Il volto umano è il distretto corporeo più rappresentativo e caratterizzante della persona e per il professionista spesso risulta difficile coniugare funzione, salute e bellezza. La “divina proporzione”, fenomeno con proprietà uniche e qualità mistiche, è una legge naturale, il cui nome è stato coniato da Pacioli, mentore di Leonardo da Vinci.
È una proporzione di 1,0 a 1,618, che mette in relazione geometria e matematica, nota anche come “taglio aureo” che trova applicazioni nell’arte, nell’architettura e nell’anatomia. Le parti organizzate secondo questa proporzione rappresentano la massima espressione della bellezza e dell’efficace funzionalità. I denti, i mascellari e il volto sono delle strutture geometriche che più si avvicinano a queste proporzioni e più sono gradevoli e più riescono ad appagare il senso estetico di chi osserva (Fig. 1). Le relazioni auree sono state sempre presenti nella storia dell’umanità (piramidi, Partenone...), molte sono state utilizzate in maniera intuitiva dai clinici perché capaci di dare “un bell’aspetto”. Riconosciuto il principio della divina proporzione, queste relazioni dovrebbero essere usate nella pratica clinica di tutti quei professionisti a cui si rivolgono i pazienti per migliorare l’estetica del volto, in un rapporto di interdisciplinarietà e interscambio di analisi estetica comunicata tra i clinici (odontoiatra, ortodontista, igienista dentale, chirurgo plastico, dermatologo e medico estetico). I pazienti sono sempre più inclini a sottoporsi ad interventi estetici ma con poca attenzione nella scelta di professionisti affidabili per preparazione e/o per proposta di terapie affidabili, che riescano prioritariamente ad essere sicuri per la salute e che rispondano a quei canoni estetici applicabili alle specifiche caratteristiche del viso, della bocca e delle dinamiche labiali di ogni individuo. Non può essere trascurata l’estetica dentale del sorriso che deve rispettare diversi parametri dentali e gengivali che coinvolgono morfologia, funzione ed estetica nella sua totalità.
_Case report
_Descrizione
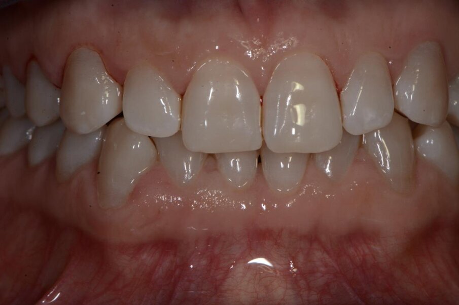
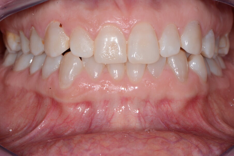
Si presenta alla nostra attenzione una paziente di 45 anni, per il follow-up a 6 mesi, con la richiesta di illuminare il suo sorriso con tecnica cosmetica di sbiancamento. La paziente era stata sottoposta a terapia cosmetica di sbiancamento nel 2016 (Fig. 2). Presentando clinicamente diversi siti a rischio di demineralizzazione nel cavo orale, white spot lesions e uno stile di vita alimentare poco equilibrato e facendo frequente uso di soft drinks e integratori dopo attività sportiva in palestra, la paziente viene sottoposta al test salivare e il cavo orale risultava con un ph molto acido. Documentiamo fotograficamente il sorriso e rileviamo il colore con lo spettrofotometro per controllare obbiettivamente lo stato del colore dello smalto. Lo spettrofotometro evidenzia una perdita di luminosità rispetto all’A1 ottenuto nel 2016 (Figg. 3a-3d). L’esame clinico delle labbra evidenzia un’asimmetria di riempimento (Fig. 4) nelle parti centrali dell’emilabbro superiore destro e sinistro (più riempimento a sinistra); una contrazione nella parte centrale che lascia scoprire i due incisivi centrali. Il labbro superiore, così marcatamente asimmetrico, copre troppo e in modo disomogeneo l’arcata dentaria superiore. Si intravedono solo le cuspidi dei due premolari di sinistra, forse perché troppo estrusi, con una zona “nera” residua più estesa a sinistra. Le labbra troppo riempite sono ipomobili. Se una sostanza filler o acido ialuronico è stata iniettata in eccesso anche nel labbro bianco, magari per correggere il bar-code, schiaccia l’orbicolare che rimane quasi paralizzato come in un “joker smile”.
