Gli odontomi composti sono neoformazioni benigne di origine odontogena localizzate prevalentemente nella parte anteriore del mascellare; compaiono generalmente tra la 1a e la 2a decade e hanno un decorso tipicamente caratterizzato da una lenta ma progressiva espansione.
Radiograficamente si presentano come una massa di radio-opacità disomogenea, che rivela la presenza di numerosi piccoli denti dismorfici (comunemente definiti come “denticoli” o “odontoidi”) circondati da un’area radiotrasparente1.
Poiché gli odontomi sono frequentemente causa di malposizioni e/o anomalie eruttive a carico degli elementi dentari adiacenti, la terapia elettiva consiste in questi casi nell’enucleazione chirurgica associata se necessario a ulteriori trattamenti quali, ad esempio, la trazione ortodontica per ottenere la disinclusione dell’elemento ritenuto: pertanto, il piano terapeutico più appropriato per il trattamento di queste neoformazioni ha, nella maggior parte dei casi, un approccio di tipo multidisciplinare2. Viene presentato un caso di enucleazione chirurgica di odontoma composto in un paziente pediatrico associato a trazione ortodontica dell’elemento 1.1 ritenuto.
_Case report
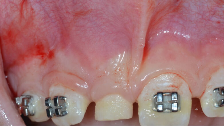
Il paziente (maschio, di anni 10) si presenta alla nostra attenzione lamentando la mancata eruzione in arcata dell’elemento 1.1 associata a una tumefazione con consistenza solida, non dolente e non dolorabile situata in corrispondenza dell’apice dell’elemento 5.1 (Fig. 1).
In seguito all’esame obiettivo e dopo aver preso visione dello studio radiografico del caso (effettuato mediante esami di 1° e 2° livello) si diagnostica la presenza di una neoformazione di dimensioni approssimativamente pari a 7,4 x 8,3 mm posizionata tra gli elementi 5.1 e 5.2 il cui aspetto è compatibile con quello di un odontoma (Figg. 2, 3). La presenza di questa neoformazione impedisce il normale tragitto eruttivo dell’elemento 1.1 che appare inoltre leggermente mesio-inclinato: questa condizione indica come terapia elettiva l’enucleazione chirurgica della massa neoformata e la contestuale cementazione di un attacco ortodontico per procedere al recupero dell’elemento ritenuto.
L’intera procedura chirurgica si è svolta in sedazione cosciente per via endovenosa. Viene prescritta una profilassi antibiotica preoperatoria consistente in 1 g di Amoxicillina/Acido clavulanico (da iniziare un’ora prima della seduta chirurgica) per poi proseguire in ragione di 0,5 g ogni 12 ore per 6 giorni. Immediatamente prima della seduta chirurgica il paziente esegue uno sciacquo con Clorexidina digluconato 0,2% da proseguire per due settimane dopo l’intervento in ragione di 1 sciacquo ogni 8 ore.
Per la terapia antalgica/anti-infiammatoria è stato prescritto Naprossene sodico 500 da assumersi 1 ora prima della seduta chirurgica e da proseguire secondo necessità, in quantità non superiore ad una bustina ogni 12 ore per 7 giorni.
Dopo analgesia locale ottenuta per infiltrazione di Articaina cloridrato 40 mg con epinefrina 1:100.000 viene sollevato un lembo a tutto spessore (Fig. 4) per esporre la zona interessata dalla lesione e si procede quindi all’estrazione dell’elemento deciduo 5.1 (Fig. 5).
La neoformazione viene aggredita in due tempi operatori distinti: il primo tempo consiste nell’ostectomia per erosione della corticale ossea che la ricopre integralmente (Fig. 6) e, successivamente, viene effettuata un’osteotomia perilesionale alla ricerca del piano di clivaggio tra la neoformazione e il tessuto osseo circostante (Fig. 7).
Poiché l’odontoma composto non ha un perimetro regolare, durante questo tempo operatorio va posta la massima attenzione nel seguirne accuratamente i contorni: questa precauzione diminuirà il rischio di effettuare un’osteotomia eccessivamente demolitiva.
