Odontologa forense, eletta di recente Presidente nazionale dell’Accademia Italiana di Odontoiatria Legale (Oelle), Maria Sofia Rini suggerisce, con questo case report legale, alcune regole per non dover far fronte al contenzioso, sempre in agguato, con il paziente.
Un signore settantenne si rivolge a un odontoiatra per un ripristino protesico superiore. Ha già una vecchia protesi, ma si muove e gli sembra soprattutto brutta e vetusta, anche se mangia bene (Fig. 1). Il professionista propone due Toronto, una superiore e una inferiore, con denti in ceramica su impianti a carico immediato, previa estrazione di tutti i denti residui. Lavoro da realizzare in 4/6 mesi. Pagamento ad avanzamento lavori e saldo alla fine a “protesi ben allocata senza problemi” (preventivo € 20.000,00, pagati € 16.000,00). Promette soprattutto estetica, “niente metallo visibile, tutta ceramica”.
Si effettua solo una ortopantomografia, nessun sondaggio, nessuna valutazione parodontale. Si estraggono i denti, si inseriscono gli impianti, ma… non ci stanno! Tra mille problemi tecnici, diversi operatori e molteplici rifacimenti l’implanto-protesi viene finalizzata dopo oltre 3 anni, ma determina problemi masticatori. Alcune corone si rompono, non è funzionale (il paziente non si riesce a mangiare), fa male, ma soprattutto non piace all’anziano signore.
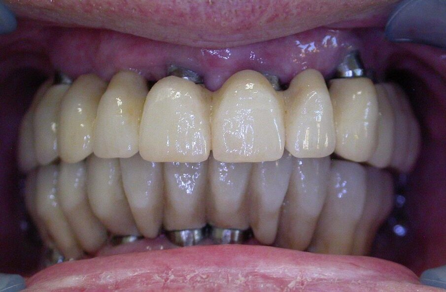
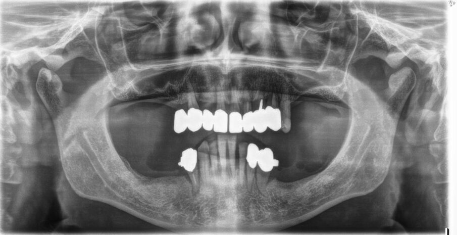
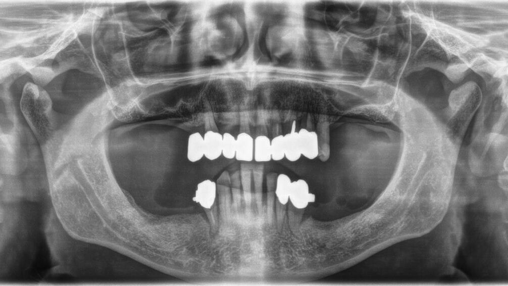
Inoltre, la protesi traumatizza con le parti metalliche i tessuti molli e la lingua, le corone sono inclinate in senso vestibolare e non occludono alla perfezione. L’overjet è ampio ed è presente un morso aperto anteriore, con trauma sui posteriori. Si vedono i colletti metallici degli impianti, metallo compare negli spazi interprossimali (corone ed impianti non sono in linea)(Figg. 2-4).
Il paziente si lamenta, non è contento, si arrabbia: non riesce a mangiare, a parlare, si ferisce la lingua, “brilla il metallo al sole”, si morde il labbro inferiore… I problemi non vengono risolti, il professionista tenta una piccola scontistica, propone un ulteriore rifacimento ma nel contempo vuole essere pagato “subito!”. Nasce la discussione, cresce, si trasforma in lite e, poi, in contenzioso. Ecco l’ATP e la causa di merito. Tanto paga l’Assicurazione. Invece l’Assicurazione non paga. L’odontoiatra scopre che tra franchigia e restituzione dell’onorario paga lui o in questo caso paga quasi tutto lui.
Una storia semplice, quasi banale, ma vera, che dovrebbe far riflettere. Promesse non mantenibili, errori diagnostici, progettuali e realizzativi, documentazione scarsa e pessima, o atta a testimoniare approcci inadeguati, ossia la “Sindrome dell’Io sono o dell’Io so tutto”. Molti gli errori dall’inizio alla fine. Cosa è stato promesso, cosa realizzato, chi ci ha rimesso? Tutti, anche chi ha ottenuto ragione.