_Approccio motivazionale all’estetica del sorriso
Fotografiamo il sorriso, facendo più scatti, perché il sorriso possa essere rilevato con naturalezza e lo mostriamo alla paziente. Chiediamo informazioni sul trattamento estetico alle labbra a cui si era sottoposta e da quanto tempo, e la paziente, abbastanza reticente, riferisce di sottoporsi ogni 2 mesi a “piccole infiltrazioni di acido ialuronico” da una dermatologa. La paziente riferisce con soddisfazione che il costo della prestazione era davvero conveniente (30 euro) per cui era assidua nei richiami. Per motivarla all’esigenza di considerare l’estetica del sorriso anche dal punto di vista dentale, le mostriamo la foto del sorriso, spiegandole che i parametri estetici ideali prendono in considerazione due componenti fondamentali di un sorriso: denti e labbra che devono presentare una ideale combinazione tra forma e proporzioni e una armonia statica e dinamica. Spieghiamo che esistono dei valori standard per avere dei parametri di riferimento come l’altezza media del vermiglio superiore che dovrebbe essere 7,7 mm e il vermiglio inferiore, classicamente più spesso, in media circa 10 mm (l’altezza del labbro superiore, rispetto ai centrali superiori, può essere bassa, media o alta, a seconda di quanto mostra sorridendo). Insistiamo a motivarla sull’osservazione della linea labiale del sorriso che rappresenta uno dei fattori primari per trasmettere piacevolezza. Spieghiamo che in un sorriso estetico ideale le labbra seguono una linea curva che passa sul profilo incisale dei quattro incisivi superiori, correndo parallela al margine interno del labbro inferiore. Spieghiamo come la curvatura del labbro debba tendere sempre verso l’alto, dal centro verso gli spazi triangolari laterali, ed è attivata principalmente dall’orbicolare e dai muscoli elevatori. Inoltre mostriamo lo “spazio negativo scuro” che compare nel suo sorriso.
La dentatura rappresenta la componente statica, mentre le labbra rappresentano la statica e la dinamica. Chiediamo alla paziente di sorridere osservandosi allo specchio e condividiamo con la stessa la presenza del turgore della labbra, ed una evidente immobilità del labbro superiore con conseguente disarmonia dento-labiale. Mostriamo alla paziente la foto clinica precedente e la confrontiamo con la foto appena scattata e la paziente conviene che il turgore dopo l’intervento estetico alle labbra le ha negato l’esposizione dei denti superiori che idealmente dovrebbero essere mostrati almeno un millimetro. La paziente osserva che manca il parallelismo tra il bordo dei denti superiori e il labbro inferiore: il movimento e la forma del labbro inferiore durante il sorriso deve seguire la linea segnata dal bordo dei denti superiori. Dopo la visita con l’odontoiatra, la paziente viene controllata dall’igienista dentale. Mettiamo in evidenza la presenza e la disposizione della placca batterica, per consentire alla paziente di capire dove dover insistere con l’igiene domiciliare. Sfruttare le tecnologie è fondamentale per avere una buona comunicazione con il paziente e promuovere così al meglio i protocolli di prevenzione.
