L’approccio al paziente adulto è sempre di difficile gestione e pianificazione. A volte per poter risolvere gravi affollamenti si ritiene necessario impostare una terapia di tipo estrattiva che possa permettere di recuperare il gap dimensionale tra l’unità basale e quella dentale. Il paziente preso in esame presenta un affollamento bimascellare con malocclusione dentale Classe I.
La pianificazione di un caso ortodontico complesso deve sempre tener conto di ciò che vuole ottenere l’ortodontista ponendo come riferimento ultimo l’equilibrio occlusale e facciale associato alla richiesta del paziente che desidera l’allineamento dentale. Il paziente è stato preso in cura dal Dipartimento di Medicina Clinica e Sperimentale, presso la Scuola di Specializzazione di Ortognatodonzia dell’Università di Foggia, all’età di 21 anni. Le sue principali richieste erano correggere il disallineamento dentale associato a morso inverso degli elementi dentali sull’emiarcata sinistra. Né l’anamnesi medica passata né quella dentale hanno contribuito alla scelta della pianificazione ortodontica.
Esame Clinico
Valutazione extraorale
L’esame frontale a riposo (Fig. 1), mostra una faccia ovale e simmetrica, con labbra competenti e con un buon spessore muscolare. Naso e mento sono allineati al piano medio-sagittale e le linee bipupillari, commissurali, della base nasale e interauricolari sono parallele tra loro. Si nota una maggiore tonia della catena muscolare sx ponendo un atteggiamento posturale viziato omolaterale. I tessuti molli creano un profilo convesso (Fig. 1). La posizione sul piano sagittale del complesso rino-mascellare è normale e l’angolo naso labiale (120°) è significativamente aumentato a causa della verticalità del labbro superiore. Il suo labbro inferiore è leggermente estroflesso, il solco labiomentoniero è poco evidente, la mandibola è leggermente retrusa. La linea mediana dentale è alterata con una deviazione destra mascellare e sinistra mandibolare. Valutazione Funzionale Il paziente respira tramite il naso, non presenta abitudini viziate, non vi sono disfunzioni linguali o a carico della deglutizione. Non sono presenti sintomi TMJ riferiti.
Valutazione Intraorale
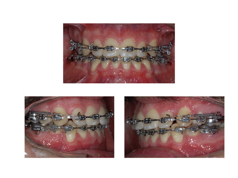
Il paziente presenta tutti gli elementi dentali permanenti erotti, vi è l’agenesia del 4.8 ed 1.8 e l’inclusione del 3.8 e 2.8 (Fig. 1). L’igiene orale è media ed il biotipo gengivale è spesso. L’arco mascellare ha una forma ad “U”, è asimmetrica per eruzione palatina del 1.5 con chiusura dello spazio in arcata dell’elemento dentale. A seguito della migrazione mesiale dentale dell’1.6, quest’ultimo si presenta mesioruotato assialmente. Si ha un affollamento di 4 mm, la curva di Spee è di 1,5 mm. La relazione inter-arcata mostra una classe I molare bilaterale, una classe III canina destra, una classe II canina sinistra. L’OJ è ridotto <2 mm e l’OB è <2 mm. Dato l’affollamento asimmetrico presente vi è un evidente alterazione della linea mediana incisale. Vi è una leggere discrepanza trasversale della mandibola con una tendenza occlusale di testa a testa sinistra.
