Pianificazione digitale delle procedure chirurgica, estetica e funzionale per la creazione di due arcate protesiche complete su impianti.
_Introduzione
Grazie alle tecnologie digitali un numero crescente di pazienti edentuli o parzialmente edentuli con esiti disfunzionali possono ora essere riabilitati con protesi molto personalizzate ed esteticamente eccellenti, che offrono inoltre un ripristino duraturo e conforme della funzione occlusale.
La pianificazione e l’esecuzione necessarie per ottenere una funzione e un’estetica corrette possono infatti ora essere realizzate con l’ausilio di una varietà di strumenti digitali e con una accuratezza che in passato, con metodi di lavoro tradizionali, avrebbe richiesto una grande quantità di tempo e risorse.
Questo articolo illustra un approccio digitale che semplifica la gestione di un flusso di lavoro complesso, con il vantaggio di un più ampio accesso a una personalizzazione di alta qualità della gestione chirurgica e della progettazione estetica e occlusale.
_Acronimi
- ADSD: Aesthetic Digital Smile Design.
- TMJ: Temporo Mandibular Joint=
ATM: Articolazione Temporo-Mandibolare.
- RP: Posizione di Riferimento.
- TRP: Posizione Terapeutica di Riferimento.
- VDO: Dimensione Verticale di Occlusione.
- SCI: Inclinazione Condilare Sagittale.
- OJ: Over-Jet.
- OB: Over-Bite.
_Case report
Un paziente maschio di 58 anni (Fig. 1), senza anamnesi medica rilevante, si presenta alla nostra attenzione richiedendo una riabilitazione protesica fissa su impianti alle due arcate. L’edentulia e l’atrofia ossea all’arcata superiore, come verosimile risultato di parodontite cronica dell’adulto, e la presenza di tre denti e due impianti con una prognosi parodontale infausta, sono evidenti all’esame clinico e nelle immagini radiologiche (Fig. 2), così com’è visibile l’incongruenza delle protesi rimovibili, con estetica compromessa e malocclusione in cross bite monolaterale (Fig. 3), con segni e sintomi disfunzionali.
Dopo la rimozione dei denti residui e degli impianti, il paziente è stato immediatamente riabilitato con due protesi totali rimovibili diagnostiche in RP, che hanno migliorato i rapporti intermascellari, la VDO, OB, OJ, fonetica ed estetica. È stato eseguito un tracciato cefalometrico su una radiografia laterale del cranio per una valutazione funzionale iniziale del caso, seguita da una pianificazione protesica virtuale (Fig. 4), quindi radiologica (Fig. 5) e chirurgica. Le caratteristiche delle protesi studiate hanno determinato la pianificazione chirurgica (Smop, SwissMeda) (Fig. 6) e due guide chirurgiche sono state successivamente sinterizzate al laser (2Ingis) (Fig. 7). Gli impianti sono stati quindi posizionati come programmato (Figg. 8, 9), ad eccezione di quelli ai mascellari posteriori, dove è stato eseguito bilateralmente un grande rialzo del seno mascellare (Fig. 10).
Dopo due mesi è stata eseguita una scansione (Fig. 11) e i modelli in stampa 3D successivamente prodotti sono stati zoccolati per articolatore e ri-virtualizzati (Fig. 12) utilizzando un desktop scanner (inEos X5, Dentsply Sirona). I rapporti intermascellari e la posizione degli impianti sono stati accuratamente registrati, duplicando le protesi provvisorie in resina trasparente e fissando in bocca le posizioni dei transferts sui duplicati. La passività e precisione dei transferts in occlusione devono in questa fase essere controllate con estrema accuratezza. L’occlusione dei duplicati è usata quindi per il montaggio dei modelli zoccolati, che sono stati fissati su basi di montaggio con un arco facciale in un articolatore arcon completamente regolabile (Reference SL, Gamma Dental).
