La perdita di tessuto osseo di sostegno rappresenta un segno caratteristico della malattia parodontale. Molti fattori legati al paziente, al dente e al sito concorrono all’evoluzione del processo distruttivo dei tessuti parodontali: scarsa compliance del paziente (con conseguente elevato accumulo di placca e sanguinamento gengivale), fumo, malattie sistemiche caratterizzate da immuno-deficit (per es. diabete), alterazioni morfologiche (per es. presenza di perle o proiezioni dello smalto) o iatrogene (restauri incongrui), malposizioni dentali etc. portano alla formazione dei cosiddetti difetti infraossei1.
Con la definizione di difetto infraosseo si intende la localizzazione in senso apicale della base della tasca parodontale rispetto alla cresta alveolare residua. I difetti infraossei, propriamente detti, sono stati ulteriormente classificati in base al numero di pareti ossee residue attorno al difetto in: difetti a 1 parete, a 2 pareti e a 3 pareti2 (Fig. 1). Il trattamento della parodontite, che comprende anche i difetti infraossei, è basato sulla rimozione ed il controllo del biofilm sopra e sotto gengivale, con azioni di motivazione di igiene domiciliare da parte del paziente associate a terapia parodontale non chirurgica effetuata in studio3. L’AAP, American Academy of Periodontology, ha definito come chirurgia parodontale rigenerativa l’insieme di tutte quelle metodiche finalizzate al ripristino morfologico e funzionale dei tessuti di supporto del dente lesi dalla malattia parodontale, per tessuti di supporto si intendono: cemento radicolare, legamento parodontale e osso alveolare propriamente detto4.
In passato metodiche come lo scaling and root planing o il lembo di Widman modificato venivano erroneamente definite come “tecniche rigenerative”. In realtà queste procedure determinano una riduzione del sondaggio parodontale a scapito di un aumento della recessione gengivale e con una guarigione istologica caratterizzata dalla presenza di epitelio giunzionale lungo. Una condizione simile è da definirsi, più propriamente, come riparazione e non rigenerazione. Agli inizi degli anni ottanta cominciò a divenire evidente la necessità di sviluppare procedure chirurgiche che potessero garantire la corretta restitutio ad integrum dei tessuti parodontali. L’elaborazione di disegni di lembo concepiti in maniera specifica per la rigenerazione parodontale rappresenta uno dei cambiamenti di maggior rilievo. La preservazione del tessuto molle a livello interdentale e il corretto riposizionamento coronale del lembo hanno reso predicibile la guarigione per prima intenzione del sito operatorio e la stabilizzazione adeguata dei biomateriali5.
La sempre più accurata comprensione dei meccanismi biologici legati alla guarigione della ferita parodontale6 e l’importanza della stabilità del coagulo ematico hanno dato l’impulso all’introduzione delle ultime metodiche mini-invasive che permettono di ottenere la rigenerazione del legamento parodontale sfruttando il più possibile le capacità rigenerative dell’organismo stesso. Il successo della terapia parodontale rigenerativa oltre ai dispositivi forniti dal mercato (membrane, riempitivi, fattori di crescita, etc.) è strettamente legato a una serie di fattori che possono essere correlati al paziente, al difetto che intendiamo trattare e alle tecniche chirurgiche che intendiamo adottare in base al tipo di difetto7, 8.
Fattori legati al paziente
Il paziente candidato a una procedura parodontale rigenerativa deve aver ben compreso la necessità di raggiungere elevati standard di controllo microbiologico della placca batterica e dell’infiammazione (FMPS e FMBS<10%) e di quei co-fattori legati a una riduzione del successo clinico della terapia, come ad esempio l’abitudine al fumo ed il controllo della glicemia e/o l’assunzione di farmaci. È quindi compito del clinico valutare durante il corso della terapia causale la possibilità di modificare abitudini scorrette del paziente attraverso interventi di educazione comportamentale, migliorandone gli stili di vita. In definitiva, esclusa l’eventuale presenza di controindicazioni assolute locali e/o sistemiche alla chirurgia parodontale rigenerativa, il clinico deve valutare il grado di compliance del paziente.
