L’estetica è in grado di produrre nuove opportunità per il paziente e per il professionista come conseguenza della maggiore attenzione che il marketing manifesta verso gli aspetti estetici.
L’estetica è una disciplina antica che si occupa della teoria della conoscienza sensibile, e cioè della capacità da parte dei nostri cinque sensi di apprendere e riconoscere.
Citando Piero Iafrate: «Abbinare il marketing all’estetica significa prendere in considerazione ogni singolo elemento percettivo, poichè ogni elemento percettivo dà forza e sostanza agli elementi di consumo che si sta sempre più sensibilizzando». Si tratta dunque di un tipo di comprensione che non conduce al concetto ma all’esperienza.
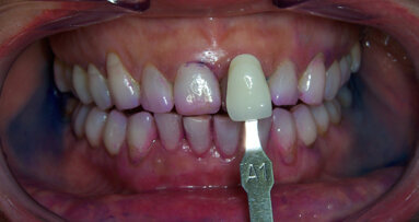
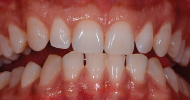
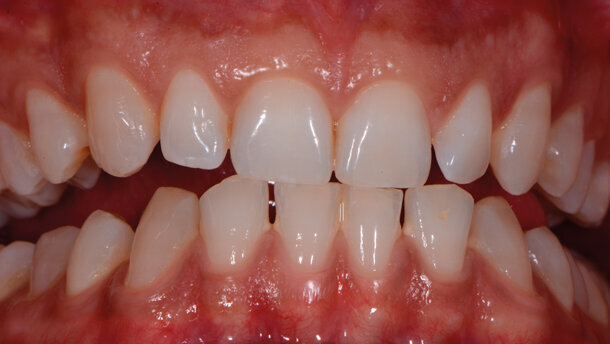
Case report Un paziente di anni 29 di sesso maschile si presenta per un controllo. In apparente salute sistemica, riferisce di avere bisogno di mostrare un sorriso luminoso e bianco poiché, essendo un odontoiatra, ha deciso di dedicarsi alla pratica clinica quasi esclusivamente estetica e cosmestica, comprese le tecniche di antiagening periorali (fotoringiovanimento e filler), e vuole valorizzare nei confronti dei suoi pazienti il suo aspetto curato e il sorriso smagliante, a mo’ di modello per corretti stili di salute orale; essere quindi testimonial esso stesso dell’efficacia delle terapie proposte.
L’incessante aumento della domanda di trattamenti cosmetici del sorriso ha imposto a molti operatori del settore odontoiatrico una presa di posizione ...
La ricerca del sorriso estetico ha portato tutte le branche della medicina odontoiatrica a cercare delle soluzioni terapeutiche che coniughino la conoscenza...
La ricerca del sorriso estetico ha portato tutte le branche della medicina odontoiatrica a cercare delle soluzioni terapeutiche che coniughino la conoscenza...
I rapporti tra le patologie che interessano la polpa dentaria e quelle riguardanti il parodonto marginale si verificano attraverso le connessioni anatomiche...
L’approccio al paziente adulto è sempre di difficile gestione e pianificazione. A volte per poter risolvere gravi affollamenti si ritiene necessario ...
Introduzione
La fotobiomodulazione (PBM), storicamente nota anche come low-level laser therapy (LLLT), è una metodica non invasiva che utilizza luce a ...
CHENGDU, Cina: Lo sviluppo della radice dentale dipende da precisi meccanismi di comunicazione cellulare. Ricercatori cinesi hanno dimostrato come due geni,...
BALTIMORA, Stati Uniti: Crescenti evidenze suggeriscono che il microbioma orale possa influenzare lo sviluppo di tumori anche al di fuori del cavo orale. In...
I ricercatori hanno recentemente scoperto che Fusobacterium nucleatum promuoveva la crescita e la diffusione del tumore al seno in modelli preclinici di carcinoma mammario (Immagine: Dr_Microbe/Adobe Stock).
BALTIMORA, Stati Uniti: Crescenti evidenze suggeriscono che il microbioma orale possa influenzare lo sviluppo di tumori anche al di fuori del cavo orale. In un recente studio preclinico, i ricercatori hanno indagato se uno specifico batterio orale associato alla malattia parodontale possa essere considerato un fattore di rischio per il tumore al seno.
I risultati indicano che il batterio potrebbe contribuire all’insorgenza e alla progressione del carcinoma mammario. Questi dati si aggiungono a un corpo di evidenze in crescita sugli effetti sistemici dei patogeni orali e sottolineano l’importanza della salute orale nella prevenzione globale delle malattie.
La dott.ssa Dipali Sharma, professoressa di oncologia presso il Johns Hopkins University Sidney Kimmel Comprehensive Cancer Center di Baltimora e autrice senior dello studio, ha dichiarato a Dental Tribune International che la ricerca è stata motivata dalle crescenti evidenze che collegano le patologie orali al cancro. Ha osservato che alcuni patogeni orali, come quelli strettamente associati alla malattia parodontale, possono avere effetti biologici più ampi al di fuori del cavo orale.