Allo scopo di favorire il controllo tattile e migliorare la visibilità intraoperatoria da parte dell’operatore, le fasi sopra descritte vengono eseguite mediante inserti piezoelettrici dedicati montati su manipolo ad ultrasuoni (ES009T e ES010T Esacrom Srl, Imola, Italia)3.
Una volta esposta e isolata la massa, in accordo con le indagini radiografiche di 1° e 2° livello preventivamente eseguite, l’aspetto intraoperatorio conferma la diagnosi di odontoma composto, caratterizzato clinicamente dalla presenza di numerosi denticoli immersi in uno stroma di tipo fibroso (Fig. 8).
Si procede al clivaggio e all’enucleazione in toto della massa neoformata mediante una leva dritta (Fig. 9) seguita da un’accurata revisione chirurgica della cripta ossea residua (Fig. 10). Il pezzo operatorio viene inviato per l’esame istologico, che confermerà in via definitiva la diagnosi di odontoma composto (Figg. 11, 12). Poiché il piano di trattamento prevede di eseguire l’ancoraggio ortodontico dell’elemento ritenuto nella stessa seduta operatoria, la corona dentaria dell’elemento 1.1 viene esposta chirurgicamente per mezzo di un inserto piezoelettrico dedicato montato su un manipolo ad ultrasuoni (ES010T Esacrom Srl, Imola, Italia) (Fig. 13).
Si procede all’esecuzione dell’alveolectomia conduttrice (Figg. 14, 15) allo scopo di facilitare la trazione ortodontica mediante inserto dedicato montato su dispositivo piezoelettrico (ES009ST Esacrom Srl, Imola, Italia) e, successivamente, all’adesione del bracket ortodontico sulla corona dell’elemento 1.1 (Figg. 16, 17). L’ ultimo tempo operatorio prevede il riposizionamento e la sutura del lembo (Fig. 18) con punti staccati in Nylon 5/04 seguito dal riposizionamento in sede del filo ortodontico (Fig. 19).
Fig. 2_Ortopantomografia delle arcate dentarie che evidenzia i rapporti con gli elementi dentari adiacenti.
Fig. 3_Esame CBCT: proiezione assiale che evidenzia localizzazione e dimensioni della neoformazione.
Fig. 4_Lembo a tutto spessore che espone la zona interessata dalla lesione.
Fig. 5_Estrazione dell’elemento deciduo 5.1.
Fig. 6_Ostectomia per erosione della corticale ossea.
Fig. 7_Osteotomia perilesionale che segue il contorno della neoformazione.
Fig. 8_Esposizione e isolamento della neoformazione.
Fig. 9_Enucleazione della massa neoformata mediante una leva dritta.
Fig. 10_Revisione chirurgica della cripta ossea residua.
Fig. 11_Misurazione ex vivo del pezzo operatorio.
Fig. 12_Confezionamento e invio del pezzo operatorio per esame istologico.
Fig. 13_Esposizione chirurgica della corona dentaria di 1.1.
Fig. 14_Esecuzione dell’alveolectomia conduttrice mediante inserto piezoelettrico.
Fig. 15_Corona dentaria dell’elemento 1.1 correttamente esposta.
Fig. 16_Fasi di adesione per la cementazione di un attacco ortodontico.
Fig. 17_Attacco ortodontico cementato e applicazione del mezzo di trazione.
Fig. 18_Riposizionamento del lembo e sutura con filo in Nylon 5/0.
Fig. 19_Riposizionamento del filo ortodontico.
_Discussione
Secondo la classificazione stilata nel 2005 dall’Organizzazione Mondiale della Sanità (OMS) gli odontomi sono classificabili fra i tumori odontogeni benigni caratterizzati da “ectomesenchima odontogeno con o senza formazione di tessuti di consistenza dura” (Tab. 1, Par. II) e rappresentano il 22% di tutte le neoformazioni odontogene5. Devono il loro nome a Paul Broca, che nel 1868 introdusse per primo il termine “odontoma”; dal punto di vista istologico si riconoscono due tipi di odontoma: complesso e composto.
