La riabilitazione del mascellare posteriore atrofico spesso richiede l’esecuzione di un rialzo di seno mascellare che, nei casi ove l’atrofia sia importante ed anche associata a più elementi adiacenti, è di preferenza gestito attraverso l’approccio per via laterale, se si vuole anche un pieno controllo dell’atto chirurgico.
Le operazioni di scollamento della membrana sinusale, di innesto del biomateriale particolato e di inserimento implantare, se questo è eseguito in modo concomitante, sono associate al rischio di perforazione della membrana, una delle complicanze più frequenti e temute in questo tipo di chirurgia. Il posizionamento al di sotto della membrana sinusale di membrane o innesti ossei in forma di blocchi sottili o lamine può essere d’aiuto nella prevenzione di eventuali perforazioni successive allo scollamento e – nei casi in cui queste siano avvenute – nella loro gestione. Esse, inoltre, aiutano a costituire un neo-tetto che consentirà una maggior preservazione dell’innesto stesso negli anni. Il caso presentato in questo articolo illustra il posizionamento di un blocco osseo spongioso a protezione della membrana sinusale dopo il suo scollamento e prima del posizionamento simultaneo di impianti osteointegrati.
_Introduzione
Il rialzo di seno è uno degli interventi più frequenti nella riabilitazione del mascellare posteriore atrofico1. Fin dalla sua introduzione da parte di Tatum2, 3 e Boyne e James4, è stato oggetto di numerosi studi che ne hanno dimostrato la sicurezza, l’efficacia e la ripetibilità5-7. Alcuni autori, tra cui Summers8 ed altri7, 9-11, hanno proposto l’approccio crestale come alternativa a ridotta invasività rispetto l’accesso laterale previsto dalla tecnica originale. Quest’ultimo, tuttavia, è ancora da preferirsi quando lo spessore residuo della cresta ossea è inferiore ai 4-5 mm12, 13. Uno spessore ridotto, tuttavia, non impedisce il posizionamento simultaneo di impianti con sufficiente stabilità primaria, applicando opportuni protocolli di sottopreparazione del sito implantare, e adeguate macromorfologie implantari, la cui pianificazione è resa possibile, o grandemente facilitata, dalla possibilità di eseguire misure quantitative e ripetibili sia della densità ossea che della stabilità primaria implantare14. L’inserimento di impianti in un tempo, pur evitando al paziente un secondo intervento e rendendone più rapida la riabilitazione, comporta una maggiore durata della chirurgia, un maggior trauma, un decorso post-operatorio più difficile ed un maggior rischio di infezione. Esso comporta inoltre la necessità di eseguire un maggior numero di manovre chirurgiche e, intrinsecamente, un’aumentata probabilità che si verifichino complicanze, soprattutto intra-operatorie. Tra le complicanze più comuni dell’intervento si annovera la perforazione della membrana1, 14, 15. In questo articolo l’autore descrive brevemente l’impiego di innesti ossei eterologhi di origine equina, ottenuti attraverso un processo di eliminazione degli antigeni che ne conserva le proprietà meccaniche, posizionati a proteggere la membrana del seno – dopo il suo scollamento – dalle azioni meccaniche successive, inserimento degli impianti e riempimento con biomateriale, che potenzialmente potrebbero portare alla sua perforazione.
_Materiali e metodi
La paziente, di 66 anni non fumatrice, si è presentata all’attenzione del chirurgo richiedendo la riabilitazione del mascellare superiore sinistro, privo degli elementi da 2.4 a 2.7 (Fig. 1). Dopo valutazione clinica e radiografica, anche attraverso CBCT, alla paziente è stato proposto un piano di riabilitazione basato sull’esecuzione di un rialzo di seno ed il contestuale inserimento di tre impianti osteointegrati. La paziente ha fornito il proprio consenso informato al trattamento.
_Procedura chirurgica
La paziente è stata sottoposta ad igiene orale prechirurgica una settimana prima dell’intervento. Un’ora prima dell’intervento si è somministrato 1 g di amoxicillina/acido clavulanico (Augmentin, Glaxo-SmithKline, Verona) a scopo di profilassi chirurgica 1 ora prima della chirurgia e poi ogni 12 ore per 12 giorni. Alla paziente sono stati inoltre fatti eseguire degli sciacqui con clorexidina allo 0,2% (Corsodyl, Glaxo-SmithKline) da proseguire per due settimane dopo l’intervento. Per la terapia antalgica sono stati prescritti nimesulide 100 mg (Aulin, Angelini, Ancona) e desametasone solfato 4 mg/1ml (Soldesam, Laboratorio Farmacologico Milanese, Caronno Pertusella). È stato inoltre prescritto del ketoprofene granulare 80 mg (Oki, Dompé, L’Aquila), da assumersi se necessario, in quantità non superiore ad una bustina ogni otto ore per sette giorni.