Ha perso il paziente che ha ottenuto pochi soldi e non ha migliorato il suo quadro clinico. L’odontoiatra che ha promesso miracoli, ha commesso errori tecnici e di gestione del rapporto con il paziente, di insoddisfazione dello stesso pagando di tasca propria la restituzione della parcella e degli interessi di legge.
Perché tutto ciò? Gli odontoiatri medi italiani conoscono bene la materia odontoiatrica, ma amano il rischio: giocano senza conoscere le regole e per questo pagano. Promettono spesso l’impossibile, non documentano il proprio operato o lo fanno maldestramente. Non sanno costruire un rapporto con i propri pazienti né conoscono la parola “autocritica”. Chi fa falla, ma gli odontoiatri italiani sbagliano anche perché impreparati, non interessati a imparare materie apparentemente non tecniche.
La Medicina Legale Odontoiatrica non interessa, non interessa conoscere le leggi e le norme, gli eventi formativi sono frequentati da pochi eletti alla professione forense. Tanto c’è l’Assicurazione! Poi, alla fine, si scopre che non paga o non paga tutto e le franchigie, restituzione dell’onorario e altri oneri ricadono sul professionista.
Vorrei offrire pochi semplici consigli utili nella professione quotidiana: occorrono professionalità, conoscenza, modestia e una piccola formazione di base aggiornata anche in materia medico-legale e assicurativa. Fa bene leggere e capire le polizze prima di sottoscriverle integrando, laddove necessiti (e sia possibile) quel che manca. Ad esempio la polizza a copertura del contrattuale.
Tag:
Pubblichiamo questo articolo, su gentile concessione del Centro Ricerche & Statistiche di Torino. Un lavoro che fa riferimento a disposizioni in materia...
Pubblichiamo questo articolo, su gentile concessione del Centro Ricerche & Statistiche di Torino. Un lavoro che fa riferimento a disposizioni in materia...
«Quello che mi ha sorpreso di più negli uomini dell’Occidente è che perdono la salute per fare i soldi e poi perdono i soldi per recuperare la salute. ...
Con la diffusione di smartphone e smartspeaker, ma soprattutto con strumenti sempre più basati su tecnologie “vocali” e in un momento storico in cui ...
La mediazione obbligatoria – prevista dal D.Lgs 28/2010 e dal DM Giustizia 180/2010 articolo 5 comma 1 – interesserà tutti i medici ...
Abbiamo avuto occasione di incontrare la dottoressa Costanza Micarelli, past president SIPRO, odontoiatra da molti anni dedita alla protesi su denti e ...
STRASBURGO. Un nuovo sistema di sicurezza cerca di rendere più trasparente l’attività odontoiatrica in Europa, mediante l’adozione...
Nell’ambito del IV Workshop di Economia e Odontoiatria, organizzato da Andi, si sono confrontati sabato 12 maggio a Cernobbio, nell’incantevole ...
Il dentista pediatrico, o pedodontista, deve avere una preparazione professionale specifica sia dal punto di vista clinico che psicologico per riuscire a ...
“Parlare” non significa “dialogare”, soprattutto nel caso dell’Odontoiatria
Live webinar
gio. 30 aprile 2026
1:00 (CET) Rome
Dr. Renato Leonardo D.M.D.
Live webinar
gio. 30 aprile 2026
19:00 (CET) Rome
Live webinar
dom. 3 maggio 2026
18:00 (CET) Rome
Dr. Rickard Brånemark MSc, MD, PhD, Dr. Robert Gottlander DDS
Live webinar
lun. 4 maggio 2026
2:00 (CET) Rome
Live webinar
mar. 5 maggio 2026
16:00 (CET) Rome
Live webinar
mar. 5 maggio 2026
18:00 (CET) Rome
Live webinar
mar. 5 maggio 2026
19:00 (CET) Rome
Dr. Maximilian Dobbertin M.Sc
To post a reply please login or register