Gli incisivi centrali e i primi molari sono quindi stati montati bilateralmente a un’inclinazione del piano occlusale di dodici gradi (Fig. 13), che era stata precedentemente definita mediante tracciato cefalometrico su radiografia laterale del cranio. I modelli con il montaggio parziale sono stati scansiti con lo scanner desktop e, utilizzando la posizione dei margini incisali dei centrali inferiori e delle cuspidi distali dei primi molari, sono stati importati nella corretta posizione spaziale nel modulo Cad (ExoCAD Virtual Articulator, ExoCAD) (Fig. 14).
Non disponendo di un articolatore Reference SL virtuale nel Cad, è stato utilizzato un sistema SAM (SAM Präzisionstechnik) virtuale, poiché entrambi gli articolatori hanno lo stesso piano di riferimento assio-orbitale, ed è possibile sovrapporre la geometria del SL al SAM. Una axiografia dei movimenti limite (Cadiax Compact, Gamma Dental) (Figg. 15, 16) è stata eseguita per impostare le determinanti articolari del SAM virtuale come indicato dal software (CADIAX software, GAMMA), sia per l’impostazione delle guide condilari e incisali, sia per la regolazione di SCI e angoli di Bennet.
L’ADSD e il Cad per il paziente sono stati quindi eseguiti a partire dalle foto e dai modelli virtuali che definivano il nuovo piano occlusale. Poiché gli impianti superiori non potevano essere caricati immediatamente, una mesostruttura avvitata di prova in alluminio è stata fresata al Cam per la sola mandibola, insieme a una ceratura preliminare, con denti singolarmente staccabili, per la rifinitura sequenziale (Fig. 17). I modelli con la ceratura preliminare fresata sono quindi stati trasferiti nuovamente sull’articolatore SL, ed essa è ulteriormente perfezionata dall’odontotecnico esperto, che ha modellato accuratamente le superfici funzionali secondo il modello di occlusione sequenziale ispirato a quello proposto dal Prof. Dr. R. Slavicek, con cere di diverso colore a evidenziare i rapporti di centrica, le funzioni di mediotrusiva e protrusiva, e le protezioni di retrusiva (Fig. 18). Sono stati controllati tutti gli aspetti dell’occlusione, le guide funzionali sequenziali e l’uniformità delle disclusioni (Fig. 19).
Riportando con una scansione il wax-up di nuovo nel Cad (Fig. 20), le protesi virtuali sono state ancora controllate per quanto riguarda gli spessori, la superficie e la forma delle connessioni, e anche per la regolazione degli offset per l’adattamento sugli abutments, quindi il file è stato inviato al Cam (CAM 5-S1, VHF) per fresare la parte dentale di una protesi provvisoria completa per l’arcata superiore, e per fresare un’arcata completa avvitata, con una mesostruttura in titanio, per l’arcata inferiore (Figg. 21, 22). Entrambe le arcate sono state prodotte in PMMA con micro-filler ceramici ad alta stabilità (breCAM.multiCOM, bredent).
Dopo alcuni mesi, altri quattro impianti sono stati inseriti ai mascellari posteriori utilizzando la stessa guida chirurgica (Fig. 23), e dopo altri sei mesi l’arcata superiore era pronta per essere caricata con una riabilitazione protesica fissa su impianti. Tutte le procedure dell’arcata inferiore sono state ripetute per l’arcata superiore (Figg. 24, 25), perfezionando l’ADSD e controllando l’accuratezza dei contatti occlusali.
È stata quindi nuovamente eseguita un’analisi condilografica dei movimenti limite per l’impostazione dell’articolatore virtuale al Cad (Fig. 26), poiché dopo alcuni mesi la nuova funzione occlusale può evidenziare alcuni adattamenti, e una nuova ceratura sequenziale per l’arcata superiore è perfezionata con gli stessi procedimenti già descritti (Fig. 27).