Fattori legati al difetto
La predicibilità terapeutica in terapia rigenerativa è strettamente correlata alla morfologia del difetto infraosseo che riveste un ruolo chiave nel processo di guarigione. La morfologia dei difetti infraossei è definita su tre parametri valutati attraverso l’integrazione delle informazioni derivanti dall’analisi clinica del difetto (sondaggio parodontale) con quelle rilevabili da radiografie endorali eseguite con la tecnica dei raggi paralleli:
- Profondità del difetto (>3 mm);
- Ampiezza del difetto (angolo rx<25°);
- Numero di pareti residue.
Tuttavia, in parodontologia non esiste una classificazione così netta da associare il numero di pareti al risultato clinico, nella realtà clinica non esistono difetti cosiddetti «puri», molto spesso procedendo in direzione corono-apicale il numero di pareti ossee può variare: spesso la porzione più coronale del difetto è a una sola parete mentre quella più apicale è a due o tre pareti. In definitiva, sebbene non esistano evidenze in merito a una possibile correlazione tra numero di pareti ossee residue e livelli di guadagno di CAL, è di fondamentale importanza valutare quest’ultimo parametro morfologico al fine di selezionare una metodica chirurgica in grado di garantire una adeguata stabilità del coagulo in assenza di un difetto contenitivo9-11. Anche il biotipo tissutale riveste una sua importanza nella manipolazione dei tessuti molli, spessori gengivali >1 mm avranno una predicibilità maggiore rispetto a tessuti più sottili.
Tecniche chirurgiche
Analizzando rapidamente il modificarsi negli anni dell’approccio chirurgico a questo tipo di difetti, in base alle caratteristiche precedentemente analizzate (paziente e difetto), possiamo notare come ci si stia dirigendo verso approcci sempre più conservativi, in modo da consentire una maggior stabilizzazione del coagulo.
- Tecnica di preservazione della papilla
Introdotta da Takei nel 19855, questa tecnica rappresenta il primo tentativo di sviluppare una procedura chirurgica in grado di preservare il tessuto interdentale e di garantire un’adeguata chiusura del sito chirurgico. L’accesso al difetto infraosseo avviene attraverso un’incisione orizzontale intrasulculare che si estende in senso mesio-distale rispetto al difetto da trattare; la papilla interdentale viene conservata nel contesto del lembo vestibolare. Una volta esposto il difetto infraosseo, l’accessibilità e le procedure di degranulazione e detartrasi possono essere ulteriormente facilitate eseguendo delle incisioni di rilascio verticali a livello del lembo vestibolare.
- Tecnica modificata di preservazione della papilla (MPPT)
Introdotta da Cortellini nel 1995 come modifica all’approccio di Takei nasce dall’esigenza di ottenere e mantenere nel tempo una chiusura per prima intenzione del lembo a livello dello spazio interdentale al di sopra della membrana. L’accesso al difetto infraosseo si ottiene eseguendo un’incisione orizzontale alla base della papilla interdentale sul lato vestibolare, incisione che si estende a livello intrasulculare tanto sul lato mesiale che su quello distale al difetto stesso. Il lembo vestibolare viene successivamente scollato a tutto spessore, mentre il tessuto interdentale viene conservato nel contesto della porzione palatale/linguale del lembo anch’essa sollevata a spessore totale. La corretta esecuzione della MPPT prevede uno spazio interdentale sufficientemente ampio, superiore a 2 mm, per poter consentire il ribaltamento sul lato palatale della papilla, e se necessario incisioni di scarico vestibolari per facilitarne la visibilità e la rimozione del tessuto di granulazione12, 13.
