I soggetti adulti che presentano un riassorbimento osseo generalizzato, dovuto a patologie sistemiche, metaboliche e all’invecchiamento, possono avere un riassorbimento osseo alveolare e richiedere una riabilitazione implantoprotesica1, 2. Se la quantità di tessuto osseo non risulta sufficiente per la riabilitazione implantare è necessario eseguire una rigenerazione ossea3.
In particolare, nelle atrofie ossee mascellari in zona posteriore è possibile incrementare l’altezza ossea con la chirurgia del rialzo del seno mascellare4. Per valutare con accuratezza in modo tridimensionale la quantità e la qualità di osso alveolare disponibile è fondamentale l’ausilio della Cone Beam Computed Tomography (CBCT). La scelta delle modalità di trattamento implantoprotesico e il loro successo possono essere influenzate da una corretta valutazione radiografica tridimensionale5.
_Materiali e metodi
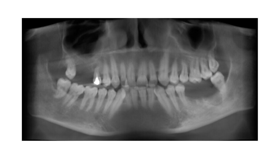
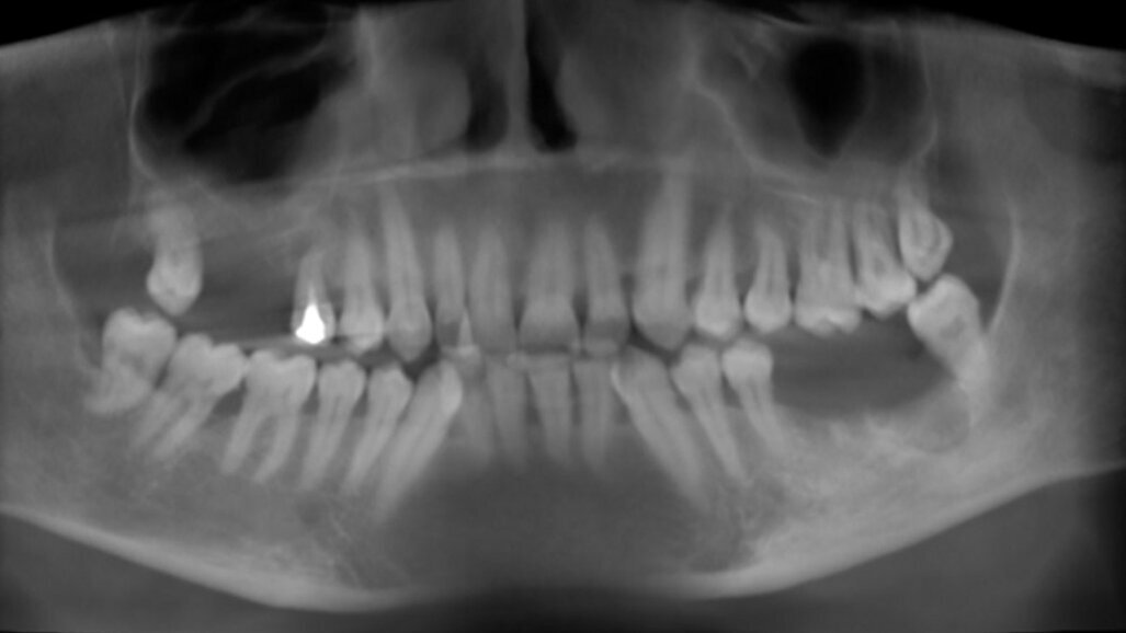
Una paziente donna di 63 anni, con osteoporosi ed ipotiroidismo, si presenta con assenza del 16 e 17, richiedendo riabilitazione dentale fissa. Si procede con l’esecuzione della CBCT per avere dettagli maggiori. Dall’analisi della CBCT nell’area edentula si misura un’altezza ossea verticale <5 mm in zona 16-17 e si nota la presenza di una lesione periapicale dell’elemento dentale 15 (Figg. 1-3). Quindi si programma l’intervento per l’estrazione del 15 e l’intervento per l’esecuzione del rialzo del seno mascellare con approccio laterale, con uso di osso bovino collagenato e spugnette di fibrina, al fine di ottenere l’incremento di osso verticale6. Dopo 5 mesi dall’esecuzione del rialzo di seno mascellare si esegue CBCT di controllo, per verificare l’effettivo aumento di osso verticale e programmare l’inserimento implantare (Figg. 4, 5).