Analisi Radiografica
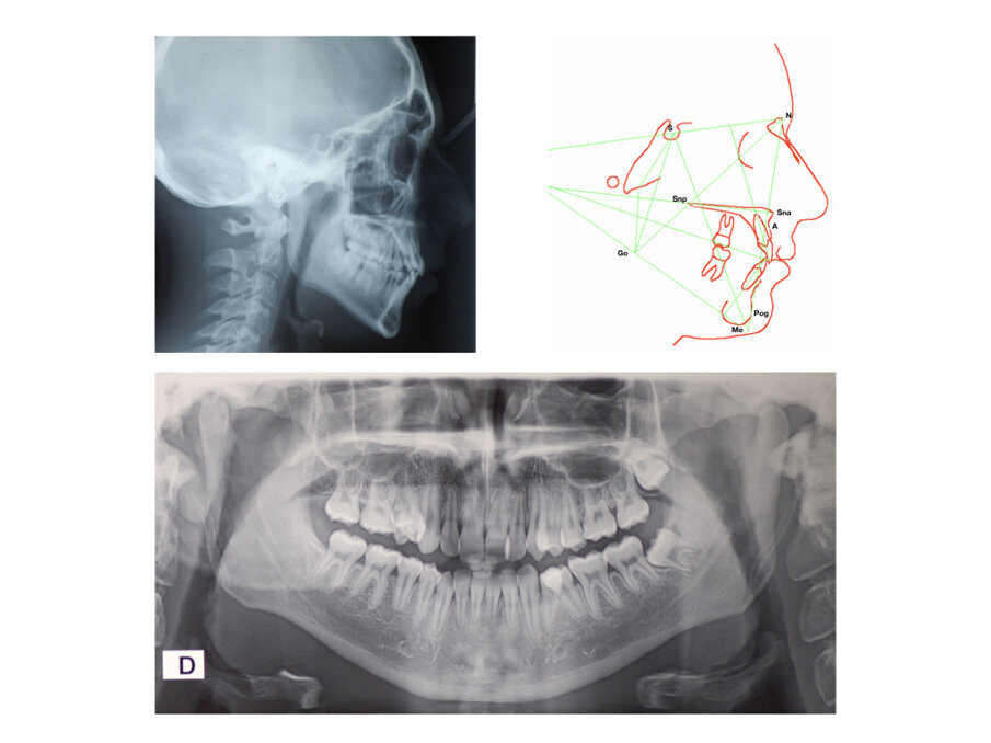
La radiografia panoramica (Fig. 2) mostra una sovrapposizione dentale sul primo quadrante tra 1.4 e 1.5 e sul terzo quadrante a livello coronale tra 3.4 e 3.5. I condili mandibolari sono simmetrici e non sono visibili patologie mascellari sinusali. Tutti i denti permanenti sono visibili. Vi è l’agenesia del 4.8 ed 1.8 mentre vi è la mancata eruzione del 3.8 ed 1.8. Non vi sono dilacerazioni radicolari, si nota un riassorbimento radicolare con una mancata formazione dell’apice radicolare del 4.5, 3.5. La radiografia laterale del cranio (Fig. 2) mostra le vie aeree superiori libere. L’indice di maturazione delle vertebre cervicali (CVMS) è di grado 6. L’analisi cefalometrica iniziale rivela una classe II sagittale mandibolare a causa di una mandibola retrognatica (SNPog = 72,2°), un tendenza mandibolare di iperdivergenza, ed un angolo interincisale ridotto. L’OJ e l’OB è nella norma.
Diagnosi complessiva
Il paziente presenta un profilo convesso con una lieve inversione nel rapporto tra il labbro superiore ed inferiore. L’analisi cefalometrica rivela una classe II scheletrica da retrognazia mandibolare, una forma faciale dolicocefalica. L’esame intraorale rivela una malocclusione Classe I con una importante deviazione della linea mediana per eruzione anomala degli elementi 1.5 e 3.5 con conseguente Classe III canina dx e Classe II canina sx. La discrepanza presente tra la forma d’arcata dentale e scheletrica contribuisce a rendere ancora più difficoltosa la strategia di trattamento.
Trattamento
L’obiettivo di trattamento è la correzione del grave affollamento presente, risolvendo la discrepanza d’arcata mascellare e mandibolare (richiesta principale del paziente), riduzione del rapporto inverso tra il labbro superiore ed inferiore, evitando il rischio di recessioni gengivali su 4.3 e 2.3. Nell’approccio al piano di trattamento, si è soliti dare più possibilità terapeutiche al paziente in modo da evidenziare limiti, difficoltà di intervento e obiettivi raggiungibili. Sono due i trattamenti presentati al paziente:
- Trattamento combinato ortodontico-chirurgico (osteotomia bilaterale per avanzamento mandibolare con possibile avanzamento mentoniero con genioplastica) dopo decompensazione e distalizzazione con TAD di 1.7 - 1.6 per recupero dell’elemento 1.5, estrazione del 3.8 con distalizzazione con TAD del 3.7 - 3.6 e recupero del 3.5 sulla linea d’arcata;
- Trattamento ortodontico con estrazione dei primi premolari inferiori ed estrazione dell’elemento ectopico mascellare 1.5 e del primo premolare mascellare sinistro (2.4). Le estrazioni erano richieste perché l’affollamento presente è di grado severo. Inoltre tramite delle estrazioni non simultanee ma bensì dilazionate in modo strategico nel tempo si sarebbe potuto migliorare anche la linea mediana gravemente alterata.