L’area di intervento è stata anestetizzata utilizzando articaina cloridrato 40 mg con adrenalina 1:100000. Si è proceduto quindi a sollevare un lembo a tutto spessore, leggermente paracrestale, e a raccogliere del particolato autologo, utilizzando un bone scraper (SafeScraper Twist, Meta, Reggio Emilia) da impiegare successivamente per l’innesto miscelandolo col biomateriale (Fig. 2).
Si è proceduto quindi all’inserimento del primo impianto (Stone, IDI Evolution, Concorezzo) in posizione 2.5, previa misurazione della densità ossea attraverso una sonda di misura, connessa al manipolo di un apposito micromotore (TMM2, IDI Evolution, Concorezzo) e alla preparazione del sito per l’inserimento dell’impianto in posizione 2.6 (Fig. 3). L’osteotomia è stata eseguita utilizzando inserti piezoelettrici; la membrana sinusale è stata quindi scollata e sollevata e si è proceduto alla preparazione del sito implantare destinato ad accogliere il terzo impianto in posizione 2.7 (Fig. 4). La preparazione dei siti in posizione 2.6 e 2.7 è stata anch’essa eseguita previa lettura della densità ossea; essendo la stessa ridotta, si è deciso – per tutti e tre gli impianti – di impiegare un protocollo di sottopreparazione ove l’ultima fresa aveva un diametro inferiore a quello della spira dell’impianto del 12.5% come descritto anche in Arosio et al.14.
Prima dell’inserimento dei due impianti in posizione 2.6 e 2.7 si è proceduto a proteggere la membrana sinusale utilizzando un blocco osseo spongioso rigido, di origine equina, ottenuto attraverso un processo di eliminazione degli antigeni per via enzimatica (Osteoplant, Bioteck, Arcugnano); il blocco è stato tagliato con una pinza ossivora per ricavarne una porzione delle dimensioni adeguate al successivo inserimento al di sotto della membrana sinusale (Fig. 5); si è quindi proceduto ad inserire l’impianto in posizione 2.7 (Stone, IDI Evolution, Concorezzo), il cui apice, appoggiandosi al blocco appena inserito, non è entrato in contatto con la membrana sinusale (Fig. 5).
La cavità è stata quindi parzialmente riempita utilizzando un sostituto osseo di origine equina in granuli (Osteoxenon, Bioteck, Arcugnano), idratati con fisiologica sterile e miscelati con il particolato autologo prelevato precedentemente. Inserito il terzo impianto in posizione 2.6 (Stone, IDI Evolution, Concorezzo), il riempimento è stato completato utilizzando lo stesso sostituto osseo in granuli ed un’altra porzione del blocco impiegato in precedenza (Fig. 6). La finestra di accesso al seno è stata coperta con una membrana riassorbibile in collagene (Biocollagen, Bioteck, Arcugnano). Si è quindi proceduto alla sutura del lembo con una sutura non riassorbibile 5-0 (Monomyd, Butterfly, Cavenago). Non si sono osservate complicanze intra- o post-operatorie. La CBCT di controllo evidenziava il corretto posizionamento degli impianti, l’adeguato riempimento del seno, e la corretta interposizione del blocco osseo tra l’apice dell’impianto in posizione 2.7 e la membrana sinusale (Fig. 6). Dopo un adeguato tempo di guarigione, e seguite le usuali procedure di rimozione delle suture, scopertura degli impianti e condizionamento dei tessuti molli, a distanza di 4 mesi è stata consegnata la protesi definitiva in metallo-ceramica (Fig. 7). La paziente è stata controllata di seguito almeno annualmente. I controlli radiografici a un anno e a sette anni dall’intervento confermavano la conservazione dei livelli ossei perimplantari nel tempo, e la protesi appariva perfettamente funzionante (Fig. 7).