_Risultati
A 5 mesi dall’intervento dal rialzo del seno mascellare con approccio laterale, grazie alla CBCT è stato possibile valutare la presenza di osso verticale. Si è visto che nell’area rigenerata si è avuto un incremento dell’osso, che presenta un range da 8 a 12 mm circa. Quindi verificata una rigenerazione verticale è possibile una riabilitazione implantare della zona 16, 17 e 15 con la scelta di impianti di lunghezza e un diametro adeguato (Figg. 4, 5)7, 8.
_Discussioni e conclusioni
L’uso della CBCT sta diventando sempre più importante nella pratica clinica, soprattutto nella chirurgia rigenerativa, proprio perché così si ha una conoscenza precisa delle caratteristiche anatomiche, delle sue variabili e delle conseguenti scelte dei trattamenti terapeutici. La gestione del caso è risultata più semplice e predicibile proprio per l’utilizzo della CBCT nella pianificazione, gestione di trattamenti di rigenerazione ossea e conferma del successo terapeutico9, 10.
_Bibliografia
- Whyte A., Boeddinghaus R.. The Maxillary Sinus: Physiology, Development and Imaging Anatomy. Dentomaxillofacial Radiol. 2019, 48, 20190205, doi:10.1259/dmfr.20190205.
- Kinane D.F.. Causation and Pathogenesis of Periodontal Disease: Causation and Pathogenesis of Periodontal Disease. Periodontol. 2000 2001, 25, 8–20, doi:10.1034/j.1600-0757.2001.22250102.x.
- Silva L. deF., de Lima V.N., Faverani L.P., de Mendonça M.R., Okamoto R., Pellizzer E.P.. Maxillary Sinus Lift Surgery—with or without Graft Material? A Systematic Review. Int. J. Oral Maxillofac. Surg. 2016, 45, 1570–1576, doi:10.1016/j.ijom.2016.09.023.
- González Menéndez H., Rodríguez Torres P., Muñoz Jiménez B., Galparsoro Catalán A., Velasco Bohórquez P., Tzironi G., San Hipólito Marín L., Zubizarreta Macho Á., Hernández Montero S.. A Replicable and Reproducible Digital Method for Quantifying Maxillary Sinus Airway Changes after Sinus Lifts Using the Lateral Window Approach Technique—A Retrospective Study. J. Pers. Med. 2021, 11, 1093, doi:10.3390/jpm11111093.
- Tavelli L., Borgonovo A.E., Re D., Maiorana C.. Sinus Presurgical Evaluation: A Literature Review and a New Classification Proposal. Minerva Dent. Oral Sci. 2017, 66, doi:10.23736/S0026-4970.17.04027-4.
- Juzikis E., Gaubys, A., Rusilas, H.. Uses of Maxillary Sinus Lateral Wall Bony Window in an Open Window Sinus Lift Procedure: Literature Review. Stomatologija 2018, 20, 14–21.
- Kao S.-Y., Lui M.-T., Cheng D.-H., Chen T.-W.. Lateral Trap-Door Window Approach with Maxillary Sinus Membrane Lifting for Dental Implant Placement in Atrophied Edentulous Alveolar Ridge. J. Chin. Med. Assoc. 2015, 78, 85–88, doi:10.1016/j.jcma.2014.05.016.
- Raghoebar G.M., Onclin P., Boven G.C., Vissink A., Meijer H.J.A.. Long-Term Effectiveness of Maxillary Sinus Floor Augmentation: A Systematic Review and Meta-Analysis. J. Clin. Periodontol. 2019, 46, 307–318, doi:10.1111/jcpe.13055.