Il primo trattamento è stato scartato dal paziente e dai genitori del paziente perché non era motivato dalla loro richiesta di estetica facciale e spaventati dall’invasività chirurgica. Tale eventualità possibile in caso di mancata soddisfazione nella profilometria estetica da parte del paziente tramite un avanzamento per genioplastica gestito successivamente ed indipendentemente dal trattamento ortodontico. Tale metodica si è visto dare risultati migliori se gestita in pazienti in giovane età per migliori risultati in termini di rimodellamento osseo1 . Inoltre essendo il labbro superiore già verticalizzato ci si potrebbe aspettare in seguito all’estrazione dei quattro premolari una ulteriore retrazione dello stesso, ma una recente revisione sistematica ha definito come l’estrazione di quattro premolari non è peggiorativa nell’estetica del viso2 . Il paziente ha deciso infine di optare per il secondo piano di trattamento, eseguendo l’estrazione dei quattro premolari preindicati.
Sequenza di trattamento
La sequenza di trattamento, individualizzata per il paziente in oggetto, prevede l’iniziale estrazione anticipata dei primi premolari mandibolari 3.4 e 4.4. Successivamente a tale fase si procede all’estrazione dell’elemento ectopico 1.5 e del 2.4. Si programma bandaggio bimascellare con brackets con slot .022” per chiusura e correzione interarcata. La fase di miglioramento dell’uprighting incisale è necessaria. La rifinitura e la gestione dell’intercuspidazione avviene tramite archi con metodica straight-wire.
Materiali e metodi
L’estrazione dei primi premolari mandibolari 3.4 e 4.4 è la prima fase terapeutica durante la gestione di un caso ortodontico estrattivo. La differente conformazione ossea con una maggior componente corticale pone anticipata l’estrazione dei premolari mandibolari. Successivamente a distanza di 1 mese si programma l’estrazione dei premolari mascellari. Gli elementi dentali in questa fase iniziale chirurgica sono liberi ad eccezione dei primi molari inferiori a cui viene ancorato un arco linguale. Tale arco ha la funzione di contribuire a una migrazione spontanea distale dei canini mandibolari 3.3 e 4.3 evitando però una traslazione mesiale del gruppo diatorico inferiore. Durante la guarigione post estrattiva dei premolari a livello maxillare prende inizio la terapia biomeccanica secondo metodica straight-wire (Fig. 3). La sequenza degli archi che è stata utilizzata sono: .014 NiTi, .016 NiTi, .016 x .016 NiTi, .020 x .020 NiTi, .016 x .022 Stainless Steel and .019 x .025 Stainless Steel. Dopo i primi mesi di terapia ed eseguita l’iniziale fase di allineamento, tramite l’uso di archi in acciaio rettangolari posted si attua la chiusura dei spazi estrattivi tramite molle chiuse in NiTi da 250 gr di forza (Fig. 4) Lo spazio estrattivo è stato chiuso dopo sette mesi di terapia. A termine della rifinitura ortodontica il caso ortodontico è terminato dopo 24 mesi di terapia complessiva.