L’odontoma complesso, in cui i tessuti sono ben organizzati ma distribuiti in uno schema non ordinato è generalmente localizzato in mandibola posteriore mentre l’odontoma composto, in cui i vari tessuti sono rappresentati secondo un pattern più ordinato e anatomicamente simile a piccoli denti dismorfici è generalmente localizzati nella zona della premaxilla (65-70% dei casi).
Gli odontomi composti sono statisticamente più frequenti (64,4% dei casi) rispetto agli odontomi complessi6. Dal punto di vista istologico, negli odontomi composti sono individuabili strutture costituite da dentina, smalto e cemento radicolare in maniera del tutto simile a piccoli denti (generalmente definiti come “denticoli” o “odontoidi”) immersi in una matrice fibrosa.
Dal punto di vista clinico, gli odontomi si dividono in asintomatici e sintomatici: nei primi (odontomi asintomatici) generalmente di ridotte dimensioni, la diagnosi non potrà essere che radiografica e il più delle volte occasionale, mentre nei secondi (odontomi sintomatici) la diagnosi sarà sia clinica che radiografica.
La diagnosi clinica si fonda sul riscontro dei seguenti segni: 1) mancanza dell’elemento dentale permanente in arcata; 2) ritenzione prolungata del corrispondente elemento dentale deciduo; 3) inclinazione dell’elemento dentale controlaterale; 4) rigonfiamento in sede buccale o orale (a seconda della localizzazione prevalente) in corrispondenza della neoformazione; 5) presenza di infezione e dolore quando la neoformazione sia la causa di un’ulcera traumatica della sovrastante mucosa orale.
La diagnosi clinica dovrà in ogni caso essere supportata da una diagnosi radiografica: confrontando la densitometria della massa con quella degli elementi dentari adiacenti sarà possibile metterla in diagnosi differenziale con altri tipi di neoformazione (ad es. odontoma complesso o fibro-odontoma ameloblastico) e misurarne accuratamente le dimensioni oltre che studiarne i rapporti con le strutture viciniori.
A tal proposito, gioverà ricordare come l’impiego di strumenti rotanti o manuali durante le fasi osteotomiche rappresenti un fattore di rischio per quanto riguarda il possibile danneggiamento degli elementi dentari adiacenti o l’invasione delle limitanti anatomiche.
Dal punto di vista terapeutico, come già accennato, la rimozione di un odontoma si rende necessaria quando esso sia causa di ritenzione e/o malposizione del soprastante elemento dentario definitivo; dopo il completamento della fase chirurgica l’evoluzione è generalmente benigna e la lesione non tende a recidivare, salvo in rari casi nei quali l’enucleazione è avvenuta durante le primissime fasi di sviluppo7, 8.
Per quanto riguarda il timing del piano di trattamento, analogamente a quanto accade nella terapia dei canini inclusi, dove la maggior parte degli Autori9 raccomanda – nei limiti delle possibilità di ottenere un’adesione intraoperatoria soddisfacente – di effettuare la cementazione di un attacco ortodontico contestualmente all’esposizione chirurgica, anche quando si deve affrontare l’enucleazione di un odontoma è consigliabile seguire un simile approccio multidisciplinare piuttosto che effettuare la terapia in due fasi distinte10 allo scopo di limitare, per quanto possibile, l’invasività della procedura e ridurre i tempi dell’intero piano terapeutico.
Per facilitare il successivo movimento ortodontico dell’elemento incluso, alcuni Autori raccomandano inoltre l’esecuzione di un’alveolectomia conduttrice: si tratta, in pratica, di creare mediante osteotomia e ostectomia del ponte osseo presente coronalmente all’elemento ritenuto, una sorta di canale all’interno del quale potrà svolgersi il percorso eruttivo11-14.