- Tecnica della papilla semplificata (SPPT)
È stata sviluppata nel 1999 allo scopo di ovviare ad alcuni dei limiti clinici della MPPT rappresentati per lo più dalla difficoltosa applicazione negli spazi interdentali ridotti (<2 mm) e nelle regioni posteriori. La tecnica prevede l’esecuzione di un’incisione obliqua a livello dello spazio interdentale, mantenendo la lama del bisturi parallela all’asse maggiore del dente, che viene poi raccordata alle incisioni intra sulculari sul lato mesiale e distale del difetto da trattare, sia il lembo vestibolare che quello palatale/linguale vengono sollevati a spessore totale e anche in questo caso se necessarie si posso effettuare incisioni di scarico14.
- Tecniche chirurgiche mini-invasive
I primi a parlare di tecniche minimamente invasive in chirurgia parodontale rigenerativa furono Hannes Wachtel nel 200315, seguiti nel 2007 da Cortellini e Tonetti che presentarono la tecnica MIST (Minimally Invasive Surgical Technique) introdotta nel tentativo di promuovere gli esiti clinici delle procedure di rigenerazione tessutale attraverso una maggiore stabilità postoperatoria del coagulo ematico ed al contempo, ridurre la morbilità per il paziente16, 17. Le incisioni interdentali si sovrappongono a quelle descritte nelle tecniche precedenti (MPPT, SPPT) a seconda dello spazio interdentale disponibile, l’incisione a carico della papilla viene successivamente estesa a livello intrasulculare sia sul versante vestibolare che su quello palatale/
linguale a carico dei denti adiacenti al difetto. Queste estensioni permettono di sollevare a spessore totale almeno 1-2 mm di cresta residua in modo da poter accedere al difetto.
- Tecnica chirurgica “Single Flap Approach”
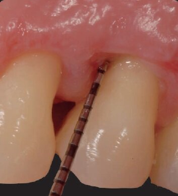
Proposta da Trombelli e collaboratori18, 19 nel 2009, la tecnica consiste nella realizzazione di un lembo a busta la cui estensione in senso mesio-distale risulta essere la minima possibile, compatibilmente con la possibilità di eseguire un’adeguata degranulazione del difetto. L’incisione orizzontale viene eseguita solo sul lato vestibolare o palatale/ linguale a seconda della morfologia del difetto infraosseo; a livello dello spazio interdentale l’incisione orizzontale è posizionata tanto più apicalmente quanto maggiore è la distanza in senso apico-coronale tra la sommità della papilla e la cresta ossea residua. L’accesso al difetto infraosseo è garantito del sollevamento a tutto spessore del lembo sul solo lato vestibolare o palatale/ linguale; la tecnica di sutura prevede l’esecuzione di un materassaio orizzontale interno. Caso clinico Paziente donna, 45 anni anamnesi generale negativa, afferisce allo studio riferendo un gonfi ore presente da qualche tempo associato a sanguinamento a carico del 2.5. Ad un primo esame clinico il dente risulta vitale con mobilità di grado 1, viene riscontrato un sondaggio di 8 mm sul versante mesio vestibolare dell’elemento, sui restanti versanti i sondaggi risultano nella norma, l’esame radiografi co conferma la presenza di un difetto infraosseo a 2/3 pareti (Figg. 2a, 2b).
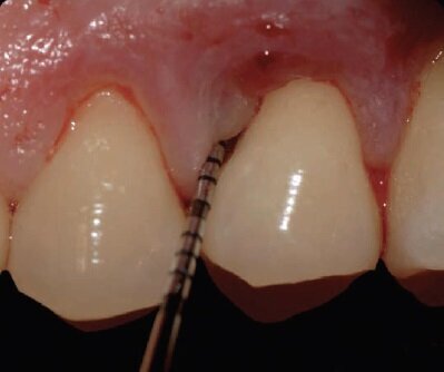
Considerato la condizione di vitalità e stabilità del dente e l’importanza del 2.5 all’interno di una dentatura sana visto il tipo di difetto, dopo aver messo sotto controllo l’infiammazione tramite terapia parodontale non chirurgica, ed aver informato adeguatamente la paziente sulle varie modalità terapeutiche per realizzare una terapia rigenerativa, è stato adottato un approccio mini invasivo18, 19. Viene effettuata, come da protocollo, un incisione prendendo come limite la parte più apicale del difetto, la papilla interdentale viene lasciata in situ, viene scollato un lembo a tutto spessore in grado di evidenziare il difetto ed accedervi per permettere la rimozione del tessuto di granulazione tramite l’utilizzo di strumenti manuali e ultrasonici, una volta pulito il difetto, si notano alcune proiezioni dello smalto che possono essere una concausa nella formazione della tasca (Figg. 3, 4).