Risultati
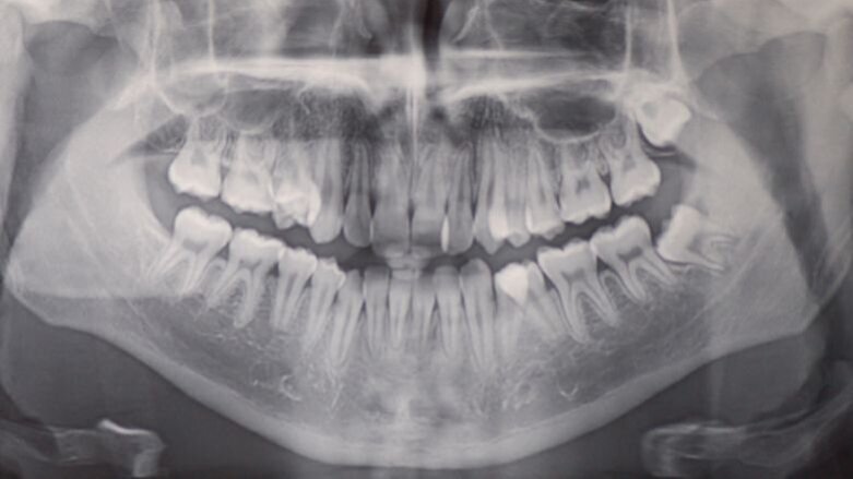
Sono state utilizzate delle ritenzioni fisse sull’arcata inferiore tramite l’uso di fili di contenzione a livello intercanino. Su l’arcata mascellare è stata utilizzata una ritenzione Hawley rimovibile con indicazione di utilizzo notturno, ogni giorno per i primi sei mesi e successivamente con discontinuità progressiva. L’analisi estetica del viso (Fig. 5) ha mostrato un mantenimento sagittale della proiezione del labbro inferiore. Il paziente ha mantenuto il suo profilo facciale, ciò è causato dalla condizione mandibolare sagittale. Gli affollamenti presenti sono stati risolti, il 2.2 che si presentava con inversione del morso è stato inizialmente esoinclinato e poi, successivamente alla risoluzione dell’inversione del morso, è stato migliorato il torque radicolare. La Classe I bilaterale molare è stata mantenuta mentre è stata risolta tramite l’uso di forze asimmetriche la Classe II canina sx e la Classe III dx (Fig. 5). Dall’analisi radiografica panoramica di fine trattamento si mostra un ottimo parallelismo radicolare, permangono le radici corte su alcuni elementi dentali causate da alterata apicogenesi già presente durante la fase iniziale di trattamento (Fig. 6). La radiografia laterale finale (Fig. 6) mostra come non vi siano modifiche scheletriche evidenti. I rapporti dentoscheletrici nel confronto tra la radiografia latero-laterale iniziale e finale sono stati controllati senza creare una riduzione eccessiva della contrazione d’arcata, portando i valori finali vicino ai valori norma (I/SN 103° - i/GoGn 86°).
Conclusioni
Valutare l’opportunità di attuare un caso estrattivo o meno è sempre un processo terapeutico di particolare gestione poiché una volta attuata l’estrazione degli elementi dentali “non si torna indietro” e bisogna al meglio delle proprie conoscenze biomeccaniche portare a termine il risultato. Recenti studi3 e revisioni sistematiche4 inoltre non pongono differenze statisticamente significative nella cambiamento della dimensione verticale scheletrica con le terapie ortodontiche estrattive. Riguardo il caso in esame, studi sul comportamento e la gestione dei terzi molari in seguito a trattamento ortodontico di tipo estrattivo ha evidenziato un notevole beneficio a carico di questi elementi con un uprighting ed estrusione spontanea in caso di difficoltà eruttiva5, Behbehani et al.6 notano un aumento dello spazio retromolare a seguito del trattamento estrattivo. Nel nostro caso preso in carico l’elemento dentale 2.8 verrà monitorato ogni anno durante i vari controlli in modo da decidere una eventuale avulsione dentale, mentre si è deciso di comune accordo con il paziente di procedere all’avulsione del 3.8 mesioverso. La genioplastica anticipata1-7 associata al trattamento estrattivo secondo letteratura avrebbe migliorato la competenza labiale e ridotto lo sforzo del muscolo mentoniero8. Sfortunatamente il paziente ha deciso di non procedere a tale procedura che nel caso specifico avrebbe migliorato la proiezione del mento e l’estetica del viso. La bibliografia è disponibile presso l'editore.