Poiché nella maggior parte dei casi si tratta di pazienti pediatrici, è raccomandabile porre particolare attenzione alla limitazione della morbilità e dell’impatto psicologico della stessa sul piccolo paziente: per questi motivi, la possibilità di utilizzare un dispositivo piezoelettrico durante la procedura chirurgica si rivela di grande utilità15, 16.
Inoltre, grazie al fenomeno della cavitazione ultrasonica17, 18 così come già documentato in altri ambiti della chirurgia orale19-21 anche nei casi di enucleazione di un odontoma, questo tipo di approccio consente il mantenimento di un campo operatorio esangue e facilmente asciugabile, a tutto vantaggio delle procedure di adesione.
_Conclusioni
La possibilità di utilizzare un dispositivo piezoelettrico per l’enucleazione di un odontoma composto aumenta notevolmente il grado di sicurezza intraoperatoria, limita la morbilità generale dell’intervento e contribuisce a migliorare sensibilmente il decorso postoperatorio favorendo, in ultima analisi, una buona accettazione della procedura chirurgica da parte del paziente.
Nel caso presentato, considerata l’età pediatrica del paziente, questi vantaggi risultano particolarmente evidenti soprattutto se associati ad un approccio di tipo multidisciplinare: è opinione dell’Autore come l’approccio in un unico atto chirurgico eseguito con l’ausilio di un dispositivo piezoelettrico sia da considerarsi la terapia di elezione.
É infine auspicabile riuscire ad intercettare tali lesioni prima possibile, in modo da consentire un trattamento chirurgico meno esteso e complesso, oltre a garantire una prognosi migliore.
_bibliografia
- de Oliveira BH., Campos V., Marçal S.. Compound odontoma - diagnosis and treatment: three case reports. Pediatr Dent, 2001, 23(2):151–157.
- Preoteasa CT.1, Preoteasa E.. Compound odontoma - morphology, clinical findings and treatment. Case report. Rom J Morphol Embryol. 2018;59(3):997-1000.
- Tarquini G.. Dispositivi a ultrasuoni. Cap. 1. In: Tarquini G. “Tecniche di chirurgia parodontale: dalla diagnosi alla terapia”, Edizioni EDRA (Settembre 2017): 23-24.
- Tarquini G.. Tecniche di sutura in chirurgia parodontale. Cap. 1. In: Tarquini G. “Tecniche di chirurgia parodontale: dalla diagnosi alla terapia”, Edizioni EDRA (Settembre 2017): 61-64.
- Barnes L., Eveson J. W., Reichart P., Sydransky D.. World Health Organization, Classification of tumours. Pathology and genetics of head and neck tumours. Lyon: IARC Press; 2005.
- Reichart P.A., Philipsen H.P.. Patologia orale. Milano: Masson SpA; 1999.
- Kämmerer PW., Schneider D., Schiegnitz E., Schneider S., Walter C., Frerich B., Kunkel M.. Clinical parameter of odontoma with special emphasis on treatment of impacted teeth – a retrospective multicentre study and literature review. Clin Oral Investig, 2016, 20(7):1827–1835.
- Tomizawa M., Otsuka Y., Noda T.. Clinical observations of odontomas in Japanese children: 39 cases including one recurrent case. Int J Paediatr Dent, 2005, 15(1):37–43.
- Fourier A., Turcotte J., Bernard C.: Orthodontic considerations in the maxillary impacted canines Am. J. Orthod.; 81: 236-9, 1982.
- Lewis P.D. Pre-orthodontic surgery in the treatment of impacted canines. Am. J. Orth. 60: 383-397, 1971.
- Mugnier. Conductive Alveolectomy. Surgical Versions and Anchorage of Impacted Canines. Actual Odontostomatol 28(105):79-95 ·April 1974.
- Attia. Des inclusion et mise en place des dents retenues Emc Stom. 6; 23492 A 10, 1976.
- Bordais et Coll: Traitement des dents incluses EMC Stom. 11, 22097 A 10, 1982.
- Durivaux e Coll.: Alveolotomie conductrice de la canine superieure, Rev. D'od. Stom. n. 8-91-93, 1979.