_Approccio clinico D-BIOteque (Dental BIOfilm Detection Topography Technique)
Apponiamo il rilevatore di placca alla fluoresceina (Figg. 5a-5d) e la illuminiamo con la lampada fotopolimerizzabile, mettendo in evidenza la topografia del biofilm batterico presente, e condividiamo con la paziente la necessità di migliorare l’igiene domiciliare negli spazi interprossimali (Fig. 6) e consigliamo una tecnologia avanzata di scovolino in lattice che rilascia fluoro durante i movimenti, che grazie alla curva facilita l’ingresso nell’ampiezza biologica dello spazio interdentale. L’approccio D-BIOteque attraverso la visualizzazione della topografia del biofilm batterico permette una pratica clinica minimamente invasiva ed ergonomica di air polishing, debridment manuale ed ultrasonico e polishing selettivo. È stato effettuato il deplaquing e il debridment parodontale utilizzando un dispositivo multifunzionale, combi touch (Figg. 7a, 7b). Abbiamo usato il manipolo per air-polishing con polvere di glicina, formata da particelle a 25 micron per il deplaquing. L’opportunità di poter usare i manipoli orientati a 90° o 120° permette di poter essere efficaci nel rispetto della delicatezza dei tessuti dento parodontali. La pratica clinica di air polishing è stata effettuata con approccio Tailor Made e quindi sono state scelte le polveri con differente granulometria, più adeguate alla situazione clinica presente nei differenti siti del cavo orale (Figg. 8a, 8b). È stata utilizzata per l’air polishing la prophylaxis powder sensitive composta da particelle solubili in acqua molto più piccole rispetto a quelle di altre polveri, quindi molto più delicate nei confronti delle superfici dentali compromesse dalle wsl nella zona dell’arcata frontale e dalle bsl nella zona retromolare.
Diversa granulometria a seconda della zona da trattare, nello specifico la Mectron prophylaxis powder Smooth (Fig. 9b) a base di carbonato di calcio e la prophylaxis powder Soft a base di bicarbonato di sodio (Fig. 9a) per i settori molari e frontali sopragengivali. Per le zone più sensibili e sottogengivali abbiamo usato invece la prophylaxis powder sensitiveglycine powder. È stata utilizzata polvere prophylaxis powder soft di bicarbonato di sodio con granulometria a 40 micron per la detersione e rimozione delle discromie tenaci delle superfici occlusali e asportazione dei depositi parzialmente mineralizzati. Inoltre, si è eseguito il debridment con ablatore in modalità soft per ridurre eventuali stimoli di ipersensibilità (Figg. 10a, 10b) Successivamente abbiamo effettuato un leggero polishing selettivo con coppetta morbida e prophy paste pro directa con fluoruro 0,1% (Fig. 11). La paziente è stata rimotivata all’uso corretto dello spazzolino (Figg. 12a, 12b) e dello scovolino e successivamente abbiamo apposto la mousse a base di caseina fosfopeptide-fosfato di calcio amorfo, per rimineralizzare con un’applicazione di 5 minuti (Fig. 13a). Nell’esecuzione abbiamo utilizzato il divaricatore labiale ergonomico cheek retractor directa che ha permesso una migliore visibilità e di lavorare senza assistenza in maniera efficace (Fig. 13b). Abbiamo utilizzato lo stesso per esercizi con l’obbiettivo di eliminare l’ipomobilità indotta presumibilmente dal filler per qualche minuto, chiedendo di contrastare la forza del cheek retractor. È stato chiesto alla paziente di sorridere dopo aver liberato le labbra dallo stesso e abbiamo scattato la fotografia del sorriso. La paziente è apparsa soddisfatta dall’aver recuperato in poco tempo l’armonia dento-labiale. La paziente è stata sottoposta ad una seduta di fotobiomodulazione con luce polarizzata al 95%, policromatica (da 480 a 3400 nm) e incoerente a bassa energia (2,4 J cm²/minuto) con il dispositivo Bioptron. La fotobiomodulazione è un’applicazione della fototerapia che si caratterizza per l’uso di un fascio luminoso che non provoca alcun danneggiamento alle cellule del tessuto target (Fig. 14). Dopo aver spruzzato acqua sterile arricchita di ossigeno oxi, abbiamo direzionato la luce sul volto ad una distanza di 10 cm per 10 minuti. Il fascio di luce innesca l’aumento del microcircolo, dell’ossigenazione tissutale, diminuendo l’infiammazione e aumentando collegene ed elastina per un effetto anti-aging. È stato fissato il prossimo appuntamento per una seduta di sbiancamento e infiltrazioni per la risoluzione delle wsl e bsl, ed un controllo dall’ortodontista per valutare una probabile terapia ortodontica per migliorare l’armonia dentale. Si è concordato con la paziente l’uso del controllo chimico della placca con dentifricio con componenti di calcio e fosfato con tecnologia novamin per riparare le aree vulnerabili delle superfici dentali e sciacqui di collutorio con potassio nitrato al 3%, 10 ml per 1 minuto 2 volte al giorno dopo lo spazzolamento di denti e spazi interprossimali (Figg. 15a, 15b).