_Discussione e conclusioni
La tecnica presentata in questo caso si avvale di un sostituto osseo in blocco di origine equina per permettere di proteggere la membrana sinusale, dopo il suo scollamento, dalle successive operazioni di riempimento con biomateriale e simultaneo posizionamento implantare, entrambe richiedenti un’operatività che, potenzialmente, può aumentare la probabilità di perforazione della membrana. La tecnica mima, nella sostanza, l’approccio già delineato da Tulasne attraverso l’utilizzo di prelievi ossei da calvaria: interponendo un innesto osseo tra gli impianti e la membrana si protegge la stessa da eventuali interazioni meccaniche15, 16. L’impiego di sostituti ossei di origine equina (nello specifico, lamine corticali flessibili dello spessore di circa 2,5 mm) è già stato oggetto di studio da parte dell’autore, con follow-up a medio termine, come nel caso presentato (7 anni)17; la tecnica può essere eseguita sia realizzando due slot in posizione apicale entro i quali fare scivolare la lamina sia sfruttandone l’elasticità inserendola piegata al di sotto della membrana, e lasciando che successivamente si distenda (Fig. 8). L’autore ha più volte impiegato anche una versione più sottile (0,2 mm) della lamina corticale, più simile ad una membrana, sempre con l’intento di proteggere la membrana sinusale (Fig. 9). È opportuno segnalare che gli stessi innesti sono stati utilizzati con successo anche per la gestione delle perforazioni della membrana, anche di dimensioni significative18. Il risultato del caso presentato, in termini di successo implantare e mantenimento del volume osseo rigenerato, è coerente con gli studi condotti in precedenza sull’impiego dei sostituti ossei di origine equina a collagene preservato nell’esecuzione dei rialzi di seno in uno o due tempi14, 19, 20; il risultato ottenuto, in siti di densità ossea ridotta, è coerente con l’approccio razionale descritto dall’autore che prevede la misura quantitativa della densità ossea sito-specifica al sito di posizionamento implantare come parametro fondamentale per la decisione dell’entità della sottopreparazione da eseguire per dotare l’impianto dell’opportuna stabilità primaria in funzione del protocollo di carico pianificato14, 21, 22.
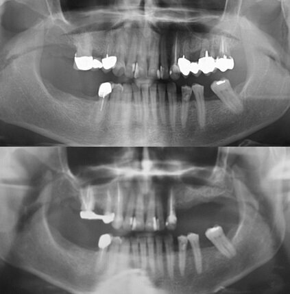
Fig. 1_La paziente presenta un’edentulia nel settore superiore posteriore sinistro (figura in basso) conseguente all’estrazione, avvenuta 2 anni prima, di alcuni elementi a supporto di un ponte da 2.4 a 2.7 (figura in alto, radiografia pregressa conferita dalla paziente).
Fig. 2_Aperto un lembo a tutto spessore si è proceduto a raccogliere del particolato autologo da miscelare con un sostituto osseo granulare.
Fig. 3_La preparazione dei siti implantari in posizione 2.5 e 2.6 ed il posizionamento del primo impianto in posizione 2.5. Prima dell’allargamento del sito implantare utilizzando l’ultima fresa, la densità ossea viene letta attraverso una sonda collegata al manipolo di un apposito micromotore (seconda immagine in alto); l’informazione è utilizzata per decidere razionalmente un opportuno protocollo di sottopreparazione.
Fig.4_Esecuzione dell’antrostomia, sollevamento della membrana sinusale e preparazione del terzo sito implantare in posizione 2.7. Anche in questo caso, la preparazione del sito implantare è preceduta dalla misura quantitativa della densità ossea (non mostrato).
Fig. 5_Posizionamento di un blocco di osso spongioso di origine equina al di sotto della membrana sinusale: dopo avere ricavato un blocco di dimensioni adeguate, ed averlo idratato con soluzione fisiologica, lo stesso è posizionato all’interno della cavità. Si inseriscono il secondo e terzo impianto. L’apice dell’impianto in posizione 2.7 appoggia sul blocco osseo e non entra in contatto con la membrana sinusale.
Fig. 6_Il riempimento è completato con la miscela di osso autologo e sostituto osseo di origine equina in granuli; è utilizzato anche un altro frammento del blocco osseo precedentemente descritto. La CBCT di controllo evidenzia il riempimento corretto del seno ed il blocco osseo interposto tra apice implantare e membrana sinusale.
Fig. 7_Endorale al termine dell’intervento (in alto a sinistra); la protesi definitiva e due endorali di controllo scattate a un anno (in basso a sinistra) e sette anni (in basso a destra) dal posizionamento implantare. I livelli ossei perimplantari appaiono sostanzialmente invariati.
Fig. 8_Tecniche alternative di protezione della membrana sinusale facenti uso di innesti ossei di origine equina. Le prime due immagini illustrano la tradizionale tecnica di Tulasne, che vede impiegato un innesto osseo autologo prelevato da calvaria. Tale tecnica può essere mimata con una lamina di corticale equina, dello spessore di circa 2,5 mm, che può essere inserita sia “a cassetto”, creando due slot come nella tecnica di Tulasne originale (immagini della seconda riga) oppure, sfruttando il fatto che la lamina idratata diviene flessibile, inserendola piegata nella cavità e lasciando che, per elasticità, essa si distenda al di sotto della membrana (ultime due immagini).