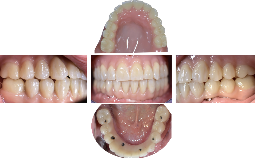
Una protesi avvitata con una mesostruttura in titanio (Figg. 28, 29) è stata consegnata per l’arcata superiore. Durante il periodo di lavorazione e fino al termine delle cure il paziente ha confermato una grande soddisfazione sia per l’estetica (Fig. 30) che per la funzionalità (Fig. 31) della nuova riabilitazione.
_Discussione e conclusioni
L’uso degli strumenti digitali qui descritti per la pianificazione ed esecuzione chirurgica, l’ADSD e la pianificazione di una funzione occlusale sequenziale a dominanza canina si sono dimostrati vantaggiosi per il clinico e il paziente, consentendo una riduzione del tempo di lavorazione e una semplificazione delle procedure previste, oltre a facilitare notevolmente una più elevata personalizzazione del progetto. Le protesi eseguite al Cad possono essere realizzate in diversi materiali, con alta precisione e ripetibilità per simulazioni e prove, e con concomitante riduzione dei costi di produzione. Inoltre l’opportunità di scansire i modelli, i wax-up, i mock-up e le protesi provvisorie consente l’acquisizione di una grande quantità di informazioni preziose sull’anatomia e sulla funzione del paziente, oltre alla definizione precisa dell’estetica.
Bibliografia
- Abduo J. Safety of increasing vertical dimension of occlusion: a systematic review. Quintessence Int. 2012; 43:369.
- Akimoto S, Kubota M, Sato S. Increase in vertical dimension and maxillo-mandibular growth in a longitudinal growth sample. J Stomat Occ Med. 2010; 3:15-19.
- Bassetti N. The vertical dimension in prosthesis and orthognathodontics. Integration between function and aesthetics. Edra. 2016.
- Celar AG, Tamaki K. Accuracy of recording horizontal condylar inclination and Bennet angle with the Cadiax Compact. J Oral Rehabil. 2002 Nov; 29(11): 1076-81.
- Dowson PE. Occlusione Funzionale. Elsevier. 2009.
- Fukoe H, Basili K et al. Three-dimensional analyses of the mandible and the occlusal architecture of mandibular dentition. Int J Stomat Occ Med. 2012; 5(3):119-129.
- Hanashima M, Sakakibara K, Slavicek R, Sato S. A study regarding occlusal plane and posterior disclusion. J Stomat Occ Med. 2008; 1:27-33.
- Martignoni M, Schonenberger A. Precision fixed prosthodontics: clinical and laboratory aspects. Quintessence Pub. Co. 1990.
- Nakamura T. et al. The effect of vertical dimension change on mandibular movements and muscle activity. Int J Prosthodont. 1988; 1:297.
- Piehslinger E, Celar AG, Celar RM, Slavicek R. Computerized axiography: principles and methods. Cranio. 1991 Oct. 9 (4): 344-55.
- Rebibo M, Darmouni L, Jouvin J, Orthlieb JD. Vertical dimension of occlusion: the keys to decision we may play with the VDO if we know some game’s rules. J Stomat Occ Med. 2009; 2:147-159.
- Sato S. A treatment approach to malocclusion under the consideration of craniofacial dynamics. Grace Printing Press Inc. 2001.
- Sato S, Slavicek R. Bruxism as a stress management function of the masticatory organ. Bull of Kanagawa Dent Coll. 2001; 29:101-110.
- Sato S, Slavicek R. The masticatory organ and stress management. J Stomat Occ Med. 2008; 1:51-57.
- Slavicek R. Concepts in Oral Medicine. Vol. 1, 2, 3. Gamma Dental Edition. 2015.
- Slavicek R. JCO interviews. Clinical and instrumental functional analysis for diagnosis and treatment planning. Part 5. Condylography J Clin Orthod. 1988; 22:656-67.
