La moderna terapia ortodontica sta abbracciando le nuove tecnologie digitali che si sono affacciate sul mercato e che hanno apportato enormi vantaggi sia nella fase diagnostica che in quella terapeutica. L’ortodontista ha infatti a disposizione scanner intraorale, cone beam e software di studio e progettazione. La scansione intraorale consente di acquisire le arcate del paziente in ambiente digitale, escludendo tutti gli svantaggi dell’impronta tradizionale.
La cone beam ci consente di valutare la posizione degli elementi dentari nei tre piani dello spazio e la quantità di tessuto osseo presente attorno alle radici dei denti. Effettuando un match tra il file stl della scansione intraorale e il file dicom della cone beam è possibile inoltre previsualizzare i movimenti delle radici all’interno del tessuto osseo evitando a esempio fenestrazioni o deiscenze.
I software permettono all’ortodontista di effettuare misurazioni più precise e in modo più rapido, di ottenere automaticamente i valori degli indici ortodontici e di effettuare una progettazione virtuale dei movimenti dentari desiderati, consentendo così di prevedere il risultato finale del trattamento e di poterlo previsualizzare insieme al paziente.
Caso clinico
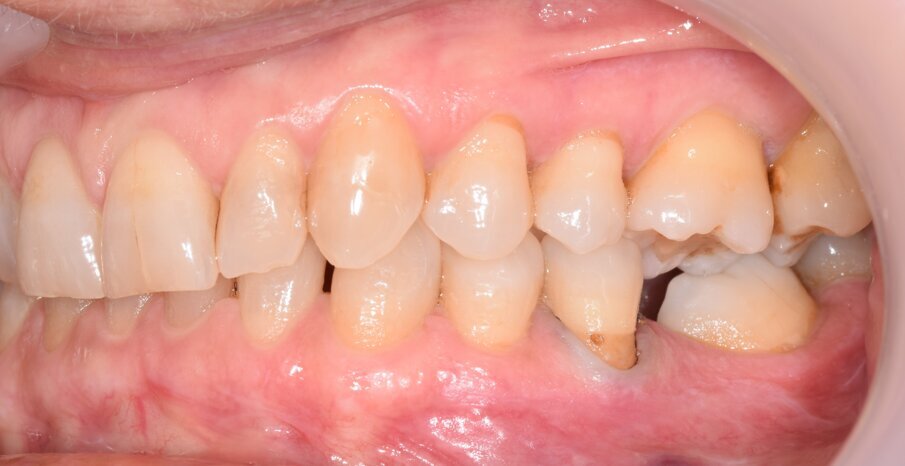
La paziente N.G. si presenta alla nostra osservazione lamentando difficoltà alla masticazione nel lato di sinistra. All’esame obiettivo si evidenzia perdita dell’elemento 3.6 e mesioinclinazione e lingualizzazione di 3.7 e 3.8. Gli elementi 2.6 e 2.7 sono invece vestibolarizzati, con conseguente comparsa di scissor bite. Tale contatto occlusale prolungato nel tempo sta peggiorando la lingualizzazione di 3.7. In seguito alla perdita di 3.6 si è verificata inoltre una distoinclinazione degli elementi del III quadrante con apertura di diastemi anteriori (Fig. 1).
Si propone una terapia con allineatori trasparenti volta alla risoluzione dello scissor bite1 e alla riapertura dello spazio in zona 3.6 mediante uprighting di 3.7, avulsione di 3.8 cariato e mesializzazione di 3.3, 3.4, 3.5. Nel II quadrante si prevede avulsione di 2.8 e correzione della vestibolarizzazione di 2.6 e 2.7. In una seconda fase si procederà alla riabilitazione implantare in sede 3.6.
Si inizia con la presa dell’impronta digitale tramite scanner intraorale Emerald Planmeca, si importano i file STL nel software Ortho Studio Planmeca e si procede con la segmentazione dei denti in modo da distinguerli dai tessuti molli, così da poterli muovere nei tre piani dello spazio a seconda delle necessità cliniche (Fig. 2). È possibile far vedere alla paziente la previsione del risultato finale e la sovrapposizione tra il file stl di inizio e fine terapia (Figg. 3, 4).
Si può poi procedere con la scelta degli attachment più appropriati inserendoli direttamente nelle posizioni desiderate. Durante la progettazione degli aligners è possibile anche prevedere dei tagli nelle mascherine per l’applicazione di bottoni (in questo specifico caso per elastici da scissor bite2). Con tale software l’ortodontista ha quindi la possibilità di scegliere in maniera del tutto autonoma il piano terapeutico decidendo gli spostamenti dentali, eventuale stripping, forma e posizione degli attachment e il numero di mascherine necessarie, personalizzando al meglio i trattamenti ortodontici per i singoli pazienti.
Bibliografia
- Rossini G. et al. Efficacy of clear aligners in controlling orthodontic tooth movement: A systematic review. Angle Orthod 2015; 85:881–889.
- Tai S. Clear Aligner Technique. Quintessence Pub Co, 2018.
Tag:
La moderna terapia ortodontica sta abbracciando le nuove tecnologie digitali che si sono affacciate sul mercato e che hanno apportato enormi vantaggi sia ...
La progettazione protesica ha grande importanza, in modo particolare quando il diario clinico prevede una riabilitazione su impianti. Il case report ...
La progettazione protesica ha grande importanza, in modo particolare quando il diario clinico prevede una riabilitazione su impianti. Il case report ...
Le tecniche di Odontoiatria e laboratorio Odontotecnico si sono evolute rapidamente negli ultimi anni, tuttavia è ancora difficile stabilire protocolli ...
In questo articolo viene presentato un caso di edentulismo totale superiore trattato e gestito con una nuova sistematica implanto-protesica e con flusso ...
Nel IV Forum SUSO svoltosi al Marriot di Bologna sabato 21 novembre, Paolo Picchioni, odontoiatra pediatrico, ideatore ed “anima” ...
L’agenesia dei laterali è una patologia molto diffusa tra la popolazione mondiale. Le opzioni riabilitative terapeutiche escludono sempre ...
L’agenesia dei laterali è una patologia molto diffusa tra la popolazione mondiale. Le opzioni riabilitative terapeutiche escludono sempre ...
MANSFIELD, Connecticut, USA: nella speranza di trovare un modo migliore per rilevare il dolore dentale, un team di scienziati dell’Università del ...
Il paziente G.P. di anni 58, professione impiegato tecnico, si rivolse nell'ottobre 2005 a un Centro Medico Odontoiatrico di Torino per riabilitare ...
Live webinar
lun. 11 maggio 2026
18:00 (CET) Rome
Live webinar
lun. 11 maggio 2026
19:00 (CET) Rome
Live webinar
mar. 12 maggio 2026
19:00 (CET) Rome
Live webinar
gio. 14 maggio 2026
18:00 (CET) Rome
Live webinar
gio. 14 maggio 2026
20:00 (CET) Rome
Prof. Hani Ounsi DDS PhD FICD
Live webinar
mar. 19 maggio 2026
17:00 (CET) Rome
Live webinar
mar. 19 maggio 2026
19:00 (CET) Rome
Prof. Dr. med. dent. Ivo Krejci
To post a reply please login or register