Fig. 9_La stessa operazione può essere compiuta utilizzando una membrana corticale equina (in alto a sinistra) non dissimile dalla lamina mostrata in figura 8, ma di spessore inferiore (0,2 mm): la lamina è posizionata al di sotto della membrana sinusale sfruttandone l’elasticità (in alto a destra). Nel caso mostrato, dopo avere completato il riempimento della cavità (figura in basso a destra), una seconda membrana corticale, identica alla prima, è imbustata al di sotto dei margini dell’antrostomia a chiusura della cavità. Successivamente è stata posizionata una membrana di collagene a copertura vestibolare.dell’antrostomia a chiusura della cavità (figura in basso a destra). In questo caso, non è stata posizionata una membrana di collagene a copertura vestibolare.
L’effettiva maggiore efficacia dell’interposizione di innesti ossei a blocco o lamina al di sotto della membrana sinusale, durante il posizionamento simultaneo di impianti, nel mantenere più stabile il volume osseo innestato e rigenerato nel tempo, nell’impedire la dispersione dell’innesto particolato nel seno in caso di lacerazione, e nel diminuire la probabilità di lacerazione della membrana sinusale rispetto all’approccio tradizionale dovrà essere oggetto di studi prospettici comparativi appositamente progettati allo scopo.
_bibliografia
- Danesh-Sani SA., Loomer PM., Wallace SS.. A comprehensive clinical review of maxillary sinus floor elevation: anatomy, techniques, biomaterials and complications. Br J Oral Maxillofac Surg. 2016 Sep;54(7):724-30.
- Tatum H. Jr. Maxillary and sinus implant reconstructions. Dent Clin North Am. 1986 Apr;30(2):207-29.
- Tatum OH. Jr, Lebowitz MS., Tatum CA., Borgner RA.. Sinus augmentation. Rationale, development, long-term results. N Y State Dent J. 1993 May;59(5):43-8.
- Boyne PJ., James RA.. Grafting of the maxillary sinus floor with autogenous marrow and bone. J Oral Surg. 1980 Aug;38(8):613-6.
- Del Fabbro M., Wallace SS., Testori T.. Long-term implant survival in the grafted maxillary sinus: a systematic review. Int J Periodontics Restorative Dent. 2013 Nov-Dec;33(6):773-83.
- Chiapasco M., Casentini P., Zaniboni M.. Bone augmentation procedures in implant dentistry. Int J Oral Maxillofac Implants. 2009;24 Suppl:237-59.
- Esposito M., Felice P., Worthington HV.. Interventions for replacing missing teeth: augmentation procedures of the maxillary sinus. Cochrane Database Syst Rev. 2014 May 13;(5):CD008397.
- Summers RB.. A new concept in maxillary implant surgery: the osteotome technique. Compendium. 1994 Feb;15(2):152, 154-6, 158 passim.
- Cosci F., Luccioli M.. A new sinus lift technique in conjunction with placement of 265 implants: a 6-year retrospective study. Implant Dent. 2000;9(4):363-8.
- Fugazzotto PA.. The modified trephine/osteotome sinus augmentation technique: technical considerations and discussion of indications. Implant Dent. 2001;10(4):259-64.
- Trombelli L., Franceschetti G., Stacchi C., Minenna L., Riccardi O., Di Raimondo R., Rizzi A., Farina R.. Minimally invasive transcrestal sinus floor elevation with deproteinized bovine bone or β-tricalcium phosphate: a multicenter, double-blind, randomized, controlled clinical trial. J Clin Periodontol. 2014 Mar;41(3):311-9.
- Testori T., Del Fabbro M., Weinstein R., Wallace S.. Maxillary Sinus Surgery and Alternatives in Treatment. Quintessence Pub, 2009.
- Lundgren S., Cricchio G., Hallman M., Jungner M., Rasmusson L., Sennerby L.. Sinus floor elevation procedures to enable implant placement and integration: techniques, biological aspects and clinical outcomes. Periodontol 2000. 2017 Feb;73(1):103-120.
- Arosio P., Greco GB., Zaniol T., Iezzi G., Perrotti V., Di Stefano DA.. Sinus augmentation and concomitant implant placement in low bone-density sites. A retrospective study on an undersized drilling protocol and primary stability. Clin Implant Dent Relat Res. 2018 Apr;20(2):151-159.
