L’agenesia è la più frequente tra le anomalie dentarie che l’ortodontista o l’odontoiatra multispecialista si trova a dover fronteggiare1, 2.
Le agenesie sono di grande interesse, oltre che per la frequenza elevata, anche per la complessità delle soluzioni terapeutiche che necessitano: la gravità è direttamente proporzionale all’estetica che riveste l’elemento colpito e nel complesso può essere inquadrata come patologia caratterizzata da forte disagio psicologico-relazionale del paziente affetto, in quanto influisce spesso sull’autostima e la sicurezza di sé.
L’incidenza delle agenesie è più elevata a livello dell’arcata inferiore e gli elementi maggiormente assenti sono i terzi molari. In ordine di frequenza si trovano poi gli incisivi laterali mascellari. La mancanza di uno, due o tre elementi è abbastanza frequente, mentre l’agenesia di un numero maggiore di denti è un evento abbastanza raro e solitamente ascrivibile a quadri più complessi, in connessione ad anomalie sindromiche quali Displasia Ectodermica, Sindrome di Down, Labiopalatoschisi e Sindrome di Ellis-Van-Creveld. In letteratura c’è consenso nell’identificare come causa principale della patogenesi delle agenesie un’alterazione delle cellule deputate a maturare nelle gemme dentali nelle primissime fasi dello sviluppo dentale3.
L’approccio alla riabilitazione dei pazienti con agenesia è multidisciplinare e, come precedentemente precisato, ha spesso forte valenza estetica; quindi definire delle regole base da seguire predispone i clinici a ridurre le variabili non controllabili e a giungere al successo terapeutico. Le terapie sono diverse pur mirando agli stessi obiettivi di funzione, estetica e stabilità. Si può passare dal non intervento nei casi di agenesia di 3’ molari, alla chiusura ortodontica degli spazi nei casi con mancanza di premolari o incisivi laterali; oppure, sempre nelle ultime due evenienze, si può intervenire con una terapia ortodontica di apertura dello spazio al fine di effettuare una riabilitazione protesica di tipo Maryland o fissa su denti naturali con cantilever, fino a soluzioni implanto-supportate. Si può anche, in ultima battuta, mantenere gli elementi decidui, quando presenti, per ragioni estetiche ma anche per mantenere funzione e sviluppo dei processi alveolari, per rimandare l’intervento di sostituzione protesica definitiva a fine crescita4. Infatti, sebbene in una “consensus conference” del 1989 si sia posto il limite minimo di età per inserimento implantare a 15 anni, è meglio valutare ogni caso singolarmente e nel complesso ritardare interventi implantari a crescita delle basi ossee ultimata.
Il caso specifico di agenesia del laterale superiore si manifesta clinicamente come area edentula o come anomalia di posizione e alterato numero di elementi dentari a livello del mascellare superiore con spazi occupati da elementi non coerenti con la sede, come un 1’elemento deciduo non esfoliato oppure un altro elemento permanente diverso dal laterale. Nei soggetti con agenesia del laterale superiore l’armonia delle arcate va ripristinata il più presto possibile con una corretta gestione degli spazi per evitare che ai problemi estetici si aggiungano problemi funzionali5. È fondamentale sottolineare che qualsiasi sia la scelta terapeutica sarà un compromesso. Non esiste una soluzione ideale e bisognerà personalizzare quanto più possibile la terapia sul paziente in funzione anche, e soprattutto, di tutti quei meccanismi di compenso che sono già stati messi in atto dalla natura.
L’approccio da intraprendere è fortemente influenzato dall’epoca di diagnosi in relazione all’età del paziente, dai rapporti scheletrici, dentali e derivanti dall’analisi estetica, oltre che dal tipo di agenesia (monolaterale o bilaterale). Fondamentale è la diagnosi precoce dell’agenesia, in quanto rende la terapia più agevole per il clinico, minimizzando le complicazioni fin dal principio, e offre un maggior ventaglio di opzioni terapeutiche.
Le specialità odontoiatriche chiamate in causa sono diverse a seconda della scelta, ma generalmente implicano la co-partecipazione di Ortodontista, Protesista, Chirurgo e Parodontologo. Le alternative terapeutiche a disposizione sono principalmente due: perdita programmata dello spazio (chiusura), oppure recupero e mantenimento dello spazio (apertura).