- Slavicek R. Die funktionellen Determinanten des Kauorgans Verlag Zahnärztlich-Medizinisches Schrifttum, 1984.
- Slavicek R. The masticatory organ: functions and dysfunctions. GAMMA Medizinisch-wissenschaftliche Fortbildung-AG. 2002.
- Slavicek R, Mack H. Model preparation with the split-cast. Inf Orthod Kiferorthop. 1982; 14(1):12-13.
- Slavicek R, Sato S. Bruxism - a function of the masticatory organ to cope with stress. Wien Med Wochenschr. 2004; 154: 584-589.
- Ury E. Reproducibility of chin controlled reference position with three registration techniques. J Stomat Occ Med. 2008; 1:21-26.
- Omar D, Duarte C. The application of parameters for comprehensive smile esthetics by digital smile design programs: A review of literature -The Saudi Dental Journal,Vol.30, Issue 1, Jan2018.
- Levrini L, Tieghi G, Bini V. Invisalign Clin Check and the Aesthetic Digital Smile Design Protocol. J Clin Orthod. 2015 Aug;49(8):518-24.
- Bini V. Aesthetic digital smile design: software-aided aesthetic dentistry (part 1). CAD/CAM Int - Mag Digital Dent 2014;2:12-17.
- Bini V. Aesthetic Digital Smile Design. Software-aided aesthetic dentistry (part 2). Cosmetic Dentistry int. 2015;1:14-22.
L'articolo è stato pubblicato su digital international magazine of digital dentistry vol. 10, numero 4/2019.
L’aumento della vita media della popolazione porta all’osservazione degli odontoiatri un numero crescente di pazienti che presentano detrimento dei ...
Esiste una categoria di pazienti che si presentano alla nostra attenzione dopo aver trascorso anni senza essersi sottoposti ad una visita odontoiatrica. Nel...
Negli ultimi anni è notevolmente aumentata la complessità del processo diagnostico e terapeutico in campo odontoiatrico. Di volta in volta, ...
Negli ultimi anni è notevolmente aumentata la complessità del processo diagnostico e terapeutico in campo odontoiatrico. Di volta in volta, ...
Riportiamo alcune considerazioni su un case report descritto da un odontologo forense con oltre trent’anni di esperienza, tacendo, per ovvi motivi di ...
Riportiamo alcune considerazioni su un case report descritto da un odontologo forense con oltre trent’anni di esperienza, tacendo, per ovvi motivi di ...
Gli odontomi composti sono neoformazioni benigne di origine odontogena localizzate prevalentemente nella parte anteriore del mascellare; compaiono ...
Per motivi economici, i pazienti e i dentisti spesso si trovano obbligati a usare materiali da restauro per il trattamento di ampi difetti estetici ...
Per motivi economici, i pazienti e i dentisti spesso si trovano obbligati a usare materiali da restauro per il trattamento di ampi difetti estetici ...
La paziente si è presentata alla mia osservazione chiedendo un miglioramento estetico del viso e del sorriso. Dopo aver raccolto tutti i dati clinici, ...
Dr. Bruce McFarlane Certified Specialist in Orthodontics Fellow: Royal College of Dentists of Canada Diplomate: American Board of Orthodontics
Live webinar
mer. 15 aprile 2026
20:00 (CET) Rome
Live webinar
gio. 16 aprile 2026
2:00 (CET) Rome
Linda Hecker MS, BSDH, RDH
Live webinar
gio. 16 aprile 2026
18:00 (CET) Rome
Dr. Pär-Olov Östman, Dr. Robert Gottlander DDS
Live webinar
ven. 17 aprile 2026
18:00 (CET) Rome
Live webinar
ven. 17 aprile 2026
19:00 (CET) Rome
Dr. Stuart Yeaton BDentSc, MOrth
Live webinar
lun. 20 aprile 2026
19:00 (CET) Rome
Dr. Alberto Monje DDS, MS, PhD
To post a reply please login or register