Bibliografia
- Chamberland S., Proffit WR., Chamberland PE.. Functional genioplasty in growing patients. Angle Orthod 2015;85:360–73.
- Iared W., Koga da Silva EM., Iared W., Rufino Macedo C.. Esthetic perception of changes in facial profile resulting from orthodontic treatment with extraction of premolars: a systematic review. J Am Dent Assoc 2017;148:9–16.
- Beit P., Konstantonis D., Papagiannis A., Eliades T.. Vertical skeletal changes after extraction and non-extraction treatment in matched Class I patients identified by a discriminant analysis: cephalometric appraisal and Procrustes super-imposition. Prog Orthod 2017;18:44.
- Kouvelis G., Dritsas K., Doulis I., Kloukos D., Gkantidis N.. Effect of orthodontic treatment with 4 premolar extractions compared with nonextraction treatment on the vertical dimension of the face: A systematic review. Am J Orthod Dentofacial Orthop 2018;154:175–87.
- Livas C., Delli K.. Does orthodontic extraction treatment improve the angular position of third molars? A systematic review. J Oral Maxillofac Surg 2017;75:475–83.
- Behbehani F., Artun J., Thalib L.. Prediction of mandibular third-molar impaction in adolescent orthodontic patients. Am J Orthod Den- tofacial Orthop 2006;130:47–55.
- Frapier L., Jaussent A., Yachouh J., Goudot P., Dauvilliers Y., Picot MC.. Impact of genioplasty on mandibular growth during puberty. Int Orthod 2010;8:342–59.
- Frapier L., Picot MC., Gonzales J., et al. Ventilatory disorders and facial growth: benefits of early genioplasty. Int Orthod 2011;9:20–41.
L'articolo è stato pubblicato su Dental Tribune Italian Edition n. 4/20.
Tag:
I problemi di origine infiammatoria che attaccano gli impianti vengono distinti in letteratura come mucosite perimplantare, lesione infiammatoria ...
Le perimplantiti e la loro gestione, come dimostrato dai più recenti lavori pubblicati in letteratura e dalle relative revisioni, si configurano come...
Trials clinici hanno dimostrato che il fallimento implantare non è ascrivibile solamente a un sovraccarico funzionale. Nella maggior parte dei casi ...
FILADELFIA, USA: la malattia parodontale colpisce quasi il 60% degli adulti di età superiore ai 65 anni e comporta un onere considerevole dal punto di ...
La malattia parodontale è una patologia infiammatoria mediata dalla risposta dell’ospite causata dal biofilm batterico. La terapia causale si basa sul ...
I rapporti tra le patologie che interessano la polpa dentaria e quelle riguardanti il parodonto marginale si verificano attraverso le connessioni anatomiche...
L’aumento della cultura della prevenzione odontoiatrica ha portato un maggior numero di persone a sottoporsi a trattamento ortodontico in età ...
L’aumento della cultura della prevenzione odontoiatrica ha portato un maggior numero di persone a sottoporsi a trattamento ortodontico in età ...
Un valido aiuto nel combattere il biofilm batterico, causa dei principali insuccessi nel trattamento sia della parodontite sia della perimplantite, viene ...
Le craniosinostosi (o craniostenosi) sono delle patologie caratterizzate dalla precoce chiusura di una o più suture della volta cranica. Questa ...
Dr. Bruce McFarlane Certified Specialist in Orthodontics Fellow: Royal College of Dentists of Canada Diplomate: American Board of Orthodontics
Live webinar
mer. 15 aprile 2026
20:00 (CET) Rome
Live webinar
gio. 16 aprile 2026
2:00 (CET) Rome
Linda Hecker MS, BSDH, RDH
Live webinar
gio. 16 aprile 2026
18:00 (CET) Rome
Dr. Pär-Olov Östman, Dr. Robert Gottlander DDS
Live webinar
ven. 17 aprile 2026
18:00 (CET) Rome
Live webinar
ven. 17 aprile 2026
19:00 (CET) Rome
Dr. Stuart Yeaton BDentSc, MOrth
Live webinar
lun. 20 aprile 2026
19:00 (CET) Rome
Dr. Alberto Monje DDS, MS, PhD
To post a reply please login or register