Se il piano di trattamento suggerisce l’apertura degli spazi edentuli, la riabilitazione implantoprotesica rappresenta la soluzione ideale e più conservativa per sostituire gli elementi mancanti. I vantaggi sono rappresentati dal fatto che gli elementi contigui al sito edentulo restano inalterati, in più l’estetica finale risulta migliore, oltre ad essere una soluzione fissa e psicologicamente meglio accettata dal paziente. Gli svantaggi sono, però, che il posizionamento è possibile solo a fine crescita del paziente e sono necessari spessori minimi per il rispetto dei tessuti adiacenti6.
Nei casi di agenesia di incisivo laterale mascellare la determinazione dello spazio necessario per il posizionamento dell’impianto e del restauro protesico è determinato dallo studio dell’elemento controlaterale. In alcuni casi, però, l’elemento può avere una forma conoide o può essere assente anch’esso congenitamente. In queste situazioni lo spazio da ricavare sarà determinato da una relazione estetica che sussiste tra l’incisivo centrale e l’incisivo laterale mascellare, chiamata “proporzione aurea”: secondo questo metodo l’ampiezza mesio-distale degli elementi dentali osservati in visione frontale dovrebbe essere in un rapporto di 1:0,618, cioè se l’incisivo centrale misurasse 8 mm, allora l’incisivo laterale ideale dovrebbe misurare 0,618 di 8 mm, quindi 5 mm7. Bisogna, poi, considerare anche un ottenimento di spazio adeguato tra le radici degli elementi adiacenti. Il diametro richiesto per riabilitare un incisivo laterale mascellare è di circa 3mm8.
Caso clinico
Una ragazza di 20 anni si è presentata alla nostra attenzione con agenesia di elemento 22 ed elemento 12 con corona di conformazione conoide. Il sito edentulo in zona 22 si presenta riabilitato con una protesi tipo Maryland (Figg. 1, 2). La paziente dal punto di vista medico generale non presentava controindicazioni al trattamento implantare. È stata valutata tramite un approccio multidisciplinare ortodontico e implantare, al fine di ottenere la migliore integrazione estetica e funzionale della riabilitazione. Dopo aver valutato le alternative terapeutiche, si è deciso per una riabilitazione di tipo protesico su supporto implantare per il sito 22 edentulo e veneer in ceramica per l’elemento 12. La paziente si presenta da noi a crescita scheletrica ultimata quindi è possibile procedere con la riabilitazione implantare. Se gli impianti venissero inseriti in fase di crescita, infatti l’osso alveolare circostante potrebbe continuare a svilupparsi verticalmente e ugualmente i denti adiacenti potrebbero continuare a erompere, creando una discrepanza poco estetica tra il margine gengivale dell’impianto, quello dei denti naturali e una infraocclusione dell’elemento dentale su impianto9.
Procedura ortodontica
Trattamento ortodontico impostato sulla base di criteri diagnostici: I classe molare e canina, apertura dello spazio per corretto posizionamento di impianto in sede 22 e veneer in sede 12, livellamento e allineamento arcate dentarie con corretti valori di overjet e overbite, fondamentali ai fini protesici. Il corretto overjet, come distanza anteroposteriore degli incisivi superiori con gli inferiori, è un fattore fondamentale ai fini riabilitativi, in quanto consente un corretto inserimento dei pilastri di guarigione, del moncone protesico e un idoneo spessore palatale della corona protesica. La paziente presentava una prima classe molare bilaterale, leggera asimmetria della linea mediana interincisiva e leggero open bite anteriore. Inoltre, non era presente uno spazio idoneo per l’alloggiamento di un impianto in sede 22 e per una veneer in sede 12.
È stata acquisita una CBCT di mascellare superiore e inferiore. Il trattamento di allineamento delle arcate è stato effettuato con la tecnica Invisalign (Fig. 3). Particolare attenzione è stata data al mantenimento di uno spazio adeguato per l’alloggiamento di un impianto in sede 22 e veneer in ceramica a livello di elemento 12. Per l’impianto è stato necessario ottenere ortodonticamente uno spazio in eccesso di 1.5 mm per lato, quindi da 7 a 8 mm da centrale a canino, comprendendo il diametro dell’impianto di 3 mm10, 11. Fondamentale per la riabilitazione protesica è poi non solo lo spazio coronale ma anche inter radicolare per l’alloggiamento dell’impianto12. Con Invisalign è stato possibile, tramite prescrizione preventiva del trattamento, ottenere la corretta dimensione mesio-distale, secondo le Gold Proportions7.