Uno dei cardini principali in terapia rigenerativa è l’eliminazione del tessuto infetto, il curettaggio radicolare e l’eventuale eliminazione delle malformazioni anatomiche che contribuiscono all’accumulo del biofilm batterico, alla luce di ciò le proiezioni dello smalto vengono rimosse tramite l’utilizzo di frese diamantate a grana sottile (Fig. 5).
Fig. 1 - Classificazione dei difetti parodontali.
Fig. 2a - Sondaggio clinico iniziale.
Fig. 2b - Situazione rx a tempo 0.
Fig. 3 - Incisone e lembo scollato.
Fig. 4 - Evidenziazione del difetto, sondaggio intraoperatorio e perle dello smalto.
Fig. 5 - Rimozione delle incongruenze anatomiche (perle dello smalto) tramite strumenti rotanti.
Questo approccio mini invasivo rende difficoltoso l’utilizzo di membrane, ma al tempo stesso ci consegna un’anatomia del difetto più contenitiva che permette l’utilizzo di biomateriali riempitivi (RE-BONE® Ubgen, Padova, Italy) abbinati a materiali osteoinduttivi come le amelogenine (Emdogain®, Straumann, Basilea, Svizzera)20, 21.
Il protocollo d’uso di questi induttori della rigenerazione prevede di biomodifi care la radice tramite l’utilizzo di EDTA al 37% per 2 minuti (Fig. 6). Rimosso l’agente chelante con un abbondante getto d’acqua, il difetto viene riempito con un biomateriale eterologo di origine bovina (RE-BONE ® Ubgen, Padova, Italy) mescolato alle amelogenine (Figg. 7-9). Vengono utilizzate suture a materassaio interno stabilizzate con punti singoli (Prolene 6/0, Ethicon, Somerville/NJ, Usa) e cianoacrilato (Histoacryl® B Braun, Pfi effenwiesen, Germania) su un lembo precedentemente passivizzato e privo di tensioni (Fig. 10).
La paziente riceve le opportune raccomandazioni post-operatorie: dieta morbida e fredda 2/3 giorni, antibiotici Amoxicillina più Acido Clavulanico (Augmentin® Glaxo Smith Kline, Italia), 2 compresse/die per 6 giorni, antinfi ammatori Nimesulide (Aulin®, Helsinn Birex Pharmaceuticals, Dublino, Irlanda) ogni 12 ore, Clorexidina 0,12% - 3 volte die per 20 giorni. Le suture vengono rimosse a 10 giorni e le normali manovre di igiene domiciliare vengono fatte riprendere dal ventesimo giorno dopo l’intervento.
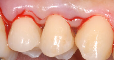
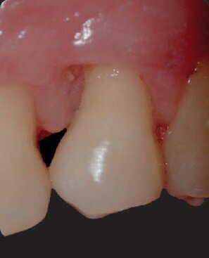
Si effettua un primo controllo dello spazzolamento a 1 mese e ad intervalli simili per i primi 6 mesi, quando verrà effettuato il primo sondaggio post-operatorio e radiografi a di controllo (Figg. 11, 12b). Al momento il follow-up del caso è a un anno, al controllo radiografico la situazione si presenta buona con un riempimento del difetto ottimale, clinicamente il dente è rimasto vitale, non presenta mobilità, abbiamo un sondaggio di 4 mm. e dal punto di vista dei tessuti molli non abbiamo avuto recessioni tali da comprometterne l ’estetica (Figg. 13a, 13b).
Fig. 6 - Condizionamento della superficie radicolare (EDTA 37%).
Figg. 7, 8 - Difetto riempito con Biomateriale (Rebone© – UBGEN) e amelogenine (Emdogain).