- Tessier P.. Autogenous bone grafts taken from the calvarium for facial and cranial applications. Clin Plast Surg 1982; 9(4):531-8.
- Tulasne JF.. Sinus grafting with calvarial bone. In: The Sinus Bone Graft. O.T. Jensen ed. Quintessence. Chicago, 1999; p.107-16.
- Di Stefano DA., Cazzaniga A., Andreasi Bassi M., Ludovichetti M., Ammirabile G., Celletti R.. The use of cortical heterologous sheets for sinus lift bone grafting: a modification of Tulasne's technique with 7-year follow-up. Int J Immunopathol Pharmacol. 2013 Apr-Jun;26(2):549-56.
- Di Stefano DA., Cazzaniga A.. Tecniche rigenerative e ricostruttive in chirurgia pre- e perimplantare. Elsevier. Milano, 2012.
- Di Stefano DA., Gastaldi G., Vinci R., Cinci L., Pieri L,. Gherlone E.. Histomorphometric Comparison of Enzyme-Deantigenic Equine Bone and Anorganic Bovine Bone in Sinus Augmentation: A Randomized Clinical Trial with 3-Year Follow-Up. Int J Oral Maxillofac Implants. 2015 Sep-Oct;30(5):1161-7.
- Di Stefano DA., Gastaldi G., Vinci R., Polizzi EM., Cinci L., Pieri L., Gherlone E.. Bone Formation Following Sinus Augmentation with an Equine-Derived Bone Graft: A Retrospective Histologic and Histomorphometric Study with 36-Month Follow-up. Int J Oral Maxillofac Implants. 2016 Mar-Apr;31(2):406-12.
- Di Stefano DA., Arosio P.. Correlation Between Bone Density and Instantaneous Torque at Implant Site Preparation: A Validation on Polyurethane Foam Blocks of a Device Assessing Density of Jawbones. Int J Oral Maxillofac Implants. 2016 Sep-Oct;31(5):e128-35.
- Di Stefano DA., Arosio P., Gastaldi G., Gherlone E.. The insertion torque-depth curve integral as a measure of implant primary stability: An in vitro study on polyurethane foam blocks. J Prosthet Dent. 2017 Jul 8. pii: S0022-3913(17)30300-1.
L'articolo è stato pubblicato su Implants international magazine of oral implantology, numero 1/2019.
Tag:
Le più attuali tendenze dell’implantologia orale sono tese alla riduzione dei tempi di trattamento. Questa tendenza si scontra spesso con ...
L’atrofia del mascellare posteriore come conseguenza della perdita degli elementi dentali è una condizione piuttosto frequente nella pratica clinica. La ...
Paziente di 40 anni in buono stato di salute non fumatore si presenta alla mia attenzione con dolore alla pressione in zona 16 dove anni prima era stato ...
In presenza di gravi atrofie ossee, spesso conseguenza di estrazioni effettuate in giovane età, la riabilitazione implanto-protesica può andare incontro a...
La riabilitazione implantoprotesica in presenza di insufficiente volume osseo richiede la gestione di una condizione compromessa rispettando comunque i ...
La perdita dei denti innesca un processo di riassorbimento al livello della cresta alveolare che è diverso da individuo a individuo.
Sabato 14 dicembre si è tenuto a Genova un evento molto particolare, il primo corso “completo” che trattava l’argomento della GBR eseguita con la ...
Gli innesti ossei sono una procedura chirurgica che permette di ristabilire un volume osseo adeguato prima di una terapia implantare, utilizzando materiali ...
La riabilitazione di pazienti parzialmente o totalmente edentuli con protesi supportate da impianti è diventata una pratica comune negli ultimi ...
Dr. Bruce McFarlane Certified Specialist in Orthodontics Fellow: Royal College of Dentists of Canada Diplomate: American Board of Orthodontics
Live webinar
mer. 15 aprile 2026
20:00 (CET) Rome
Live webinar
gio. 16 aprile 2026
2:00 (CET) Rome
Linda Hecker MS, BSDH, RDH
Live webinar
gio. 16 aprile 2026
18:00 (CET) Rome
Dr. Pär-Olov Östman, Dr. Robert Gottlander DDS
Live webinar
ven. 17 aprile 2026
18:00 (CET) Rome
Live webinar
ven. 17 aprile 2026
19:00 (CET) Rome
Dr. Stuart Yeaton BDentSc, MOrth
Live webinar
lun. 20 aprile 2026
19:00 (CET) Rome
Dr. Alberto Monje DDS, MS, PhD
To post a reply please login or register