- Danesh-Sani S.A., Loomer P.M., Wallace S.S.. A Comprehensive Clinical Review of Maxillary Sinus Floor Elevation: Anatomy, Techniques, Biomaterials and Complications. Br. J. Oral Maxillofac. Surg. 2016, 54, 724–730, doi:10.1016/j.bjoms.2016.05.008.
- Rahpeyma A., Khajehahmadi S.. Open Sinus Lift Surgery and the Importance of Preoperative Cone-Beam Computed Tomography Scan: A Review. J. Int. Oral Health JIOH 2015, 7, 127–133.
Nota editoriale:
AUTORI: Merigrazia Campanelli*, Pasquale Avantario*, Grazia Marinelli*, Fabio Piras*, Claudia Laudadio*, Alessio Danilo Inchingolo*, Giuseppina Malcangi*, Assunta Patano*, Nunzio Cirulli*, Giovanni Coloccia*, Carmela Pezzolla*, Sabino Ceci*, Valentina Montenegro*, Anna Maria Ciocia*, Damiano Nemore*,Gregorio Paduanelli* Filippo Cardarelli*, Angela Di Noia*, Ludovica Nucci**, Francesco Inchingolo*, Gianna Dipalma*, Daniela Di Venere*.
*Department of Interdisciplinary Medicine, University of Bari “Aldo Moro”, Bari, Italia.
*Multidisciplinary Department of Medical-Surgical and Dental Specialties, University of Campania “Luigi Vanvitelli”, Napoli, Italia.
Tag:
L’inserimento d’impianti dentali è oramai una pratica quotidiana per la riabilitazione delle edentulie, parziali o totali, dei ...
Le più attuali tendenze dell’implantologia orale sono tese alla riduzione dei tempi di trattamento. Questa tendenza si scontra spesso con ...
In presenza di gravi atrofie ossee, spesso conseguenza di estrazioni effettuate in giovane età, la riabilitazione implanto-protesica può andare incontro a...
La riabilitazione del mascellare posteriore atrofico spesso richiede l’esecuzione di un rialzo di seno mascellare. Nella sua esecuzione, l’apertura ...
La riabilitazione del mascellare posteriore atrofico spesso richiede l’esecuzione di un rialzo di seno mascellare che, nei casi ove l’atrofia sia ...
L’aumento del volume osseo del seno mascellare è una tecnica di frequente utilizzata in ambito implantare. La tecnica, presentata da Tatum nel ...
La chirurgia rigenerativa ossea si occupa da più di vent’anni della soluzione delle atrofie ossee conseguenti alla perdita degli elementi dentali. Molte ...
La moderna odontoiatria implantare ha permesso di rivoluzionare il piano di trattamento in modo da rispondere a tutte le esigenze protesiche, dal dente ...
La moderna odontoiatria implantare ha permesso di rivoluzionare il piano di trattamento in modo da rispondere a tutte le esigenze protesiche, dal dente ...
Paziente di 40 anni in buono stato di salute non fumatore si presenta alla mia attenzione con dolore alla pressione in zona 16 dove anni prima era stato ...
La perdita dei denti innesca un processo di riassorbimento al livello della cresta alveolare che è diverso da individuo a individuo.
Dr. Bruce McFarlane Certified Specialist in Orthodontics Fellow: Royal College of Dentists of Canada Diplomate: American Board of Orthodontics
Live webinar
mer. 15 aprile 2026
20:00 (CET) Rome
Live webinar
gio. 16 aprile 2026
2:00 (CET) Rome
Linda Hecker MS, BSDH, RDH
Live webinar
gio. 16 aprile 2026
18:00 (CET) Rome
Dr. Pär-Olov Östman, Dr. Robert Gottlander DDS
Live webinar
ven. 17 aprile 2026
18:00 (CET) Rome
Live webinar
ven. 17 aprile 2026
19:00 (CET) Rome
Dr. Stuart Yeaton BDentSc, MOrth
Live webinar
lun. 20 aprile 2026
19:00 (CET) Rome
Dr. Alberto Monje DDS, MS, PhD
To post a reply please login or register