Figg. 7, 8 - Difetto riempito con Biomateriale (Rebone© – UBGEN) e amelogenine (Emdogain).
Fig. 9 - Biomateriale e amelogenine.
Fig. 10 - Suture e cianoacrilato.
Fig. 11 - Controllo spazzolamento a 1 mese.
Fig. 12a - Situazione clinica.
Fig. 13a - Follow up a un anno.
Conclusioni
La tecnica presa in esame ci permette di affrontare difetti di piccola/media entità che se ben selezionati permettono al clinico di affrontarli con relativa serenità e predicibilità. Tuttavia una tecnica mini-invasiva non deve essere erroneamente considerata di più facile approccio rispetto ad altre più “tradizionali”. Innanzitutto ci deve essere un approccio diagnostico più attento e capace di selezionare il difetto in forma opportuna (2/3 pareti), localizzazione del difetto (vestibolare e/o linguale-palatale), mobilità (<3), stato del dente (vitale, qualità dell’endodonzia, presenza di perni, etc.), una volta stabilito questo, ed aperto il lembo, l’accuratezza nel rimuovere il tessuto di granulazione e pulire adeguatamente la superficie radicolare deve essere maggiore rispetto ad altre tecniche, in quanto la visibilità in questo caso è decisamente più ridotta. Se vengono rispettate tutte queste indicazioni, sicuramente abbiamo a disposizione una tecnica in grado di fornire risultati predicibili ed allungare il mantenimento nel cavo orale di elementi con prognosi incerte se non adeguatamente trattati.
Bibliografia
- Papapanou P.N., Tonetti M.S.. Diagnosis and epidemiology of periodontal osseous lesions. Periodontol 2000 2000: 22: 8–21.
- Garret S.. Periodontal regeneration around natural teeth. In: Genco R (ed). World Workshop in Periodontics. Lansdowne (VA): American Academy of Periodontology, 1996: 621-66.
- Ramfjiord S.P.. The role of dental health education and auxiliary personnel in the prevention of periodontal disease. J Ala Dent Assoc 1974;58:25-30.
- American Academy of Periodontology. Glossary of Periodontal Terms 4th Edition 2001.
- Takei H.H., Han T.J., Carranza F.A., Kenney E.B., Lekovic V.. Flap technique for periodontal bone implants. Papilla preservation technique. J Periodontol 1985; 56:204-10.
- Ramseier C.A., Rasperini G., Batia S., Giannobile W.V.. Advanced regenerative technologies for periodontal tissue repair. Periodontology 2000; vol.59 2012 185-20.
- Cortellini P., Tonetti M.S.. Focus on intrabony defects: guided tissue regeneration (GTR). Periodontol 2000 2000: 22: 104–132.
- Cortellini G.,mTonetti M. Clinical concepts for regenerative therapy in intrabony defects. Perio. 2000 Vol.68 2015 , 282-307.
- Goldman H., Cohen W.. The infrabony pocket: classification and treatment. J Periodontol 1958;29:272-91.
- Tonetti M.S., Pini-Prato G., Cortellini P.. Periodontal regeneration of human intrabony defects. IV. Determinants of healing response. J Periodontol 1993;64:934-40.
- Tonetti M.S., Prato G.P., Cortellini P.. Factors affecting the healing response of intrabony defects following guided tissue regeneration and access ap surgery. J Clin Periodontol 1996;23:548-56.
- Cortellini P., Prato G.P., Tonetti M.S.. The modified papilla preservation technique. A new surgical approach for interproximal regenerative procedures. J Periodontol 1995;66:261-6.
- Cortellini P., Pini Prato G., Tonetti M.S.. The modfied papilla preservation technique with bioresorbable barrier membranes in the treatment of intrabony defects. Case reports. Int J Periodontics Restorative Dent 1996;16:546-59.
- Cortellini P., Prato G.P., Tonetti M.S.. The simpli ed papilla preservation ap. A novel surgical approach for the management of soft tissues in regenerative procedures. Int J Periodontics Restorative Dent 1999;19:589-99.