«Abbiamo riscontrato la presenza di F. nucleatum nel tessuto del carcinoma mammario. È interessante notare che l’abbondanza di questi batteri nei tumori al seno era positivamente correlata con i livelli orali di questi patogeni nello stesso paziente», ha spiegato la prof.ssa Sharma.
La prof.ssa Dipali Sharma della Johns Hopkins University ha partecipato a un recente studio che ha prodotto risultati nuovi e significativi su una possibile associazione tra batteri orali e lo sviluppo del tumore al seno (Immagine: prof.ssa Dipali Sharma).
«Abbiamo inoltre osservato che topi sani ai quali è stato somministrato F. nucleatum hanno sviluppato iperplasia della ghiandola mammaria nel giro di poche settimane. Inoltre, i topi portatori di tumore hanno mostrato una crescita accelerata del tumore mammario in seguito all’esposizione a F. nucleatum. Questi batteri patogeni hanno anche conferito alle cellule tumorali della mammella una maggiore capacità di migrazione e invasione, caratteristiche chiave associate alla progressione metastatica», ha commentato.
Il team ha inoltre identificato un possibile meccanismo alla base di questi effetti. Nei modelli di laboratorio, le cellule mammarie esposte a F. nucleatum hanno mostrato danni al DNA e alterazioni nei meccanismi di riparazione dello stesso. Le cellule esposte hanno anche evidenziato caratteristiche associate a un comportamento tumorale più aggressivo, tra cui maggiore migrazione, invasività e capacità di auto-rinnovamento, oltre a una ridotta sensibilità alle terapie. L’effetto è apparso particolarmente marcato nelle cellule mammarie con mutazioni di BRCA1, un gene coinvolto nella riparazione del DNA e nella suscettibilità al tumore al seno. Queste cellule hanno mostrato una maggiore internalizzazione e ritenzione del batterio, un dato che i ricercatori hanno collegato a livelli più elevati di uno zucchero di superficie che favorisce l’adesione e l’ingresso del microrganismo nelle cellule.
La prof.ssa Sharma ha affermato che i risultati sollevano interrogativi più ampi sulla possibile relazione tra malattia parodontale e rischio di tumore al seno, in particolare nelle donne portatrici di mutazioni di BRCA1. Ha spiegato che il cancro è una patologia multifattoriale influenzata sia da fattori di rischio modificabili sia non modificabili. Sebbene la predisposizione genetica giochi un ruolo importante, fattori come la salute orale e l’equilibrio del microbioma orale potrebbero rientrare in strategie più ampie di prevenzione. In questo contesto, ha sottolineato come una buona igiene orale e il trattamento tempestivo delle malattie parodontali possano assumere un ruolo rilevante.
Tuttavia, ha precisato che lo studio non ha stabilito un nesso causale tra malattia parodontale e tumore al seno. Sono necessari ulteriori studi per determinare la rilevanza clinica di questi risultati, incluso se lo stato di salute orale possa avere un ruolo nella valutazione del rischio di carcinoma mammario.
Il 4 febbraio 2026, nella Sala Refettorio della Camera dei deputati, si è svolto il Convegno “Odontoiatria speciale nel soggetto fragile” organizzato ...
LOUISVILLE, Ky., USA: alcuni ricercatori statunitensi hanno recentemente esaminato il ruolo che i microbi orali svolgono nella regolazione delle risposte ...
SOLNA, Svezia: La crescente evidenza scientifica suggerisce che le infezioni orali possono influenzare il decorso e la patogenesi delle malattie sistemiche ...
COLUMBIA, S.C., USA: Crescono le prove che dimostrano l’impatto di vasta portata della salute orale sul benessere sistemico. Recentemente, due nuovi studi...
Il Cenacolo Odontostomatologico Milanese ha iniziato il 20 febbraio alla manifestazione Expo Odonto Sud di Catania ad illustrare i risultati della campagna ...
ABERDEEN, Scozia: Il tumore della testa e del collo è una malattia altamente debilitante che comporta conseguenze significative sulla funzione orale, ...
SEOUL, Corea del Sud: poiché la parodontite e l'alitosi condividono una patogenesi microbiologica, i ricercatori della Seoul National University School of ...
Il dott. Gregorio Tortora condivide la sua esperienza clinica nella gestione delle patologie parodontali, soffermandosi in particolare sulle recessioni ...
Introduzione
La fotobiomodulazione (PBM), storicamente nota anche come low-level laser therapy (LLLT), è una metodica non invasiva che utilizza luce a ...
CHENGDU, Cina: Lo sviluppo della radice dentale dipende da precisi meccanismi di comunicazione cellulare. Ricercatori cinesi hanno dimostrato come due geni,...
MADRID, Spagna: Le malattie parodontali nei bambini e negli adolescenti possono essere difficili da diagnosticare e gestire a causa di definizioni non ...
To post a reply please login or register