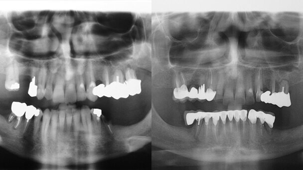
Il paziente G.P. di anni 58, professione impiegato tecnico, si rivolse nell'ottobre 2005 a un Centro Medico Odontoiatrico di Torino per riabilitare protesicamente l'arcata dentale inferiore ed inserire un dente mancante (15) nel quadrante superiore destro. Chiese specificatamente al dentista una protesizzazione fissa. Il piano di cura che gli venne presentato, eseguito con l'ausilio di una OPT eseguita l'anno precedente, prevedeva l'estrazione di 46 e 27, la protesizzazione dell'arcata inferiore con un ponte in metallo/ceramica con estensione sugli elementi 46 e 36, previa terapia canalare di tutti gli elementi presenti in arcata, ad eccezione di 45 e 35 già devitalizzati. Venne altresì previsto un provvisorio monoblocco in resina da 45 a 35. All'arcata superiore venne pianificato un ponte di quattro elementi in metallo ceramica avente per pilastri il 16 ed il 13 (che vennero devitalizzati), ed il 14 già precedentemente trattato endodonticamente e ricostruito con perno moncone. Termine lavori giugno 2006.
Poco tempo dopo il termine la protesi inferiore si ruppe in due a livello tra 32 e 33. A nulla valse il tentativo di scementare i due tronconi che vennero lasciati in sede con disagio del paziente per ristagno di residui alimentari. Riferisce che nel 2008 venne rimosso il cantilever su 36 e nello stesso periodo rilevata una carie su 23 che venne devitalizzato e ricostruito con perno endodontico e resina composita. Ricostruzione che si staccò più volte fino a che il paziente rimase con la sola radice. Nel 2009, a causa della mobilità degli elementi pilastro venne tagliata e rimossa la parte di protesi su 44-45-46, dove già in precedenza si era rotta la ceramica (e ripristinata in composito). Il paziente lamentava inoltre la progressiva usura delle superfici palatine di 12-11-21-22.
Nel centro Medico Odontoiatrico gli venne allora proposta l'estrazione di tutti gli elementi dell'arcata inferiore, l'inserimento di quattro impianti nella una interforaminale, e una protesizzaione con overdenture oppure di tipo combinato: fisso da 33 a 43 e rimovibile a livello dei diatorici. Il ricorrente, persa la fiducia nel Centro medico che l'aveva in cura, si rivolse a un odontologo forense per valutare eventuali profili di responsabilità professionale da parte dei curanti. Sulla base della relazione peritale, e attraverso il proprio legale, G.P. fece ricorso per procedimento di ATP ex art. 696 c.p.c.
Nell'elaborato del CTU nominato dal Giudice, si legge, tra le altre cose: è presente a destra una protesi di quattro elementi in metallo ceramica dal 13 al 16; 23 è ridotto a residuo radicolare, con perdita del perno e della ricostruzione in resina composita; usura dello smalto palatino di 11-12-21-22; l'esame RX rivela esiti di terapie endodontiche su 13-14-16-23-25-26. All'arcata inferiore mancano gli elementi 36-37-38-45-46-47-48; 44 è privo di corona, ridotto a residuo radicolare; è presente protesi fissa in metal ceramica di otto elementi, dal 35 al 43 fratturata in due tronconi tra il 32 e 33 con esiti di limature distali da verosimile taglio di elementi protesici; gengivite ipertrofica in corrispondenza di 31 e 42; l'esame RX rivela esiti di terapie endodontiche su tutti gli elementi residui e presenza di zona di osteolisi periapicale del 43.
Conclusioni
A fronte di una richiesta specifica del sig. G.P. di protesizzare l’arcata inferiore con protesi fissa fino almeno ai primi molari, non potendo eseguire terapia implantoprotesica all'arcata inferiore a meno di interventi di rigenerativa ossea (peraltro mai presa in considerazione dai clinici del Centro medico odontoiatrico), al ricorrente venne eseguita protesizzazione fissa dell'arcata inferiore, previa terapia canalare di tutti gli elementi (ad eccezione di 35 e 45 già trattati in precedenza) e in metallo-ceramica dei medesimi con estensione a livello dei primi molari (36 e 46). Essendo l’elemento 3.5 inidoneo a sopportare un carico protesico quale quello derivato da un cantilever (sarebbe stato da estrarre ab initio), venivano meno i presupposti per poter ottemperare alla richiesta del paziente.