- Wachtel H., Schenk G., Böhm S., Weng D., Zuhr O., Hürzeler M.B.. Microsurgical access ap and enamel matrix derivative for the treatment of periodontal intrabony defects: a controlled clinical study. J Clin Periodontol 2003;30496-504.
- Cortellini P., Tonetti M.S.. Minimally invasive surgical technique and enamel matrix derivative in intra-bony defects. I: Clinical outcomes and morbidity. J Clin Periodontol 2007 34:1082-8.
- Cortellini P., Tonetti M.S.. Improved wound stability with a modified minimally invasive surgical technique in the regenerative treatment of isolated interdental intrabony defects. J Clin Periodontol 2009;36:157-63.
- Trombelli L., Farina R., Franceschetti G., Calura G.. Single- ap approach with buccal access in periodontal reconstructive procedures. J Periodontol 2009;80:353-60.
- Trombelli L., Simonelli A., Minenna L., Vecchiatini A., Farina R.. Simplied procedures to treat periodontal intarosseous defect in esthetic area Perio. 2000 vol 77 2018, 93-110.
- Farina R., Simonelli A., Minenna L., Rasperini G., Schincaglia G.P., Tomasi C., Trombelli L.. Change in the Gingival Margin Profile After the single flap approach in Periodontal Intraosseous Defects. J Periodontol 2015: 86: 1038–1046.
- Farina R., Simonelli A., Minenna L., Rasperini G., Trombelli L.. Single-flap approach in combination with enamel matrix derivative in the treatment of periodontal intraosseous defects. Int J Periodontics Restorative Dent 2014: 34: 497– 506.
Tag:
Il ripristino morfo-funzionale degli elementi dentari compromessi rappresenta da sempre la sfida quotidiana del team approach del clinico e odontotecnico, ...
La persistenza di difetti intraossei al termine della terapia parodontale iniziale rappresenta un fattore di rischio sito-specifico per la progressione ...
HANOI, Vietnam: I metodi tradizionali per il fissaggio dei bottoni ausiliari nella terapia con allineatori riducono i significativi benefici clinici per la ...
Le malattie parodontali possono causare gravi invalidità quali la perdita o la riduzione della funzionalità dell’apparato ...
La stabilizzazione del coagulo adeso alla superficie radicolare, in un ambiente protetto da interferenze di natura meccanica e microbiologica, è ...
La stabilizzazione del coagulo adeso alla superficie radicolare, in un ambiente protetto da interferenze di natura meccanica e microbiologica, è ...
L’evoluzione nelle conoscenze sul microbiota e sulle problematiche orali ha cambiato radicalmente i piani di trattamento nelle varie tipologie di ...
Il Centro Corsi ProEd di Torino ospiterà anche nel 2015 il consolidato percorso formativo teorico-pratico “La terapia parodontale: Chirurgia ...
Il dott. Gregorio Tortora condivide la sua esperienza clinica nella gestione delle patologie parodontali, soffermandosi in particolare sulle recessioni ...
Il mantenimento di corretti stili di vita di igiene orale domiciliare sono parte integrante di qualsiasi terapia, sia primaria sul paziente sano, sia ...
Live webinar
mer. 15 aprile 2026
20:00 (CET) Rome
Live webinar
gio. 16 aprile 2026
2:00 (CET) Rome
Linda Hecker MS, BSDH, RDH
Live webinar
gio. 16 aprile 2026
18:00 (CET) Rome
Dr. Pär-Olov Östman, Dr. Robert Gottlander DDS
Live webinar
ven. 17 aprile 2026
18:00 (CET) Rome
Live webinar
ven. 17 aprile 2026
19:00 (CET) Rome
Dr. Stuart Yeaton BDentSc, MOrth
Live webinar
lun. 20 aprile 2026
19:00 (CET) Rome
Dr. Alberto Monje DDS, MS, PhD
Live webinar
mer. 22 aprile 2026
17:00 (CET) Rome
MDT Andreas Chatzimpatzakis
To post a reply please login or register