_Conclusioni
È fondamentale, in qualsiasi terapia proposta, l’approccio di concordance che porta il paziente ad una perfetta adherence ai protocolli operativi. È necessario informare il paziente sulla necessità di affidarsi, per i trattamenti estetici, a professionisti che a livello interdisciplinare possano scegliere soluzioni terapeutiche che salvaguardino l’estetica del sorriso. Il risultato che si vuole ottenere non può prescindere dalla valutazione estetica del sorriso dal punto di vista odontoiatrico, dal conoscere l’anatomia delle labbra e dal come, se e dove iniettare un eventuale filler. Serve quindi molta esperienza e appassionata applicazione di protocolli Tailor Made per ottenere risultati gradevolmente estetici e funzionali. È auspicabile che terapie che prevedano potenziali interessamenti interdisciplinari come i trattamenti estetici sulle labbra, stimolino una collaborazione efficace tra i professionisti, così da tutelare la salute e la soddisfazione dei nostri pazienti.
Tag:
L’odontoiatria negli ultimi decenni è andata incontro a una profonda trasformazione che ha portato gli operatori del settore ad affrontare ...
Ritrovare un bel sorriso! Una terapia che fa recuperare la gioia di vivere a chi l’ha persa per cause diverse: dai traumi, alla carie, alla malattia ...
Sempre più frequentemente le richieste dei nostri pazienti mirano ad ottenere delle riabilitazioni che soddisfino parimenti l’aspetto funzionale e quello...
Coniugare salute del cavo orale ed estetica del sorriso è una grande sfida per il team odontoiatrico. Erogare approcci clinici personalizzati e minimamente...
In prevenzione terziaria, la terapia odontoiatrica più legata alla bellezza di un sorriso è la terapia ortodontica.
Nella pratica odontoiatrica comune il clinico è chiamato a trattare anomalie strutturali dello smalto e dentina con esigenze estetiche importanti da parte ...
Il bisogno dell’individuo di avere un sorriso sano ed estetico è un requisito importante in tutte le fasce d’età per migliorare la...
Un sorriso più attraente, un’estetica dentale migliorata e risultati duraturi sono stati legati per lungo tempo ai restauri in ceramica –...
Con l’obiettivo di ottenere un sorriso armonico e una dentatura regolare e simmetrica, il paziente si sottopone a terapie odontoiatriche e ...
La classe II scheletrica rappresenta una malocclusione molto diffusa nella popolazione e può presentarsi con un’ampia varietà di configurazioni dentali ...
Dr. Bruce McFarlane Certified Specialist in Orthodontics Fellow: Royal College of Dentists of Canada Diplomate: American Board of Orthodontics
Live webinar
mer. 15 aprile 2026
20:00 (CET) Rome
Live webinar
gio. 16 aprile 2026
2:00 (CET) Rome
Linda Hecker MS, BSDH, RDH
Live webinar
gio. 16 aprile 2026
18:00 (CET) Rome
Dr. Pär-Olov Östman, Dr. Robert Gottlander DDS
Live webinar
ven. 17 aprile 2026
18:00 (CET) Rome
Live webinar
ven. 17 aprile 2026
19:00 (CET) Rome
Dr. Stuart Yeaton BDentSc, MOrth
Live webinar
lun. 20 aprile 2026
19:00 (CET) Rome
Dr. Alberto Monje DDS, MS, PhD
To post a reply please login or register