- Tarquini G.. Dispositivi piezoelettrici, Cap. 1. In: Tarquini G. “Tecniche di chirurgia parodontale: dalla diagnosi alla terapia”, Edizioni EDRA (Settembre 2017): 29-31.
- Tarquini G.. La chirurgia piezoelettrica nella tecnica dello split-crest: indicazioni terapeutiche e presentazione di un caso clinico. Implant Tribune 2011;1:17-18.
- Tarquini G.. Ultrasuoni in chirurgia parodontale: effetti clinici, Cap. 1. In: Tarquini G. “Tecniche di chirurgia parodontale: dalla diagnosi alla terapia”, Edizioni EDRA (Settembre 2017): 25-26.
- Tarquini G.. Rialzo del seno mascellare per via laterale e pseudocisti antrale: caso clinico. Dental Cadmos 2015;83(9):630-639.
- Tarquini G.. Ricostruzione di atrofie mascellari mediante innesti in blocco di osso autologo a prelievo intraorale. Symposium Odontoiatrico, Anno 3; Numero 3 Ottobre 2012.
- Tarquini G.. Terapia delle atrofie mascellari mediante innesti in blocco di osso autologo: descrizione di un caso clinico. Implantologia Implantoprotesi e Digitale (Quintessence Publishing) N° 2/2018: 07-15.
- Tarquini G. Il ruolo degli ultrasuoni in terapia chirurgica delle periimplantiti: presentazione di un caso clinico. Implant Tribune, Novembre 2017 - anno VI n. 4: 1-7.
L'articolo è stato pubblicato su Implants n. 2/19.
Tag:
Il presente lavoro descrive la procedura con laser neodimio Nd:YAG 1064 nm per intervento di perimplantite.
Pianificazione digitale delle procedure chirurgica, estetica e funzionale per la creazione di due arcate protesiche complete su impianti.
La paziente si è presentata alla mia osservazione chiedendo un miglioramento estetico del viso e del sorriso. Dopo aver raccolto tutti i dati clinici, ...
I rapporti tra le patologie che interessano la polpa dentaria e quelle riguardanti il parodonto marginale si verificano attraverso le connessioni anatomiche...
Le tecniche di Odontoiatria e laboratorio Odontotecnico si sono evolute rapidamente negli ultimi anni, tuttavia è ancora difficile stabilire protocolli ...
Una paziente affetta da amelogenesi imperfetta generalizzata (Figg. 1a, 1b) aveva richiesto in età adulta un trattamento estetico. La paziente ...
Una paziente affetta da amelogenesi imperfetta generalizzata (Figg. 1a, 1b) aveva richiesto in età adulta un trattamento estetico. La paziente ...
Paziente di sesso femminile di anni 27 con anamnesi generale negativa e senza storia di malattia parodontale, si presenta in prima visita lamentando ...
La lingua villosa (LV) è una condizione benigna caratterizzata da un’alterazione di colore e da un aspetto villoso del dorso linguale. La prevalenza di ...
L’aumento della vita media della popolazione porta all’osservazione degli odontoiatri un numero crescente di pazienti che presentano detrimento dei ...
Dr. Bruce McFarlane Certified Specialist in Orthodontics Fellow: Royal College of Dentists of Canada Diplomate: American Board of Orthodontics
Live webinar
mer. 15 aprile 2026
20:00 (CET) Rome
Live webinar
gio. 16 aprile 2026
2:00 (CET) Rome
Linda Hecker MS, BSDH, RDH
Live webinar
gio. 16 aprile 2026
18:00 (CET) Rome
Dr. Pär-Olov Östman, Dr. Robert Gottlander DDS
Live webinar
ven. 17 aprile 2026
18:00 (CET) Rome
Live webinar
ven. 17 aprile 2026
19:00 (CET) Rome
Dr. Stuart Yeaton BDentSc, MOrth
Live webinar
lun. 20 aprile 2026
19:00 (CET) Rome
Dr. Alberto Monje DDS, MS, PhD
To post a reply please login or register