Procedura chirurgica
Prima dell’inizio dei lavori implanto-protesici e al termine del trattamento ortodontico della durata di circa un anno, è stato eseguito un condizionamento di tessuti molli nel sito edentulo tramite rifacimento della protesi tipo Maryland in sede 22. Utilizzando le sezioni CBCT e le ricostruzioni 3D è stata poi eseguita la progettazione virtuale del caso, simulando il posizionamento dell’impianto nel sito preparato ortodonticamente il cui alloggiamento ottimale è stato individuato come al centro del futuro elemento protesico13. Dopo l’esecuzione di un lembo di accesso a tutto spessore, si è proceduto alla preparazione del sito implantare. È stata eseguita una procedura di rigenerazione ossea in sede 22 con Bio-Oss 0.5 e Bio-Gide 25 x 25; è stato poi posizionato un impianto di 13 mm e diametro 3 mm, con particolare attenzione alla tridimensionalità mesio-distale, vestibolo-palatale e apico-coronale (Figg. 4a, 4b). A sette mesi dalla prima fase chirurgica è stata effettuata la seconda fase chirurgica per il posizionamento della vite di guarigione.
Procedura protesica
A guarigione dei tessuti molli è stata rilevata l’impronta di posizione per la realizzazione dell’abutment definitivo e la costruzione dei provvisori, sia per la corona su impianto dell’elemento 22 sia la veneer dell’elemento 12. Eseguito un adeguato condizionamento dei tessuti molli, sono state poi posizionate a distanza di 10 mesi la corona definitiva a livello di elemento 22 in zirconia integrale a veneer in ceramica a livello di elemento 12 (Figg. 5-6c).
Conclusioni
Il risultato estetico è la risultante di una programmazione condivisa tra ortodontista, implantologo e protesista (Figg. 7-8b). I mesi dedicati alla fase ortodontica sono stati fondamentali per l’ottenimento di spazi e rapporti occlusali ideali. Il software di elaborazione del progetto ortodontico si rivela un ausilio molto efficiente nel calcolo millimetrico degli spazi edentuli ai fini di creare corone dentarie simmetriche.
Fig. 1 - OPT delle arcate dentarie, si noti anomalia di forma elemento 12 e sito edentulo in sede 22.
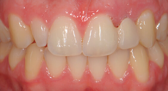
Fig. 2 - Foto inziali del caso. Si noti la presenza di elemento 12 di conformazione conoide e agenesia di elemento 22 sostituito con protesi tipo Maryland.
Fig. 3 - ClinCheck trattamanto Invisalign pre e post visioni frontale, si osservi la corretta gestione degli spazi in senso mesio-distale.
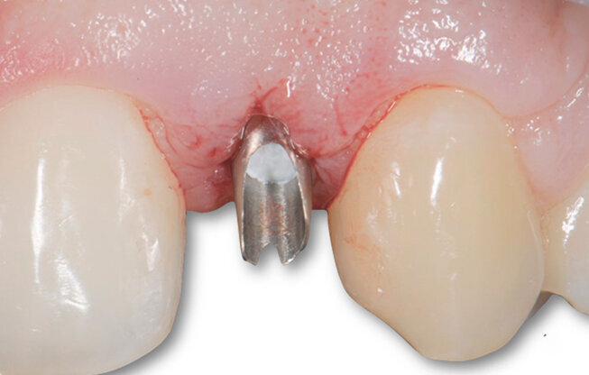
Fig. 4a - Rx endorale pre-operatoria sito edentulo sede 22. Misurazione dello spazio inter-radicolare per l’inserimento dell’impianto.
Fig. 4b - Rx endorale post-operatoria impianto sede 22.
Fig. 5 - Moncone in posizione.
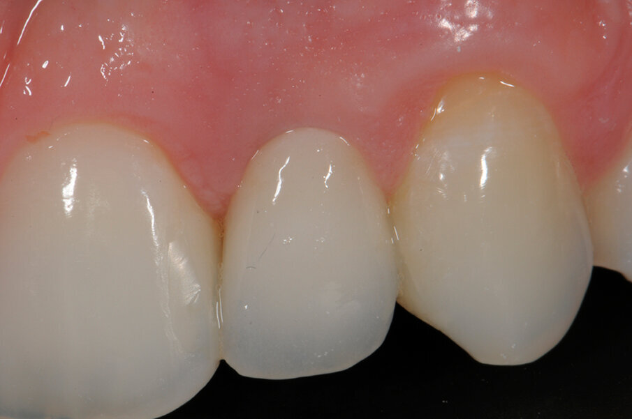
Fig. 6a - Corona cementata.
Fig. 6b - Controllo radiografico a un mese.
Fig. 6c - Controllo dei tessuti molli a un mese.
