo di sabbiatura è la scelta giusta per la pulizia e l’irruvidimento delle superfici ...

salvare

A 20 anni dal suo avvio Peter Asselmann tira le somme di Colloquium 2015 e parla del futuro

La sintesi di cosa abbia significato come valenza economico-odontoiatrica il Colloquium-Italian Dental Show, a Montichiari di Brescia (22/24 ottobre) a ...

salvare

Irruvidire, pulire e preparare: le sabbiatrici nello studio dentistico sono una vera “bomba” per i pazienti

Affidati alle mani di un esperto competente: il processo di sabbiatura è la scelta giusta per la pulizia e l’irruvidimento delle superfici ...

salvare
advertisement

Oltre 20 milioni di italiani soffrono per le gengive: prime linee guida e Decalogo promossi da SIDP, EFP, AAP, APSP

Spazzolare i denti per almeno 4 minuti perché i due canonici non bastano, via libera al test-spia che con una sonda speciale riesce a fare la ...

salvare

Medici e politici a confronto a Parma su formazione, responsabilità professionale e medicina fiscale

Venerdì 6 novembre si tiene a Parma il convegno Il cambiamento in sanità tra formazione, responsabilità, nuovi modelli organizzativi e ...

salvare

Dobbiamo rimanere aperti a nuove idee folli

Il concetto di osteointegrazione è stato applicato agli impianti dentali per diversi decenni. Come un chirurgo ortopedico e un ingegnere, il dottor ...

salvare

A Torino in Dental School si parla di protesi rimovibile

La Rhein83, nota azienda Bolognese leader per la produzione di attacchi per la protesi rimovibile, da sempre è attenta alla formazione. Da qualche ...

salvare
advertisement

Bifosfonati: una minaccia o un’opzione?

La maggior parte dei dentisti diventeranno familiari con i bifosfonati principalmente come causa di osteonecrosi della mandibola (ONJ). L’osteonecrosi...

salvare

meridol® partner dell’evento “Diabete e disturbi gengivali: tra realtà e miti da sfatare”

Milano, ottobre 2015 ‒ Il giorno 27 ottobre si è tenuto a Roma l’evento “Diabete e disturbi gengivali: miti da sfatare”, volto a ...

salvare

F22 ALIGNER: l’allineatore invisibile

In occasione del 46° Congresso Internazionale SIDO (Milano, 29-31 ottobre 2016) Sweden & Martina presenta uno straordinario allineatore, frutto di ...

salvare

F22 ALIGNER: l’allineatore invisibile

In occasione del 46° Congresso Internazionale SIDO (Milano, 29-31 ottobre 2016) Sweden & Martina presenta uno straordinario allineatore, frutto di ...

salvare
advertisement

Composite mock-up & design software assistito

L’estetica in odontoiatria richiede sempre più attenzione non solo sull’operatività e il workflow digitale, ma anche e soprattutto...

salvare

46° Congresso della Società Italiana di Ortodonzia (SIDO) all’insegna di internazionalizzazione e interdisciplinarietà

Ortodontisti, paradontologi e implantologi insieme per realizzare il progetto di una forte e bella “casa”, la nostra bocca. Sin dai primi anni ...

salvare
advertisement

Legge stabilità, da AIO molti ok ma anche molte riserve

L’Associazione Italiana Odontoiatri riconosce aspetti positivi nella bozza di legge di stabilità, dalla formazione ai super-ammortamenti. Il ...

salvare

Nasce BioHorizons Italia

BioHorizons è lieta di annunciare l’apertura della nuova organizzazione di Business dedicata ai professionisti italiani. Scienza, Innovazione e...

salvare

Composite mock-up & design software assistito

L’estetica in odontoiatria richiede sempre più attenzione non solo sull’operatività e il workflow digitale, ma anche e soprattutto...

salvare

Nasce BioHorizons Italia

BioHorizons è lieta di annunciare l’apertura della nuova organizzazione di Business dedicata ai professionisti italiani. Scienza, Innovazione e...

salvare
advertisement

Sperimentati dagli scienziati nuovi biomateriali a base di “microdiamanti” per la terapia canalare

LOS ANGELES (Usa). Una nuova ricerca condotta presso l’University della California, a Los Angeles (UCLA), ha dimostrato che l'uso di microdiamanti ...

salvare

Partite Iva: dalla Confprofessioni tre proposte alla camera per sostenere il lavoro autonomo e professionale

Sconti contributivi, tutele di welfare e fondi strutturali. In audizione alla Commissione Lavoro della Camera, il presidente di Confprofessioni lancia tre ...

salvare

Tanta più carie nel bambino se la madre è stressata

SEATTLE (Usa), Londra (GB). Una recente ricerca collega lo stress materno cronico a una più alta incidenza di carie tra i bambini. Condotta dai ...

salvare

Protesi (fatta o no dal dentista): le “doverose precisazioni” del presidente ANTLO Massimo Maculan

In merito all'articolo pubblicato su Dental Tribune del 20 ottobre dal titolo "La protesi fatta dal dentista? È frutto di attività ...

salvare
advertisement
advertisement