Si trattò di inadempienza contrattuale per cui fu prevista la restituzione di quanto pagato in merito alla protesi inferiore. Inoltre, a causa dei trattamenti incongrui, derivarono lesioni con conseguente perdita di 45, di 44 e 23 che richiesero successiva estrazione ed emenda con terapia implantoprotesica. L'inadeguato trattamento endodontico e ricostruzione coronale, evidenziabili nelle Rx prodotte, portarono alla perdita dell'elemento.
Per quanto riguarda l'usura progressiva degli incisivi superiori, maggiore di quella fisiologica attendibile, come documentato tra il confronto delle RX pre e post cure, si ritenne che la maggior usura fosse da emendare con una protesizzazione di tali elementi in ceramica. Venne riconosciuto un danno biologico permanente residuo dopo l'emenda dell'1-1,5% e una Invalidità Temporanea Biologica di 20 giorni, dei quali 5 a parziale massima (50%) e 15 a parziale minima (25%).
Considerazioni
L'errata progettazione del caso è stata la base del fallimento del piano terapeutico. Si può considerare che i professionisti del Centro Medico Odontoiatrico abbiano tenuto un comportamento imperito, negligente ed imprudente. Da un punto di vista meramente accademico sottolineerei che la mancata proposta terapeutica iniziale di un trattamento implantoprotesico sarebbe stata da tener in maggior considerazione da parte del CTU perché avrebbe evitato il trattamento di 8 denti dell'arcata inferiore. Infine sarebbe stata auspicabile una richiesta al Giudice da parte del suo consulente, di una valutazione equitativa del disagio sopportato per quasi quattro anni.
Riportiamo alcune considerazioni su un case report descritto da un odontologo forense con oltre trent’anni di esperienza, tacendo, per ovvi motivi di ...
Riportiamo alcune considerazioni su un case report descritto da un odontologo forense con oltre trent’anni di esperienza, tacendo, per ovvi motivi di ...
Abstract
La medicina estetica del volto, nell’ultimo quinquennio, sta subendo una metamorfosi radicale. Se un tempo l’obiettivo primario era la semplice...
La moderna terapia ortodontica sta abbracciando le nuove tecnologie digitali che si sono affacciate sul mercato e che hanno apportato enormi vantaggi sia ...
La moderna terapia ortodontica sta abbracciando le nuove tecnologie digitali che si sono affacciate sul mercato e che hanno apportato enormi vantaggi sia ...
Il 7° Forum SUSO della professione ortodontica era già sold out qualche giorno prima del 16-17-18 settembre 2021 a Torino, mentre in giro per l’Italia ...
Le tecniche di Odontoiatria e laboratorio Odontotecnico si sono evolute rapidamente negli ultimi anni, tuttavia è ancora difficile stabilire protocolli ...
Sono passate solo poche settimane dal tredicesimo anniversario di un evento che ha cambiato il mondo, un attentato terroristico che uccise migliaia di ...
La ricerca del sorriso estetico ha portato tutte le branche della medicina odontoiatrica a cercare delle soluzioni terapeutiche che coniughino la conoscenza...
La ricerca del sorriso estetico ha portato tutte le branche della medicina odontoiatrica a cercare delle soluzioni terapeutiche che coniughino la conoscenza...
Live webinar
gio. 7 maggio 2026
17:00 (CET) Rome
Live webinar
gio. 7 maggio 2026
18:00 (CET) Rome
Live webinar
gio. 7 maggio 2026
18:00 (CET) Rome
Dra. Maria Carolina Erhardt, Dra. Thais Tomé Feldens
Live webinar
gio. 7 maggio 2026
20:30 (CET) Rome
Live webinar
lun. 11 maggio 2026
18:00 (CET) Rome
Live webinar
lun. 11 maggio 2026
19:00 (CET) Rome
Live webinar
mar. 12 maggio 2026
19:00 (CET) Rome
To post a reply please login or register