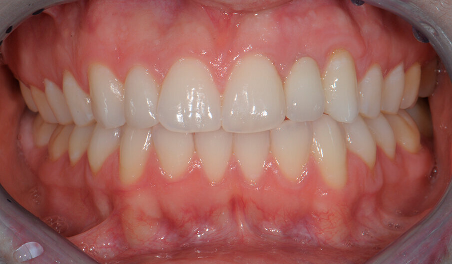
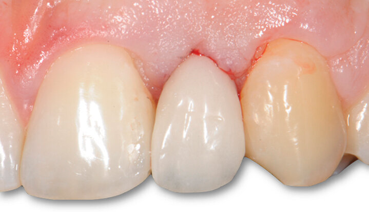
Fig. 7 - Controllo dei tessuti molli a 3 mesi, non è stato ancora riabilitato il conoide.
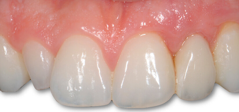
Fig. 8a - Caso concluso con veeners in ceramica a livello del 22.
Fig. 8b - Occlusione finale della paziente.
La mascherina viene utilizzata nella fase intermedia post-operatoria come supporto estetico coprendo l’area edentula. La fase protesica finalizza il caso nel rispetto dei tessuti parodontali.
Bibliografia
- Endosseus dental implants in orthodontic therapy. Schweizer CM, Schegel AK, Rudzki-Janson I. 61, 1996, Int Dent J, Vol. 46, p. 8.
- The role of the orthodontist on the maxillary anterior implant team. Dialogue. 2, 1998, Am Assoc Orthod, Vol. 10.
- Congenitally missing teeth (hypodontia): A review of the literature concerning the etiology, prevalence, risk factors, patterns and treatment. V, Rakhshan. 1, 2015, Dent Res J, Vol. 12, p. 1-13.
- Hypodontia: A Team Approach ti Management. J.A., Hobkirk. 2011, Vol. 3.
- Management of missing maxillary lateral incisors. D.D.S., Roy Sabri.1, 1999, J Am Dent Assoc, Vol. 130, p. 80-84.
- Congenitally missing maxillary lateral incisors and orthodontic treatment considerations for the single tooth implant Richardson G, Russel KA. 25, 2001, J Can Dent Assoc, Vol. 67, p. 8.
- The principles of visual perception and their application to dental esthetics. R, Lombardi. 358, 1973, J Prosthet Dent, Vol. 29.
L'articolo è stato pubblicato su Dental Tribune Italian Edition febbraio 2018.
Tag:
Il paziente, un uomo di 37 anni si presenta all’attenzione dello studio lamentando un forte dolore gengivale e la necessità di sottoporsi a una...
Il paziente, un uomo di 37 anni si presenta all’attenzione dello studio lamentando un forte dolore gengivale e la necessità di sottoporsi a una...
Negli ultimi anni si è riscontrato un forte collegamento tra batteri patogeni del cavo orale e sviluppo dell’endocardite. Risulta importante ...
La gestione del paziente diabetico con malattia parodontale richiede un approccio integrato e personalizzato. Ne parliamo con la Dott.ssa Elisabetta ...
Con questo articolo desidero mostrare un caso clinico di gestione dei tessuti molli periimplantari mediante l’associazione di matrice in collagene ...
ADELAIDE, Australia - I risultati di una ricerca pubblicata di recente indicano che la perdita dei denti non interferisce necessariamente con la ...
La paziente si è presentata alla mia osservazione chiedendo un miglioramento estetico del viso e del sorriso. Dopo aver raccolto tutti i dati clinici, ...
Venerdì 25 e Sabato 26 Ottobre 2024, presso il Best Western Plus Tower di Bologna, il dott. Luca Ortensi terrà il suo corso annuale di protesi a distanza ...
“Parlare” non significa “dialogare”, soprattutto nel caso dell’Odontoiatria
In questo articolo viene presentato un caso di edentulismo totale superiore trattato e gestito con una nuova sistematica implanto-protesica e con flusso ...
Live webinar
gio. 7 maggio 2026
2:00 (CET) Rome
Ms. Ellen Karlin, Dr. Sara Karlin
Live webinar
gio. 7 maggio 2026
17:00 (CET) Rome
Live webinar
gio. 7 maggio 2026
18:00 (CET) Rome
Live webinar
gio. 7 maggio 2026
18:00 (CET) Rome
Dra. Maria Carolina Erhardt, Dra. Thais Tomé Feldens
Live webinar
gio. 7 maggio 2026
20:30 (CET) Rome
Live webinar
lun. 11 maggio 2026
18:00 (CET) Rome
Live webinar
lun. 11 maggio 2026
19:00 (CET) Rome
To post a reply please login or register